JavaScript is disabled in your browser. Please enable JavaScript to view this website.
AB51067

Anti-Met (c-Met) antibody [EP1454Y] - N-terminal

  • RabMAb
  • Recombinant
  • KO Validated
  • 20ul selling size
  • What is this?

5

(13 Reviews)

|

(139 Publications)

Anti-Met (c-Met) antibody [EP1454Y] - N-terminal (ab51067) is a rabbit monoclonal antibody detecting Met (c-Met) in Western Blot, IHC-P, ELISA. Suitable for Human, Mouse, Rat.

- KO validated for confirmed specificity
- Biophysical QC for unrivalled batch-batch consistency
- Over 110 publications
- Trusted since 2007

View Alternative Names

Hepatocyte growth factor receptor, HGF receptor, HGF/SF receptor, Proto-oncogene c-Met, Scatter factor receptor, Tyrosine-protein kinase Met, SF receptor, MET

10 Images
Western blot - Anti-Met (c-Met) antibody [EP1454Y] - N-terminal (AB51067)
  • WB

Lab

Western blot - Anti-Met (c-Met) antibody [EP1454Y] - N-terminal (AB51067)

False colour image of Western blot : Anti-Met (c-Met) antibody [EP1454Y] - N-terminal staining at 1/1000 dilution, shown in green; Rabbit Anti-GAPDH antibody [EPR16891] (ab181602) loading control staining at 1/20000 dilution, shown in red. In Western blot, ab51067 was shown to bind specifically to the alpha chain of c-Met. A band was observed at 50 kDa in wild-type HeLa cell lysates with no signal observed at this size in MET knockout cell line ab265961 (knockout cell lysate ab256991). To generate this image, wild-type and MET knockout HeLa cell lysates were analysed. First, samples were run on an SDS-PAGE gel then transferred onto a nitrocellulose membrane. Membranes were blocked in 3 % milk in TBS-0.1 % Tween® 20 (TBS-T) before incubation with primary antibodies overnight at 4°C. Blots were washed four times in TBS-T, incubated with secondary antibodies for 1 h at room temperature, washed again four times then imaged. Secondary antibodies used were HRP conjugated Goat anti-Rabbit (H+L) and Goat anti-Mouse IgG H&L (IRDye® 680RD) preabsorbed (ab216776) at 1/20000 dilution.

All lanes:

Western blot - Anti-Met (c-Met) antibody [EP1454Y] - N-terminal (ab51067) at 1/1000 dilution

Lane 1:

Wild-type HeLa cell lysate at 20 µg

Lane 2:

MET knockout HeLa cell lysate at 20 µg

Predicted band size: 155 kDa

Observed band size: 50 kDa

false

Western blot - Anti-Met (c-Met) antibody [EP1454Y] - N-terminal (AB51067)
  • WB

Lab

Western blot - Anti-Met (c-Met) antibody [EP1454Y] - N-terminal (AB51067)

Western blot : Anti-MET antibody [EP1454Y] (ab51067) staining at 1/1000 dilution, shown in green; Mouse anti-GAPDH antibody [6C5] (ab8245) loading control staining at 1/20000 dilution, shown in magenta. In Western blot, ab51067 was shown to bind specifically to MET. A band was observed at 40-50 kDa in wild-type A549 cell lysates with no signal observed at this size in MET knockout cell line. To generate this image, wild-type and MET knockout A549 cell lysates were analysed. First, samples were run on an SDS-PAGE gel then transferred onto a nitrocellulose membrane. Membranes were blocked in 3% milk in TBS-0.1% Tween® 20 (TBS-T) before incubation with primary antibodies overnight at 4°C. Blots were washed four times in TBS-T, incubated with secondary antibodies for 1 h at room temperature, washed again four times then imaged. Secondary antibodies used were Goat anti-Rabbit IgG H&L 800CW and Goat anti-Mouse IgG H&L 680RD at 1/20000 dilution.

