JavaScript is disabled in your browser. Please enable JavaScript to view this website.
AB219374

Anti-Metabotropic Glutamate Receptor 5 antibody [EPR2425Y] - Low endotoxin, Azide free

Be the first to review this product! Submit a review

|

(5 Publications)

Rabbit Recombinant Monoclonal Metabotropic Glutamate Receptor 5 antibody. Carrier free. Suitable for IHC-P, WB, Flow Cyt (Intra), EM, IHC-Fr and reacts with Mouse, Rat, Human samples. Cited in 5 publications.

View Alternative Names

GPRC1E, MGLUR5, GRM5, Metabotropic glutamate receptor 5, mGluR5

4 Images
Flow Cytometry (Intracellular) - Anti-Metabotropic Glutamate Receptor 5 antibody [EPR2425Y] - Low endotoxin, Azide free (AB219374)
  • Flow Cyt (Intra)

Unknown

Flow Cytometry (Intracellular) - Anti-Metabotropic Glutamate Receptor 5 antibody [EPR2425Y] - Low endotoxin, Azide free (AB219374)

This data was developed using the same antibody clone in a different buffer formulation containing PBS, BSA, glycerol, and sodium azide (ab76316).

Intracellular flow cytometric analysis of permeabilized SH-SY5Y cells using ab76316 (red) at 1/20 or a rabbit IgG (ab172730) as a negative control (green). The cells were permeabilized with 2% PFA and a goat anti-rabbit IgG FITC was used as the secondary at 1/150.

Immunohistochemistry (Formalin/PFA-fixed paraffin-embedded sections) - Anti-Metabotropic Glutamate Receptor 5 antibody [EPR2425Y] - Low endotoxin, Azide free (AB219374)
  • IHC-P

Collaborator

Immunohistochemistry (Formalin/PFA-fixed paraffin-embedded sections) - Anti-Metabotropic Glutamate Receptor 5 antibody [EPR2425Y] - Low endotoxin, Azide free (AB219374)

This data was developed using the same antibody clone in a different buffer formulation containing PBS, BSA, glycerol, and sodium azide (ab76316)

ab76316 staining Metabotropic Glutmate Receptor 5 in mouse caudate putamen/ Corpus callosum by immunohistochemistry. Tissue was fixed with formaldehyde and citrate-mediated antigen retrieval was performed. Samples were blocked with 1% BSA for 10 minutes at 21°C, before incubation with the primary antibody (1/1000) for 2 hours at 21°C. A biotin conjugated goatanti-rabbit IgG secondary was used at 1/250.

This image is courtesy of an Abreview submitted by Carl Hobbs.

Immunohistochemistry (Formalin/PFA-fixed paraffin-embedded sections) - Anti-Metabotropic Glutamate Receptor 5 antibody [EPR2425Y] - Low endotoxin, Azide free (AB219374)
  • IHC-P

Lab

Immunohistochemistry (Formalin/PFA-fixed paraffin-embedded sections) - Anti-Metabotropic Glutamate Receptor 5 antibody [EPR2425Y] - Low endotoxin, Azide free (AB219374)

This data was developed using the same antibody clone in a different buffer formulation containing PBS, BSA, glycerol, and sodium azide (ab76316)

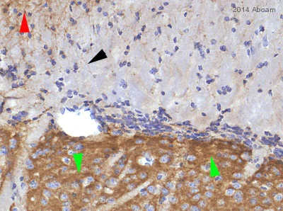
Immunohistochemical analysis of Paraffin-embedded rat cerebrum tissue sections labeling Metabotropic Glutamate Receptor 5 with ab76316 at 1/400 dilution followed by Goat Anti-Rabbit IgG H&L (HRP Polymer) secondary antibody. Sections were counterstained with Hematoxylin. Antigen retrieval was heat mediated using ab93684 (Tris/EDTA buffer, pH 9.0).

Positive staining on rat cerebrum.

Immunohistochemistry (Formalin/PFA-fixed paraffin-embedded sections) - Anti-Metabotropic Glutamate Receptor 5 antibody [EPR2425Y] - Low endotoxin, Azide free (AB219374)
  • IHC-P

Lab

Immunohistochemistry (Formalin/PFA-fixed paraffin-embedded sections) - Anti-Metabotropic Glutamate Receptor 5 antibody [EPR2425Y] - Low endotoxin, Azide free (AB219374)

This data was developed using the same antibody clone in a different buffer formulation containing PBS, BSA, glycerol, and sodium azide (ab76316).

