JavaScript is disabled in your browser. Please enable JavaScript to view this website.
AB281922

Anti-Metabotropic Glutamate Receptor 2 + 3 / MGLUR2 + MGLUR3 antibody [EPR24635-155]

  • BOND RX™ Validated
  • 20ul selling size
  • RabMAb
  • Recombinant
  • What is this?

Be the first to review this product! Submit a review

|

(1 Publication)

Rabbit Recombinant Monoclonal Metabotropic Glutamate Receptor 3/MGLUR3 antibody. Suitable for WB, ICC/IF, IHC-Fr, IHC-P and reacts with Mouse, Rat, Human samples. Cited in 1 publication.

View Alternative Names

GPRC1C, MGLUR3, GRM3, Metabotropic glutamate receptor 3, mGluR3

16 Images
Immunohistochemistry (Formalin/PFA-fixed paraffin-embedded sections) - Anti-Metabotropic Glutamate Receptor 2 + 3 / MGLUR2 + MGLUR3 antibody [EPR24635-155] (AB281922)
  • IHC-P

Supplier Data

Immunohistochemistry (Formalin/PFA-fixed paraffin-embedded sections) - Anti-Metabotropic Glutamate Receptor 2 + 3 / MGLUR2 + MGLUR3 antibody [EPR24635-155] (AB281922)

Immunohistochemical analysis of paraffin-embedded Human cerebrum tissue labelling Metabotropic glutamate receptor 3/MGLUR3 with ab281922 at 1/1000 dilution (0.342 ug/ml) followed by a ready to use Rabbit specific IHC polymer Detection kit HRP/DAB (ab209101). Cytoplasmic staining on human cerebrum. The section was incubated with ab281922 for 30 mins at room temperature. The immunostaining was performed on a Leica Biosystems BOND RX instrument. Counterstained with Hematoxylin.

Secondary antibody only control : Secondary antibody is a ready to use Rabbit specific IHC polymer Detection kit HRP/DAB (ab209101).

Heat mediated antigen retrieval with Tris-EDTA buffer (pH 9.0, epitope retrieval solution2) for 20 mins.

Immunohistochemistry (Formalin/PFA-fixed paraffin-embedded sections) - Anti-Metabotropic Glutamate Receptor 2 + 3 / MGLUR2 + MGLUR3 antibody [EPR24635-155] (AB281922)
  • IHC-P

Lab

Immunohistochemistry (Formalin/PFA-fixed paraffin-embedded sections) - Anti-Metabotropic Glutamate Receptor 2 + 3 / MGLUR2 + MGLUR3 antibody [EPR24635-155] (AB281922)

IHC image of Metabotropic Glutamate Receptor 3/MGLUR3 staining in a section of frozen normal human hippocampus* performed on a Leica BOND™ system using the standard protocol. The section was fixed in 10% paraformaldehyde (10 min) prior to staining. The section was incubated with ab281922, 1μg/ml, for 15 mins at room temperature and detected using an HRP conjugated compact polymer system. DAB was used as the chromogen. The section was then counterstained with haematoxylin and mounted with DPX. The inset secondary-only control image is taken from an identical assay without primary antibody.
For other IHC staining systems (automated and non-automated) customers should optimize variable parameters such as antigen retrieval conditions, primary antibody concentration and antibody incubation times.
*Tissue obtained from the Human Research Tissue Bank, supported by the NIHR Cambridge Biomedical Research Centre

Immunohistochemistry (Formalin/PFA-fixed paraffin-embedded sections) - Anti-Metabotropic Glutamate Receptor 2 + 3 / MGLUR2 + MGLUR3 antibody [EPR24635-155] (AB281922)
  • IHC-P

Supplier Data

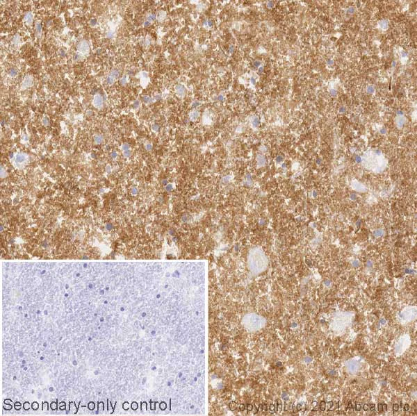
Immunohistochemistry (Formalin/PFA-fixed paraffin-embedded sections) - Anti-Metabotropic Glutamate Receptor 2 + 3 / MGLUR2 + MGLUR3 antibody [EPR24635-155] (AB281922)

