JavaScript is disabled in your browser. Please enable JavaScript to view this website.
AB222925

Anti-Met (c-Met) antibody [EPR19067] - Low endotoxin, Azide free

Be the first to review this product! Submit a review

|

(1 Publication)

Rabbit Recombinant Monoclonal Met (c-Met) antibody. Carrier free. Suitable for I-ELISA, WB, ICC/IF, Flow Cyt (Intra), IHC-P and reacts with Human, Recombinant fragment samples. Cited in 1 publication.

View Alternative Names

Hepatocyte growth factor receptor, HGF receptor, HGF/SF receptor, Proto-oncogene c-Met, Scatter factor receptor, Tyrosine-protein kinase Met, SF receptor, MET

9 Images
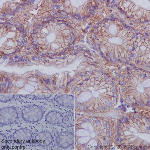
Immunohistochemistry (Formalin/PFA-fixed paraffin-embedded sections) - Anti-Met (c-Met) antibody [EPR19067] - Low endotoxin, Azide free (AB222925)
  • IHC-P

Supplier Data

Immunohistochemistry (Formalin/PFA-fixed paraffin-embedded sections) - Anti-Met (c-Met) antibody [EPR19067] - Low endotoxin, Azide free (AB222925)

Immunohistochemical analysis of paraffin-embedded human colon tissue labeling Met (c-Met) with ab216574 at 1/2000 dilution followed by Goat Anti-Rabbit IgG H&L (HRP) ready to use.

Membranous staining on human colon is observed.

Counter stained with Hematoxylin.

Secondary antibody only control : Used PBS instead of primary antibody secondary antibody is Goat Anti-Rabbit IgG H&L (HRP) ready to use.

This data was developed using the same antibody clone in a different buffer formulation containing PBS BSA glycerol and sodium azide (ab216574).

Perform heat mediated antigen retrieval with Tris/EDTA buffer pH 9.0 before commencing with IHC staining protocol.

Flow Cytometry (Intracellular) - Anti-Met (c-Met) antibody [EPR19067] - Low endotoxin, Azide free (AB222925)
  • Flow Cyt (Intra)

Supplier Data

Flow Cytometry (Intracellular) - Anti-Met (c-Met) antibody [EPR19067] - Low endotoxin, Azide free (AB222925)

Intracellular flow cytometric analysis of 4% paraformaldehyde-fixed A549 (Human lung carcinoma cell line) cells labeling Met (c-Met) with ab216574 at 1/600 dilution (red) compared with a rabbit monoclonal IgG isotype control (ab172730; black) and an unlabelled control (cells without incubation with primary antibody and secondary antibody; blue). Goat anti rabbit IgG (Alexa Fluor® 488) at 1/2000 dilution was used as the secondary antibody.

This data was developed using the same antibody clone in a different buffer formulation containing PBS, BSA, glycerol, and sodium azide (ab216574).

Immunocytochemistry/ Immunofluorescence - Anti-Met (c-Met) antibody [EPR19067] - Low endotoxin, Azide free (AB222925)
  • ICC/IF

Supplier Data

Immunocytochemistry/ Immunofluorescence - Anti-Met (c-Met) antibody [EPR19067] - Low endotoxin, Azide free (AB222925)

Immunofluorescent analysis of 4% paraformaldehyde-fixed, 0.1% Triton X-100 permeabilized A549 (Human lung carcinoma cell line) cells labeling Met (c-Met) with ab216574 at 1/1000 dilution, followed by Goat anti-rabbit IgG (Alexa Fluor® 488) (ab150077) secondary antibody at 1/1000 dilution (green).

Confocal image showing cytoplasmic staining on A549 cell line.

The nuclear counterstain is DAPI (blue).

Tubulin is detected with ab195889 (Anti-alpha Tubulin antibody [DM1A] - Microtubule Marker (Alexa Fluor® 594)) at 1/200 dilution (red).

