JavaScript is disabled in your browser. Please enable JavaScript to view this website.
AB309516

Anti-Mesothelin antibody [EPR28269-62]

Be the first to review this product! Submit a review

|

(1 Publication)

Rabbit Recombinant Monoclonal Mesothelin antibody. Suitable for WB, ICC/IF, Flow Cyt, IP and reacts with Human samples. Cited in 1 publication.

View Alternative Names

MPF, MSLN, Mesothelin, CAK1 antigen, Pre-pro-megakaryocyte-potentiating factor

6 Images
Immunocytochemistry/ Immunofluorescence - Anti-Mesothelin antibody [EPR28269-62] (AB309516)
  • ICC/IF

Supplier Data

Immunocytochemistry/ Immunofluorescence - Anti-Mesothelin antibody [EPR28269-62] (AB309516)

Immunofluorescent analysis of 4% Paraformaldehyde-fixed, 0.1% Tween-20 permeabilized NIH OVCAR-3 (human ovary adenocarcinoma epithelial cell) cells labelling Mesothelin with ab309516 at 1/100 (5.08 ug/ml) dilution, followed by ab150081 Goat Anti-Rabbit IgG H&L (Alexa Fluor® 488) preadsorbed antibody at 1/1000 2 ug/ml dilution (Green). Confocal image showing mainly membranous staining in NIH : OVCAR-3 cell line.Negative control : A431 (PMID : 33262421).Image was taken with a confocal microscope(Leica-Microsystems, TCS SP8). is observed. ab195889 Anti-alpha Tubulin mouse monoclonal antibody - Microtubule Marker (Alexa Fluor® 594) was used to counterstain tubulin at 1/200 2.5ug/ml dilution (Red). The Nuclear counterstain was DAPI (Blue). Secondary antibody only control : Secondary antibody is ab150081 Goat Anti-Rabbit IgG H&L (Alexa Fluor® 488) preadsorbed at 1/1000 2 ug/ml dilution.

Flow Cytometry - Anti-Mesothelin antibody [EPR28269-62] (AB309516)
  • Flow Cyt

Supplier Data

Flow Cytometry - Anti-Mesothelin antibody [EPR28269-62] (AB309516)

Flow cytometric analysis of A431 (human epidermoid carcinoma epithelial cell, Left) / NIH : OVCAR-3 (human ovary adenocarcinoma epithelial cell, Right) cells labelling Mesothelin with ab309516 at 1/50 dilution (1 ug)/Red compared with a Rabbit monoclonal IgG (ab172730) (Black) isotype control and an unlabelled control (cells without incubation with primary antibody and secondary antibody) (Blue). Goat Anti-Rabbit IgG (Alexa Fluor® 488, ab150081) at 1/5000 dilution was used as the secondary antibody. Negative control : A431(PMID : 33262421). Gated on viable cells.

Immunoprecipitation - Anti-Mesothelin antibody [EPR28269-62] (AB309516)
  • IP

Supplier Data

Immunoprecipitation - Anti-Mesothelin antibody [EPR28269-62] (AB309516)

Mesothelin was immunoprecipitated from 0.35 mg NIH OVCAR-3 (human ovary adenocarcinoma epithelial cell) whole cell lysate with ab309516 at 1/30 dilution (2ug in 0.35mg lysates). Western blot was performed on the immunoprecipitate using ab309516 at 1/1000 dilution. VeriBlot for IP secondary antibody (HRP) (ab131366) was used at 1/5000 dilution.

Lane 1 : NIH OVCAR-3 (human ovary adenocarcinoma epithelial cell) whole cell lysate
Lane 2 : ab309516 IP in NIH OVCAR-3 (human ovary adenocarcinoma epithelial cell) whole cell lysate
Lane 3 : Rabbit monoclonal IgG (ab172730) instead of ab309516 in NIH : OVCAR-3 whole cell lysate

Blocking and dilution buffer and concentration : 5% NFDM/TBST.

