JavaScript is disabled in your browser. Please enable JavaScript to view this website.
AB243930

Anti-Met (c-Met) antibody [SP44] - BSA and Azide free

Be the first to review this product! Submit a review

|

(1 Publication)

Rabbit Recombinant Monoclonal Met (c-Met) antibody. Carrier free. Suitable for IHC-P, Flow Cyt (Intra), WB and reacts with Human samples. Cited in 1 publication.

View Alternative Names

Hepatocyte growth factor receptor, HGF receptor, HGF/SF receptor, Proto-oncogene c-Met, Scatter factor receptor, Tyrosine-protein kinase Met, SF receptor, MET

7 Images
Flow Cytometry (Intracellular) - Anti-Met (c-Met) antibody [SP44] - BSA and Azide free (AB243930)
  • Flow Cyt (Intra)

Unknown

Flow Cytometry (Intracellular) - Anti-Met (c-Met) antibody [SP44] - BSA and Azide free (AB243930)

This data was developed using the same antibody clone in a different buffer formulation (ab227637).

Flow cytometry overlay histogram showing wild-type HAP1 (green line) and MET knockout HAP1 cells stained with ab227637 (red line). The cells were fixed with 4% formaldehyde (10 min) and then permeabilized with 0.1% PBS-Triton X-100 for 15 min. The cells were then incubated in 1x PBS containing 10% normal goat serum to block non-specific protein-protein interaction followed by the antibody (ab227637) (1x106 in 100 μl at 0.04 μg/ml) for 30 min at 22°C.

The secondary antibody Goat anti-rabbit IgG H&L (Alexa Fluor® 488, pre-adsorbed) (ab150081) was used at 1/2000 for 30 min at 22°C.

Isotype control antibody was Rabbit IgG (monoclonal) (ab172730) used at the same concentration and conditions as the primary antibody (wild-type HAP1 - black line MET knockout HAP1 - grey line). Unlabelled sample was also used as a control (this line is not shown for the purpose of simplicity).

Acquisition of >5000 events were collected using a .

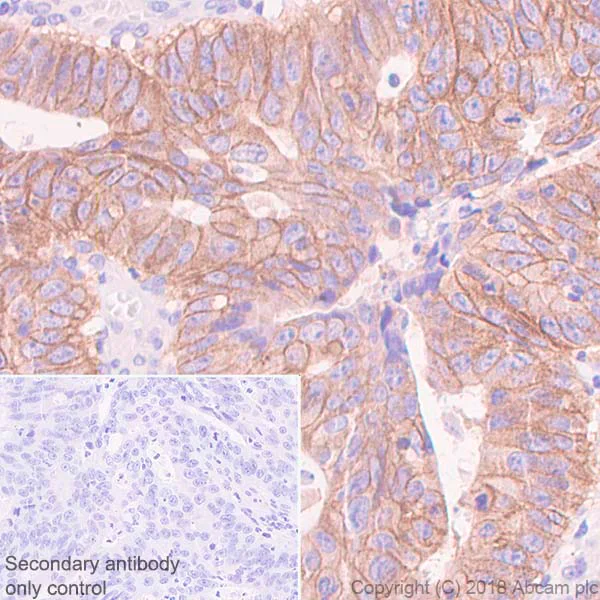
Immunohistochemistry (Formalin/PFA-fixed paraffin-embedded sections) - Anti-Met (c-Met) antibody [SP44] - BSA and Azide free (AB243930)
  • IHC-P

Unknown

Immunohistochemistry (Formalin/PFA-fixed paraffin-embedded sections) - Anti-Met (c-Met) antibody [SP44] - BSA and Azide free (AB243930)

Immunohistochemistry (Formalin/PFA-fixed paraffin-embedded sections) analysis of Human colon carcinoma tissue sections labeling Met (c-Met) with ab227637 at 1/50 dilution (4.52 µg/ml). Heat mediated antigen retrieval was performed Heat mediated antigen retrieval with sodium citrate buffer (pH 6.0, epitope retrieval solution 1) for 10 mins. Rabbit specific IHC polymer detection kit HRP/DAB (ab209101) was used as the secondary antibody. Negative control : PBS instead of the primary antibody. Hematoxylin was used as a counterstain.
This data was developed using the same antibody clone in a different buffer formulation containing PBS, BSA, glycerol, and sodium azide (ab227637)