Secondary antibody only control : Used PBS instead of primary antibody, secondary antibody is Goat anti-rabbit IgG (Alexa Fluor® 488) (ab150077) at 1/1000 dilution.

This data was developed using the same antibody clone in a different buffer formulation containing PBS, BSA, glycerol, and sodium azide (ab216574).

Immunocytochemistry/ Immunofluorescence - Anti-Met (c-Met) antibody [EPR19067] - Low endotoxin, Azide free (AB222925)
  • ICC/IF

Supplier Data

Immunocytochemistry/ Immunofluorescence - Anti-Met (c-Met) antibody [EPR19067] - Low endotoxin, Azide free (AB222925)

Immunofluorescent analysis of 4% paraformaldehyde-fixed 0.1% Triton X-100 permeabilized HeLa (Human epithelial cell line from cervix adenocarcinoma) cells labeling Met (c-Met) with ab216574 at 1/1000 dilution followed by Goat anti-rabbit IgG (Alexa Fluor® 488) (ab150077) secondary antibody at 1/1000 dilution (green).

Confocal image showing cytoplasmic staining on HeLa cell line.

The nuclear counterstain is DAPI (blue).

Tubulin is detected with ab195889 (Anti-alpha Tubulin antibody [DM1A] - Microtubule Marker (Alexa Fluor® 594)) at 1/200 dilution (red).

Secondary antibody only control : Used PBS instead of primary antibody secondary antibody is Goat anti-rabbit IgG (Alexa Fluor® 488) (ab150077) at 1/1000 dilution.

This data was developed using the same antibody clone in a different buffer formulation containing PBS BSA glycerol and sodium azide (ab216574).

Flow Cytometry (Intracellular) - Anti-Met (c-Met) antibody [EPR19067] - Low endotoxin, Azide free (AB222925)
  • Flow Cyt (Intra)

Supplier Data

Flow Cytometry (Intracellular) - Anti-Met (c-Met) antibody [EPR19067] - Low endotoxin, Azide free (AB222925)

Intracellular flow cytometric analysis of 4% paraformaldehyde-fixed HeLa (Human epithelial cell line from cervix adenocarcinoma) cells labeling Met (c-Met) with ab216574 at 1/600 dilution (red) compared with a rabbit monoclonal IgG isotype control (ab172730; black) and an unlabelled control (cells without incubation with primary antibody and secondary antibody; blue). Goat anti rabbit IgG (Alexa Fluor® 488) at 1/2000 dilution was used as the secondary antibody.

This data was developed using the same antibody clone in a different buffer formulation containing PBS, BSA, glycerol, and sodium azide (ab216574).

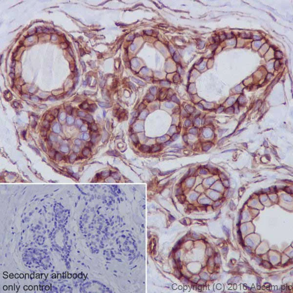
Immunohistochemistry (Formalin/PFA-fixed paraffin-embedded sections) - Anti-Met (c-Met) antibody [EPR19067] - Low endotoxin, Azide free (AB222925)
  • IHC-P

Supplier Data

Immunohistochemistry (Formalin/PFA-fixed paraffin-embedded sections) - Anti-Met (c-Met) antibody [EPR19067] - Low endotoxin, Azide free (AB222925)

Immunohistochemical analysis of paraffin-embedded human breast tissue labeling Met (c-Met) with ab216574 at 1/2000 dilution followed by Goat Anti-Rabbit IgG H&L (HRP) ready to use.

Membranous staining on human breast is observed.

Counter stained with Hematoxylin.

Secondary antibody only control : Used PBS instead of primary antibody secondary antibody is Goat Anti-Rabbit IgG H&L (HRP) ready to use.

This data was developed using the same antibody clone in a different buffer formulation containing PBS BSA glycerol and sodium azide (ab216574).