Lanes 1 - 6:

Western blot - Anti-Met (c-Met) antibody [EP1454Y] - N-terminal (ab51067) at 1/1000 dilution

Lanes 1 - 2:

Western blot - Anti-IMPDH2 antibody [EPR8365(B)] (<a href='/en-us/products/primary-antibodies/impdh2-antibody-epr8365b-ab129165'>ab129165</a>) at 1/1000 dilution

Lane 1:

Wild-type A549 cell lysate at 20 µg

Lane 2:

MET knockout A549 cell lysate at 20 µg

Lane 3:

Wild-type HeLa ab255929 cell lysate at 20 µg

Lane 4:

MET (Met (c-Met)) knockout HeLa <a href='/en-us/products/cell-lysates/human-met-c-met-knockout-hela-cell-lysate-ab256991'>ab256991</a> cell lysate at 20 µg

Lane 5:

HT-29 cell lysate at 20 µg

Lane 6:

T-47D cell lysate at 20 µg

Secondary

All lanes:

NFDM/TBST at 1/20000 dilution

Observed band size: 40-50 kDa

false

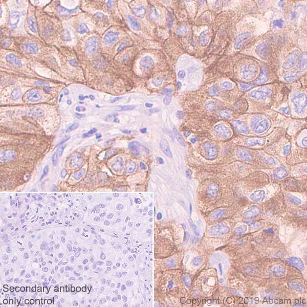
Immunohistochemistry (Formalin/PFA-fixed paraffin-embedded sections) - Anti-Met (c-Met) antibody [EP1454Y] - N-terminal (AB51067)
  • IHC-P

Unknown

Immunohistochemistry (Formalin/PFA-fixed paraffin-embedded sections) - Anti-Met (c-Met) antibody [EP1454Y] - N-terminal (AB51067)

Immunohistochemical staining of paraffin embedded human bladder carcinoma with purified ab51067 at a working dilution of 1/100. The secondary antibody used is HRP goat anti-rabbit IgG H&L (ab97051) at 1/500. The sample is counterstained with hematoxylin. Antigen retrieval was perfomed using Tris-EDTA buffer, pH 9.0.

PBS was used instead of the primary antibody as the negative control (inset).

Immunohistochemistry (Formalin/PFA-fixed paraffin-embedded sections) - Anti-Met (c-Met) antibody [EP1454Y] - N-terminal (AB51067)
  • IHC-P

AbReview60220****

Immunohistochemistry (Formalin/PFA-fixed paraffin-embedded sections) - Anti-Met (c-Met) antibody [EP1454Y] - N-terminal (AB51067)

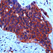
ab51067 staining Met (c-Met) in human breast tissue sections by Immunohistochemistry (IHC-P - paraformaldehyde-fixed, paraffin-embedded sections).

Tissue was fixed with formaldehyde, permeabilized with 0.05% Tween-20 and blocked for 30 minutes at 22°C; antigen retrieval was by heat mediation in antigen retrieval buffer (100X citrate buffer pH 6.0) (ab94674). Samples were incubated with the primary antibody (1/100) for 14 hours at 4°C. An Alexa Fluor® 488-conjugated goat anti-rabbit IgG polyclonal (1/300) was used as the secondary antibody.

This image is courtesy of an Abreview submitted by David Ivancic.

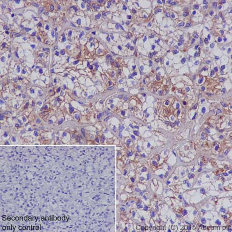
Immunohistochemistry (Formalin/PFA-fixed paraffin-embedded sections) - Anti-Met (c-Met) antibody [EP1454Y] - N-terminal (AB51067)
  • IHC-P

Unknown

Immunohistochemistry (Formalin/PFA-fixed paraffin-embedded sections) - Anti-Met (c-Met) antibody [EP1454Y] - N-terminal (AB51067)

Immunohistochemical staining of paraffin embedded human clear cell kidney carcinoma with purified ab51067 at a working dilution of 1/100. The secondary antibody used is HRP goat anti-rabbit IgG H&L (ab97051) at 1/500. The sample is counterstained with hematoxylin. Antigen retrieval was perfomed using Tris-EDTA buffer, pH 9.0.

PBS was used instead of the primary antibody as the negative control (inset).