Immunohistochemical analysis of Paraffin-embedded mouse cerebrum tissue sections labeling Metabotropic Glutamate Receptor 5 with ab76316 at 1/400 dilution followed by Goat Anti-Rabbit IgG H&L (HRP Polymer) secondary antibody. Sections were counterstained with Hematoxylin. Antigen retrieval was heat mediated using ab93684 (Tris/EDTA buffer, pH 9.0).

Positive staining on mouse cerebrum.

  • 519 Alexa Fluor® 488

    Alexa Fluor® 488 Anti-Metabotropic Glutamate Receptor 5 antibody [EPR2425Y]

  • 603 Alexa Fluor® 568

    Alexa Fluor® 568 Anti-Metabotropic Glutamate Receptor 5 antibody [EPR2425Y]

  • HRP

    HRP Anti-Metabotropic Glutamate Receptor 5 antibody [EPR2425Y]

  • Unconjugated

    Anti-Metabotropic Glutamate Receptor 5 antibody [EPR2425Y]

  • Carrier free

    Anti-Metabotropic Glutamate Receptor 5 antibody [EPR2425Y] - BSA and Azide free

  • 660 APC

    APC Anti-Metabotropic Glutamate Receptor 5 antibody [EPR2425Y]

  • 578 PE

    PE Anti-Metabotropic Glutamate Receptor 5 antibody [EPR2425Y]

  • 617 Alexa Fluor® 594

    Alexa Fluor® 594 Anti-Metabotropic Glutamate Receptor 5 antibody [EPR2425Y]

  • 565 Alexa Fluor® 555

    Alexa Fluor® 555 Anti-Metabotropic Glutamate Receptor 5 antibody [EPR2425Y]

  • 775 Alexa Fluor® 750

    Alexa Fluor® 750 Anti-Metabotropic Glutamate Receptor 5 antibody [EPR2425Y]

Key facts

Host species

Rabbit

Clonality

Monoclonal

Clone number

EPR2425Y

Isotype

IgG

Carrier free

Yes

Reacts with

Human, Rat, Mouse

Applications

IHC-P, EM, IHC-Fr, Flow Cyt (Intra), WB

applications

Immunogen

The exact immunogen used to generate this antibody is proprietary information.

Specificity

The Human species recommendation is based on the WB results. This antibody has been tested for IHC-P and IHC-Fr in Human samples and we obtain positive signal only in IHC-Fr. We do not recommend this antibody for IHC-P in Human samples.

