JavaScript is disabled in your browser. Please enable JavaScript to view this website.
AB216574

Anti-Met (c-Met) antibody [EPR19067]

Be the first to review this product! Submit a review

|

(24 Publications)

Anti-Met (c-Met) antibody [EPR19067] (ab216574) is a rabbit monoclonal antibody detecting Met (c-Met) in Western Blot, Flow Cytometry (Intra), Flow Cytometry, IHC-P, ICC/IF, ELISA. Suitable for Human,.

- KO validated for confirmed specificity
- Biophysical QC for unrivalled batch-batch consistency
- Over 10 publications

View Alternative Names

Hepatocyte growth factor receptor, HGF receptor, HGF/SF receptor, Proto-oncogene c-Met, Scatter factor receptor, Tyrosine-protein kinase Met, SF receptor, MET

12 Images
Immunohistochemistry (Formalin/PFA-fixed paraffin-embedded sections) - Anti-Met (c-Met) antibody [EPR19067] (AB216574)
  • IHC-P

Supplier Data

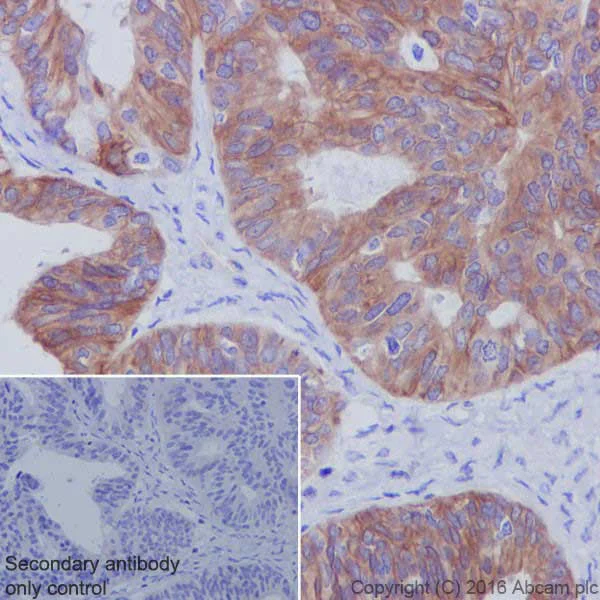
Immunohistochemistry (Formalin/PFA-fixed paraffin-embedded sections) - Anti-Met (c-Met) antibody [EPR19067] (AB216574)

Immunohistochemical analysis of paraffin-embedded human liver cancer tissue labeling Met (c-Met) with ab216574 at 1/2000 dilution followed by Goat Anti-Rabbit IgG H&L (HRP) ready to use.

Membranous staining on tumor cells of human liver cancer is observed.

Counter stained with Hematoxylin.

Secondary antibody only control : Used PBS instead of primary antibody secondary antibody is Goat Anti-Rabbit IgG H&L (HRP) ready to use.

Perform heat mediated antigen retrieval with Tris/EDTA buffer pH 9.0 before commencing with IHC staining protocol.

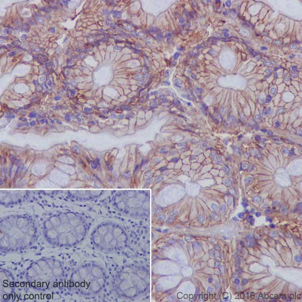
Immunohistochemistry (Formalin/PFA-fixed paraffin-embedded sections) - Anti-Met (c-Met) antibody [EPR19067] (AB216574)
  • IHC-P

Supplier Data

Immunohistochemistry (Formalin/PFA-fixed paraffin-embedded sections) - Anti-Met (c-Met) antibody [EPR19067] (AB216574)

Immunohistochemical analysis of paraffin-embedded human colon tissue labeling Met (c-Met) with ab216574 at 1/2000 dilution followed by Goat Anti-Rabbit IgG H&L (HRP) ready to use.

Membranous staining on human colon is observed.

Counter stained with Hematoxylin.

Secondary antibody only control : Used PBS instead of primary antibody secondary antibody is Goat Anti-Rabbit IgG H&L (HRP) ready to use.

Perform heat mediated antigen retrieval with Tris/EDTA buffer pH 9.0 before commencing with IHC staining protocol.

