JavaScript is disabled in your browser. Please enable JavaScript to view this website.
AB185540

Anti-Methionyl Aminopeptidase 1/MAP 1 antibody [EPR15452(B)]

Be the first to review this product! Submit a review

|

(2 Publications)

Rabbit Recombinant Monoclonal Methionyl Aminopeptidase 1/MAP 1 antibody. Suitable for WB, ICC/IF, Flow Cyt (Intra), IHC-P and reacts with Human, Rat samples. Cited in 2 publications.

View Alternative Names

KIAA0094, METAP1, Methionine aminopeptidase 1, MAP 1, MetAP 1, Peptidase M 1

6 Images
Immunocytochemistry/ Immunofluorescence - Anti-Methionyl Aminopeptidase 1/MAP 1 antibody [EPR15452(B)] (AB185540)
  • ICC/IF

Supplier Data

Immunocytochemistry/ Immunofluorescence - Anti-Methionyl Aminopeptidase 1/MAP 1 antibody [EPR15452(B)] (AB185540)

Immunofluorescent analysis of 4% paraformaldehyde fixed A375 cells labeling Methionyl Aminopeptidase 1/MAP 1 with ab185540 at 1/250 dilution. Secondary antibody Goat anti rabbit IgG (Alexa Fluor®488) at a 1/200 dilution. Counterstained with Dapi blue.

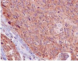
Immunohistochemistry (Formalin/PFA-fixed paraffin-embedded sections) - Anti-Methionyl Aminopeptidase 1/MAP 1 antibody [EPR15452(B)] (AB185540)
  • IHC-P

Supplier Data

Immunohistochemistry (Formalin/PFA-fixed paraffin-embedded sections) - Anti-Methionyl Aminopeptidase 1/MAP 1 antibody [EPR15452(B)] (AB185540)

Immunohistochemical analysis of paraffin-embedded Human cervix carcinoma tissue labeling Methionyl Aminopeptidase 1/MAP 1 with ab185540 at 1/100 dilution. Counter stain Hematoxylin.

Perform heat mediated antigen retrieval with EDTA buffer pH 9 before commencing with IHC staining protocol.

Flow Cytometry (Intracellular) - Anti-Methionyl Aminopeptidase 1/MAP 1 antibody [EPR15452(B)] (AB185540)
  • Flow Cyt (Intra)

Supplier Data

Flow Cytometry (Intracellular) - Anti-Methionyl Aminopeptidase 1/MAP 1 antibody [EPR15452(B)] (AB185540)

Intracellular Flow Cytometry analysis of 2% paraformaldehyde fixed A375 cells labeling Methionyl Aminopeptidase 1/MAP 1 with ab185540 at 1/180 dilution (pink) or a rabbit IgG isotype control (green), followed by secondary Goat anti rabbit IgG (FITC) at 1/150 dilution.

Immunocytochemistry/ Immunofluorescence - Anti-Methionyl Aminopeptidase 1/MAP 1 antibody [EPR15452(B)] (AB185540)
  • ICC/IF

Supplier Data

Immunocytochemistry/ Immunofluorescence - Anti-Methionyl Aminopeptidase 1/MAP 1 antibody [EPR15452(B)] (AB185540)

Immunofluorescent analysis of 4% paraformaldehyde fixed A549 cells labeling Methionyl Aminopeptidase 1/MAP 1 with ab185540 at 1/250 dilution. Secondary antibody Goat anti rabbit IgG (Alexa Fluor®555) at a 1/200 dilution. Counterstained with Dapi blue.

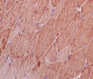
Immunohistochemistry (Formalin/PFA-fixed paraffin-embedded sections) - Anti-Methionyl Aminopeptidase 1/MAP 1 antibody [EPR15452(B)] (AB185540)
  • IHC-P

Supplier Data

Immunohistochemistry (Formalin/PFA-fixed paraffin-embedded sections) - Anti-Methionyl Aminopeptidase 1/MAP 1 antibody [EPR15452(B)] (AB185540)

Immunohistochemical analysis of paraffin-embedded Rat skeletal muscle tissue labeling Methionyl Aminopeptidase 1/MAP 1 with ab185540 at 1/100 dilution. Counter stain Hematoxylin.

Perform heat mediated antigen retrieval with EDTA buffer pH 9 before commencing with IHC staining protocol.

Western blot - Anti-Methionyl Aminopeptidase 1/MAP 1 antibody [EPR15452(B)] (AB185540)
  • WB

Supplier Data

Western blot - Anti-Methionyl Aminopeptidase 1/MAP 1 antibody [EPR15452(B)] (AB185540)

All lanes:

Western blot - Anti-Methionyl Aminopeptidase 1/MAP 1 antibody [EPR15452(B)] (ab185540) at 1/1000 dilution

Lane 1:

A375 cell lysate at 10 µg

Lane 2:

HUVEC cell lysate at 10 µg

Secondary

All lanes:

Goat Anti-Rabbit IgG, (H+L), Peroxidase conjugated at 1/1000 dilution

Predicted band size: 43 kDa

Observed band size: 43 kDa

false

  • Carrier free

    Anti-Methionyl Aminopeptidase 1/MAP 1 antibody [EPR15452(B)] - BSA and Azide free

Key facts

Host species

Rabbit

Clonality

Monoclonal

Clone number

EPR15452(B)

Isotype

IgG

Carrier free

No

Reacts with

Rat, Human

Applications

Flow Cyt (Intra), IHC-P, WB, ICC/IF

applications

Immunogen

The exact immunogen used to generate this antibody is proprietary information.

