JavaScript is disabled in your browser. Please enable JavaScript to view this website.
AB157370

Anti-Met (c-Met) antibody [EP1454Y] - BSA and Azide free

Be the first to review this product! Submit a review

|

(1 Publication)

Rabbit Recombinant Monoclonal Met (c-Met) antibody. Carrier free. Suitable for IHC-P, I-ELISA, WB and reacts with Human, Mouse, Rat, Recombinant full length protein - Human samples. Cited in 1 publication.

View Alternative Names

Hepatocyte growth factor receptor, HGF receptor, HGF/SF receptor, Proto-oncogene c-Met, Scatter factor receptor, Tyrosine-protein kinase Met, SF receptor, MET

6 Images
Western blot - Anti-Met (c-Met) antibody [EP1454Y] - BSA and Azide free (AB157370)
  • WB

Lab

Western blot - Anti-Met (c-Met) antibody [EP1454Y] - BSA and Azide free (AB157370)

This data was developed using the same antibody clone in a different buffer formulation (ab51067). Western blot : Anti-MET antibody [EP1454Y] (ab51067) staining at 1/1000 dilution, shown in green; Mouse anti-GAPDH antibody [6C5] (ab8245) loading control staining at 1/20000 dilution, shown in magenta. In Western blot, ab51067 was shown to bind specifically to MET. A band was observed at 40-50 kDa in wild-type A549 cell lysates with no signal observed at this size in MET knockout cell line. To generate this image, wild-type and MET knockout A549 cell lysates were analysed. First, samples were run on an SDS-PAGE gel then transferred onto a nitrocellulose membrane. Membranes were blocked in 3% milk in TBS-0.1% Tween® 20 (TBS-T) before incubation with primary antibodies overnight at 4°C. Blots were washed four times in TBS-T, incubated with secondary antibodies for 1 h at room temperature, washed again four times then imaged. Secondary antibodies used were Goat anti-Rabbit IgG H&L 800CW and Goat anti-Mouse IgG H&L 680RD at 1/20000 dilution.

Lanes 1 - 6:

Western blot - Anti-Met (c-Met) antibody [EP1454Y] - N-terminal (<a href='/en-us/products/primary-antibodies/met-c-met-antibody-ep1454y-n-terminal-ab51067'>ab51067</a>) at 1/1000 dilution

Lanes 1 - 2:

Western blot - Anti-IMPDH2 antibody [EPR8365(B)] (<a href='/en-us/products/primary-antibodies/impdh2-antibody-epr8365b-ab129165'>ab129165</a>) at 1/1000 dilution

Lane 1:

Wild-type A549 cell lysate at 20 µg

Lane 2:

MET knockout A549 cell lysate at 20 µg

Lane 3:

Wild-type HeLa ab255929 cell lysate at 20 µg

Lane 4:

MET (Met (c-Met)) knockout HeLa <a href='/en-us/products/cell-lysates/human-met-c-met-knockout-hela-cell-lysate-ab256991'>ab256991</a> cell lysate at 20 µg

Lane 5:

HT-29 cell lysate at 20 µg

Lane 6:

T-47D cell lysate at 20 µg

Secondary

All lanes:

NFDM/TBST at 1/20000 dilution

Observed band size: 40-50 kDa

false

Immunohistochemistry (Formalin/PFA-fixed paraffin-embedded sections) - Anti-Met (c-Met) antibody [EP1454Y] - BSA and Azide free (AB157370)
  • IHC-P

AbReview60220****

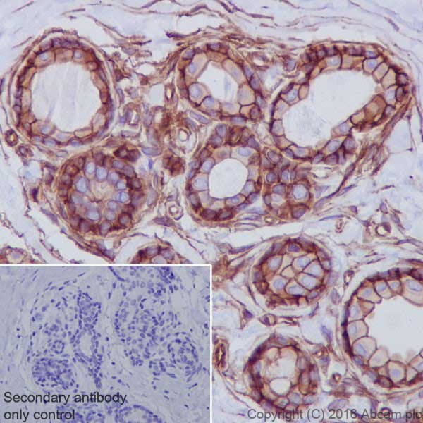
Immunohistochemistry (Formalin/PFA-fixed paraffin-embedded sections) - Anti-Met (c-Met) antibody [EP1454Y] - BSA and Azide free (AB157370)

ab51067 staining Met (c-Met) in human breast tissue sections by Immunohistochemistry (IHC-P - paraformaldehyde-fixed, paraffin-embedded sections).

