JavaScript is disabled in your browser. Please enable JavaScript to view this website.
AB232411

Anti-Mesothelin antibody [EPR2685(2)] - BSA and Azide free

Be the first to review this product! Submit a review

|

(1 Publication)

Rabbit Recombinant Monoclonal Mesothelin antibody. Carrier free. Suitable for IHC-P, IP, WB and reacts with Human samples. Cited in 1 publication.

View Alternative Names

MPF, MSLN, Mesothelin, CAK1 antigen, Pre-pro-megakaryocyte-potentiating factor

10 Images
Immunohistochemistry (Formalin/PFA-fixed paraffin-embedded sections) - Anti-Mesothelin antibody [EPR2685(2)] - BSA and Azide free (AB232411)
  • IHC-P

Unknown

Immunohistochemistry (Formalin/PFA-fixed paraffin-embedded sections) - Anti-Mesothelin antibody [EPR2685(2)] - BSA and Azide free (AB232411)

Immunohistochemical analysis of paraffin embedded Human ovarian carcinoma tissue labelling Mesothelin with unpurified ab134109 at 1/1000.

This data was developed using the same antibody clone in a different buffer formulation containing PBS, BSA, glycerol, and sodium azide (ab134109).

Perform heat mediated antigen retrieval before commencing with IHC staining protocol.

Immunohistochemistry (Formalin/PFA-fixed paraffin-embedded sections) - Anti-Mesothelin antibody [EPR2685(2)] - BSA and Azide free (AB232411)
  • IHC-P

Unknown

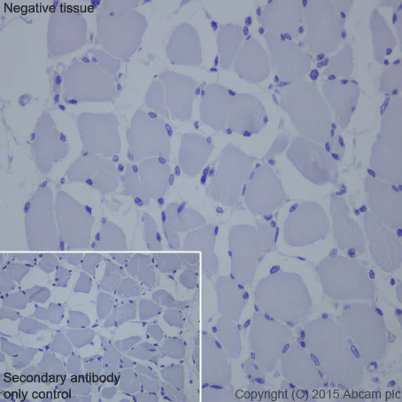
Immunohistochemistry (Formalin/PFA-fixed paraffin-embedded sections) - Anti-Mesothelin antibody [EPR2685(2)] - BSA and Azide free (AB232411)

Immunohistochemical staining of paraffin embedded human skeletal muscle with purified ab134109 at a working dilution of 1/800. The secondary antibody used is ab97051, a goat anti-rabbit IgG (H&L) at a dilution of 1/500. The sample is counter-stained with hematoxylin. Antigen retrieval was perfomed using Tris-EDTA buffer, pH 9.0. PBS was used instead of the primary antibody as the negative control, and is shown in the inset.This data was developed using the same antibody clone in a different buffer formulation containing PBS, BSA, glycerol, and sodium azide (ab134109).

Immunohistochemistry (Formalin/PFA-fixed paraffin-embedded sections) - Anti-Mesothelin antibody [EPR2685(2)] - BSA and Azide free (AB232411)
  • IHC-P

Unknown

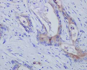
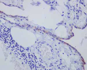
Immunohistochemistry (Formalin/PFA-fixed paraffin-embedded sections) - Anti-Mesothelin antibody [EPR2685(2)] - BSA and Azide free (AB232411)

Immunohistochemical analysis of paraffin embedded Human Greator omentum tissue using unpurified ab134109 showing +ve staining.

This data was developed using the same antibody clone in a different buffer formulation containing PBS, BSA, glycerol, and sodium azide (ab134109).

Perform heat mediated antigen retrieval before commencing with IHC staining protocol.

Immunohistochemistry (Formalin/PFA-fixed paraffin-embedded sections) - Anti-Mesothelin antibody [EPR2685(2)] - BSA and Azide free (AB232411)
  • IHC-P

Unknown

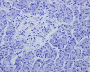
Immunohistochemistry (Formalin/PFA-fixed paraffin-embedded sections) - Anti-Mesothelin antibody [EPR2685(2)] - BSA and Azide free (AB232411)

Immunohistochemical analysis of paraffin embedded normal Human pancreas tissue using unpurified ab134109 showing -ve staining.