Flow Cytometry (Intracellular) - Anti-Met (c-Met) antibody [SP44] - BSA and Azide free (AB243930)
  • Flow Cyt (Intra)

Unknown

Flow Cytometry (Intracellular) - Anti-Met (c-Met) antibody [SP44] - BSA and Azide free (AB243930)

Intracellular Flow Cytometry analysis of HepG2 (Human hepatocellular carcinoma epithelial cell) cells labeling Met (c-Met) with purified ab227637 at 1/20 dilution (11.3μg/ml) (red). Cells were fixed with 4% paraformaldehyde and permeabilised with 90% methanol. A Goat anti rabbit IgG (Alexa Fluor® 488, ab150077) secondary antibody was used at 1/2000 dilution. Isotype control - Rabbit monoclonal IgG (ab172730) / Black. Unlabeled control - Unlabelled cells / blue.

This data was developed using the same antibody clone in a different buffer formulation containing PBS, BSA, glycerol, and sodium azide (ab227637).

Flow Cytometry (Intracellular) - Anti-Met (c-Met) antibody [SP44] - BSA and Azide free (AB243930)
  • Flow Cyt (Intra)

Supplier Data

Flow Cytometry (Intracellular) - Anti-Met (c-Met) antibody [SP44] - BSA and Azide free (AB243930)

Intracellular flow cytometric analysis ofHT-29 (human colorectal adenocarcinoma cell line) cell line labeling Met (c-Met) with ab227637 at 1/100 dilution (green) compared with a negative control of rabbit IgG (blue).

This data was developed using the same antibody clone in a different buffer formulation containing PBS, BSA and sodium azide (ab227637).

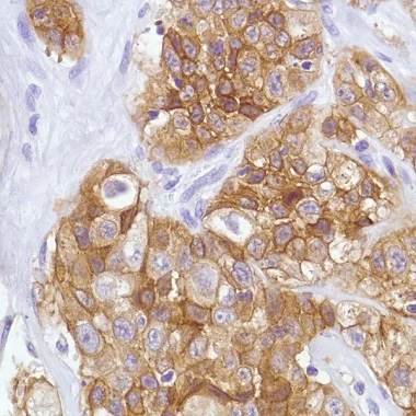
Immunohistochemistry (Formalin/PFA-fixed paraffin-embedded sections) - Anti-Met (c-Met) antibody [SP44] - BSA and Azide free (AB243930)
  • IHC-P

Supplier Data

Immunohistochemistry (Formalin/PFA-fixed paraffin-embedded sections) - Anti-Met (c-Met) antibody [SP44] - BSA and Azide free (AB243930)

Formalin-fixed, paraffin-embedded human colon adenocarcinoma tissue stained for Met (c-Met) using ab227637 at 1/50 dilution in immunohistochemical analysis.

This data was developed using the same antibody clone in a different buffer formulation containing PBS, BSA and sodium azide (ab227637).

Western blot - Anti-Met (c-Met) antibody [SP44] - BSA and Azide free (AB243930)
  • WB

Lab

Western blot - Anti-Met (c-Met) antibody [SP44] - BSA and Azide free (AB243930)

This data was developed using ab227637, the same antibody clone in a different buffer formulation.

Blocking and diluting buffer and concentration : 5% NFDM/TBST.

c-Met can undergo glycosylation, resulting in a higher molecular weight. It can also be cleaved into α and β chains (PMID : 34210960). The β chain undergoes degradation, resulting in lower molecular weight fragments (PMID : 32522525). This antibody detects both the full-length c-Met and the β chains.

In Western blot, Anti-GAPDH antibody [EPR16891] - Loading Control (ab181602) staining at 1/1000000 dilution.

All lanes:

Western blot - Anti-Met (c-Met) antibody [SP44] - C-terminal (<a href='/en-us/products/primary-antibodies/met-c-met-antibody-sp44-c-terminal-ab227637'>ab227637</a>) at 1/1000 dilution

Lane 1:

Wild-type HeLa cell lysate at 20 µg

Lane 2:

MET knockout HeLa cell lysate at 20 µg

Secondary

All lanes:

Western blot - Goat Anti-Rabbit IgG H&L (HRP) (<a href='/en-us/products/secondary-antibodies/goat-rabbit-igg-h-l-hrp-ab97051'>ab97051</a>) at 1/20000 dilution

Observed band size: 145-175 kDa,35-55 kDa

false

Exposure time: 60s

Western blot - Anti-Met (c-Met) antibody [SP44] - BSA and Azide free (AB243930)
  • WB

Lab

Western blot - Anti-Met (c-Met) antibody [SP44] - BSA and Azide free (AB243930)

This data was developed using ab227637, the same antibody clone in a different buffer formulation.