Reactivity data

{ "title": "Reactivity Data", "filters": { "stats": ["", "Species", "Dilution Info", "Notes"], "tabs": { "all-applications": {"fullname" : "All Applications", "shortname": "All Applications"}, "IHCP" : {"fullname" : "Immunohistochemistry (Formalin/PFA-fixed paraffin-embedded sections)", "shortname":"IHC-P"}, "IP" : {"fullname" : "Immunoprecipitation", "shortname":"IP"}, "WB" : {"fullname" : "Western blot", "shortname":"WB"}, "FlowCytIntra" : {"fullname" : "Flow Cytometry (Intracellular)", "shortname":"Flow Cyt (Intra)"}, "EM" : {"fullname" : "Electron Microscopy", "shortname":"EM"}, "IHCFr" : {"fullname" : "Immunohistochemistry (Frozen sections)", "shortname":"IHC-Fr"} }, "product-promise": { "all": "all", "testedAndGuaranteed": "tested", "guaranteed": "expected", "predicted": "predicted", "notRecommended": "not-recommended" } }, "values": { "Human": { "IHCP-species-checked": "guaranteed", "IHCP-species-dilution-info": "", "IHCP-species-notes": "", "IP-species-checked": "notRecommended", "IP-species-dilution-info": "", "IP-species-notes": "<p></p>", "WB-species-checked": "testedAndGuaranteed", "WB-species-dilution-info": "", "WB-species-notes": "<p>&lt;p&gt;Please do not boil the sample before loading to the gel.&lt;/p&gt;</p>", "FlowCytIntra-species-checked": "testedAndGuaranteed", "FlowCytIntra-species-dilution-info": "", "FlowCytIntra-species-notes": "<p><a href='/en-us/products/primary-antibodies/rabbit-igg-monoclonal-epr25a-isotype-control-low-endotoxin-azide-free-ab199376'>ab199376</a>- Rabbit monoclonal IgG, is suitable for use as an isotype control with this antibody.</p>", "EM-species-checked": "guaranteed", "EM-species-dilution-info": "", "EM-species-notes": "", "IHCFr-species-checked": "testedAndGuaranteed", "IHCFr-species-dilution-info": "1 µg/mL", "IHCFr-species-notes": "<p>This antibody has been tested for IHC-P and IHC-Fr in Human samples and we obtain positive signal only in IHC-Fr. We do not recommend this antibody for IHC-P in Human samples.</p>" }, "Mouse": { "IHCP-species-checked": "testedAndGuaranteed", "IHCP-species-dilution-info": "", "IHCP-species-notes": "<p>Use of HRP-conjugated or polymerized HRP secondary antibodies, stronger signals have been found using the polymerized HRP secondary. We only recommend mouse and rat species for IHC-P. We do not guarantee IHC for Human species.</p> Perform heat-mediated antigen retrieval before commencing with IHC staining protocol.", "IP-species-checked": "notRecommended", "IP-species-dilution-info": "", "IP-species-notes": "<p></p>", "WB-species-checked": "testedAndGuaranteed", "WB-species-dilution-info": "", "WB-species-notes": "<p>Please do not boil the sample before loading to the gel.</p>", "FlowCytIntra-species-checked": "guaranteed", "FlowCytIntra-species-dilution-info": "", "FlowCytIntra-species-notes": "", "EM-species-checked": "testedAndGuaranteed", "EM-species-dilution-info": "", "EM-species-notes": "<p></p>", "IHCFr-species-checked": "testedAndGuaranteed", "IHCFr-species-dilution-info": "", "IHCFr-species-notes": "<p>This antibody has been tested for IHC-P and IHC-Fr in Human samples and we obtain positive signal only in IHC-Fr. We do not recommend this antibody for IHC-P in Human samples.</p>" }, "Rat": { "IHCP-species-checked": "testedAndGuaranteed", "IHCP-species-dilution-info": "", "IHCP-species-notes": "<p>Use of HRP-conjugated or polymerized HRP secondary antibodies, stronger signals have been found using the polymerized HRP secondary. We only recommend mouse and rat species for IHC-P. We do not guarantee IHC for Human species.</p> Perform heat-mediated antigen retrieval before commencing with IHC staining protocol.", "IP-species-checked": "notRecommended", "IP-species-dilution-info": "", "IP-species-notes": "<p></p>", "WB-species-checked": "guaranteed", "WB-species-dilution-info": "", "WB-species-notes": "", "FlowCytIntra-species-checked": "guaranteed", "FlowCytIntra-species-dilution-info": "", "FlowCytIntra-species-notes": "", "EM-species-checked": "guaranteed", "EM-species-dilution-info": "", "EM-species-notes": "", "IHCFr-species-checked": "guaranteed", "IHCFr-species-dilution-info": "", "IHCFr-species-notes": "" } } }

Product details

ab219374 is the carrier-free version of ab76316.

Patented technology
Our RabMAb® technology is a patented hybridoma-based technology for making rabbit monoclonal antibodies. For details on our patents, please refer to RabMAb® patents.

What are the advantages of a recombinant monoclonal antibody?
This product is a recombinant monoclonal antibody, which offers several advantages including:

  • - High batch-to-batch consistency and reproducibility
  • - Improved sensitivity and specificity
  • - Long-term security of supply
  • - Animal-free batch production

For more information, read more on recombinant antibodies.

Conjugation ready
Our carrier-free antibodies are typically supplied in a PBS-only formulation, purified and free of BSA, sodium azide and glycerol. This conjugation-ready format is designed for use with fluorochromes, metal isotopes, oligonucleotides, and enzymes, which makes them ideal for antibody labelling, functional and cell-based assays, flow-based assays (e.g. mass cytometry) and Multiplex Imaging applications.

