JavaScript is disabled in your browser. Please enable JavaScript to view this website.
AB53090

Anti-Metabotropic Glutamate Receptor 5 antibody

4

(16 Reviews)

|

(17 Publications)

Rabbit Polyclonal Metabotropic Glutamate Receptor 5 antibody. Suitable for WB, IHC-P and reacts with Mouse, Human samples. Cited in 17 publications. Immunogen corresponding to Synthetic Peptide within Human GRM5.

View Alternative Names

GPRC1E, MGLUR5, GRM5, Metabotropic glutamate receptor 5, mGluR5

3 Images
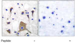
Immunohistochemistry (Formalin/PFA-fixed paraffin-embedded sections) - Anti-Metabotropic Glutamate Receptor 5 antibody (AB53090)
  • IHC-P

Unknown

Immunohistochemistry (Formalin/PFA-fixed paraffin-embedded sections) - Anti-Metabotropic Glutamate Receptor 5 antibody (AB53090)

Immunohistochemical analysis of paraffin embedded human brain tissue using ab53090 at 1/50 dilution, in the presence (right) and absence (left) of blocking peptide.

Western blot - Anti-Metabotropic Glutamate Receptor 5 antibody (AB53090)
  • WB

Unknown

Western blot - Anti-Metabotropic Glutamate Receptor 5 antibody (AB53090)

All lanes:

Western blot - Anti-Metabotropic Glutamate Receptor 5 antibody (ab53090) at 1/300 dilution

Lane 1:

Mouse brain extracts

Lane 2:

Mouse brain extracts with blocking peptide

Predicted band size: 132 kDa

Observed band size: 100 kDa

false

Western blot - Anti-Metabotropic Glutamate Receptor 5 antibody (AB53090)
  • WB

CiteAb

Western blot - Anti-Metabotropic Glutamate Receptor 5 antibody (AB53090)

Metabotropic Glutamate Receptor 5 western blot using anti-Metabotropic Glutamate Receptor 5 antibody ab53090. Publication image and figure legend from Meamar, R., Karamali, F., et al., 2013, Cell J, PubMed 23508940.

ab53090 was used in this publication in western blot. This may not be the same as the application(s) guaranteed by Abcam. For a full list of applications guaranteed by Abcam for ab53090 please see the product overview.

Expression of metabotropic glutamate receptor 5 (mGlu5) on embryonic stem cells (ESCs) using immunocytochemistry (A) and RT-PCR analysis (B). The nuclei were counterstained with DAPI.

false

Key facts

Host species

Rabbit

Clonality

Polyclonal

Isotype

IgG

Carrier free

No

Reacts with

Mouse, Human

Applications

IHC-P, WB

applications

Immunogen

Synthetic Peptide within Human GRM5. The exact immunogen used to generate this antibody is proprietary information.

P41594

Reactivity data

{ "title": "Reactivity Data", "filters": { "stats": ["", "Species", "Dilution Info", "Notes"], "tabs": { "all-applications": {"fullname" : "All Applications", "shortname": "All Applications"}, "WB" : {"fullname" : "Western blot", "shortname":"WB"}, "IHCP" : {"fullname" : "Immunohistochemistry (Formalin/PFA-fixed paraffin-embedded sections)", "shortname":"IHC-P"} }, "product-promise": { "all": "all", "testedAndGuaranteed": "tested", "guaranteed": "expected", "predicted": "predicted", "notRecommended": "not-recommended" } }, "values": { "Human": { "WB-species-checked": "guaranteed", "WB-species-dilution-info": "", "WB-species-notes": "", "IHCP-species-checked": "testedAndGuaranteed", "IHCP-species-dilution-info": "1/50 - 1/100", "IHCP-species-notes": "<p></p>" }, "Mouse": { "WB-species-checked": "testedAndGuaranteed", "WB-species-dilution-info": "1/500 - 1/1000", "WB-species-notes": "<p></p>", "IHCP-species-checked": "guaranteed", "IHCP-species-dilution-info": "", "IHCP-species-notes": "" }, "Rat": { "WB-species-checked": "predicted", "WB-species-dilution-info": "", "WB-species-notes": "", "IHCP-species-checked": "predicted", "IHCP-species-dilution-info": "", "IHCP-species-notes": "" } } }

Properties and storage information

Form
Liquid
Purification technique
Affinity purification Immunogen
Purification notes
ab53090 was affinity purified from rabbit antiserum by affinity chromatography using epitope specific immunogen.
Storage buffer
pH: 7.4 Preservative: 0.02% Sodium azide Constituents: PBS, 50% Glycerol (glycerin, glycerine), 0.87% Sodium chloride
Shipped at conditions
Blue Ice
Appropriate short-term storage conditions
+4°C
Appropriate long-term storage conditions
-20°C
Storage information
Stable for 12 months at -20°C

Product protocols

For this product, it's our understanding that no specific protocols are required. You can visit:

Target data

G-protein coupled receptor for glutamate. Ligand binding causes a conformation change that triggers signaling via guanine nucleotide-binding proteins (G proteins) and modulates the activity of down-stream effectors. Signaling activates a phosphatidylinositol-calcium second messenger system and generates a calcium-activated chloride current. Plays an important role in the regulation of synaptic plasticity and the modulation of the neural network activity.
See full target information GRM5

Publications (17)

Recent publications for all applications. Explore the full list and refine your search

Heliyon 10:e33050 PubMed38994087

2024

"Niclosamide: A potential antipruritic agent by modulating serotonin pathway through metabotropic glutamate receptors (mGluRs)".