This data was developed using the same antibody clone in a different buffer formulation containing PBS, BSA, glycerol, and sodium azide (ab134109).

Perform heat mediated antigen retrieval before commencing with IHC staining protocol.

Immunohistochemistry (Formalin/PFA-fixed paraffin-embedded sections) - Anti-Mesothelin antibody [EPR2685(2)] - BSA and Azide free (AB232411)
  • IHC-P

Unknown

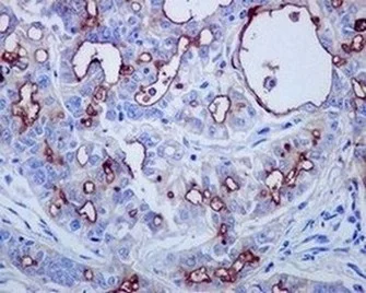
Immunohistochemistry (Formalin/PFA-fixed paraffin-embedded sections) - Anti-Mesothelin antibody [EPR2685(2)] - BSA and Azide free (AB232411)

Immunohistochemical analysis of paraffin embedded Human mesothelioma tissue labelling Mesothelin with unpurified ab134109 at 1/1000.

This data was developed using the same antibody clone in a different buffer formulation containing PBS, BSA, glycerol, and sodium azide (ab134109).

Perform heat mediated antigen retrieval before commencing with IHC staining protocol.

Immunohistochemistry (Formalin/PFA-fixed paraffin-embedded sections) - Anti-Mesothelin antibody [EPR2685(2)] - BSA and Azide free (AB232411)
  • IHC-P

Unknown

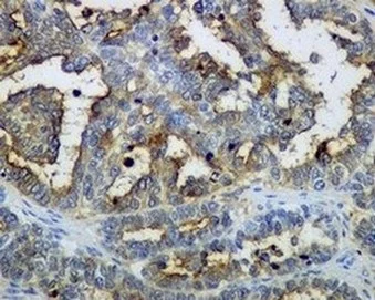
Immunohistochemistry (Formalin/PFA-fixed paraffin-embedded sections) - Anti-Mesothelin antibody [EPR2685(2)] - BSA and Azide free (AB232411)

Immunohistochemical analysis of paraffin embedded Human Pancreatic carcinoma tissue using unpurified ab134109 showing +ve staining.

This data was developed using the same antibody clone in a different buffer formulation containing PBS, BSA, glycerol, and sodium azide (ab134109).

Perform heat mediated antigen retrieval before commencing with IHC staining protocol.

Immunohistochemistry (Formalin/PFA-fixed paraffin-embedded sections) - Anti-Mesothelin antibody [EPR2685(2)] - BSA and Azide free (AB232411)
  • IHC-P

Unknown

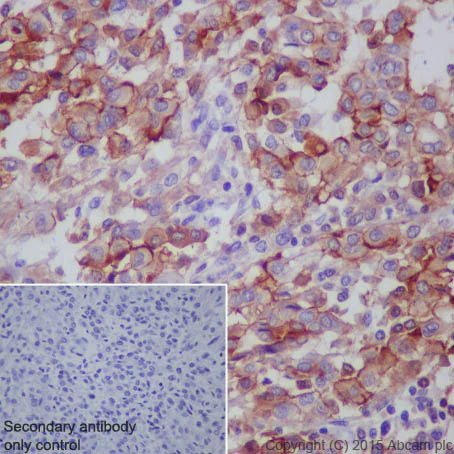
Immunohistochemistry (Formalin/PFA-fixed paraffin-embedded sections) - Anti-Mesothelin antibody [EPR2685(2)] - BSA and Azide free (AB232411)

Immunohistochemical staining of paraffin embedded human mesothelioma tissue using purified ab134109 at a working dilution of 1/800. The secondary antibody used is ab97051, a goat anti-rabbit IgG (H&L) at a dilution of 1/500. The sample is counter-stained with hematoxylin. Antigen retrieval was perfomed using Tris-EDTA buffer, pH 9.0.

Secondary antibody only control : Used PBS instead of primary antibody. Secondary antibody is goat anti-rabbit IgG (H&L) (ab97051) at 1/500 dilution.

This data was developed using the same antibody clone in a different buffer formulation containing PBS, BSA, glycerol, and sodium azide (ab134109).