Immunohistochemical analysis of paraffin-embedded Mouse cerebrum tissue labelling Metabotropic glutamate receptor 3/MGLUR3 with ab281922 at 1/1000 dilution (0.342 ug/ml) followed by a ready to use Rabbit specific IHC polymer Detection kit HRP/DAB (ab209101). Cytoplasmic staining on mouse cerebrum. The section was incubated with ab281922 for 30 mins at room temperature. The immunostaining was performed on a Leica Biosystems BOND RX instrument. Counterstained with Hematoxylin.

Secondary antibody only control : Secondary antibody is a ready to use Rabbit specific IHC polymer Detection kit HRP/DAB (ab209101).

Heat mediated antigen retrieval with Tris-EDTA buffer (pH 9.0, epitope retrieval solution2) for 20 mins.

Immunohistochemistry (Formalin/PFA-fixed paraffin-embedded sections) - Anti-Metabotropic Glutamate Receptor 2 + 3 / MGLUR2 + MGLUR3 antibody [EPR24635-155] (AB281922)
  • IHC-P

Supplier Data

Immunohistochemistry (Formalin/PFA-fixed paraffin-embedded sections) - Anti-Metabotropic Glutamate Receptor 2 + 3 / MGLUR2 + MGLUR3 antibody [EPR24635-155] (AB281922)

Immunohistochemical analysis of paraffin-embedded Mouse cerebellum tissue labelling Metabotropic glutamate receptor 3/MGLUR3 with ab281922 at 1/1000 dilution (0.342 ug/ml) followed by a ready to use Rabbit specific IHC polymer Detection kit HRP/DAB (ab209101). Cytoplasmic staining on mouse cerebellum. The section was incubated with ab281922 for 30 mins at room temperature. The immunostaining was performed on a Leica Biosystems BOND RX instrument. Counterstained with Hematoxylin.

Secondary antibody only control : Secondary antibody is a ready to use Rabbit specific IHC polymer Detection kit HRP/DAB (ab209101).

Heat mediated antigen retrieval with Tris-EDTA buffer (pH 9.0, epitope retrieval solution2) for 20 mins.

Immunohistochemistry (Formalin/PFA-fixed paraffin-embedded sections) - Anti-Metabotropic Glutamate Receptor 2 + 3 / MGLUR2 + MGLUR3 antibody [EPR24635-155] (AB281922)
  • IHC-P

Supplier Data

Immunohistochemistry (Formalin/PFA-fixed paraffin-embedded sections) - Anti-Metabotropic Glutamate Receptor 2 + 3 / MGLUR2 + MGLUR3 antibody [EPR24635-155] (AB281922)

Immunohistochemical analysis of paraffin-embedded Mouse liver tissue labelling Metabotropic glutamate receptor 3/MGLUR3 with ab281922 at 1/1000 dilution (0.342 ug/ml) followed by a ready to use Rabbit specific IHC polymer Detection kit HRP/DAB (ab209101). Negative control : No staining on mouse liver. The section was incubated with ab281922 for 30 mins at room temperature. The immunostaining was performed on a Leica Biosystems BOND RX instrument. Counterstained with Hematoxylin.

Secondary antibody only control : Secondary antibody is a ready to use Rabbit specific IHC polymer Detection kit HRP/DAB (ab209101).

Heat mediated antigen retrieval with Tris-EDTA buffer (pH 9.0, epitope retrieval solution2) for 20 mins.