Tissue was fixed with formaldehyde, permeabilized with 0.05% Tween-20 and blocked for 30 minutes at 22°C; antigen retrieval was by heat mediation in antigen retrieval buffer (100X citrate buffer pH 6.0) (ab94674). Samples were incubated with the primary antibody (1/100) for 14 hours at 4°C. An Alexa Fluor® 488-conjugated goat anti-rabbit IgG polyclonal (1/300) was used as the secondary antibody.

This data was developed using the same antibody clone in a different buffer formulation containing PBS, BSA, glycerol, and sodium azide (ab51067).

This image is courtesy of an Abreview submitted by David Ivancic.

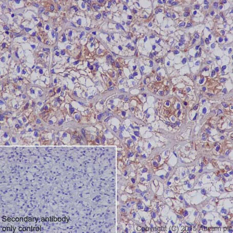
Immunohistochemistry (Formalin/PFA-fixed paraffin-embedded sections) - Anti-Met (c-Met) antibody [EP1454Y] - BSA and Azide free (AB157370)
  • IHC-P

Unknown

Immunohistochemistry (Formalin/PFA-fixed paraffin-embedded sections) - Anti-Met (c-Met) antibody [EP1454Y] - BSA and Azide free (AB157370)

Immunohistochemical staining of paraffin embedded human clear cell kidney carcinoma with purified ab51067 at a working dilution of 1/100. The secondary antibody used is HRP goat anti-rabbit IgG H&L (ab97051) at 1/500. The sample is counterstained with hematoxylin. Antigen retrieval was perfomed using Tris-EDTA buffer, pH 9.0.

PBS was used instead of the primary antibody as the negative control (inset).

This data was developed using the same antibody clone in a different buffer formulation containing PBS, BSA, glycerol, and sodium azide (ab51067).

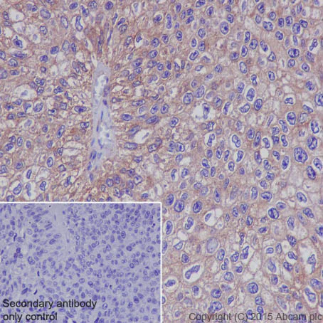
Immunohistochemistry (Formalin/PFA-fixed paraffin-embedded sections) - Anti-Met (c-Met) antibody [EP1454Y] - BSA and Azide free (AB157370)
  • IHC-P

Unknown

Immunohistochemistry (Formalin/PFA-fixed paraffin-embedded sections) - Anti-Met (c-Met) antibody [EP1454Y] - BSA and Azide free (AB157370)

Immunohistochemical staining of paraffin embedded human bladder carcinoma with purified ab51067 at a working dilution of 1/100. The secondary antibody used is HRP goat anti-rabbit IgG H&L (ab97051) at 1/500. The sample is counterstained with hematoxylin. Antigen retrieval was perfomed using Tris-EDTA buffer, pH 9.0.

PBS was used instead of the primary antibody as the negative control (inset).

This data was developed using the same antibody clone in a different buffer formulation containing PBS, BSA, glycerol, and sodium azide (ab51067).

Indirect ELISA - Anti-Met (c-Met) antibody [EP1454Y] - BSA and Azide free (AB157370)
  • I-ELISA

Supplier Data

Indirect ELISA - Anti-Met (c-Met) antibody [EP1454Y] - BSA and Azide free (AB157370)

This data was developed using ab51067, the same antibody clone in a different buffer formulation.

