JavaScript is disabled in your browser. Please enable JavaScript to view this website.
AB137654

Anti-Met (c-Met) antibody

Be the first to review this product! Submit a review

|

(4 Publications)

Rabbit Polyclonal Met (c-Met) antibody. Suitable for ICC/IF, IP, WB and reacts with Human samples. Cited in 4 publications. Immunogen corresponding to Synthetic Peptide within Human MET aa 1300 to C-terminus.

View Alternative Names

Hepatocyte growth factor receptor, HGF receptor, HGF/SF receptor, Proto-oncogene c-Met, Scatter factor receptor, Tyrosine-protein kinase Met, SF receptor, MET

5 Images
Immunocytochemistry/ Immunofluorescence - Anti-Met (c-Met) antibody (AB137654)
  • ICC/IF

Supplier Data

Immunocytochemistry/ Immunofluorescence - Anti-Met (c-Met) antibody (AB137654)

Immunofluorescence analysis of HeLa cells fixed in 4% paraformaldehyde at RT for 15 min labelling c-Met protein using ab137654 at a 1/1000 dilution (Green). alpha Tubulin, a cytoskeleton marker, stained by alpha Tubulin antibody at a 1/500 dilution (Red). Hoechst 33342 was used for nuclear staining (Blue).

Immunoprecipitation - Anti-Met (c-Met) antibody (AB137654)
  • IP

Supplier Data

Immunoprecipitation - Anti-Met (c-Met) antibody (AB137654)

Immunoprecipitation of c-Met protein from HeLa whole cell extracts using 5 µg of ab137654. Western blot analysis was performed using ab137654 diluted at 1/500 dilution.

All lanes:

Immunoprecipitation - Anti-Met (c-Met) antibody (ab137654) at 1/500 dilution

Lane 1:

HeLa whole cell extract with control IgG

Lane 2:

HeLa whole cell extract

Secondary

All lanes:

Anti-Rabbit IgG

Predicted band size: 158 kDa

false

Western blot - Anti-Met (c-Met) antibody (AB137654)
  • WB

Supplier Data

Western blot - Anti-Met (c-Met) antibody (AB137654)

Samples were separated by 5% SDS-PAGE.

All lanes:

Western blot - Anti-Met (c-Met) antibody (ab137654) at 1/500 dilution

Lane 1:

Wild-type c-Met HeLa cell extract at 30 µg

Lane 2:

Knockout c-Met HeLa cell extract at 30 µg

Secondary

All lanes:

HRP-conjugated anti-rabbit IgG

Predicted band size: 158 kDa

false

Western blot - Anti-Met (c-Met) antibody (AB137654)
  • WB

Supplier Data

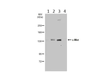
Western blot - Anti-Met (c-Met) antibody (AB137654)

Samples were separated by 5% SDS-PAGE. The signal was developed with Trident ECL plus-Enhanced.

All lanes:

Western blot - Anti-Met (c-Met) antibody (ab137654) at 1/500 dilution

Lane 1:

293T whole cell lysate at 30 µg

Lane 2:

A431 whole cell lysate at 30 µg

Lane 3:

HeLa whole cell lysate at 30 µg

Lane 4:

HepG2 whole cell lysate at 30 µg

Secondary

All lanes:

HRP-conjugated anti-rabbit IgG

Predicted band size: 158 kDa

true

Western blot - Anti-Met (c-Met) antibody (AB137654)
  • WB

Supplier Data

Western blot - Anti-Met (c-Met) antibody (AB137654)

Samples were separated by 5% SDS-PAGE.

All lanes:

Western blot - Anti-Met (c-Met) antibody (ab137654) at 1/500 dilution

Lane 1:

Non-transfected HeLa whole cell extract at 30 µg

Lane 2:

shRNA transfected HeLa whole cell extract at 30 µg

Secondary

All lanes:

HRP-conjugated anti-rabbit IgG

Predicted band size: 158 kDa

false

Key facts

Host species

Rabbit

Clonality

Polyclonal

Isotype

IgG

Carrier free

No

Reacts with

Human

Applications

WB, IP, ICC/IF

applications

Immunogen

Synthetic Peptide within Human MET aa 1300 to C-terminus. The exact immunogen used to generate this antibody is proprietary information.