Blocking and diluting buffer and concentration : 5% NFDM/TBST.

The β chain undergoes degradation, resulting in lower molecular weight fragments (PMID : 32522525). To minimize protein degradation, cells/tissues were lysed immediately after harvest and then applied to a gel and transfer membrane for Western blotting right away.

In Western blot, Anti-GAPDH antibody [EPR16891] - Loading Control (ab181602) staining at 1/1000000 dilution.

All lanes:

Western blot - Anti-Met (c-Met) antibody [SP44] - C-terminal (<a href='/en-us/products/primary-antibodies/met-c-met-antibody-sp44-c-terminal-ab227637'>ab227637</a>) at 1/1000 dilution

Lane 1:

Fresh HeLa cell lysate at 20 µg

Lane 2:

Frozen HeLa cell lysate at 20 µg

Secondary

All lanes:

Western blot - Goat Anti-Rabbit IgG H&L (HRP) (<a href='/en-us/products/secondary-antibodies/goat-rabbit-igg-h-l-hrp-ab97051'>ab97051</a>) at 1/20000 dilution

Observed band size: 145-175 kDa,35-55 kDa

false

Exposure time: 60s

  • Unconjugated

    Anti-Met (c-Met) antibody [SP44] - C-terminal

  • 665 Alexa Fluor® 647

    Alexa Fluor® 647 Anti-Met (c-Met) antibody [SP44] - C-terminal

  • 603 Alexa Fluor® 568

    Alexa Fluor® 568 Anti-Met (c-Met) antibody [SP44] - C-terminal

  • 775 Alexa Fluor® 750

    Alexa Fluor® 750 Anti-Met (c-Met) antibody [SP44] - C-terminal

  • 660 APC

    APC Anti-Met (c-Met) antibody [SP44] - C-terminal

  • 578 PE

    PE Anti-Met (c-Met) antibody [SP44] - C-terminal

  • 519 Alexa Fluor® 488

    Alexa Fluor® 488 Anti-Met (c-Met) - C-terminal antibody [SP44]

Key facts

Host species

Rabbit

Clonality

Monoclonal

Clone number

SP44

Isotype

IgG

Carrier free

Yes

Reacts with

Human

Applications

Flow Cyt (Intra), IHC-P, WB

applications

Immunogen

The exact immunogen used to generate this antibody is proprietary information.

Reactivity data

{ "title": "Reactivity Data", "filters": { "stats": ["", "Species", "Dilution Info", "Notes"], "tabs": { "all-applications": {"fullname" : "All Applications", "shortname": "All Applications"}, "IHCP" : {"fullname" : "Immunohistochemistry (Formalin/PFA-fixed paraffin-embedded sections)", "shortname":"IHC-P"}, "FlowCytIntra" : {"fullname" : "Flow Cytometry (Intracellular)", "shortname":"Flow Cyt (Intra)"}, "WB" : {"fullname" : "Western blot", "shortname":"WB"} }, "product-promise": { "all": "all", "testedAndGuaranteed": "tested", "guaranteed": "expected", "predicted": "predicted", "notRecommended": "not-recommended" } }, "values": { "Human": { "IHCP-species-checked": "testedAndGuaranteed", "IHCP-species-dilution-info": "", "IHCP-species-notes": "<p>Primary antibody incubation for 30 minutes at room temperature.</p>", "FlowCytIntra-species-checked": "testedAndGuaranteed", "FlowCytIntra-species-dilution-info": "", "FlowCytIntra-species-notes": "<p>Primary antibody incubation for 30 minutes at 4°C.</p>", "WB-species-checked": "testedAndGuaranteed", "WB-species-dilution-info": "", "WB-species-notes": "<p></p>" } } }

Product details

ab243930 is the carrier-free version of ab227637.