Flow Cytometry (Intracellular) - Anti-Met (c-Met) antibody [EPR19067] (AB216574)
  • Flow Cyt (Intra)

Supplier Data

Flow Cytometry (Intracellular) - Anti-Met (c-Met) antibody [EPR19067] (AB216574)

Intracellular flow cytometric analysis of 4% paraformaldehyde-fixed A549 (Human lung carcinoma cell line) cells labeling Met (c-Met) with ab216574 at 1/600 dilution (red) compared with a rabbit monoclonal IgG isotype control (ab172730; black) and an unlabelled control (cells without incubation with primary antibody and secondary antibody; blue). Goat anti rabbit IgG (Alexa Fluor® 488) at 1/2000 dilution was used as the secondary antibody.

Immunocytochemistry/ Immunofluorescence - Anti-Met (c-Met) antibody [EPR19067] (AB216574)
  • ICC/IF

Supplier Data

Immunocytochemistry/ Immunofluorescence - Anti-Met (c-Met) antibody [EPR19067] (AB216574)

Immunofluorescent analysis of 4% paraformaldehyde-fixed, 0.1% Triton X-100 permeabilized A549 (Human lung carcinoma cell line) cells labeling Met (c-Met) with ab216574 at 1/1000 dilution, followed by Goat anti-rabbit IgG (Alexa Fluor® 488) (ab150077) secondary antibody at 1/1000 dilution (green).

Confocal image showing cytoplasmic staining on A549 cell line.

The nuclear counterstain is DAPI (blue).

Tubulin is detected with ab195889 (Anti-alpha Tubulin antibody [DM1A] - Microtubule Marker (Alexa Fluor® 594)) at 1/200 dilution (red).

Secondary antibody only control : Used PBS instead of primary antibody, secondary antibody is Goat anti-rabbit IgG (Alexa Fluor® 488) (ab150077) at 1/1000 dilution.

Immunocytochemistry/ Immunofluorescence - Anti-Met (c-Met) antibody [EPR19067] (AB216574)
  • ICC/IF

Supplier Data

Immunocytochemistry/ Immunofluorescence - Anti-Met (c-Met) antibody [EPR19067] (AB216574)

Immunofluorescent analysis of 4% paraformaldehyde-fixed 0.1% Triton X-100 permeabilized HeLa (Human epithelial cell line from cervix adenocarcinoma) cells labeling Met (c-Met) with ab216574 at 1/1000 dilution followed by Goat anti-rabbit IgG (Alexa Fluor® 488) (ab150077) secondary antibody at 1/1000 dilution (green).

Confocal image showing cytoplasmic staining on HeLa cell line.

The nuclear counterstain is DAPI (blue).

Tubulin is detected with ab195889 (Anti-alpha Tubulin antibody [DM1A] - Microtubule Marker (Alexa Fluor® 594)) at 1/200 dilution (red).

Secondary antibody only control : Used PBS instead of primary antibody secondary antibody is Goat anti-rabbit IgG (Alexa Fluor® 488) (ab150077) at 1/1000 dilution.

Flow Cytometry (Intracellular) - Anti-Met (c-Met) antibody [EPR19067] (AB216574)
  • Flow Cyt (Intra)

Supplier Data

Flow Cytometry (Intracellular) - Anti-Met (c-Met) antibody [EPR19067] (AB216574)

Intracellular flow cytometric analysis of 4% paraformaldehyde-fixed HeLa (Human epithelial cell line from cervix adenocarcinoma) cells labeling Met (c-Met) with ab216574 at 1/600 dilution (red) compared with a rabbit monoclonal IgG isotype control (ab172730; black) and an unlabelled control (cells without incubation with primary antibody and secondary antibody; blue). Goat anti rabbit IgG (Alexa Fluor® 488) at 1/2000 dilution was used as the secondary antibody.

Immunohistochemistry (Formalin/PFA-fixed paraffin-embedded sections) - Anti-Met (c-Met) antibody [EPR19067] (AB216574)
  • IHC-P

Supplier Data

Immunohistochemistry (Formalin/PFA-fixed paraffin-embedded sections) - Anti-Met (c-Met) antibody [EPR19067] (AB216574)

Immunohistochemical analysis of paraffin-embedded human ovary cancer tissue labeling Met (c-Met) with ab216574 at 1/2000 dilution followed by Goat Anti-Rabbit IgG H&L (HRP) ready to use.

Cytoplasmic and membranous staining on tumor cells of human ovary cancer is observed.

Counter stained with Hematoxylin.

Secondary antibody only control : Used PBS instead of primary antibody secondary antibody is Goat Anti-Rabbit IgG H&L (HRP) ready to use.