Immunocytochemistry/ Immunofluorescence - Anti-Metabotropic Glutamate Receptor 2 + 3 / MGLUR2 + MGLUR3 antibody [EPR24635-155] (AB281922)
  • ICC/IF

Supplier Data

Immunocytochemistry/ Immunofluorescence - Anti-Metabotropic Glutamate Receptor 2 + 3 / MGLUR2 + MGLUR3 antibody [EPR24635-155] (AB281922)

Immunofluorescent analysis of mouse primary neuron labeling Metabotropic Glutamate Receptor 3/MGLUR3. The cells were fixed with 4% paraformaldehyde and permeabilized with 0.1% Triton™ X-100. The cells were labeled with ab281922 at 1/50 dilution (6.84 μg/mL) and counterstained with Anti-MAP2 mouse monoclonal antibody (ab11267) at 1/500 dilution (4 μg/mL). Then labeled with Goat Anti-Rabbit IgG H&L (Alexa Fluor® 488) secondary antibody (ab150077) at 1/1000 dilution (2 μg/mL) and counterstained with Goat Anti-Mouse IgG H&L (Alexa Fluor® 594) at 1/1000 dilution (2 μg/mL). Nuclei were stained with DAPI. Confocal image showing cytoplasmic staining in mouse primary neuron.
Confocal scanning Z step was set as 0.3 μm followed by image processing with maximum Z projection.

Negative control 1 : ab281922 1/50 (6.84 μg/mL), with secondary antibody ab150120 1/1000 (2 μg/mL)

Negative control 2 : ab11267 1/500 (4 μg/mL), with secondary antibody ab150077 1/1000 (2 μg/mL)

Immunocytochemistry/ Immunofluorescence - Anti-Metabotropic Glutamate Receptor 2 + 3 / MGLUR2 + MGLUR3 antibody [EPR24635-155] (AB281922)
  • ICC/IF

Supplier Data

Immunocytochemistry/ Immunofluorescence - Anti-Metabotropic Glutamate Receptor 2 + 3 / MGLUR2 + MGLUR3 antibody [EPR24635-155] (AB281922)

Immunofluorescent analysis of rat primary neuron labeling Metabotropic Glutamate Receptor 3/MGLUR3. The cells were fixed with 4% paraformaldehyde and permeabilized with 0.1% Triton™ X-100. The cells were labeled with ab281922 at 1/50 dilution (6.84 μg/mL) and counterstained with Anti-MAP2 mouse monoclonal antibody (ab11267) at 1/500 dilution (4 μg/mL). Then labeled with Goat Anti-Rabbit IgG H&L (Alexa Fluor® 488) secondary antibody (ab150077) at 1/1000 dilution (2 μg/mL) and counterstained with Goat Anti-Mouse IgG H&L (Alexa Fluor® 594)/ (ab150120) at 1/1000 dilution (2 μg/mL). Nuclei were stained with DAPI. Confocal image showing cytoplasmic staining in rat primary neuron.
Confocal scanning Z step was set as 0.3 μm followed by image processing with maximum Z projection.

Negative control 1 : ab281922 1/50 (6.84 μg/mL), with secondary antibody ab150120 1/1000 (2 μg/mL)

Negative control 2 : ab11267 1/500 (4 μg/mL), with secondary antibody ab150077 1/1000 (2 μg/mL)

Immunohistochemistry (Frozen sections) - Anti-Metabotropic Glutamate Receptor 2 + 3 / MGLUR2 + MGLUR3 antibody [EPR24635-155] (AB281922)
  • IHC-Fr

Supplier Data

Immunohistochemistry (Frozen sections) - Anti-Metabotropic Glutamate Receptor 2 + 3 / MGLUR2 + MGLUR3 antibody [EPR24635-155] (AB281922)

Immunohistochemical analysis of 4% PFA-fixed, 0.2% Triton X-100 permeabilized frozen Mouse liver tissue labeling Metabotropic glutamate receptor 3/MGLUR3 with ab281922 at 1/100 dilution (6.84 ug/ml) followed by ab150077 Goat Anti-Rabbit IgG H&L (Alexa Fluor® 488) at 1/1000 dilution (Green). Negative control : No staining on mouse liver (PMID : 9001707) is observed. The nuclear counterstain was DAPI (Blue).

Secondary antibody control : Secondary antibody is ab150077 Goat Anti-Rabbit IgG H&L (Alexa Fluor® 488)at 1/1000 dilution.