Perform heat mediated antigen retrieval with Tris/EDTA buffer pH 9.0 before commencing with IHC staining protocol.

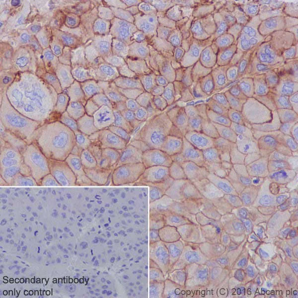
Immunohistochemistry (Formalin/PFA-fixed paraffin-embedded sections) - Anti-Met (c-Met) antibody [EPR19067] - Low endotoxin, Azide free (AB222925)
  • IHC-P

Supplier Data

Immunohistochemistry (Formalin/PFA-fixed paraffin-embedded sections) - Anti-Met (c-Met) antibody [EPR19067] - Low endotoxin, Azide free (AB222925)

Immunohistochemical analysis of paraffin-embedded human liver cancer tissue labeling Met (c-Met) with ab216574 at 1/2000 dilution followed by Goat Anti-Rabbit IgG H&L (HRP) ready to use.

Membranous staining on tumor cells of human liver cancer is observed.

Counter stained with Hematoxylin.

Secondary antibody only control : Used PBS instead of primary antibody secondary antibody is Goat Anti-Rabbit IgG H&L (HRP) ready to use.

This data was developed using the same antibody clone in a different buffer formulation containing PBS BSA glycerol and sodium azide (ab216574).

Perform heat mediated antigen retrieval with Tris/EDTA buffer pH 9.0 before commencing with IHC staining protocol.

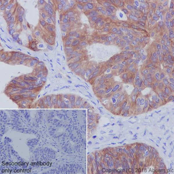
Immunohistochemistry (Formalin/PFA-fixed paraffin-embedded sections) - Anti-Met (c-Met) antibody [EPR19067] - Low endotoxin, Azide free (AB222925)
  • IHC-P

Supplier Data

Immunohistochemistry (Formalin/PFA-fixed paraffin-embedded sections) - Anti-Met (c-Met) antibody [EPR19067] - Low endotoxin, Azide free (AB222925)

Immunohistochemical analysis of paraffin-embedded human ovary cancer tissue labeling Met (c-Met) with ab216574 at 1/2000 dilution followed by Goat Anti-Rabbit IgG H&L (HRP) ready to use.

Cytoplasmic and membranous staining on tumor cells of human ovary cancer is observed.

Counter stained with Hematoxylin.

Secondary antibody only control : Used PBS instead of primary antibody secondary antibody is Goat Anti-Rabbit IgG H&L (HRP) ready to use.

This data was developed using the same antibody clone in a different buffer formulation containing PBS BSA glycerol and sodium azide (ab216574).

Perform heat mediated antigen retrieval with Tris/EDTA buffer pH 9.0 before commencing with IHC staining protocol.

Indirect ELISA - Anti-Met (c-Met) antibody [EPR19067] - Low endotoxin, Azide free (AB222925)
  • I-ELISA

Supplier Data

Indirect ELISA - Anti-Met (c-Met) antibody [EPR19067] - Low endotoxin, Azide free (AB222925)

This data was developed using ab216574, the same antibody clone in a different buffer formulation.

ELISA analysis of Human c-met recombinant protein at 1000 ng/mL with ab216574. An Alkaline Phosphatase-conjugated AffiniPure Goat Anti-Rabbit IgG (H+L) at 1/2500 dilution was used as the secondary antibody.

Key facts

Host species

Rabbit

Clonality

Monoclonal

Clone number

EPR19067

Isotype

IgG

Carrier free

Yes

Reacts with

Human

Applications

IHC-P, ICC/IF, WB, Flow Cyt (Intra), I-ELISA

applications

Immunogen

The exact immunogen used to generate this antibody is proprietary information.