Indirect ELISA - Anti-Met (c-Met) antibody [EP1454Y] - N-terminal (AB51067)
  • I-ELISA

Supplier Data

Indirect ELISA - Anti-Met (c-Met) antibody [EP1454Y] - N-terminal (AB51067)

ELISA analysis of Human Met recombinant protein at 1000 ng/mL with ab51067. An Alkaline Phosphatase-conjugated AffiniPure Goat Anti-Rabbit IgG (H+L) at 1/2500 dilution was used as the secondary antibody.

Western blot - Anti-Met (c-Met) antibody [EP1454Y] - N-terminal (AB51067)
  • WB

Lab

Western blot - Anti-Met (c-Met) antibody [EP1454Y] - N-terminal (AB51067)

Lanes 1 - 3 : Merged signal (red and green). Green - ab51067 observed at 50 kDa. Red - loading control, ab18058, observed at 130 kDa.

This blot was produced using a 4-12% Bis-tris gel under the MOPS buffer system. The gel was run at 200V for 50 minutes before being transferred onto a Nitrocellulose membrane at 30V for 70 minutes. The membrane was then blocked for an hour using Licor blocking buffer before being incubated with ab51067 and ab18058 (loading control) overnight at 4°C. Antibody binding was detected using Goat anti-Rabbit IgG H&L (IRDye® 800CW) preabsorbed (ab216773) and Goat anti-Mouse IgG H&L (IRDye® 680RD) preabsorbed (ab216776) at a 1 : 10000 dilution for 1hr at room temperature and then imaged.

All lanes:

Western blot - Anti-Met (c-Met) antibody [EP1454Y] - N-terminal (ab51067) at 1/1000 dilution

Lane 1:

Mouse thymus tissue lysate at 20 µg

Lane 2:

Rat thymus tissue lysate at 20 µg

Lane 3:

Mouse lung tissue lysate at 20 µg

Secondary

All lanes:

Western blot - Goat anti-Rabbit IgG H&L (IRDye® 800CW) preadsorbed (<a href='/en-us/products/secondary-antibodies/goat-rabbit-igg-h-l-irdye-800cw-preadsorbed-ab216773'>ab216773</a>) at 1/10000 dilution

Predicted band size: 155 kDa

Observed band size: 50 kDa

false

Western blot - Anti-Met (c-Met) antibody [EP1454Y] - N-terminal (AB51067)
  • WB

Supplier Data

Western blot - Anti-Met (c-Met) antibody [EP1454Y] - N-terminal (AB51067)

Lanes 1 - 2 : Merged signal (red and green). Green - ab216574 observed at 156 kDa. Red - loading control, ab8245 observed at 37 kDa.

ab216574 was shown to react with Met (c-Met) in wild-type HeLa. Loss of signal was observed when knockout cell line ab265961 (knockout cell lysate ab256991) was used. Wild-type and Met (c-Met) knockout samples were subjected to SDS-PAGE. ab216574 and Anti-GAPDH antibody [6C5] - Loading Control (ab8245) were incubated overnight at 4°C at 1 in 1000 dilution and 1 in 20000 dilution respectively. Blots were developed with Goat anti-Rabbit IgG H&L (IRDye® 800CW) preadsorbed (ab216773) and Goat anti-Mouse IgG H&L (IRDye® 680RD) preadsorbed (ab216776) secondary antibodies at 1 in 20000 dilution for 1 hour at room temperature before imaging.

All lanes:

Western blot - Anti-Met (c-Met) antibody [EP1454Y] - N-terminal (ab51067) at 1/1000 dilution

Lane 1:

Wild-type HeLa at 20 µg

Lane 2:

MET knockout HeLa at 20 µg

Secondary

All lanes:

Western blot - Goat anti-Rabbit IgG H&L (IRDye® 800CW) preadsorbed (<a href='/en-us/products/secondary-antibodies/goat-rabbit-igg-h-l-irdye-800cw-preadsorbed-ab216773'>ab216773</a>) at 1/20000 dilution

