JavaScript is disabled in your browser. Please enable JavaScript to view this website.
AB134124

Anti-Methionine Aminopeptidase 2/p67 antibody [EPR6887]

Be the first to review this product! Submit a review

|

(5 Publications)

Rabbit Recombinant Monoclonal Methionine Aminopeptidase 2/p67 antibody. Suitable for IHC-P, WB, Flow Cyt (Intra) and reacts with Human samples. Cited in 5 publications.

View Alternative Names

MNPEP, P67EIF2, METAP2, Methionine aminopeptidase 2, MAP 2, MetAP 2, Initiation factor 2-associated 67 kDa glycoprotein, Peptidase M, p67, p67eIF2

4 Images
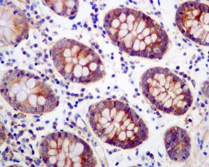
Immunohistochemistry (Formalin/PFA-fixed paraffin-embedded sections) - Anti-Methionine Aminopeptidase 2/p67 antibody [EPR6887] (AB134124)
  • IHC-P

Unknown

Immunohistochemistry (Formalin/PFA-fixed paraffin-embedded sections) - Anti-Methionine Aminopeptidase 2/p67 antibody [EPR6887] (AB134124)

Immunohistochemical analysis of paraffin embedded Human colon tissue labelling Methionine Aminopeptidase 2/p67 with ab134124 at 1/250.

Perform heat mediated antigen retrieval with citrate buffer pH 6 before commencing with IHC staining protocol.

Flow Cytometry (Intracellular) - Anti-Methionine Aminopeptidase 2/p67 antibody [EPR6887] (AB134124)
  • Flow Cyt (Intra)

Unknown

Flow Cytometry (Intracellular) - Anti-Methionine Aminopeptidase 2/p67 antibody [EPR6887] (AB134124)

Overlay histogram showing HeLa cells stained with ab134124 (red line). The cells were fixed with 80% methanol (5 min) and then permeabilized with 0.1% PBS-Tween for 20 min. The cells were then incubated in 1x PBS / 10% normal goat serum / 0.3M glycine to block non-specific protein-protein interactions followed by the antibody (ab134124, 1/1000 dilution) for 30 min at 22°C. The secondary antibody used was Alexa Fluor® 488 goat anti-rabbit IgG (H&L) (ab150077) at 1/2000 dilution for 30 min at 22°C. Isotype control antibody (black line) was rabbit IgG (monoclonal) (0.1μg/1x106 cells) used under the same conditions. Unlabelled sample (blue line) was also used as a control. Acquisition of >5,000 events were collected using a 20mW Argon ion laser (488nm) and 525/30 bandpass filter.

Western blot - Anti-Methionine Aminopeptidase 2/p67 antibody [EPR6887] (AB134124)
  • WB

Unknown

Western blot - Anti-Methionine Aminopeptidase 2/p67 antibody [EPR6887] (AB134124)

All lanes:

Western blot - Anti-Methionine Aminopeptidase 2/p67 antibody [EPR6887] (ab134124) at 1/1000 dilution

Lane 1:

HeLa cell lysate at 10 µg

Lane 2:

Caco 2 cell lysate at 10 µg

Lane 3:

HepG2 cell lysate at 10 µg

Secondary

All lanes:

Goat anti-rabbit HRP conjugated antibody at 1/2000 dilution

Predicted band size: 52 kDa

Observed band size: 67 kDa

false

OI-RD Scanning - Anti-Methionine Aminopeptidase 2/p67 antibody [EPR6887] (AB134124)
  • OI-RD Scanning

Unknown

OI-RD Scanning - Anti-Methionine Aminopeptidase 2/p67 antibody [EPR6887] (AB134124)

We have systematically measured KD (the equilibrium dissociation constant between the antibody and its antigen), of more than 840 recombinant antibodies to assess not only their individual KD values but also to see the average affinity of antibody. Based on the comparison with published literature values for mouse monoclonal antibodies, Recombinant antibodies appear to be on average 1-2 order of magnitude higher affinity.

  • Carrier free

    Anti-Methionine Aminopeptidase 2/p67 antibody [EPR6887] - BSA and Azide free

Key facts

Host species

Rabbit

Clonality

Monoclonal

Clone number

EPR6887

Isotype

IgG

Carrier free

No

Reacts with

Human

Applications

IHC-P, Flow Cyt (Intra), WB

applications

Immunogen

The exact immunogen used to generate this antibody is proprietary information.