Perform heat mediated antigen retrieval with Tris/EDTA buffer pH 9.0 before commencing with IHC staining protocol.

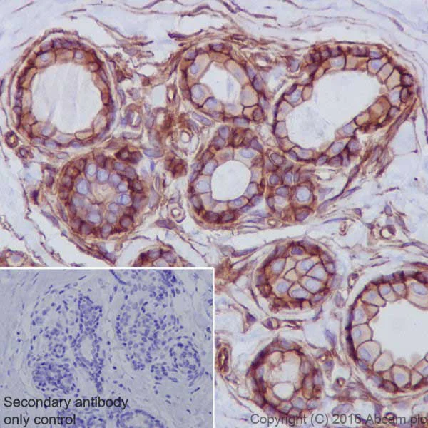
Immunohistochemistry (Formalin/PFA-fixed paraffin-embedded sections) - Anti-Met (c-Met) antibody [EPR19067] (AB216574)
  • IHC-P

Supplier Data

Immunohistochemistry (Formalin/PFA-fixed paraffin-embedded sections) - Anti-Met (c-Met) antibody [EPR19067] (AB216574)

Immunohistochemical analysis of paraffin-embedded human breast tissue labeling Met (c-Met) with ab216574 at 1/2000 dilution followed by Goat Anti-Rabbit IgG H&L (HRP) ready to use.

Membranous staining on human breast is observed.

Counter stained with Hematoxylin.

Secondary antibody only control : Used PBS instead of primary antibody secondary antibody is Goat Anti-Rabbit IgG H&L (HRP) ready to use.

Perform heat mediated antigen retrieval with Tris/EDTA buffer pH 9.0 before commencing with IHC staining protocol.

Indirect ELISA - Anti-Met (c-Met) antibody [EPR19067] (AB216574)
  • I-ELISA

Supplier Data

Indirect ELISA - Anti-Met (c-Met) antibody [EPR19067] (AB216574)

ELISA analysis of Human c-met recombinant protein at 1000 ng/mL with ab216574. An Alkaline Phosphatase-conjugated AffiniPure Goat Anti-Rabbit IgG (H+L) at 1/2500 dilution was used as the secondary antibody.

Western blot - Anti-Met (c-Met) antibody [EPR19067] (AB216574)
  • WB

Lab

Western blot - Anti-Met (c-Met) antibody [EPR19067] (AB216574)

Lanes 1 - 2 : Merged signal (red and green). Green - ab216574 observed at 156 kDa. Red - loading control, ab8245 observed at 37 kDa.

ab216574 was shown to react with Met (c-Met) in wild-type HeLa. Loss of signal was observed when knockout cell line ab265961 (knockout cell lysate ab256991) was used. Wild-type and Met (c-Met) knockout samples were subjected to SDS-PAGE. ab216574 and Anti-GAPDH antibody [6C5] - Loading Control (ab8245) were incubated overnight at 4°C at 1 in 1000 dilution and 1 in 20000 dilution respectively. Blots were developed with Goat anti-Rabbit IgG H&L (IRDye® 800CW) preadsorbed (ab216773) and Goat anti-Mouse IgG H&L (IRDye® 680RD) preadsorbed (ab216776) secondary antibodies at 1 in 20000 dilution for 1 hour at room temperature before imaging.

All lanes:

Western blot - Anti-Met (c-Met) antibody [EPR19067] (ab216574) at 1/1000 dilution

All lanes:

Western blot - Human MET (Met (c-Met)) knockout HeLa cell pellet (<a href='/en-us/products/cell-lysates/human-met-met-c-met-knockout-hela-cell-pellet-ab278899'>ab278899</a>)

Predicted band size: 155 kDa

Observed band size: 156 kDa

false

Western blot - Anti-Met (c-Met) antibody [EPR19067] (AB216574)
  • WB

Supplier Data

Western blot - Anti-Met (c-Met) antibody [EPR19067] (AB216574)

Blocking/Dilution buffer : 5% NFDM/TBST.

In human liver the antibody detected c-Met beta subunit (145 kDa) [PMID : 22418436] and a cleavage c-Met fragment (100 kDa) [PMID : 18187039].