What are the advantages of a recombinant monoclonal antibody?
This product is a recombinant monoclonal antibody, which offers several advantages including:

  • - High batch-to-batch consistency and reproducibility
  • - Improved sensitivity and specificity
  • - Long-term security of supply
  • - Animal-free batch production

For more information, read more on recombinant antibodies.

Conjugation ready
Our carrier-free antibodies are typically supplied in a PBS-only formulation, purified and free of BSA, sodium azide and glycerol. This conjugation-ready format is designed for use with fluorochromes, metal isotopes, oligonucleotides, and enzymes, which makes them ideal for antibody labelling, functional and cell-based assays, flow-based assays (e.g. mass cytometry) and Multiplex Imaging applications.

Use our conjugation kits for antibody conjugates that are ready-to-use in as little as 20 minutes with 1 minute hands-on-time and 100% antibody recovery: available for fluorescent dyes, HRP, biotin and gold.

Compatibility
This product is compatible with the Maxpar® Antibody Labeling Kit from Fluidigm, without the need for antibody preparation. Maxpar® is a trademark of Fluidigm Canada Inc.

Properties and storage information

Form
Liquid
Purification technique
Affinity purification Protein A/G
Purification notes
Purified from TCS by protein A/G.
Storage buffer
pH: 7.2 - 7.4 Constituents: PBS
Shipped at conditions
Blue Ice
Appropriate short-term storage conditions
+4°C
Appropriate long-term storage conditions
+4°C
Storage information
Do Not Freeze

Product protocols

For this product, it's our understanding that no specific protocols are required. You can visit:

Target data

Receptor tyrosine kinase that transduces signals from the extracellular matrix into the cytoplasm by binding to hepatocyte growth factor/HGF ligand. Regulates many physiological processes including proliferation, scattering, morphogenesis and survival. Ligand binding at the cell surface induces autophosphorylation of MET on its intracellular domain that provides docking sites for downstream signaling molecules. Following activation by ligand, interacts with the PI3-kinase subunit PIK3R1, PLCG1, SRC, GRB2, STAT3 or the adapter GAB1. Recruitment of these downstream effectors by MET leads to the activation of several signaling cascades including the RAS-ERK, PI3 kinase-AKT, or PLCgamma-PKC. The RAS-ERK activation is associated with the morphogenetic effects while PI3K/AKT coordinates prosurvival effects. During embryonic development, MET signaling plays a role in gastrulation, development and migration of neuronal precursors, angiogenesis and kidney formation. During skeletal muscle development, it is crucial for the migration of muscle progenitor cells and for the proliferation of secondary myoblasts (By similarity). In adults, participates in wound healing as well as organ regeneration and tissue remodeling. Also promotes differentiation and proliferation of hematopoietic cells. May regulate cortical bone osteogenesis (By similarity).. (Microbial infection) Acts as a receptor for Listeria monocytogenes internalin InlB, mediating entry of the pathogen into cells.
See full target information MET

Publications (1)

Recent publications for all applications. Explore the full list and refine your search

Cancer research 82:4079-4092 PubMed36066413

2022

MET-Induced CD73 Restrains STING-Mediated Immunogenicity of EGFR-Mutant Lung Cancer.

Applications

Unspecified application

Species

Unspecified reactive species

Ryohei Yoshida,Maria Saigi,Tetsuo Tani,Benjamin F Springer,Hirofumi Shibata,Shunsuke Kitajima,Navin R Mahadevan,Marco Campisi,William Kim,Yoshihisa Kobayashi,Tran C Thai,Koji Haratani,Yurie Yamamoto,Shriram K Sundararaman,Erik H Knelson,Amir Vajdi,Israel Canadas,Ravindra Uppaluri,Cloud P Paweletz,Juan J Miret,Patrick H Lizotte,Prafulla C Gokhale,Pasi A Jänne,David A Barbie
View all publications

Product promise

We are committed to supporting your work with high-quality reagents, and we're here for you every step of the way. In the unlikely event that one of our products does not perform as expected, you're protected by our Product Promise.
For full details, please see our Terms & Conditions

Please note: All products are 'FOR RESEARCH USE ONLY. NOT FOR USE IN DIAGNOSTIC OR THERAPEUTIC PROCEDURES'.

For licensing inquiries, please contact partnerships@abcam.com