Immunohistochemistry (Frozen sections) - Anti-Metabotropic Glutamate Receptor 2 + 3 / MGLUR2 + MGLUR3 antibody [EPR24635-155] (AB281922)
  • IHC-Fr

Supplier Data

Immunohistochemistry (Frozen sections) - Anti-Metabotropic Glutamate Receptor 2 + 3 / MGLUR2 + MGLUR3 antibody [EPR24635-155] (AB281922)

Immunohistochemical analysis of 4% PFA-fixed, 0.2% Triton X-100 permeabilized frozen Rat hippocampus tissue labeling Metabotropic glutamate receptor 3/MGLUR3 with ab281922 at 1/100 dilution (3.42 ug/ml) followed by ab150077 Goat Anti-Rabbit IgG H&L (Alexa Fluor® 488) at 1/1000 dilution (Green). Cytoplasmic staining on rat hippocampus is observed. The nuclear counterstain was DAPI (Blue).

Secondary antibody control : Secondary antibody is ab150077 Goat Anti-Rabbit IgG H&L (Alexa Fluor® 488)at 1/1000 dilution.

Immunohistochemistry (Frozen sections) - Anti-Metabotropic Glutamate Receptor 2 + 3 / MGLUR2 + MGLUR3 antibody [EPR24635-155] (AB281922)
  • IHC-Fr

Supplier Data

Immunohistochemistry (Frozen sections) - Anti-Metabotropic Glutamate Receptor 2 + 3 / MGLUR2 + MGLUR3 antibody [EPR24635-155] (AB281922)

Immunohistochemical analysis of 4% PFA-fixed, 0.2% Triton X-100 permeabilized frozen Rat liver tissue labeling Metabotropic glutamate receptor 3/MGLUR3 with ab281922 at 1/100 dilution (6.84 ug/ml) followed by ab150077 Goat Anti-Rabbit IgG H&L (Alexa Fluor® 488) at 1/1000 dilution (Green). Negative control : No staining on rat liver (PMID : 9001707) is observed. The nuclear counterstain was DAPI (Blue).

Secondary antibody control : Secondary antibody is ab150077 Goat Anti-Rabbit IgG H&L (Alexa Fluor® 488)at 1/1000 dilution.

Immunohistochemistry (Frozen sections) - Anti-Metabotropic Glutamate Receptor 2 + 3 / MGLUR2 + MGLUR3 antibody [EPR24635-155] (AB281922)
  • IHC-Fr

Supplier Data

Immunohistochemistry (Frozen sections) - Anti-Metabotropic Glutamate Receptor 2 + 3 / MGLUR2 + MGLUR3 antibody [EPR24635-155] (AB281922)

Immunohistochemical analysis of 4% PFA-fixed, 0.2% Triton X-100 permeabilized frozen Mouse hippocampus tissue labeling Metabotropic glutamate receptor 3/MGLUR3 with ab281922 at 1/100 dilution (3.42 ug/ml) followed by ab150077 Goat Anti-Rabbit IgG H&L (Alexa Fluor® 488) at 1/1000 dilution (Green). Cytoplasmic staining on mouse hippocampus is observed. The nuclear counterstain was DAPI (Blue).

Secondary antibody control : Secondary antibody is ab150077 Goat Anti-Rabbit IgG H&L (Alexa Fluor® 488)at 1/1000 dilution.

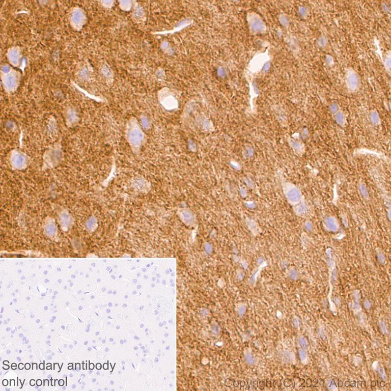
Immunohistochemistry (Formalin/PFA-fixed paraffin-embedded sections) - Anti-Metabotropic Glutamate Receptor 2 + 3 / MGLUR2 + MGLUR3 antibody [EPR24635-155] (AB281922)
  • IHC-P

Supplier Data

Immunohistochemistry (Formalin/PFA-fixed paraffin-embedded sections) - Anti-Metabotropic Glutamate Receptor 2 + 3 / MGLUR2 + MGLUR3 antibody [EPR24635-155] (AB281922)

Immunohistochemical analysis of paraffin-embedded Rat cerebrum tissue labelling Metabotropic glutamate receptor 3/MGLUR3 with ab281922 at 1/1000 dilution (0.342 ug/ml) followed by a ready to use Rabbit specific IHC polymer Detection kit HRP/DAB (ab209101). Cytoplasmic staining on rat cerebrum. The section was incubated with ab281922 for 30 mins at room temperature. The immunostaining was performed on a Leica Biosystems BOND RX instrument. Counterstained with Hematoxylin.