Applications

Unspecified application

Species

Unspecified reactive species

Zahra Ebrahim Soltani,Mohammad Elahi,Maziyar Askari Rad,Sara Farsio,Ahmad Reza Dehpour

PloS one 15:e0242989 PubMed33270674

2020

Neurotoxicity of different amyloid beta subspecies in mice and their interaction with isoflurane anaesthesia.

Applications

Unspecified application

Species

Unspecified reactive species

Laura Borgstedt,Manfred Blobner,Maximilian Musiol,Sebastian Bratke,Finn Syryca,Gerhard Rammes,Bettina Jungwirth,Sebastian Schmid

Journal of pain research 13:1471-1483 PubMed32606913

2020

Electroacupuncture Regulates Pain Transition by Inhibiting the mGluR5-PKCε Signaling Pathway in the Dorsal Root Ganglia.

Applications

Unspecified application

Species

Unspecified reactive species

Sisi Wang,Junying Du,Fangbing Shao,Wen Wang,Haiju Sun,Xiaomei Shao,Yi Liang,Boyi Liu,Jianqiao Fang,Junfan Fang

International journal of molecular sciences 20: PubMed31540330

2019

Enhanced Function and Overexpression of Metabotropic Glutamate Receptors 1 and 5 in the Spinal Cord of the SOD1 Mouse Model of Amyotrophic Lateral Sclerosis during Disease Progression.

Applications

Unspecified application

Species

Unspecified reactive species

Tiziana Bonifacino,Claudia Rebosio,Francesca Provenzano,Carola Torazza,Matilde Balbi,Marco Milanese,Luca Raiteri,Cesare Usai,Ernesto Fedele,Giambattista Bonanno

Neurotherapeutics : the journal of the American Society for Experimental NeuroTherapeutics 16:761-783 PubMed31073978

2019

PDZ Scaffold Protein CAL Couples with Metabotropic Glutamate Receptor 5 to Protect Against Cell Apoptosis and Is a Potential Target in the Treatment of Parkinson's Disease.

Applications

Unspecified application

Species

Unspecified reactive species

Wen Yuan Luo,Su Qian Xing,Ping Zhu,Chen Guang Zhang,Hui Min Yang,Nicholas Van Halm-Lutterodt,Li Gu,Hong Zhang

The EMBO journal 37: PubMed29615452

2018

Glutamate transporter Slc1a3 mediates inter-niche stem cell activation during skin growth.

Applications

Unspecified application

Species

Unspecified reactive species

Bettina Reichenbach,Johanna Classon,Tomomi Aida,Kohichi Tanaka,Maria Genander,Christian Göritz

PLoS pathogens 13:e1006733 PubMed29176838

2017

Inhibition of group-I metabotropic glutamate receptors protects against prion toxicity.

Applications

Unspecified application

Species

Unspecified reactive species

Despoina Goniotaki,Asvin K K Lakkaraju,Amulya N Shrivastava,Pamela Bakirci,Silvia Sorce,Assunta Senatore,Rajlakshmi Marpakwar,Simone Hornemann,Fabrizio Gasparini,Antoine Triller,Adriano Aguzzi

Scientific reports 7:3546 PubMed28615682

2017

Improved retinal function in RCS rats after suppressing the over-activation of mGluR5.

Applications

Unspecified application

Species

Unspecified reactive species

Jiaman Dai,Yan Fu,Yuxiao Zeng,Shiying Li,Zheng Qin Yin

Journal of neuroscience research 95:1110-1122 PubMed27735078

2016

The effects of prenatal H1N1 infection at E16 on FMRP, glutamate, GABA, and reelin signaling systems in developing murine cerebellum.

Applications

Unspecified application

Species

Unspecified reactive species

S Hossein Fatemi,Timothy D Folsom,Stephanie B Liesch,Rachel E Kneeland,Mahtab Karkhane Yousefi,Paul D Thuras

PloS one 9:e105996 PubMed25153086

2014

Visual sensorial impairments in neurodevelopmental disorders: evidence for a retinal phenotype in Fragile X Syndrome.

Applications

IHC-Fr

Species

Mouse

Rafaëlle Rossignol,Isabelle Ranchon-Cole,Arnaud Pâris,Ameziane Herzine,Astrid Perche,David Laurenceau,Pauline Bertrand,Christine Cercy,Jacques Pichon,Stéphane Mortaud,Sylvain Briault,Arnaud Menuet,Olivier Perche
View all publications

Product promise

We are committed to supporting your work with high-quality reagents, and we're here for you every step of the way. In the unlikely event that one of our products does not perform as expected, you're protected by our Product Promise.
For full details, please see our Terms & Conditions

Please note: All products are 'FOR RESEARCH USE ONLY. NOT FOR USE IN DIAGNOSTIC OR THERAPEUTIC PROCEDURES'.

For licensing inquiries, please contact partnerships@abcam.com