Reactivity data

{ "title": "Reactivity Data", "filters": { "stats": ["", "Species", "Dilution Info", "Notes"], "tabs": { "all-applications": {"fullname" : "All Applications", "shortname": "All Applications"}, "IHCP" : {"fullname" : "Immunohistochemistry (Formalin/PFA-fixed paraffin-embedded sections)", "shortname":"IHC-P"}, "IP" : {"fullname" : "Immunoprecipitation", "shortname":"IP"}, "WB" : {"fullname" : "Western blot", "shortname":"WB"}, "FlowCytIntra" : {"fullname" : "Flow Cytometry (Intracellular)", "shortname":"Flow Cyt (Intra)"} }, "product-promise": { "all": "all", "testedAndGuaranteed": "tested", "guaranteed": "expected", "predicted": "predicted", "notRecommended": "not-recommended" } }, "values": { "Human": { "IHCP-species-checked": "testedAndGuaranteed", "IHCP-species-dilution-info": "1/250 - 1/500", "IHCP-species-notes": "<p></p>", "IP-species-checked": "notRecommended", "IP-species-dilution-info": "", "IP-species-notes": "<p></p>", "WB-species-checked": "testedAndGuaranteed", "WB-species-dilution-info": "1/1000 - 1/10000", "WB-species-notes": "<p></p>", "FlowCytIntra-species-checked": "testedAndGuaranteed", "FlowCytIntra-species-dilution-info": "1/100 - 1/1000", "FlowCytIntra-species-notes": "<p><a href='/en-us/products/primary-antibodies/rabbit-igg-monoclonal-epr25a-isotype-control-ab172730'>ab172730</a> - Rabbit monoclonal IgG, is suitable for use as an isotype control with this antibody.</p>" }, "Mouse": { "IHCP-species-checked": "predicted", "IHCP-species-dilution-info": "", "IHCP-species-notes": "", "IP-species-checked": "notRecommended", "IP-species-dilution-info": "", "IP-species-notes": "", "WB-species-checked": "predicted", "WB-species-dilution-info": "", "WB-species-notes": "", "FlowCytIntra-species-checked": "predicted", "FlowCytIntra-species-dilution-info": "", "FlowCytIntra-species-notes": "" }, "Rat": { "IHCP-species-checked": "predicted", "IHCP-species-dilution-info": "", "IHCP-species-notes": "", "IP-species-checked": "notRecommended", "IP-species-dilution-info": "", "IP-species-notes": "", "WB-species-checked": "predicted", "WB-species-dilution-info": "", "WB-species-notes": "", "FlowCytIntra-species-checked": "predicted", "FlowCytIntra-species-dilution-info": "", "FlowCytIntra-species-notes": "" } } }

Product details

Patented technology
Our RabMAb® technology is a patented hybridoma-based technology for making rabbit monoclonal antibodies. For details on our patents, please refer to RabMAb® patents.

What are the advantages of a recombinant monoclonal antibody?
This product is a recombinant monoclonal antibody, which offers several advantages including:

  • - High batch-to-batch consistency and reproducibility
  • - Improved sensitivity and specificity
  • - Long-term security of supply
  • - Animal-free batch production

For more information, read more on recombinant antibodies.

Properties and storage information

Form
Liquid
Purification technique
Affinity purification Protein A
Storage buffer
pH: 7.2 - 7.4 Preservative: 0.01% Sodium azide Constituents: PBS, 50% Tissue culture supernatant, 40% Glycerol (glycerin, glycerine), 0.05% BSA
Shipped at conditions
Blue Ice
Appropriate short-term storage conditions
+4°C
Appropriate long-term storage conditions
-20°C
Storage information
Stable for 12 months at -20°C

Product protocols

For this product, it's our understanding that no specific protocols are required. You can visit:

Target data

The protein expressed by the MAP2 gene cotranslationally removes the N-terminal methionine from nascent proteins, particularly when the second residue is small and uncharged. In comparison to METAP1, the catalytic activity of human METAP2 towards Met-Val peptides is consistently much higher, indicating its role in processing proteins with N-terminal Met-Val and Met-Thr sequences in vivo. Additionally, it protects the eukaryotic initiation factor EIF2S1 from translation-inhibiting phosphorylation by inhibitory kinases, such as EIF2AK2/PKR and EIF2AK1/HCR, playing a critical role in the regulation of protein synthesis. This supplementary information is collated from multiple sources and compiled automatically.
See full target information METAP2

Publications (5)

Recent publications for all applications. Explore the full list and refine your search

Frontiers in immunology 16:1574246 PubMed40568586

2025

IL-17A drives a fibroblast-neutrophil-NET axis to exacerbate immunopathology in the lung with diffuse alveolar damage.

Applications

Unspecified application

Species

Unspecified reactive species

Duo Su,Lu Li,Hao Xie,Lingli Ai,Yuqing Wang,Bo Yang,Dongsheng Zhou,Lingfei Hu,Huiying Yang

American journal of translational research 14:6243-6255 PubMed36247237

2022

Methionine aminopeptidase 2 as a potential target in pancreatic ductal adenocarcinoma.

Applications

Unspecified application

Species

Unspecified reactive species

Eliana Steinberg,Rawnaq Esa,Ouri Schwob,Tal Stern,Natalie Orehov,Gideon Zamir,Ayala Hubert,Dipak Panigrahy,Ofra Benny

International journal of molecular sciences 21: PubMed32708166

2020

The Role of Methionine Aminopeptidase 2 in Lymphangiogenesis.

Applications

Unspecified application

Species

Unspecified reactive species

Rawnaq Esa,Eliana Steinberg,Dvir Dror,Ouri Schwob,Mehrdad Khajavi,Miriam Maoz,Yael Kinarty,Adi Inbal,Aviad Zick,Ofra Benny

Chemical & pharmaceutical bulletin 68:133-139 PubMed32009080

2020

CTRP12 Ameliorated Lipopolysaccharide-Induced Cardiomyocyte Injury.

Applications

Unspecified application

Species

Unspecified reactive species

Meng-Qiao Zhou,E Jin,Jing Wu,Fei Ren,Yu-Zhi Yang,Dong-Dong Duan

Molecular cell 76:797-810.e10 PubMed31606272

2019

AUTACs: Cargo-Specific Degraders Using Selective Autophagy.

Applications

Unspecified application

Species

Unspecified reactive species

Daiki Takahashi,Jun Moriyama,Tomoe Nakamura,Erika Miki,Eriko Takahashi,Ayami Sato,Takaaki Akaike,Kaori Itto-Nakama,Hirokazu Arimoto
View all publications

Product promise

We are committed to supporting your work with high-quality reagents, and we're here for you every step of the way. In the unlikely event that one of our products does not perform as expected, you're protected by our Product Promise.
For full details, please see our Terms & Conditions

Please note: All products are 'FOR RESEARCH USE ONLY. NOT FOR USE IN DIAGNOSTIC OR THERAPEUTIC PROCEDURES'.

For licensing inquiries, please contact partnerships@abcam.com