Predicted band size: 155 kDa

Observed band size: 37 kDa

false

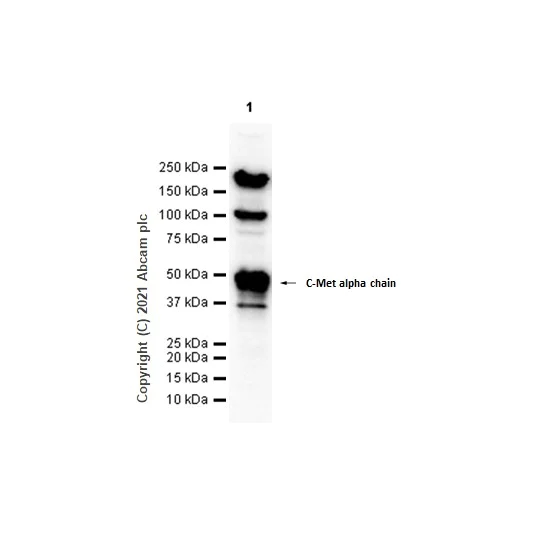
Western blot - Anti-Met (c-Met) antibody [EP1454Y] - N-terminal (AB51067)
  • WB

Lab

Western blot - Anti-Met (c-Met) antibody [EP1454Y] - N-terminal (AB51067)

Blocking buffer / Diluent and concentration :

5% NFDM/TBST

All lanes:

Western blot - Anti-Met (c-Met) antibody [EP1454Y] - N-terminal (ab51067) at 1/1000 dilution

All lanes:

HeLa (Human cervix adenocarcinoma epithelial cell) whole cell lysates at 20 µg

Secondary

All lanes:

Western blot - Goat Anti-Rabbit IgG H&L (HRP) (<a href='/en-us/products/secondary-antibodies/goat-rabbit-igg-h-l-hrp-ab97051'>ab97051</a>) at 1/10000 dilution

Predicted band size: 155 kDa

Observed band size: 50 kDa

false

Exposure time: 60s

Western blot - Anti-Met (c-Met) antibody [EP1454Y] - N-terminal (AB51067)
  • WB

CiteAb

Western blot - Anti-Met (c-Met) antibody [EP1454Y] - N-terminal (AB51067)

Met (c-Met) western blot using anti-Met (c-Met) antibody [EP1454Y] - N-terminal ab51067. Publication image and figure legend from Zhao, Q., Zhu, H. P., et al., 2020, Int J Mol Sci, PubMed 32156008.

ab51067 was used in this publication in western blot. This may not be the same as the application(s) guaranteed by Abcam. For a full list of applications guaranteed by Abcam for ab51067 please see the product overview.

(A) Cells were incubated with various concentrations (0, 20, or 40 μg/mL) of DHP1808 for 24 h. Expression or phosphorylation levels of HSP90 client proteins were determined by western blot analysis; (B) Cells were incubated with various concentrations (0, 20, or 40 μg/mL) of DHP1808 for 24 h. Expression or phosphorylation levels of proteins associated with MAPK signaling pathway were determined by western blot analysis; (C) Cells were incubated with various concentrations (0, 20, or 40 μg/mL) of DHP1808 for 24 h. Expression or phosphorylation level of proteins associated with the PI3K-Akt signaling pathway was determined by western blot analysis; (D). The fold change of EGFR expression was determined by qPCR analysis.

false

  • 603 Alexa Fluor® 568

    Alexa Fluor® 568 Anti-Met (c-Met) antibody [EP1454Y] - N-terminal

  • 617 Alexa Fluor® 594

    Alexa Fluor® 594 Anti-Met (c-Met) antibody [EP1454Y] - N-terminal

  • 519 Alexa Fluor® 488

    Alexa Fluor® 488 Anti-Met (c-Met) antibody [EP1454Y] - N-terminal

  • Carrier free

    Anti-Met (c-Met) antibody [EP1454Y] - BSA and Azide free

  • 665 Alexa Fluor® 647

    Alexa Fluor® 647 Anti-Met (c-Met) antibody [EP1454Y] - N-terminal

  • 565 Alexa Fluor® 555

    Alexa Fluor® 555 Anti-Met (c-Met) antibody [EP1454Y] - N-terminal

  • 775 Alexa Fluor® 750

    Alexa Fluor® 750 Anti-Met (c-Met) antibody [EP1454Y] - N-terminal

Key facts

Host species

Rabbit

Clonality

Monoclonal

Clone number

EP1454Y

Isotype

IgG

Carrier free

No

Reacts with

Mouse, Rat, Human

Applications

I-ELISA, WB, IHC-P

applications

Immunogen

The exact immunogen used to generate this antibody is proprietary information.