All lanes:

Western blot - Anti-Met (c-Met) antibody [EPR19067] (ab216574) at 1/1000 dilution

All lanes:

Human liver lysate at 10 µg

Secondary

All lanes:

Goat Anti-Rabbit IgG Peroxidase Conjugate, specific to the non-reduced form of IgG at 1/10000 dilution

Predicted band size: 155 kDa

Observed band size: 100-150 kDa

false

Exposure time: 30s

Western blot - Anti-Met (c-Met) antibody [EPR19067] (AB216574)
  • WB

Supplier Data

Western blot - Anti-Met (c-Met) antibody [EPR19067] (AB216574)

Blocking and Diluting buffer and concentration : 5% NFDM /TBST

All lanes:

Western blot - Anti-Met (c-Met) antibody [EPR19067] (ab216574) at 1/10000 dilution

Lane 1:

293T whole cell lysate (Human epithelial cell line from embryonic kidney) transfected with an empty expression vector at 10 µg

Lane 2:

293T whole cell lysate transfected with a His-tagged human c-Met construct at 10 µg

Secondary

All lanes:

Western blot - Goat Anti-Rabbit IgG H&L (HRP) (<a href='/en-us/products/secondary-antibodies/goat-rabbit-igg-h-l-hrp-ab97051'>ab97051</a>) at 1/100000 dilution

Predicted band size: 155 kDa

Observed band size: 150-175 kDa

false

Exposure time: 1s

  • Carrier free

    Anti-Met (c-Met) antibody [EPR19067] - BSA and Azide free

  • 519 Alexa Fluor® 488

    Alexa Fluor® 488 Anti-Met (c-Met) antibody [EPR19067]

  • Carrier free

    Anti-Met (c-Met) antibody [EPR19067] - Low endotoxin, Azide free

Key facts

Host species

Rabbit

Clonality

Monoclonal

Clone number

EPR19067

Isotype

IgG

Carrier free

No

Reacts with

Human

Applications

WB, ICC/IF, IHC-P, Flow Cyt (Intra), I-ELISA

applications

Immunogen

The exact immunogen used to generate this antibody is proprietary information.

Reactivity data

{ "title": "Reactivity Data", "filters": { "stats": ["", "Species", "Dilution Info", "Notes"], "tabs": { "all-applications": {"fullname" : "All Applications", "shortname": "All Applications"}, "IELISA" : {"fullname" : "Indirect ELISA", "shortname":"I-ELISA"}, "WB" : {"fullname" : "Western blot", "shortname":"WB"}, "ICCIF" : {"fullname" : "Immunocytochemistry/ Immunofluorescence", "shortname":"ICC/IF"}, "FlowCytIntra" : {"fullname" : "Flow Cytometry (Intracellular)", "shortname":"Flow Cyt (Intra)"}, "IHCP" : {"fullname" : "Immunohistochemistry (Formalin/PFA-fixed paraffin-embedded sections)", "shortname":"IHC-P"} }, "product-promise": { "all": "all", "testedAndGuaranteed": "tested", "guaranteed": "expected", "predicted": "predicted", "notRecommended": "not-recommended" } }, "values": { "Human": { "IELISA-species-checked": "testedAndGuaranteed", "IELISA-species-dilution-info": "", "IELISA-species-notes": "<p></p>", "WB-species-checked": "testedAndGuaranteed", "WB-species-dilution-info": "1/1000", "WB-species-notes": "<p></p>", "ICCIF-species-checked": "testedAndGuaranteed", "ICCIF-species-dilution-info": "1/1000", "ICCIF-species-notes": "<p></p>", "FlowCytIntra-species-checked": "testedAndGuaranteed", "FlowCytIntra-species-dilution-info": "1/600", "FlowCytIntra-species-notes": "<p></p>", "IHCP-species-checked": "testedAndGuaranteed", "IHCP-species-dilution-info": "1/2000", "IHCP-species-notes": "<p></p>" }, "Recombinant fragment - Human": { "IELISA-species-checked": "notRecommended", "IELISA-species-dilution-info": "", "IELISA-species-notes": "", "WB-species-checked": "testedAndGuaranteed", "WB-species-dilution-info": "1/1000", "WB-species-notes": "<p></p>", "ICCIF-species-checked": "notRecommended", "ICCIF-species-dilution-info": "", "ICCIF-species-notes": "", "FlowCytIntra-species-checked": "notRecommended", "FlowCytIntra-species-dilution-info": "", "FlowCytIntra-species-notes": "", "IHCP-species-checked": "notRecommended", "IHCP-species-dilution-info": "", "IHCP-species-notes": "" } } }

Product details

What is this antibody validated in?
Anti-Met (c-Met) antibody [EPR19067] (ab216574) is a rabbit recombinant monoclonal antibody and is validated for use in Western Blot (WB), Flow Cytometry (Intra), Flow Cytometry (Flow Cyt), Immunohistochemistry (IHC-P), Immunocytochemistry/immunofluorescence (ICC/IF), ELISA in Human, samples.