Immunoprecipitation - Anti-Mesothelin antibody [EPR2685(2)] - BSA and Azide free (AB232411)
  • IP

Unknown

Immunoprecipitation - Anti-Mesothelin antibody [EPR2685(2)] - BSA and Azide free (AB232411)

ab134109 (purified) at 1/40 immunoprecipitating mesothelin in 10 μg HeLa cell lysate (Lanes 1 and 2, observed at 40 and 69 kDa). Lane 3 - Rabbit monoclonal IgG (ab172730). For western blotting, VeriBlot for IP Detection Reagent (HRP) (ab131366), was used for detection at 1/10,000 dilution. Blocking buffer and concentration : 5% NFDM/TBST Dilution buffer and concentration : 5% NFDM/TBST

This data was developed using the same antibody clone in a different buffer formulation containing PBS, BSA, glycerol, and sodium azide (ab134109).

All lanes:

Immunoprecipitation - Anti-Mesothelin antibody [EPR2685(2)] (<a href='/en-us/products/primary-antibodies/mesothelin-antibody-epr26852-ab134109'>ab134109</a>)

Predicted band size: 69 kDa

false

Western blot - Anti-Mesothelin antibody [EPR2685(2)] - BSA and Azide free (AB232411)
  • WB

Lab

Western blot - Anti-Mesothelin antibody [EPR2685(2)] - BSA and Azide free (AB232411)

This data was developed using the same antibody clone in a different buffer formulation containing PBS, BSA, glycerol, and sodium azide (ab134109).

False colour image of Western blot : Anti-Mesothelin antibody [EPR2685(2)] staining at 1/1000 dilution, shown in green; Mouse anti-GAPDH antibody [6C5] (ab8245) loading control staining at 1/20000 dilution, shown in red. In Western blot, ab134109 was shown to bind specifically to Mesothelin. First, samples were run on an SDS-PAGE gel then transferred onto a nitrocellulose membrane. Membranes were blocked in 3 % milk in TBS-0.1 % Tween® 20 (TBS-T) before incubation with primary antibodies overnight at 4°C. Blots were washed four times in TBS-T, incubated with secondary antibodies for 1 h at room temperature, washed again four times then imaged. Secondary antibodies used were Goat anti-Rabbit IgG H&L (IRDye® 800CW) preabsorbed (ab216773) and Goat anti-Mouse IgG H&L (IRDye® 680RD) preabsorbed (ab216776) at 1/20000 dilution.

All lanes:

Western blot - Anti-Mesothelin antibody [EPR2685(2)] (<a href='/en-us/products/primary-antibodies/mesothelin-antibody-epr26852-ab134109'>ab134109</a>) at 1/1000 dilution

Lane 1:

OVCAR-3 cell lysate at 20 µg

Lane 2:

HeLa cell lysate at 20 µg

Lane 3:

A549 cell lysate at 20 µg

Lane 4:

PC-3 cell lysate at 20 µg

Predicted band size: 69 kDa

Observed band size: 45 kDa

false

OI-RD Scanning - Anti-Mesothelin antibody [EPR2685(2)] - BSA and Azide free (AB232411)
  • OI-RD Scanning

Unknown

OI-RD Scanning - Anti-Mesothelin antibody [EPR2685(2)] - BSA and Azide free (AB232411)

We have systematically measured KD (the equilibrium dissociation constant between the antibody and its antigen), of more than 840 recombinant antibodies to assess not only their individual KD values but also to see the average affinity of antibody. Based on the comparison with published literature values for mouse monoclonal antibodies, Recombinant antibodies appear to be on average 1-2 order of magnitude higher affinity.

Key facts

Host species

Rabbit

Clonality

Monoclonal

Clone number

EPR2685(2)

Isotype

IgG

Carrier free

Yes

Reacts with

Human

Applications

WB, IHC-P, IP

applications

Immunogen

The exact immunogen used to generate this antibody is proprietary information.