Reactivity data

{ "title": "Reactivity Data", "filters": { "stats": ["", "Species", "Dilution Info", "Notes"], "tabs": { "all-applications": {"fullname" : "All Applications", "shortname": "All Applications"}, "IELISA" : {"fullname" : "Indirect ELISA", "shortname":"I-ELISA"}, "WB" : {"fullname" : "Western blot", "shortname":"WB"}, "ICCIF" : {"fullname" : "Immunocytochemistry/ Immunofluorescence", "shortname":"ICC/IF"}, "FlowCytIntra" : {"fullname" : "Flow Cytometry (Intracellular)", "shortname":"Flow Cyt (Intra)"}, "IHCP" : {"fullname" : "Immunohistochemistry (Formalin/PFA-fixed paraffin-embedded sections)", "shortname":"IHC-P"} }, "product-promise": { "all": "all", "testedAndGuaranteed": "tested", "guaranteed": "expected", "predicted": "predicted", "notRecommended": "not-recommended" } }, "values": { "Human": { "IELISA-species-checked": "testedAndGuaranteed", "IELISA-species-dilution-info": "", "IELISA-species-notes": "<p></p>", "WB-species-checked": "guaranteed", "WB-species-dilution-info": "", "WB-species-notes": "<p></p>", "ICCIF-species-checked": "testedAndGuaranteed", "ICCIF-species-dilution-info": "", "ICCIF-species-notes": "<p></p>", "FlowCytIntra-species-checked": "testedAndGuaranteed", "FlowCytIntra-species-dilution-info": "", "FlowCytIntra-species-notes": "<p><a href='/en-us/products/primary-antibodies/rabbit-igg-monoclonal-epr25a-isotype-control-low-endotoxin-azide-free-ab199376'>ab199376</a> - Rabbit monoclonal IgG, is suitable for use as an isotype control with this antibody.</p>", "IHCP-species-checked": "testedAndGuaranteed", "IHCP-species-dilution-info": "", "IHCP-species-notes": "<p></p>" }, "Recombinant fragment": { "IELISA-species-checked": "notRecommended", "IELISA-species-dilution-info": "", "IELISA-species-notes": "", "WB-species-checked": "guaranteed", "WB-species-dilution-info": "", "WB-species-notes": "<p></p>", "ICCIF-species-checked": "notRecommended", "ICCIF-species-dilution-info": "", "ICCIF-species-notes": "", "FlowCytIntra-species-checked": "notRecommended", "FlowCytIntra-species-dilution-info": "", "FlowCytIntra-species-notes": "", "IHCP-species-checked": "notRecommended", "IHCP-species-dilution-info": "", "IHCP-species-notes": "" } } }

Product details

ab222925 is the carrier-free version of ab216574.

Patented technology
Our RabMAb® technology is a patented hybridoma-based technology for making rabbit monoclonal antibodies. For details on our patents, please refer to RabMAb® patents.

What are the advantages of a recombinant monoclonal antibody?
This product is a recombinant monoclonal antibody, which offers several advantages including:

  • - High batch-to-batch consistency and reproducibility
  • - Improved sensitivity and specificity
  • - Long-term security of supply
  • - Animal-free batch production

For more information, read more on recombinant antibodies.

Conjugation ready
Our carrier-free antibodies are typically supplied in a PBS-only formulation, purified and free of BSA, sodium azide and glycerol. This conjugation-ready format is designed for use with fluorochromes, metal isotopes, oligonucleotides, and enzymes, which makes them ideal for antibody labelling, functional and cell-based assays, flow-based assays (e.g. mass cytometry) and Multiplex Imaging applications.

Use our conjugation kits for antibody conjugates that are ready-to-use in as little as 20 minutes with 1 minute hands-on-time and 100% antibody recovery: available for fluorescent dyes, HRP, biotin and gold.

Compatibility
This product is compatible with the Maxpar® Antibody Labeling Kit from Fluidigm, without the need for antibody preparation. Maxpar® is a trademark of Fluidigm Canada Inc.