Exposure time : 5 seconds

All lanes:

Immunoprecipitation - Anti-Mesothelin antibody [EPR28269-62] (ab309516) at 1/1000 dilution

All lanes:

NIH OVCAR-3 (human ovary adenocarcinoma epithelial cell) whole cell lysate

Secondary

All lanes:

Immunoprecipitation - VeriBlot for IP Detection Reagent (HRP) (<a href='/en-us/products/reagents/veriblot-for-ip-detection-reagent-hrp-ab131366'>ab131366</a>) at 1/5000 dilution

false

Exposure time: 5s

Western blot - Anti-Mesothelin antibody [EPR28269-62] (AB309516)
  • WB

Supplier Data

Western blot - Anti-Mesothelin antibody [EPR28269-62] (AB309516)

Blocking and diluting buffer and concentration : 5% NFDM/TBST 69 kDa full length band and 40 kDa cleavage fragment band were ovserved. Exposure time : Lane 1 : 169 seconds Lane 2 : 70 seconds

All lanes:

Western blot - Anti-Mesothelin antibody [EPR28269-62] (ab309516) at 1/1000 dilution

Lane 1:

Human ovary cancer tissue lysate at 20 µg

Lane 2:

HeLa (human epithelial cell line from cervical adenocarcinoma) whole cell lysate at 20 µg

Secondary

All lanes:

Western blot - Goat Anti-Rabbit IgG H&L (HRP) (<a href='/en-us/products/secondary-antibodies/goat-rabbit-igg-h-l-hrp-ab97051'>ab97051</a>) at 1/100000 dilution

Observed band size: 49 kDa,69 kDa

false

Exposure time: 169s

Western blot - Anti-Mesothelin antibody [EPR28269-62] (AB309516)
  • WB

Supplier Data

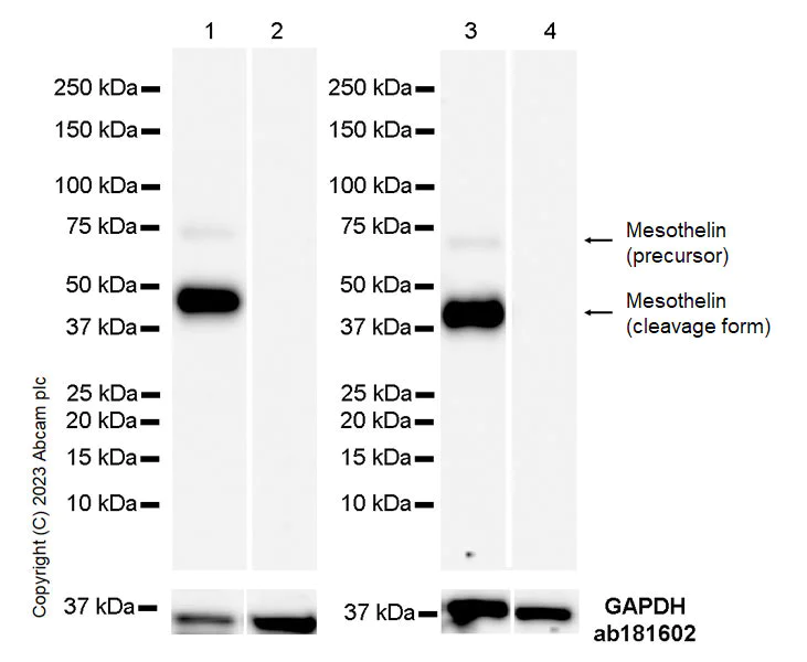
Western blot - Anti-Mesothelin antibody [EPR28269-62] (AB309516)

Blocking and diluting buffer and concentration : 5% NFDM/TBST Negative control : A431(PMID : 20922056); MCF-7(PMID : 8552591). 69 kDa full length band and 40 kDa cleavage fragment band were ovserved. The expression molecular weight observed is consistent with what has been described in the literature (PMID : 20922056; PMID : 8552591) Anti-GAPDH antibody (ab181602) loading control staining at 1/200000 dilution. Exposure time : Lane 1, 2 : 48 seconds Lane 3, 4 : 70 seconds

All lanes:

Western blot - Anti-Mesothelin antibody [EPR28269-62] (ab309516) at 1/1000 dilution

Lane 1:

NIH OVCAR-3 (human ovary adenocarcinoma epithelial cell) whole cell lysate at 20 µg

Lane 2:

MCF7 (human breast adenocarcinoma epithelial cell) whole cell lysate at 20 µg

Lane 3:

NIH:OVCAR-3 whole cell lysate at 20 µg

Lane 4:

A431 (human epidermoid carcinoma epithelial cell) whole cell lysate at 20 µg

Secondary

All lanes:

Western blot - Goat Anti-Rabbit IgG H&L (HRP) (<a href='/en-us/products/secondary-antibodies/goat-rabbit-igg-h-l-hrp-ab97051'>ab97051</a>) at 1/100000 dilution

Observed band size: 40 kDa,69 kDa

false

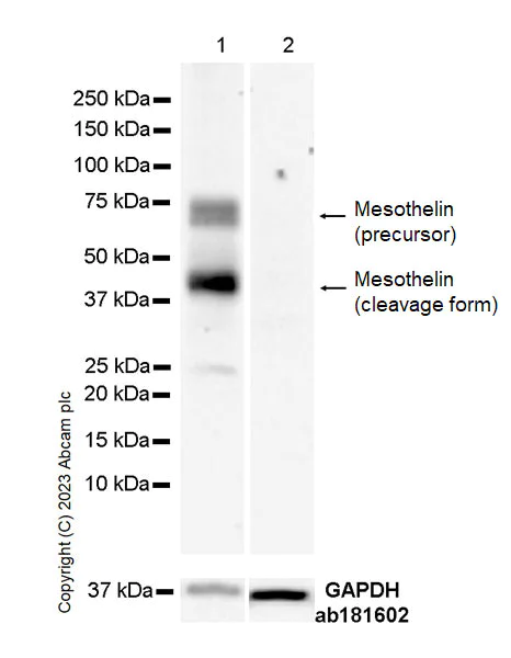
Western blot - Anti-Mesothelin antibody [EPR28269-62] (AB309516)
  • WB

Supplier Data

Western blot - Anti-Mesothelin antibody [EPR28269-62] (AB309516)

Blocking and diluting buffer and concentration : 5% NFDM/TBST Negative control : Huh-7 (PMID : 20922056). 69 kDa full length band and 40 kDa cleavage fragment band were ovserved. This blot was developed using a higher sensitivity ECL substrate. Anti-GAPDH antibody (ab181602) loading control staining at 1/200000 dilution. Exposure time : 3 minutes

All lanes:

Western blot - Anti-Mesothelin antibody [EPR28269-62] (ab309516) at 1/1000 dilution

Lane 1:

SK-OV-3 (human ovarian cancer epithelial cell) whole cell lysate at 20 µg

Lane 2:

Huh7 (human hepatocellar carcinoma epithelial cell) whole cell lysate 20 at 20 µg

Secondary

All lanes:

Western blot - Goat Anti-Rabbit IgG H&L (HRP) (<a href='/en-us/products/secondary-antibodies/goat-rabbit-igg-h-l-hrp-ab97051'>ab97051</a>) at 1/100000 dilution

Observed band size: 40 kDa,69 kDa

false

Exposure time: 3min

  • Carrier free

    Anti-Mesothelin antibody [EPR28269-62] - BSA and Azide free

  • 519 Alexa Fluor® 488

    Alexa Fluor® 488 Anti-Mesothelin antibody [EPR28269-62]

  • 665 Alexa Fluor® 647

    Alexa Fluor® 647 Anti-Mesothelin antibody [EPR28269-62]

Key facts

Host species

Rabbit

Clonality

Monoclonal

Clone number

EPR28269-62

Isotype

IgG

Carrier free

No

Reacts with

Human

Applications

WB, IP, ICC/IF, Flow Cyt

applications

Immunogen

The exact immunogen used to generate this antibody is proprietary information.