What is the molecular weight of Met (c-Met)?
Anti-Met (c-Met) [EPR19067] (ab216574) specifically detects a band for Met (c-Met) (UniProt: P08581) at a molecular weight of 155kDa.

Trusted by the scientific community
Anti-Met (c-Met) [EPR19067] (ab216574) was first used in a scientific publication in 2016 and has been cited over 10 times in peer-reviewed journals.

Trial sizes available!
Test your antibody or perform pre-screening before committing to a larger quantity. Sold in 10µl. Discover our selection of trial-size antibodies.

Specificity confirmed
The specificity of Anti-Met (c-Met) antibody [EPR19067] (ab216574) has been confirmed by Western blot testing in MET Knockout HAP1 cell line, ab265961.

Other related products
We have a range of other formats of antibody clone [EPR19067] also available for your convenience: ab216574, Carrier free - ab222925, Alexa Fluor® 488 - ab225524, Carrier free - ab271998

Patented technology
Our RabMAb® technology is a patented hybridoma-based technology for making rabbit monoclonal antibodies. For details on our patents, please refer to RabMAb® patents.

What are the advantages of a recombinant monoclonal antibody?
This product is a recombinant monoclonal antibody, which offers several advantages including:

  • - High batch-to-batch consistency and reproducibility
  • - Improved sensitivity and specificity
  • - Long-term security of supply
  • - Animal-free batch production

For more information, read more on recombinant antibodies.

Properties and storage information

Form
Liquid
Purification technique
Affinity purification Protein A
Storage buffer
pH: 7.2 - 7.4 Preservative: 0.01% Sodium azide Constituents: PBS, 40% Glycerol (glycerin, glycerine), 0.05% BSA
Shipped at conditions
Blue Ice
Appropriate short-term storage duration
1-2 weeks
Appropriate short-term storage conditions
+4°C
Appropriate long-term storage conditions
-20°C
Aliquoting information
Upon delivery aliquot
Storage information
Avoid freeze / thaw cycle

Product protocols

For this product, it's our understanding that no specific protocols are required. You can visit:

Target data

Receptor tyrosine kinase that transduces signals from the extracellular matrix into the cytoplasm by binding to hepatocyte growth factor/HGF ligand. Regulates many physiological processes including proliferation, scattering, morphogenesis and survival. Ligand binding at the cell surface induces autophosphorylation of MET on its intracellular domain that provides docking sites for downstream signaling molecules. Following activation by ligand, interacts with the PI3-kinase subunit PIK3R1, PLCG1, SRC, GRB2, STAT3 or the adapter GAB1. Recruitment of these downstream effectors by MET leads to the activation of several signaling cascades including the RAS-ERK, PI3 kinase-AKT, or PLCgamma-PKC. The RAS-ERK activation is associated with the morphogenetic effects while PI3K/AKT coordinates prosurvival effects. During embryonic development, MET signaling plays a role in gastrulation, development and migration of neuronal precursors, angiogenesis and kidney formation. During skeletal muscle development, it is crucial for the migration of muscle progenitor cells and for the proliferation of secondary myoblasts (By similarity). In adults, participates in wound healing as well as organ regeneration and tissue remodeling. Promotes also differentiation and proliferation of hematopoietic cells. May regulate cortical bone osteogenesis (By similarity).. (Microbial infection) Acts as a receptor for Listeria monocytogenes internalin InlB, mediating entry of the pathogen into cells.
See full target information MET

Publications (24)

Recent publications for all applications. Explore the full list and refine your search

ACS omega 10:34528-34538 PubMed40821538

2025

Exploring the Antitumor Mechanisms of Bai-Hua-She-She-Cao and Ban-Zhi-Lian against Head and Neck Squamous Cell Carcinoma: A Study on Natural Anticancer Therapeutics.

Applications

Unspecified application

Species

Unspecified reactive species

Yuchen Zhang,Yuxing Pan,Kunpeng Wang

Journal of experimental & clinical cancer research : CR 44:213 PubMed40682179

2025

Monitoring soluble cMET and ctDNA in metastatic uveal melanoma patients to track early disease progression on immunotherapies.