Reactivity data

{ "title": "Reactivity Data", "filters": { "stats": ["", "Species", "Dilution Info", "Notes"], "tabs": { "all-applications": {"fullname" : "All Applications", "shortname": "All Applications"}, "IHCP" : {"fullname" : "Immunohistochemistry (Formalin/PFA-fixed paraffin-embedded sections)", "shortname":"IHC-P"}, "IELISA" : {"fullname" : "Indirect ELISA", "shortname":"I-ELISA"}, "WB" : {"fullname" : "Western blot", "shortname":"WB"}, "ICCIF" : {"fullname" : "Immunocytochemistry/ Immunofluorescence", "shortname":"ICC/IF"}, "FlowCyt" : {"fullname" : "Flow Cytometry", "shortname":"Flow Cyt"} }, "product-promise": { "all": "all", "testedAndGuaranteed": "tested", "guaranteed": "expected", "predicted": "predicted", "notRecommended": "not-recommended" } }, "values": { "Human": { "IHCP-species-checked": "testedAndGuaranteed", "IHCP-species-dilution-info": "1/100 - 1/250", "IHCP-species-notes": "<p></p> Perform heat-mediated antigen retrieval before commencing with IHC staining protocol.", "IELISA-species-checked": "guaranteed", "IELISA-species-dilution-info": "", "IELISA-species-notes": "", "WB-species-checked": "testedAndGuaranteed", "WB-species-dilution-info": "1/1000 - 1/10000", "WB-species-notes": "<p></p>", "ICCIF-species-checked": "notRecommended", "ICCIF-species-dilution-info": "", "ICCIF-species-notes": "<p>Jurkat is the negative cell line for ab51067 (PMID: 15911745 and PMID: 12538467).</p>", "FlowCyt-species-checked": "notRecommended", "FlowCyt-species-dilution-info": "1/100 - 1/1000", "FlowCyt-species-notes": "<p><a href='/en-us/products/primary-antibodies/rabbit-igg-monoclonal-epr25a-isotype-control-ab172730'>ab172730</a> - Rabbit monoclonal IgG, is suitable for use as an isotype control with this antibody.</p>" }, "Mouse": { "IHCP-species-checked": "guaranteed", "IHCP-species-dilution-info": "1/100 - 1/250", "IHCP-species-notes": "<p></p> Perform heat-mediated antigen retrieval before commencing with IHC staining protocol.", "IELISA-species-checked": "guaranteed", "IELISA-species-dilution-info": "", "IELISA-species-notes": "", "WB-species-checked": "testedAndGuaranteed", "WB-species-dilution-info": "1/1000 - 1/10000", "WB-species-notes": "<p></p>", "ICCIF-species-checked": "notRecommended", "ICCIF-species-dilution-info": "", "ICCIF-species-notes": "<p>Jurkat is the negative cell line for ab51067 (PMID: 15911745 and PMID: 12538467).</p>", "FlowCyt-species-checked": "notRecommended", "FlowCyt-species-dilution-info": "1/100 - 1/1000", "FlowCyt-species-notes": "<p><a href='/en-us/products/primary-antibodies/rabbit-igg-monoclonal-epr25a-isotype-control-ab172730'>ab172730</a> - Rabbit monoclonal IgG, is suitable for use as an isotype control with this antibody.</p>" }, "Rat": { "IHCP-species-checked": "guaranteed", "IHCP-species-dilution-info": "1/100 - 1/250", "IHCP-species-notes": "<p></p> Perform heat-mediated antigen retrieval before commencing with IHC staining protocol.", "IELISA-species-checked": "guaranteed", "IELISA-species-dilution-info": "", "IELISA-species-notes": "", "WB-species-checked": "testedAndGuaranteed", "WB-species-dilution-info": "1/1000 - 1/10000", "WB-species-notes": "<p></p>", "ICCIF-species-checked": "notRecommended", "ICCIF-species-dilution-info": "", "ICCIF-species-notes": "<p>Jurkat is the negative cell line for ab51067 (PMID: 15911745 and PMID: 12538467).</p>", "FlowCyt-species-checked": "notRecommended", "FlowCyt-species-dilution-info": "1/100 - 1/1000", "FlowCyt-species-notes": "<p><a href='/en-us/products/primary-antibodies/rabbit-igg-monoclonal-epr25a-isotype-control-ab172730'>ab172730</a> - Rabbit monoclonal IgG, is suitable for use as an isotype control with this antibody.</p>" }, "Recombinant fragment - Human": { "IHCP-species-checked": "notRecommended", "IHCP-species-dilution-info": "", "IHCP-species-notes": "", "IELISA-species-checked": "testedAndGuaranteed", "IELISA-species-dilution-info": "", "IELISA-species-notes": "<p></p>", "WB-species-checked": "notRecommended", "WB-species-dilution-info": "", "WB-species-notes": "", "ICCIF-species-checked": "notRecommended", "ICCIF-species-dilution-info": "", "ICCIF-species-notes": "", "FlowCyt-species-checked": "notRecommended", "FlowCyt-species-dilution-info": "", "FlowCyt-species-notes": "" } } }