Secondary antibody only control : Secondary antibody is a ready to use Rabbit specific IHC polymer Detection kit HRP/DAB (ab209101).

Heat mediated antigen retrieval with Tris-EDTA buffer (pH 9.0, epitope retrieval solution2) for 20 mins.

Western blot - Anti-Metabotropic Glutamate Receptor 2 + 3 / MGLUR2 + MGLUR3 antibody [EPR24635-155] (AB281922)
  • WB

Lab

Western blot - Anti-Metabotropic Glutamate Receptor 2 + 3 / MGLUR2 + MGLUR3 antibody [EPR24635-155] (AB281922)

Blocking and diluting buffer and concentration : 5% NFDM/TBST

The molecular weight observed is consistent with what has been described in the literature (PMID : 27130562).

Samples are non-boiled as boiling may cause protein aggregates.

Exposure time : 10 seconds.

All lanes:

Western blot - Anti-Metabotropic Glutamate Receptor 2 + 3 / MGLUR2 + MGLUR3 antibody [EPR24635-155] (ab281922) at 1/1000 dilution

All lanes:

Human brain tissue lysate at 20 µg

Secondary

All lanes:

Goat Anti-Rabbit IgG (HRP) with minimal cross-reactivity with human IgG at 1/2000 dilution

Observed band size: 100 kDa,250 kDa

false

Western blot - Anti-Metabotropic Glutamate Receptor 2 + 3 / MGLUR2 + MGLUR3 antibody [EPR24635-155] (AB281922)
  • WB

Lab

Western blot - Anti-Metabotropic Glutamate Receptor 2 + 3 / MGLUR2 + MGLUR3 antibody [EPR24635-155] (AB281922)

Blocking and diluting buffer and concentration : 5% NFDM/TBST

Negative control : liver (PMID : 9001707).

The molecular weight observed is consistent with what has been described in the literature (PMID : 27130562).

Samples are non-boiled as boiling may cause protein aggregates.

Exposure time : 3.25 seconds.

All lanes:

Western blot - Anti-Metabotropic Glutamate Receptor 2 + 3 / MGLUR2 + MGLUR3 antibody [EPR24635-155] (ab281922) at 1/1000 dilution

Lane 1:

Mouse brain tissue lysate at 20 µg

Lane 2:

Mouse liver tissue lysate at 40 µg

Lane 3:

Rat brain tissue lysate at 20 µg

Lane 4:

Rat liver tissue lysate at 40 µg

Secondary

All lanes:

Western blot - Goat Anti-Rabbit IgG H&L (HRP) (<a href='/en-us/products/secondary-antibodies/goat-rabbit-igg-h-l-hrp-ab97051'>ab97051</a>) at 1/20000 dilution

Observed band size: 100 kDa,250 kDa

false

Western blot - Anti-Metabotropic Glutamate Receptor 2 + 3 / MGLUR2 + MGLUR3 antibody [EPR24635-155] (AB281922)
  • WB

Lab

Western blot - Anti-Metabotropic Glutamate Receptor 2 + 3 / MGLUR2 + MGLUR3 antibody [EPR24635-155] (AB281922)

Blocking buffer : 5% NFDM /TBST.