P08581

Reactivity data

{ "title": "Reactivity Data", "filters": { "stats": ["", "Species", "Dilution Info", "Notes"], "tabs": { "all-applications": {"fullname" : "All Applications", "shortname": "All Applications"}, "ICCIF" : {"fullname" : "Immunocytochemistry/ Immunofluorescence", "shortname":"ICC/IF"}, "IP" : {"fullname" : "Immunoprecipitation", "shortname":"IP"}, "WB" : {"fullname" : "Western blot", "shortname":"WB"} }, "product-promise": { "all": "all", "testedAndGuaranteed": "tested", "guaranteed": "expected", "predicted": "predicted", "notRecommended": "not-recommended" } }, "values": { "Human": { "ICCIF-species-checked": "testedAndGuaranteed", "ICCIF-species-dilution-info": "1/100 - 1/1000", "ICCIF-species-notes": "<p></p>", "IP-species-checked": "testedAndGuaranteed", "IP-species-dilution-info": "1/100 - 1/500", "IP-species-notes": "<p></p>", "WB-species-checked": "testedAndGuaranteed", "WB-species-dilution-info": "1/500 - 1/3000", "WB-species-notes": "<p></p>" } } }

Properties and storage information

Form
Liquid
Purification technique
Affinity purification Immunogen
Storage buffer
pH: 7 Preservative: 0.025% Proclin 300 Constituents: PBS, 20% Glycerol (glycerin, glycerine)
Shipped at conditions
Blue Ice
Appropriate short-term storage conditions
+4°C
Appropriate long-term storage conditions
-20°C
Aliquoting information
Upon delivery aliquot
Storage information
Avoid freeze / thaw cycle

Product protocols

For this product, it's our understanding that no specific protocols are required. You can visit:

Target data

Receptor tyrosine kinase that transduces signals from the extracellular matrix into the cytoplasm by binding to hepatocyte growth factor/HGF ligand. Regulates many physiological processes including proliferation, scattering, morphogenesis and survival. Ligand binding at the cell surface induces autophosphorylation of MET on its intracellular domain that provides docking sites for downstream signaling molecules. Following activation by ligand, interacts with the PI3-kinase subunit PIK3R1, PLCG1, SRC, GRB2, STAT3 or the adapter GAB1. Recruitment of these downstream effectors by MET leads to the activation of several signaling cascades including the RAS-ERK, PI3 kinase-AKT, or PLCgamma-PKC. The RAS-ERK activation is associated with the morphogenetic effects while PI3K/AKT coordinates prosurvival effects. During embryonic development, MET signaling plays a role in gastrulation, development and migration of neuronal precursors, angiogenesis and kidney formation. During skeletal muscle development, it is crucial for the migration of muscle progenitor cells and for the proliferation of secondary myoblasts (By similarity). In adults, participates in wound healing as well as organ regeneration and tissue remodeling. Promotes also differentiation and proliferation of hematopoietic cells. May regulate cortical bone osteogenesis (By similarity).. (Microbial infection) Acts as a receptor for Listeria monocytogenes internalin InlB, mediating entry of the pathogen into cells.
See full target information MET

Publications (4)

Recent publications for all applications. Explore the full list and refine your search

Evidence-based complementary and alternative medicine : eCAM 2021:5574555 PubMed34408780

2021

Curcumin Inhibits HGF-Induced EMT by Regulating c-MET-Dependent PI3K/Akt/mTOR Signaling Pathways in Meningioma.

Applications

Unspecified application

Species

Unspecified reactive species

Xiaodong Chen,Fen Tian,Peng Lun,Yugong Feng

Gland surgery 10:1418-1430 PubMed33968693

2021

Upregulation of LINC00511 expression by DNA hypomethylation promotes the progression of breast cancer.

Applications

Unspecified application

Species

Unspecified reactive species

Chunxiao Liu,Yuting Xu,Xu Liu,Yingqiang Fu,Kaiyuan Zhu,Zhenbo Niu,Jiaxin Liu,Cheng Qian

mAbs 10:1003-1017 PubMed30130447

2018

T-DM1-resistant cells gain high invasive activity via EGFR and integrin cooperated pathways.

Applications

Unspecified application

Species

Unspecified reactive species

Yukinori Endo,Yi Shen,Lamis Abou Youssef,Nishant Mohan,Wen Jin Wu

Proceedings of the National Academy of Sciences of 110:11982-7 PubMed23818604

2013

Highly multiplexed single-cell analysis of formalin-fixed, paraffin-embedded cancer tissue.

Applications

ICC/IF

Species

Human

Michael J Gerdes,Christopher J Sevinsky,Anup Sood,Sudeshna Adak,Musodiq O Bello,Alexander Bordwell,Ali Can,Alex Corwin,Sean Dinn,Robert J Filkins,Denise Hollman,Vidya Kamath,Sireesha Kaanumalle,Kevin Kenny,Melinda Larsen,Michael Lazare,Qing Li,Christina Lowes,Colin C McCulloch,Elizabeth McDonough,Michael C Montalto,Zhengyu Pang,Jens Rittscher,Alberto Santamaria-Pang,Brion D Sarachan,Maximilian L Seel,Antti Seppo,Kashan Shaikh,Yunxia Sui,Jingyu Zhang,Fiona Ginty
View all publications

Product promise

We are committed to supporting your work with high-quality reagents, and we're here for you every step of the way. In the unlikely event that one of our products does not perform as expected, you're protected by our Product Promise.
For full details, please see our Terms & Conditions

Please note: All products are 'FOR RESEARCH USE ONLY. NOT FOR USE IN DIAGNOSTIC OR THERAPEUTIC PROCEDURES'.

For licensing inquiries, please contact partnerships@abcam.com