Use our conjugation kits for antibody conjugates that are ready-to-use in as little as 20 minutes with 1 minute hands-on-time and 100% antibody recovery: available for fluorescent dyes, HRP, biotin and gold.

Compatibility
This product is compatible with the Maxpar® Antibody Labeling Kit from Fluidigm, without the need for antibody preparation. Maxpar® is a trademark of Fluidigm Canada Inc.

What does low endotoxin mean?
Our low endotoxin, azide-free formats have low endotoxin level (1 EU/mg, determined by the TAL assay) and are free from azide, to achieve consistent experimental results in functional assays.

Properties and storage information

Form
Liquid
Purification technique
Affinity purification Protein A
Storage buffer
pH: 7.2 - 7.4 Constituents: PBS
Shipped at conditions
Blue Ice
Appropriate short-term storage conditions
+4°C
Appropriate long-term storage conditions
+4°C
Storage information
Do Not Freeze

Product protocols

For this product, it's our understanding that no specific protocols are required. You can visit:

Target data

G-protein coupled receptor for glutamate. Ligand binding causes a conformation change that triggers signaling via guanine nucleotide-binding proteins (G proteins) and modulates the activity of down-stream effectors. Signaling activates a phosphatidylinositol-calcium second messenger system and generates a calcium-activated chloride current. Plays an important role in the regulation of synaptic plasticity and the modulation of the neural network activity.
See full target information GRM5

Publications (5)

Recent publications for all applications. Explore the full list and refine your search

Molecular psychiatry 20:1546-56 PubMed26370144

2015

Alteration by p11 of mGluR5 localization regulates depression-like behaviors.

Applications

Unspecified application

Species

Unspecified reactive species

K-W Lee,L Westin,J Kim,J C Chang,Y-S Oh,B Amreen,J Gresack,M Flajolet,D Kim,A Aperia,Y Kim,P Greengard

Molecular psychiatry 20:959-73 PubMed25266126

2014

Neuregulin 1 signalling modulates mGluR1 function in mesencephalic dopaminergic neurons.

Applications

Unspecified application

Species

Unspecified reactive species

A Ledonne,A Nobili,E C Latagliata,V Cavallucci,E Guatteo,S Puglisi-Allegra,M D'Amelio,N B Mercuri

Physiological reports 2:e00260 PubMed24760514

2014

The mouse cyclophosphamide model of bladder pain syndrome: tissue characterization, immune profiling, and relationship to metabotropic glutamate receptors.

Applications

WB

Species

Mouse

Anna V Golubeva,Alexander V Zhdanov,Giuseppe Mallel,Timothy G Dinan,John F Cryan

The Journal of neuroscience : the official journal of the Society for Neuroscience 32:16391-401 PubMed23152621

2012

PKC phosphorylation regulates mGluR5 trafficking by enhancing binding of Siah-1A.

Applications

WB

Species

Unspecified reactive species

Suk Jin Ko,Kaname Isozaki,Insook Kim,Jeong Ho Lee,Ho Jin Cho,Sun Young Sohn,So Ra Oh,Steven Park,Dong Goo Kim,Chul Hoon Kim,Katherine W Roche

Cerebral cortex (New York, N.Y. : 1991) 23:2179-89 PubMed22791805

2012

Compensatory molecular and functional mechanisms in nervous system of the Grm1(crv4) mouse lacking the mGlu1 receptor: a model for motor coordination deficits.

Applications

ICC/IF, WB

Species

Mouse, Mouse

Pia Irene Anna Rossi,Ilaria Musante,Maria Summa,Anna Pittaluga,Laura Emionite,Masami Ikehata,Maria Pia Rastaldi,Roberto Ravazzolo,Aldamaria Puliti
View all publications

Product promise

We are committed to supporting your work with high-quality reagents, and we're here for you every step of the way. In the unlikely event that one of our products does not perform as expected, you're protected by our Product Promise.
For full details, please see our Terms & Conditions

Please note: All products are 'FOR RESEARCH USE ONLY. NOT FOR USE IN DIAGNOSTIC OR THERAPEUTIC PROCEDURES'.

For licensing inquiries, please contact partnerships@abcam.com