All lanes:

Western blot - Anti-Metabotropic Glutamate Receptor 2 + 3 / MGLUR2 + MGLUR3 antibody [EPR24635-155] (ab281922) at 1/10000 dilution

Lane 1:

HEK-293T (Human embryonic kidney epithelial cell) transfected with an empty vector (vector control), containing a myc/flag-tag, not boiled whole cell lysate at 20 µg

Lane 2:

HEK-293T (Human embryonic kidney epithelial cell) transfected with MGLUR2 (aa1-872) with myc/flag-tag, not boiled whole cell lysate at 20 µg

Lane 3:

HEK-293T (Human embryonic kidney epithelial cell) transfected with MGLUR3 (aa1-879) with myc/flag-tag, not boiled whole cell lysate at 20 µg

Secondary

All lanes:

Western blot - Goat Anti-Rabbit IgG H&L (HRP) (<a href='/en-us/products/secondary-antibodies/goat-rabbit-igg-h-l-hrp-ab97051'>ab97051</a>) at 1/20000 dilution

Observed band size: 95 kDa,250 kDa

false

Exposure time: 10s

Western blot - Anti-Metabotropic Glutamate Receptor 2 + 3 / MGLUR2 + MGLUR3 antibody [EPR24635-155] (AB281922)
  • WB

Lab

Western blot - Anti-Metabotropic Glutamate Receptor 2 + 3 / MGLUR2 + MGLUR3 antibody [EPR24635-155] (AB281922)

Blocking and diluting buffer and concentration : 5% NFDM/TBST

The molecular weight observed is consistent with what has been described in the literature (PMID : 27130562).

Samples are non-boiled as boiling may cause protein aggregates.

Exposure time : 1 seconds

All lanes:

Western blot - Anti-Metabotropic Glutamate Receptor 2 + 3 / MGLUR2 + MGLUR3 antibody [EPR24635-155] (ab281922) at 1/1000 dilution

Lane 1:

HEK-293T (human embryonic kidney) transfected with an empty vector, containing a myc-His-tag®, whole cell lysate at 20 µg

Lane 2:

HEK-293T transfected with Metabotropic glutamate receptor 3 expression vector containing a myc-His-tag®, whole cell lysate at 20 µg

Secondary

All lanes:

Western blot - Goat Anti-Rabbit IgG H&L (HRP) (<a href='/en-us/products/secondary-antibodies/goat-rabbit-igg-h-l-hrp-ab97051'>ab97051</a>) at 1/20000 dilution

Observed band size: 100 kDa,250 kDa

false

  • Carrier free

    Anti-Metabotropic Glutamate Receptor 2+3/MGLUR2+MGLUR3 antibody [EPR24635-155] - BSA and Azide free

Key facts

Host species

Rabbit

Clonality

Monoclonal

Clone number

EPR24635-155

Isotype

IgG

Carrier free

No

Reacts with

Mouse, Rat, Human

Applications

ICC/IF, IHC-Fr, WB, IHC-P

applications

Immunogen

The exact immunogen used to generate this antibody is proprietary information.