What does low endotoxin mean?
Our low endotoxin, azide-free formats have low endotoxin level (1 EU/mg, determined by the TAL assay) and are free from azide, to achieve consistent experimental results in functional assays.

Properties and storage information

Form
Liquid
Purification technique
Affinity purification Protein A
Storage buffer
pH: 7.2 - 7.4 Constituents: PBS
Shipped at conditions
Blue Ice
Appropriate short-term storage conditions
+4°C
Appropriate long-term storage conditions
+4°C
Storage information
Do Not Freeze

Product protocols

For this product, it's our understanding that no specific protocols are required. You can visit:

Target data

Receptor tyrosine kinase that transduces signals from the extracellular matrix into the cytoplasm by binding to hepatocyte growth factor/HGF ligand. Regulates many physiological processes including proliferation, scattering, morphogenesis and survival. Ligand binding at the cell surface induces autophosphorylation of MET on its intracellular domain that provides docking sites for downstream signaling molecules. Following activation by ligand, interacts with the PI3-kinase subunit PIK3R1, PLCG1, SRC, GRB2, STAT3 or the adapter GAB1. Recruitment of these downstream effectors by MET leads to the activation of several signaling cascades including the RAS-ERK, PI3 kinase-AKT, or PLCgamma-PKC. The RAS-ERK activation is associated with the morphogenetic effects while PI3K/AKT coordinates prosurvival effects. During embryonic development, MET signaling plays a role in gastrulation, development and migration of neuronal precursors, angiogenesis and kidney formation. During skeletal muscle development, it is crucial for the migration of muscle progenitor cells and for the proliferation of secondary myoblasts (By similarity). In adults, participates in wound healing as well as organ regeneration and tissue remodeling. Promotes also differentiation and proliferation of hematopoietic cells. May regulate cortical bone osteogenesis (By similarity).. (Microbial infection) Acts as a receptor for Listeria monocytogenes internalin InlB, mediating entry of the pathogen into cells.
See full target information MET

Publications (1)

Recent publications for all applications. Explore the full list and refine your search

Nature communications 15:4954 PubMed38862516

2024

Single-cell multi-ome and immune profiles of the Inspiration4 crew reveal conserved, cell-type, and sex-specific responses to spaceflight.

Applications

Unspecified application

Species

Unspecified reactive species

JangKeun Kim,Braden T Tierney,Eliah G Overbey,Ezequiel Dantas,Matias Fuentealba,Jiwoon Park,S Anand Narayanan,Fei Wu,Deena Najjar,Christopher R Chin,Cem Meydan,Conor Loy,Begum Mathyk,Remi Klotz,Veronica Ortiz,Khiem Nguyen,Krista A Ryon,Namita Damle,Nadia Houerbi,Laura I Patras,Nathan Schanzer,Gwyneth A Hutchinson,Jonathan Foox,Chandrima Bhattacharya,Matthew Mackay,Evan E Afshin,Jeremy Wain Hirschberg,Ashley S Kleinman,Julian C Schmidt,Caleb M Schmidt,Michael A Schmidt,Afshin Beheshti,Irina Matei,David Lyden,Sean Mullane,Amran Asadi,Joan S Lenz,Omary Mzava,Min Yu,Saravanan Ganesan,Iwijn De Vlaminck,Ari M Melnick,Darko Barisic,Daniel A Winer,Sara R Zwart,Brian E Crucian,Scott M Smith,Jaime Mateus,David Furman,Christopher E Mason
View all publications

Product promise

We are committed to supporting your work with high-quality reagents, and we're here for you every step of the way. In the unlikely event that one of our products does not perform as expected, you're protected by our Product Promise.
For full details, please see our Terms & Conditions

Please note: All products are 'FOR RESEARCH USE ONLY. NOT FOR USE IN DIAGNOSTIC OR THERAPEUTIC PROCEDURES'.

For licensing inquiries, please contact partnerships@abcam.com