Product details

Product Specifications

Anti-Met (c-Met) antibody [EP1454Y] - N-terminal (ab51067) was developed by Abcam using patented rabbit monoclonal antibody technology and is validated for use in I-ELISA, IHC-P, WB in human, mouse, rat samples.
Anti-Met (c-Met) antibody [EP1454Y] - N-terminal (ab51067) specifically detects Met (c-Met) (UniProt ID: P08581; Molecular weight: 153kDa) and is sold in 100 µL and 1 mL selling sizes.

Quality and Validation

Abcam's high quality manufacturing and validation processes ensure Anti-Met (c-Met) antibody [EP1454Y] - N-terminal (ab51067) has high sensitivity and specificity alongside high lot-to-lot consistency and reproducibility.
The specificity of Anti-Met (c-Met) antibody [EP1454Y] - N-terminal (ab51067) has been confirmed by testing in knockout samples.
Anti-Met (c-Met) antibody [EP1454Y] - N-terminal (ab51067) has been cited over 113 times in peer reviewed journals and is trusted by the scientific community.
Anti-Met (c-Met) antibody [EP1454Y] - N-terminal (ab51067) has 13 independent reviews from customers.
Related Products
Conjugation-ready, carrier free format available for antibody clone EP1454Y - ab157370.
Antibody clone EP1454Y is also available pre-conjugated to a variety of labels for your convenience - Alexa Fluor® 488, Alexa Fluor® 647, Alexa Fluor® 594, Alexa Fluor® 568, Alexa Fluor® 555, Alexa Fluor® 750, HRP (ab311009, ab311137, ab311774, ab313055, ab313255, ab321642).

Patented technology
Our RabMAb® technology is a patented hybridoma-based technology for making rabbit monoclonal antibodies. For details on our patents, please refer to RabMAb® patents.

What are the advantages of a recombinant monoclonal antibody?
This product is a recombinant monoclonal antibody, which offers several advantages including:

  • - High batch-to-batch consistency and reproducibility
  • - Improved sensitivity and specificity
  • - Long-term security of supply
  • - Animal-free batch production

For more information, read more on recombinant antibodies.