Reactivity data

{ "title": "Reactivity Data", "filters": { "stats": ["", "Species", "Dilution Info", "Notes"], "tabs": { "all-applications": {"fullname" : "All Applications", "shortname": "All Applications"}, "WB" : {"fullname" : "Western blot", "shortname":"WB"}, "ICCIF" : {"fullname" : "Immunocytochemistry/ Immunofluorescence", "shortname":"ICC/IF"}, "FlowCytIntra" : {"fullname" : "Flow Cytometry (Intracellular)", "shortname":"Flow Cyt (Intra)"}, "IHCP" : {"fullname" : "Immunohistochemistry (Formalin/PFA-fixed paraffin-embedded sections)", "shortname":"IHC-P"} }, "product-promise": { "all": "all", "testedAndGuaranteed": "tested", "guaranteed": "expected", "predicted": "predicted", "notRecommended": "not-recommended" } }, "values": { "Human": { "WB-species-checked": "testedAndGuaranteed", "WB-species-dilution-info": "1/1000", "WB-species-notes": "<p></p>", "ICCIF-species-checked": "testedAndGuaranteed", "ICCIF-species-dilution-info": "1/250", "ICCIF-species-notes": "<p></p>", "FlowCytIntra-species-checked": "testedAndGuaranteed", "FlowCytIntra-species-dilution-info": "1/180", "FlowCytIntra-species-notes": "<p><a href='/en-us/products/primary-antibodies/rabbit-igg-monoclonal-epr25a-isotype-control-ab172730'>ab172730</a> - Rabbit monoclonal IgG, is suitable for use as an isotype control with this antibody.</p>", "IHCP-species-checked": "testedAndGuaranteed", "IHCP-species-dilution-info": "1/100", "IHCP-species-notes": "<p></p>" }, "Mouse": { "WB-species-checked": "predicted", "WB-species-dilution-info": "", "WB-species-notes": "", "ICCIF-species-checked": "predicted", "ICCIF-species-dilution-info": "", "ICCIF-species-notes": "", "FlowCytIntra-species-checked": "predicted", "FlowCytIntra-species-dilution-info": "", "FlowCytIntra-species-notes": "", "IHCP-species-checked": "predicted", "IHCP-species-dilution-info": "", "IHCP-species-notes": "" }, "Rat": { "WB-species-checked": "guaranteed", "WB-species-dilution-info": "", "WB-species-notes": "", "ICCIF-species-checked": "guaranteed", "ICCIF-species-dilution-info": "", "ICCIF-species-notes": "", "FlowCytIntra-species-checked": "guaranteed", "FlowCytIntra-species-dilution-info": "", "FlowCytIntra-species-notes": "", "IHCP-species-checked": "testedAndGuaranteed", "IHCP-species-dilution-info": "1/100", "IHCP-species-notes": "<p></p>" } } }

Product details

Patented technology
Our RabMAb® technology is a patented hybridoma-based technology for making rabbit monoclonal antibodies. For details on our patents, please refer to RabMAb® patents.

What are the advantages of a recombinant monoclonal antibody?
This product is a recombinant monoclonal antibody, which offers several advantages including:

  • - High batch-to-batch consistency and reproducibility
  • - Improved sensitivity and specificity
  • - Long-term security of supply
  • - Animal-free batch production

For more information, read more on recombinant antibodies.

Properties and storage information

Form
Liquid
Purification technique
Affinity purification Protein A
Storage buffer
pH: 7.2 - 7.4 Preservative: 0.01% Sodium azide Constituents: PBS, 40% Glycerol (glycerin, glycerine), 0.05% BSA
Shipped at conditions
Blue Ice
Appropriate short-term storage duration
1-2 weeks
Appropriate short-term storage conditions
+4°C
Appropriate long-term storage conditions
-20°C
Aliquoting information
Upon delivery aliquot
Storage information
Avoid freeze / thaw cycle

Product protocols

For this product, it's our understanding that no specific protocols are required. You can visit:

Target data

Cotranslationally removes the N-terminal methionine from nascent proteins. The N-terminal methionine is often cleaved when the second residue in the primary sequence is small and uncharged (Met-Ala-, Cys, Gly, Pro, Ser, Thr, or Val). Required for normal progression through the cell cycle.
See full target information METAP1

Publications (2)

Recent publications for all applications. Explore the full list and refine your search

Nature immunology 25:873-885 PubMed38553615

2024

Thioredoxin is a metabolic rheostat controlling regulatory B cells.

Applications

Unspecified application

Species

Unspecified reactive species

Hannah F Bradford,Thomas C R McDonnell,Alexander Stewart,Andrew Skelton,Joseph Ng,Zara Baig,Franca Fraternali,Deborah Dunn-Walters,David A Isenberg,Adnan R Khan,Claudio Mauro,Claudia Mauri

American journal of translational research 14:6243-6255 PubMed36247237

2022

Methionine aminopeptidase 2 as a potential target in pancreatic ductal adenocarcinoma.

Applications

Unspecified application

Species

Unspecified reactive species

Eliana Steinberg,Rawnaq Esa,Ouri Schwob,Tal Stern,Natalie Orehov,Gideon Zamir,Ayala Hubert,Dipak Panigrahy,Ofra Benny
View all publications

Product promise

We are committed to supporting your work with high-quality reagents, and we're here for you every step of the way. In the unlikely event that one of our products does not perform as expected, you're protected by our Product Promise.
For full details, please see our Terms & Conditions

Please note: All products are 'FOR RESEARCH USE ONLY. NOT FOR USE IN DIAGNOSTIC OR THERAPEUTIC PROCEDURES'.

For licensing inquiries, please contact partnerships@abcam.com