ELISA analysis of Human Met recombinant protein at 1000 ng/mL with ab51067. An Alkaline Phosphatase-conjugated AffiniPure Goat Anti-Rabbit IgG (H+L) at 1/2500 dilution was used as the secondary antibody.

Western blot - Anti-Met (c-Met) antibody [EP1454Y] - BSA and Azide free (AB157370)
  • WB

Lab

Western blot - Anti-Met (c-Met) antibody [EP1454Y] - BSA and Azide free (AB157370)

This data was developed using the same antibody clone in a different buffer formulation (ab51067).

False colour image of Western blot : Anti-Met (c-Met) antibody [EP1454Y] - N-terminal staining at 1/1000 dilution, shown in green; Rabbit Anti-GAPDH antibody [EPR16891] (ab181602) loading control staining at 1/20000 dilution, shown in red. In Western blot, ab51067 was shown to bind specifically to the alpha chain of c-Met. A band was observed at 50 kDa in wild-type HeLa cell lysates with no signal observed at this size in MET knockout cell line ab265961 (knockout cell lysate ab256991). To generate this image, wild-type and MET knockout HeLa cell lysates were analysed. First, samples were run on an SDS-PAGE gel then transferred onto a nitrocellulose membrane. Membranes were blocked in 3 % milk in TBS-0.1 % Tween® 20 (TBS-T) before incubation with primary antibodies overnight at 4°C. Blots were washed four times in TBS-T, incubated with secondary antibodies for 1 h at room temperature, washed again four times then imaged. Secondary antibodies used were HRP conjugated Goat anti-Rabbit (H+L) and Goat anti-Mouse IgG H&L (IRDye® 680RD) preabsorbed (ab216776) at 1/20000 dilution.

All lanes:

Western blot - Anti-Met (c-Met) antibody [EP1454Y] - BSA and Azide free (ab157370) at 1/1000 dilution

Predicted band size: 155 kDa

Observed band size: 50 kDa

false

  • Unconjugated

    Anti-Met (c-Met) antibody [EP1454Y] - N-terminal

  • 603 Alexa Fluor® 568

    Alexa Fluor® 568 Anti-Met (c-Met) antibody [EP1454Y] - N-terminal

  • 519 Alexa Fluor® 488

    Alexa Fluor® 488 Anti-Met (c-Met) antibody [EP1454Y] - N-terminal

  • 665 Alexa Fluor® 647

    Alexa Fluor® 647 Anti-Met (c-Met) antibody [EP1454Y] - N-terminal

  • 775 Alexa Fluor® 750

    Alexa Fluor® 750 Anti-Met (c-Met) antibody [EP1454Y] - N-terminal

  • 617 Alexa Fluor® 594

    Alexa Fluor® 594 Anti-Met (c-Met) antibody [EP1454Y] - N-terminal

  • 565 Alexa Fluor® 555

    Alexa Fluor® 555 Anti-Met (c-Met) antibody [EP1454Y] - N-terminal

Key facts

Host species

Rabbit

Clonality

Monoclonal

Clone number

EP1454Y

Isotype

IgG

Carrier free

Yes

Reacts with

Mouse, Rat, Human

Applications

IHC-P, WB, I-ELISA

applications

Immunogen

The exact immunogen used to generate this antibody is proprietary information.