Reactivity data

{ "title": "Reactivity Data", "filters": { "stats": ["", "Species", "Dilution Info", "Notes"], "tabs": { "all-applications": {"fullname" : "All Applications", "shortname": "All Applications"}, "IP" : {"fullname" : "Immunoprecipitation", "shortname":"IP"}, "FlowCyt" : {"fullname" : "Flow Cytometry", "shortname":"Flow Cyt"}, "WB" : {"fullname" : "Western blot", "shortname":"WB"}, "ICCIF" : {"fullname" : "Immunocytochemistry/ Immunofluorescence", "shortname":"ICC/IF"}, "IHCFr" : {"fullname" : "Immunohistochemistry (Frozen sections)", "shortname":"IHC-Fr"}, "IHCP" : {"fullname" : "Immunohistochemistry (Formalin/PFA-fixed paraffin-embedded sections)", "shortname":"IHC-P"} }, "product-promise": { "all": "all", "testedAndGuaranteed": "tested", "guaranteed": "expected", "predicted": "predicted", "notRecommended": "not-recommended" } }, "values": { "Human": { "IP-species-checked": "notRecommended", "IP-species-dilution-info": "", "IP-species-notes": "", "FlowCyt-species-checked": "notRecommended", "FlowCyt-species-dilution-info": "", "FlowCyt-species-notes": "", "WB-species-checked": "testedAndGuaranteed", "WB-species-dilution-info": "1/1000", "WB-species-notes": "<p></p>", "ICCIF-species-checked": "guaranteed", "ICCIF-species-dilution-info": "", "ICCIF-species-notes": "", "IHCFr-species-checked": "guaranteed", "IHCFr-species-dilution-info": "", "IHCFr-species-notes": "", "IHCP-species-checked": "testedAndGuaranteed", "IHCP-species-dilution-info": "1/1000", "IHCP-species-notes": "<p></p>" }, "Mouse": { "IP-species-checked": "notRecommended", "IP-species-dilution-info": "", "IP-species-notes": "<p></p>", "FlowCyt-species-checked": "notRecommended", "FlowCyt-species-dilution-info": "", "FlowCyt-species-notes": "<p></p>", "WB-species-checked": "testedAndGuaranteed", "WB-species-dilution-info": "1/1000", "WB-species-notes": "<p></p>", "ICCIF-species-checked": "testedAndGuaranteed", "ICCIF-species-dilution-info": "1/50", "ICCIF-species-notes": "<p></p>", "IHCFr-species-checked": "testedAndGuaranteed", "IHCFr-species-dilution-info": "1/100", "IHCFr-species-notes": "<p></p>", "IHCP-species-checked": "testedAndGuaranteed", "IHCP-species-dilution-info": "1/1000", "IHCP-species-notes": "<p></p>" }, "Rat": { "IP-species-checked": "notRecommended", "IP-species-dilution-info": "", "IP-species-notes": "", "FlowCyt-species-checked": "notRecommended", "FlowCyt-species-dilution-info": "", "FlowCyt-species-notes": "", "WB-species-checked": "testedAndGuaranteed", "WB-species-dilution-info": "1/1000", "WB-species-notes": "<p></p>", "ICCIF-species-checked": "testedAndGuaranteed", "ICCIF-species-dilution-info": "1/50", "ICCIF-species-notes": "<p></p>", "IHCFr-species-checked": "testedAndGuaranteed", "IHCFr-species-dilution-info": "1/100", "IHCFr-species-notes": "<p></p>", "IHCP-species-checked": "testedAndGuaranteed", "IHCP-species-dilution-info": "1/1000", "IHCP-species-notes": "<p></p>" } } }

Product details

Patented technology
Our RabMAb® technology is a patented hybridoma-based technology for making rabbit monoclonal antibodies. For details on our patents, please refer to RabMAb® patents.

What are the advantages of a recombinant monoclonal antibody?
This product is a recombinant monoclonal antibody, which offers several advantages including:

  • - High batch-to-batch consistency and reproducibility
  • - Improved sensitivity and specificity
  • - Long-term security of supply
  • - Animal-free batch production

For more information, read more on recombinant antibodies.

Properties and storage information

Form
Liquid
Purification technique
Affinity purification Protein A
Storage buffer
pH: 7.2 - 7.4 Preservative: 0.01% Sodium azide Constituents: PBS, 40% Glycerol (glycerin, glycerine), 0.05% BSA
Shipped at conditions
Blue Ice
Appropriate short-term storage duration
1-2 weeks
Appropriate short-term storage conditions
+4°C
Appropriate long-term storage conditions
-20°C
Aliquoting information
Upon delivery aliquot
Storage information
Avoid freeze / thaw cycle

Product protocols

For this product, it's our understanding that no specific protocols are required. You can visit:

Target data

G-protein coupled receptor for glutamate. Ligand binding causes a conformation change that triggers signaling via guanine nucleotide-binding proteins (G proteins) and modulates the activity of down-stream effectors. Signaling inhibits adenylate cyclase activity.
See full target information GRM3

Additional targets

GRM2

Publications (1)

Recent publications for all applications. Explore the full list and refine your search

iScience 26:107913 PubMed37810220

2023

mNSCs overexpressing transplantation facilitates cognitive recovery in a mouse model of traumatic brain injury.

Applications

Unspecified application

Species

Unspecified reactive species

Tongjie Ji,Ying Pang,Meng Cheng,Rui Wang,Xu Chen,Chunyu Zhang,Min Liu,Jing Zhang,Chunlong Zhong
View all publications

Product promise

We are committed to supporting your work with high-quality reagents, and we're here for you every step of the way. In the unlikely event that one of our products does not perform as expected, you're protected by our Product Promise.
For full details, please see our Terms & Conditions

Please note: All products are 'FOR RESEARCH USE ONLY. NOT FOR USE IN DIAGNOSTIC OR THERAPEUTIC PROCEDURES'.

For licensing inquiries, please contact partnerships@abcam.com