Applications

Unspecified application

Species

Unspecified reactive species

Devayani Machiraju,Christian H Ziener,Elena Clementi,Francisco García-Asencio,Jennifer Hüllein,Jasmin Richter,Bénédicte Lenoir,Melanie Wiecken,Daniel Hübschmann,Dirk Jäger,Jessica C Hassel

Acta pharmaceutica Sinica. B 15:2156-2169 PubMed40486834

2025

GPC3-mediated lysosome-targeting chimeras (GLTACs) for targeted degradation of membrane proteins.

Applications

Unspecified application

Species

Unspecified reactive species

Yuxin Fang,Yaojin Zhu,Wei Wang,Zhewei Xia,Shipeng He,Guoqiang Dong,Chunquan Sheng

Cell reports. Medicine 6:101978 PubMed39999837

2025

Near-infrared fluorescence imaging with an MET-targeting probe for biopsy site selection in patients with oral potentially malignant disorders.

Applications

Unspecified application

Species

Unspecified reactive species

Jingbo Wang,Xuemin Shen,Qifan Ma,Lin Yang,Xiaoyu Zhou,Luting Wang,Junqi Cui,Chunye Zhang,Guojun Li,Neil Gross,Siyi Li,Ruimin Huang,Changyou Zhan,Zhen Cheng,Kun Wang,Jie Tian,Ying Yuan,Xiaofeng Tao

Journal of Cancer 15:6273-6298 PubMed39513120

2024

Identification of basement membrane-related prognostic model associated with the immune microenvironment and synthetic therapy response in pancreatic cancer: integrated bioinformatics analysis and clinical validation.

Applications

Unspecified application

Species

Unspecified reactive species

Biao Zhang,Xu Chen,Huiyi Song,Xue Gao,Shurong Ma,Hongying Ji,Huixian Qu,Shilin Xia,Dong Shang

International journal of molecular sciences 25: PubMed39519229

2024

IL-32γ Induced Autophagy Through Suppression of MET and mTOR Pathways in Liver Tumor Growth Inhibition.

Applications

Unspecified application

Species

Unspecified reactive species

Ji-Won Seo,Yong-Sun Lee,In-Sook Jeon,Ji-Eun Yu,Jun-Sang Yoo,Ja-Keun Koo,Dong-Ju Son,Jae-Suk Yoon,Sang-Bae Han,Do-Young Yoon,Yoon-Seok Roh,Jin-Tae Hong,Jung-Hyun Shim

Cancer management and research 16:431-444 PubMed38751848

2024

AHNAK2 Promotes the Progression of Pancreatic Ductal Adenocarcinoma by Maintaining the Stability of c-MET.

Applications

Unspecified application

Species

Unspecified reactive species

Zhaohui Chen,Pengbiao Miao,Hongcao Lin,Yanan Lu

Cancers 16: PubMed38201620

2024

ESM1 Interacts with c-Met to Promote Gastric Cancer Peritoneal Metastasis by Inducing Angiogenesis.

Applications

Unspecified application

Species

Unspecified reactive species

Jiaoyang Yang,Gege Shu,Tao Chen,Anqi Dong,Chao Dong,Weikang Li,Xiaotong Sun,Yajing Zhou,Dongbao Li,Jin Zhou

Translational oncology 40:101866 PubMed38128466

2023

Tumor associated neutrophils governs tumor progression through an IL-10/STAT3/PD-L1 feedback signaling loop in lung cancer.

Applications

Unspecified application

Species

Unspecified reactive species

Shuai Zhang,Lei Sun,Jingfang Zuo,Dongjie Feng

Journal of personalized medicine 12: PubMed36013219

2022

Wnt/β-Catenin-Pathway Alterations and Homologous Recombination Deficiency in Cholangiocarcinoma Cell Lines and Clinical Samples: Towards Specific Vulnerabilities.

Applications

Unspecified application

Species

Unspecified reactive species

Alexander Scheiter,Frederik Hierl,Ingrid Winkel,Felix Keil,Margit Klier-Richter,Cédric Coulouarn,Florian Lüke,Arne Kandulski,Matthias Evert,Wolfgang Dietmaier,Diego F Calvisi,Kirsten Utpatel
View all publications
enhancedValidationDataWebsite
en

Product promise

We are committed to supporting your work with high-quality reagents, and we're here for you every step of the way. In the unlikely event that one of our products does not perform as expected, you're protected by our Product Promise.
For full details, please see our Terms & Conditions

Please note: All products are 'FOR RESEARCH USE ONLY. NOT FOR USE IN DIAGNOSTIC OR THERAPEUTIC PROCEDURES'.

For licensing inquiries, please contact partnerships@abcam.com