Reactivity data

{ "title": "Reactivity Data", "filters": { "stats": ["", "Species", "Dilution Info", "Notes"], "tabs": { "all-applications": {"fullname" : "All Applications", "shortname": "All Applications"}, "IHCP" : {"fullname" : "Immunohistochemistry (Formalin/PFA-fixed paraffin-embedded sections)", "shortname":"IHC-P"}, "IELISA" : {"fullname" : "Indirect ELISA", "shortname":"I-ELISA"}, "WB" : {"fullname" : "Western blot", "shortname":"WB"}, "ICCIF" : {"fullname" : "Immunocytochemistry/ Immunofluorescence", "shortname":"ICC/IF"}, "FlowCyt" : {"fullname" : "Flow Cytometry", "shortname":"Flow Cyt"} }, "product-promise": { "all": "all", "testedAndGuaranteed": "tested", "guaranteed": "expected", "predicted": "predicted", "notRecommended": "not-recommended" } }, "values": { "Human": { "IHCP-species-checked": "testedAndGuaranteed", "IHCP-species-dilution-info": "", "IHCP-species-notes": "<p></p>", "IELISA-species-checked": "guaranteed", "IELISA-species-dilution-info": "", "IELISA-species-notes": "", "WB-species-checked": "testedAndGuaranteed", "WB-species-dilution-info": "", "WB-species-notes": "<p></p>", "ICCIF-species-checked": "notRecommended", "ICCIF-species-dilution-info": "", "ICCIF-species-notes": "<p>Jurkat is the negative cell line for <a href='/en-us/products/primary-antibodies/met-c-met-antibody-ep1454y-n-terminal-ab51067'>ab51067</a> (PMID: 15911745 and PMID: 12538467).</p>", "FlowCyt-species-checked": "notRecommended", "FlowCyt-species-dilution-info": "", "FlowCyt-species-notes": "<p><a href='/en-us/products/primary-antibodies/rabbit-igg-monoclonal-epr25a-isotype-control-low-endotoxin-azide-free-ab199376'>ab199376</a> - Rabbit monoclonal IgG, is suitable for use as an isotype control with this antibody.</p>" }, "Mouse": { "IHCP-species-checked": "guaranteed", "IHCP-species-dilution-info": "", "IHCP-species-notes": "", "IELISA-species-checked": "guaranteed", "IELISA-species-dilution-info": "", "IELISA-species-notes": "", "WB-species-checked": "testedAndGuaranteed", "WB-species-dilution-info": "", "WB-species-notes": "<p></p>", "ICCIF-species-checked": "notRecommended", "ICCIF-species-dilution-info": "", "ICCIF-species-notes": "<p>Jurkat is the negative cell line for <a href='/en-us/products/primary-antibodies/met-c-met-antibody-ep1454y-n-terminal-ab51067'>ab51067</a> (PMID: 15911745 and PMID: 12538467).</p>", "FlowCyt-species-checked": "notRecommended", "FlowCyt-species-dilution-info": "", "FlowCyt-species-notes": "<p><a href='/en-us/products/primary-antibodies/rabbit-igg-monoclonal-epr25a-isotype-control-low-endotoxin-azide-free-ab199376'>ab199376</a> - Rabbit monoclonal IgG, is suitable for use as an isotype control with this antibody.</p>" }, "Rat": { "IHCP-species-checked": "guaranteed", "IHCP-species-dilution-info": "", "IHCP-species-notes": "", "IELISA-species-checked": "guaranteed", "IELISA-species-dilution-info": "", "IELISA-species-notes": "", "WB-species-checked": "testedAndGuaranteed", "WB-species-dilution-info": "", "WB-species-notes": "<p></p>", "ICCIF-species-checked": "notRecommended", "ICCIF-species-dilution-info": "", "ICCIF-species-notes": "<p>Jurkat is the negative cell line for <a href='/en-us/products/primary-antibodies/met-c-met-antibody-ep1454y-n-terminal-ab51067'>ab51067</a> (PMID: 15911745 and PMID: 12538467).</p>", "FlowCyt-species-checked": "notRecommended", "FlowCyt-species-dilution-info": "", "FlowCyt-species-notes": "<p><a href='/en-us/products/primary-antibodies/rabbit-igg-monoclonal-epr25a-isotype-control-low-endotoxin-azide-free-ab199376'>ab199376</a> - Rabbit monoclonal IgG, is suitable for use as an isotype control with this antibody.</p>" }, "Recombinant full length protein - Human": { "IHCP-species-checked": "notRecommended", "IHCP-species-dilution-info": "", "IHCP-species-notes": "", "IELISA-species-checked": "testedAndGuaranteed", "IELISA-species-dilution-info": "", "IELISA-species-notes": "<p></p>", "WB-species-checked": "notRecommended", "WB-species-dilution-info": "", "WB-species-notes": "", "ICCIF-species-checked": "notRecommended", "ICCIF-species-dilution-info": "", "ICCIF-species-notes": "", "FlowCyt-species-checked": "notRecommended", "FlowCyt-species-dilution-info": "", "FlowCyt-species-notes": "" } } }

Product details

ab157370 is the carrier-free version of ab51067.