Reactivity data

{ "title": "Reactivity Data", "filters": { "stats": ["", "Species", "Dilution Info", "Notes"], "tabs": { "all-applications": {"fullname" : "All Applications", "shortname": "All Applications"}, "WB" : {"fullname" : "Western blot", "shortname":"WB"}, "ICCIF" : {"fullname" : "Immunocytochemistry/ Immunofluorescence", "shortname":"ICC/IF"}, "FlowCyt" : {"fullname" : "Flow Cytometry", "shortname":"Flow Cyt"}, "IP" : {"fullname" : "Immunoprecipitation", "shortname":"IP"}, "IHCP" : {"fullname" : "Immunohistochemistry (Formalin/PFA-fixed paraffin-embedded sections)", "shortname":"IHC-P"} }, "product-promise": { "all": "all", "testedAndGuaranteed": "tested", "guaranteed": "expected", "predicted": "predicted", "notRecommended": "not-recommended" } }, "values": { "Human": { "WB-species-checked": "testedAndGuaranteed", "WB-species-dilution-info": "1/1000", "WB-species-notes": "<p></p>", "ICCIF-species-checked": "testedAndGuaranteed", "ICCIF-species-dilution-info": "1/100", "ICCIF-species-notes": "<p></p>", "FlowCyt-species-checked": "testedAndGuaranteed", "FlowCyt-species-dilution-info": "1/50", "FlowCyt-species-notes": "<p></p>", "IP-species-checked": "testedAndGuaranteed", "IP-species-dilution-info": "1/30", "IP-species-notes": "<p></p>", "IHCP-species-checked": "notRecommended", "IHCP-species-dilution-info": "", "IHCP-species-notes": "<p></p>" }, "Mouse": { "WB-species-checked": "notRecommended", "WB-species-dilution-info": "", "WB-species-notes": "<p></p>", "ICCIF-species-checked": "notRecommended", "ICCIF-species-dilution-info": "", "ICCIF-species-notes": "<p></p>", "FlowCyt-species-checked": "notRecommended", "FlowCyt-species-dilution-info": "", "FlowCyt-species-notes": "", "IP-species-checked": "notRecommended", "IP-species-dilution-info": "", "IP-species-notes": "", "IHCP-species-checked": "notRecommended", "IHCP-species-dilution-info": "", "IHCP-species-notes": "<p></p>" }, "Rat": { "WB-species-checked": "notRecommended", "WB-species-dilution-info": "", "WB-species-notes": "<p></p>", "ICCIF-species-checked": "notRecommended", "ICCIF-species-dilution-info": "", "ICCIF-species-notes": "", "FlowCyt-species-checked": "notRecommended", "FlowCyt-species-dilution-info": "", "FlowCyt-species-notes": "", "IP-species-checked": "notRecommended", "IP-species-dilution-info": "", "IP-species-notes": "", "IHCP-species-checked": "notRecommended", "IHCP-species-dilution-info": "", "IHCP-species-notes": "<p></p>" } } }

Product details

Patented technology
Our RabMAb® technology is a patented hybridoma-based technology for making rabbit monoclonal antibodies. For details on our patents, please refer to RabMAb® patents.

What are the advantages of a recombinant monoclonal antibody?
This product is a recombinant monoclonal antibody, which offers several advantages including:

  • - High batch-to-batch consistency and reproducibility
  • - Improved sensitivity and specificity
  • - Long-term security of supply
  • - Animal-free batch production

For more information, read more on recombinant antibodies.

Properties and storage information

Form
Liquid
Purification technique
Affinity purification Protein A
Storage buffer
pH: 7.2 - 7.4 Preservative: 0.01% Sodium azide Constituents: PBS, 40% Glycerol (glycerin, glycerine), 0.05% BSA
Shipped at conditions
Blue Ice
Appropriate short-term storage duration
1-2 weeks
Appropriate short-term storage conditions
+4°C
Appropriate long-term storage conditions
-20°C
Aliquoting information
Upon delivery aliquot
Storage information
Avoid freeze / thaw cycle

Product protocols

For this product, it's our understanding that no specific protocols are required. You can visit:

Target data

Membrane-anchored forms may play a role in cellular adhesion.. Megakaryocyte-potentiating factor (MPF) potentiates megakaryocyte colony formation in vitro.
See full target information MSLN

Publications (1)

Recent publications for all applications. Explore the full list and refine your search

Journal of ovarian research 18:95 PubMed40325478

2025

Restoration of TP53 strategy via specific nanoparticles for ovarian cancer therapy.

Applications

Unspecified application

Species

Unspecified reactive species

Menglei Zhang,Yuanyuan Gu,Fang Shen,Yingxin Gong,Zheng Gu,Keqin Hua,Guannan Zhou,Jingxin Ding
View all publications

Product promise

We are committed to supporting your work with high-quality reagents, and we're here for you every step of the way. In the unlikely event that one of our products does not perform as expected, you're protected by our Product Promise.
For full details, please see our Terms & Conditions

Please note: All products are 'FOR RESEARCH USE ONLY. NOT FOR USE IN DIAGNOSTIC OR THERAPEUTIC PROCEDURES'.

For licensing inquiries, please contact partnerships@abcam.com