Properties and storage information

Form
Liquid
Purification technique
Affinity purification Protein A
Storage buffer
pH: 7.2 - 7.4 Preservative: 0.01% Sodium azide Constituents: PBS, 50% Glycerol (glycerin, glycerine), 0.05% BSA
Shipped at conditions
Blue Ice
Appropriate short-term storage duration
1-2 weeks
Appropriate short-term storage conditions
+4°C
Appropriate long-term storage conditions
-20°C
Aliquoting information
Upon delivery aliquot
Storage information
Avoid freeze / thaw cycle

Product protocols

For this product, it's our understanding that no specific protocols are required. You can visit:

Target data

Receptor tyrosine kinase that transduces signals from the extracellular matrix into the cytoplasm by binding to hepatocyte growth factor/HGF ligand. Regulates many physiological processes including proliferation, scattering, morphogenesis and survival. Ligand binding at the cell surface induces autophosphorylation of MET on its intracellular domain that provides docking sites for downstream signaling molecules. Following activation by ligand, interacts with the PI3-kinase subunit PIK3R1, PLCG1, SRC, GRB2, STAT3 or the adapter GAB1. Recruitment of these downstream effectors by MET leads to the activation of several signaling cascades including the RAS-ERK, PI3 kinase-AKT, or PLCgamma-PKC. The RAS-ERK activation is associated with the morphogenetic effects while PI3K/AKT coordinates prosurvival effects. During embryonic development, MET signaling plays a role in gastrulation, development and migration of neuronal precursors, angiogenesis and kidney formation. During skeletal muscle development, it is crucial for the migration of muscle progenitor cells and for the proliferation of secondary myoblasts (By similarity). In adults, participates in wound healing as well as organ regeneration and tissue remodeling. Promotes also differentiation and proliferation of hematopoietic cells. May regulate cortical bone osteogenesis (By similarity).. (Microbial infection) Acts as a receptor for Listeria monocytogenes internalin InlB, mediating entry of the pathogen into cells.
See full target information MET

Publications (139)

Recent publications for all applications. Explore the full list and refine your search

CEN case reports 14:857-862 PubMed40921965

2025

Good response with nivolumab and cabozantinib combination therapy in patients with metastatic collecting duct carcinoma with high expression of PD-L1, c-MET, and AXL.

Applications

Unspecified application

Species

Unspecified reactive species

Tatsuya Umemoto,Masanori Hasegawa,Jun Naruse,Tatsuo Kano,Nobuyuki Nakajima,Masahiro Nitta,Yoshiaki Kawamura,Hiroshi Kajiwara,Sunao Shoji

Scientific reports 15:21780 PubMed40594499

2025

DDTC-Cu(I) inhibits human osteosarcoma cells growth by repressing MET/PI3K/AKT signaling pathway.

Applications

Unspecified application

Species

Unspecified reactive species

Ruhao Zhou,Lei Yan,Kun Zhang,Song Chen,Yang Yu,Xiaochun Wei,Yongchun Pan,Chaojian Xu,Xiaojuan Sun,Zhi Lv,Pengcui Li,Xiaochen Qiao,Yi Feng,Zhi Tian

Cancer cell international 25:100 PubMed40098146

2025

Broussoflavonol B induces S-phase arrest and apoptosis in pancreatic cancer cells by modulating the cell cycle checkpoint through inhibition of the AURKA/PLK1 pathway.

Applications

Unspecified application

Species

Unspecified reactive species

HyokChol Choe,Zhen Wang,Jianhua Huang,Yutong Yang,Zhihao Zhao,HyonSu Jo,HyonU Pak,Tanveer Ali,Kaiyue Ding,Junnan Ma,Lingzhi Li,Dong Shang,Lin Zhang

Journal of molecular and cellular cardiology plus 11:100287 PubMed40028176

2025

Angiotensin IV does not exert prothrombotic effects .

Applications

Unspecified application

Species

Unspecified reactive species

Qifang Wu,Christine Gille,Florian Maderspacher,Bianca Hildebrand,Manuela Thienel,Sebastian Clauss

Cell reports. Medicine 6:101978 PubMed39999837

2025

Near-infrared fluorescence imaging with an MET-targeting probe for biopsy site selection in patients with oral potentially malignant disorders.

Applications

Unspecified application

Species

Unspecified reactive species

Jingbo Wang,Xuemin Shen,Qifan Ma,Lin Yang,Xiaoyu Zhou,Luting Wang,Junqi Cui,Chunye Zhang,Guojun Li,Neil Gross,Siyi Li,Ruimin Huang,Changyou Zhan,Zhen Cheng,Kun Wang,Jie Tian,Ying Yuan,Xiaofeng Tao

iScience 28:111844 PubMed39981519

2025

P-cadherin-dependent adhesions are required for single lumen formation and HGF-mediated cell protrusions during epithelial morphogenesis.