Reactivity data

{ "title": "Reactivity Data", "filters": { "stats": ["", "Species", "Dilution Info", "Notes"], "tabs": { "all-applications": {"fullname" : "All Applications", "shortname": "All Applications"}, "IHCP" : {"fullname" : "Immunohistochemistry (Formalin/PFA-fixed paraffin-embedded sections)", "shortname":"IHC-P"}, "IP" : {"fullname" : "Immunoprecipitation", "shortname":"IP"}, "WB" : {"fullname" : "Western blot", "shortname":"WB"} }, "product-promise": { "all": "all", "testedAndGuaranteed": "tested", "guaranteed": "expected", "predicted": "predicted", "notRecommended": "not-recommended" } }, "values": { "Human": { "IHCP-species-checked": "testedAndGuaranteed", "IHCP-species-dilution-info": "", "IHCP-species-notes": "<p></p>", "IP-species-checked": "testedAndGuaranteed", "IP-species-dilution-info": "", "IP-species-notes": "<p></p>", "WB-species-checked": "testedAndGuaranteed", "WB-species-dilution-info": "", "WB-species-notes": "<p></p>" } } }

Product details

ab232411 is the carrier-free version of ab134109.

Species reactivity
Mouse, Rat: We have preliminary internal testing data to indicate this antibody may not react with these species.
Please contact us for more information.

Patented technology
Our RabMAb® technology is a patented hybridoma-based technology for making rabbit monoclonal antibodies. For details on our patents, please refer to RabMAb® patents.

What are the advantages of a recombinant monoclonal antibody?
This product is a recombinant monoclonal antibody, which offers several advantages including:

  • - High batch-to-batch consistency and reproducibility
  • - Improved sensitivity and specificity
  • - Long-term security of supply
  • - Animal-free batch production

For more information, read more on recombinant antibodies.

Conjugation ready
Our carrier-free antibodies are typically supplied in a PBS-only formulation, purified and free of BSA, sodium azide and glycerol. This conjugation-ready format is designed for use with fluorochromes, metal isotopes, oligonucleotides, and enzymes, which makes them ideal for antibody labelling, functional and cell-based assays, flow-based assays (e.g. mass cytometry) and Multiplex Imaging applications.

Use our conjugation kits for antibody conjugates that are ready-to-use in as little as 20 minutes with 1 minute hands-on-time and 100% antibody recovery: available for fluorescent dyes, HRP, biotin and gold.

Compatibility
This product is compatible with the Maxpar® Antibody Labeling Kit from Fluidigm, without the need for antibody preparation. Maxpar® is a trademark of Fluidigm Canada Inc.

Properties and storage information

Form
Liquid
Purification technique
Affinity purification Protein A
Storage buffer
pH: 7.2 - 7.4 Constituents: PBS
Shipped at conditions
Blue Ice
Appropriate short-term storage conditions
+4°C
Appropriate long-term storage conditions
+4°C
Storage information
Do Not Freeze

Product protocols

For this product, it's our understanding that no specific protocols are required. You can visit:

Target data

Membrane-anchored forms may play a role in cellular adhesion.. Megakaryocyte-potentiating factor (MPF) potentiates megakaryocyte colony formation in vitro.
See full target information MSLN

Publications (1)

Recent publications for all applications. Explore the full list and refine your search

Nature 632:157-165 PubMed39020175

2024

Inhibition of IL-11 signalling extends mammalian healthspan and lifespan.

Applications

Unspecified application

Species

Unspecified reactive species

Anissa A Widjaja,Wei-Wen Lim,Sivakumar Viswanathan,Sonia Chothani,Ben Corden,Cibi Mary Dasan,Joyce Wei Ting Goh,Radiance Lim,Brijesh K Singh,Jessie Tan,Chee Jian Pua,Sze Yun Lim,Eleonora Adami,Sebastian Schafer,Benjamin L George,Mark Sweeney,Chen Xie,Madhulika Tripathi,Natalie A Sims,Norbert Hübner,Enrico Petretto,Dominic J Withers,Lena Ho,Jesus Gil,David Carling,Stuart A Cook
View all publications

Product promise

We are committed to supporting your work with high-quality reagents, and we're here for you every step of the way. In the unlikely event that one of our products does not perform as expected, you're protected by our Product Promise.
For full details, please see our Terms & Conditions

Please note: All products are 'FOR RESEARCH USE ONLY. NOT FOR USE IN DIAGNOSTIC OR THERAPEUTIC PROCEDURES'.

For licensing inquiries, please contact partnerships@abcam.com