Patented technology
Our RabMAb® technology is a patented hybridoma-based technology for making rabbit monoclonal antibodies. For details on our patents, please refer to RabMAb® patents.

Conjugation ready
Our carrier-free antibodies are typically supplied in a PBS-only formulation, purified and free of BSA, sodium azide and glycerol. This conjugation-ready format is designed for use with fluorochromes, metal isotopes, oligonucleotides, and enzymes, which makes them ideal for antibody labelling, functional and cell-based assays, flow-based assays (e.g. mass cytometry) and Multiplex Imaging applications.

Use our conjugation kits for antibody conjugates that are ready-to-use in as little as 20 minutes with 1 minute hands-on-time and 100% antibody recovery: available for fluorescent dyes, HRP, biotin and gold.

Compatibility
This product is compatible with the Maxpar® Antibody Labeling Kit from Fluidigm, without the need for antibody preparation. Maxpar® is a trademark of Fluidigm Canada Inc.

Properties and storage information

Form
Liquid
Purification technique
Affinity purification Protein A
Purification notes
Protein-A purification via MabSelect SuRe
Storage buffer
Constituents: PBS
Shipped at conditions
Blue Ice
Appropriate short-term storage conditions
+4°C
Appropriate long-term storage conditions
+4°C
Storage information
Do Not Freeze

Product protocols

For this product, it's our understanding that no specific protocols are required. You can visit:

Target data

Receptor tyrosine kinase that transduces signals from the extracellular matrix into the cytoplasm by binding to hepatocyte growth factor/HGF ligand. Regulates many physiological processes including proliferation, scattering, morphogenesis and survival. Ligand binding at the cell surface induces autophosphorylation of MET on its intracellular domain that provides docking sites for downstream signaling molecules. Following activation by ligand, interacts with the PI3-kinase subunit PIK3R1, PLCG1, SRC, GRB2, STAT3 or the adapter GAB1. Recruitment of these downstream effectors by MET leads to the activation of several signaling cascades including the RAS-ERK, PI3 kinase-AKT, or PLCgamma-PKC. The RAS-ERK activation is associated with the morphogenetic effects while PI3K/AKT coordinates prosurvival effects. During embryonic development, MET signaling plays a role in gastrulation, development and migration of neuronal precursors, angiogenesis and kidney formation. During skeletal muscle development, it is crucial for the migration of muscle progenitor cells and for the proliferation of secondary myoblasts (By similarity). In adults, participates in wound healing as well as organ regeneration and tissue remodeling. Promotes also differentiation and proliferation of hematopoietic cells. May regulate cortical bone osteogenesis (By similarity).. (Microbial infection) Acts as a receptor for Listeria monocytogenes internalin InlB, mediating entry of the pathogen into cells.
See full target information MET

Publications (1)

Recent publications for all applications. Explore the full list and refine your search

Biochemistry and biophysics reports 35:101497 PubMed37534324

2023

Umbilical mesenchymal stem cell-derived exosomes promote spinal cord functional recovery through the miR-146b/TLR4 -mediated NF-κB p65 signaling pathway in rats.

Applications

Unspecified application

Species

Unspecified reactive species

Xiujuan Wang,Ying Yang,Wei Li,MingYuan Hao,YongSheng Xu
View all publications

Product promise

We are committed to supporting your work with high-quality reagents, and we're here for you every step of the way. In the unlikely event that one of our products does not perform as expected, you're protected by our Product Promise.
For full details, please see our Terms & Conditions

Please note: All products are 'FOR RESEARCH USE ONLY. NOT FOR USE IN DIAGNOSTIC OR THERAPEUTIC PROCEDURES'.

For licensing inquiries, please contact partnerships@abcam.com