Applications

Unspecified application

Species

Unspecified reactive species

Sydnie K Tran,Jessanne Y Lichtenberg,Corinne E Leonard,Jessica R Williamson,Hazel R Sterling,Grace K Panek,Amanda H Pearson,Santiago Lopez,Christopher A Lemmon,Daniel E Conway,Priscilla Y Hwang

Anticancer research 45:639-650 PubMed39890197

2025

Efficacy of Second-line Nivolumab Tyrosine Kinase Inhibitors for Renal Cell Carcinoma With Bone Metastases.

Applications

Unspecified application

Species

Unspecified reactive species

Gaku Yamamichi,Taigo Kato,Akihiro Yoshimura,Masaru Tani,Yuki Horibe,Yutong Liu,Nesrine Sassi,Yohei Okuda,Toshiki Oka,Toshihiro Uemura,Akinaru Yamamoto,Y U Ishizuya,Takuji Hayashi,Yoshiyuki Yamamoto,Koji Hatano,Atsunari Kawashima,Tetsuya Takao,Kensaku Nishimura,Shingo Takada,Masao Tsujihata,Norio Nonomura

Clinical cancer research : an official journal of the American Association for Cancer Research 31:98-109 PubMed39513952

2024

Targeting c-MET for Endoscopic Detection of Dysplastic Lesions within Barrett's Esophagus Using EMI-137 Fluorescence Imaging.

Applications

Unspecified application

Species

Unspecified reactive species

Yi-Jhih Huang,Jonas Rieder,Kel Vin Tan,Anna Tenditnaya,Borivoj Vojnovic,Dimitris Gorpas,Michael Quante,Katherine A Vallis

Cell reports. Medicine 5:101653 PubMed39019009

2024

Neddylation inhibition prevents acetaminophen-induced liver damage by enhancing the anabolic cardiolipin pathway.

Applications

Unspecified application

Species

Unspecified reactive species

Clàudia Gil-Pitarch,Marina Serrano-Maciá,Jorge Simon,Laura Mosca,Carolina Conter,Claudia M Rejano-Gordillo,L Estefanía Zapata-Pavas,Patricia Peña-Sanfélix,Mikel Azkargorta,Rubén Rodríguez-Agudo,Sofía Lachiondo-Ortega,Maria Mercado-Gómez,Teresa C Delgado,Marina Porcelli,Igor Aurrekoetxea,James D Sutherland,Rosa Barrio,Dimitris Xirodimas,Patricia Aspichueta,Felix Elortza,Luis Alfonso Martínez-Cruz,Rubén Nogueiras,Paula Iruzubieta,Javier Crespo,Steven Masson,Misti Vanette McCain,Helen L Reeves,Raul J Andrade,M Isabel Lucena,Ugo Mayor,Naroa Goikoetxea-Usandizaga,Irene González-Recio,María L Martínez-Chantar

Respiratory research 25:257 PubMed38909206

2024

Deregulated immune cell recruitment orchestrated by c-MET impairs pulmonary inflammation and fibrosis.

Applications

Unspecified application

Species

Unspecified reactive species

Catarina Barbosa-Matos,Caroline Borges-Pereira,Sofia Libório-Ramos,Raquel Fernandes,Marcela Oliveira,Ana Mendes-Frias,Ricardo Silvestre,Nuno S Osório,Hélder N Bastos,Rita F Santos,Susana Guimarães,António Morais,Massimiliano Mazzone,Agostinho Carvalho,Cristina Cunha,Sandra Costa
View all publications

Product promise

We are committed to supporting your work with high-quality reagents, and we're here for you every step of the way. In the unlikely event that one of our products does not perform as expected, you're protected by our Product Promise.
For full details, please see our Terms & Conditions

Please note: All products are 'FOR RESEARCH USE ONLY. NOT FOR USE IN DIAGNOSTIC OR THERAPEUTIC PROCEDURES'.

For licensing inquiries, please contact partnerships@abcam.com