JavaScript is disabled in your browser. Please enable JavaScript to view this website.
AB134956

Anti-Methylmalonyl Coenzyme A mutase antibody [EPR7738]

5

(1 Review)

|

(13 Publications)

Rabbit Recombinant Monoclonal Methylmalonyl Coenzyme A mutase antibody. Suitable for IHC-P, WB and reacts with Human, Rat, Mouse samples. Cited in 13 publications.

View Alternative Names

MUT, MMUT, MCM, Methylmalonyl-CoA isomerase

6 Images
Immunohistochemistry (Formalin/PFA-fixed paraffin-embedded sections) - Anti-Methylmalonyl Coenzyme A mutase antibody [EPR7738] (AB134956)
  • IHC-P

Unknown

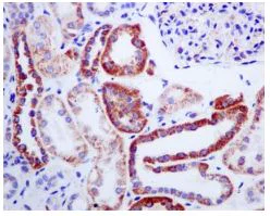
Immunohistochemistry (Formalin/PFA-fixed paraffin-embedded sections) - Anti-Methylmalonyl Coenzyme A mutase antibody [EPR7738] (AB134956)

Immunohistochemical analysis of paraffin-embedded Human kidney tissue labelling Methylmalonyl Coenzyme A mutase with ab134956 (unpurified) at dilution 1/50.

Heat mediated antigen retrieval was performed with citrate buffer pH 6 before commencing with IHC staining protocol.

Immunohistochemistry (Formalin/PFA-fixed paraffin-embedded sections) - Anti-Methylmalonyl Coenzyme A mutase antibody [EPR7738] (AB134956)
  • IHC-P

Unknown

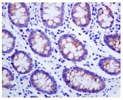
Immunohistochemistry (Formalin/PFA-fixed paraffin-embedded sections) - Anti-Methylmalonyl Coenzyme A mutase antibody [EPR7738] (AB134956)

Immunohistochemical analysis of paraffin-embedded Human colon tissue labelling Methylmalonyl Coenzyme A mutase with ab134956 (unpurified) at 1/50 dilution.

Heat mediated antigen retrieval was performed with citrate buffer pH 6 before commencing with IHC staining protocol.

Immunohistochemistry (Formalin/PFA-fixed paraffin-embedded sections) - Anti-Methylmalonyl Coenzyme A mutase antibody [EPR7738] (AB134956)
  • IHC-P

Unknown

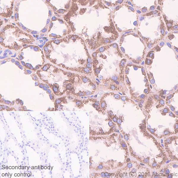
Immunohistochemistry (Formalin/PFA-fixed paraffin-embedded sections) - Anti-Methylmalonyl Coenzyme A mutase antibody [EPR7738] (AB134956)

Immunohistochemistry (Formalin/PFA-fixed paraffin-embedded sections) analysis of Human kidney tissue sections labeling Methylmalonyl Coenzyme A mutase with purified ab134956 at 1 : 50 dilution (2.96 μg/ml). Heat mediated antigen retrieval was performed using ab93684 (Tris/EDTA buffer, pH 9.0). ImmunoHistoProbe one step HRP Polymer (ready to use) was used as the secondary antibody. Negative control : PBS instead of the primary antibody. Hematoxylin was used as a counterstain.

Western blot - Anti-Methylmalonyl Coenzyme A mutase antibody [EPR7738] (AB134956)
  • WB

Lab

Western blot - Anti-Methylmalonyl Coenzyme A mutase antibody [EPR7738] (AB134956)

Lane 1 : Wild-type HAP1 cell lysate (20 μg)
Lane 2 : Methylmalonyl Coenzyme A mutase knockout HAP1 cell lysate (20 μg)
Lane 3 : K562 cell lysate (20 μg)
Lane 4 : Human liver tissue lysate (20 μg)
Lanes 1 - 4 : Merged signal (red and green). Green - ab134956 (unpurified) observed at 85 kDa. Red - loading control, ab8245, observed at 37 kDa.
ab134956 was shown to specifically react with Methylmalonyl Coenzyme A mutase when Methylmalonyl Coenzyme A mutase knockout samples were used. Wild-type and Methylmalonyl Coenzyme A mutase knockout samples were subjected to SDS-PAGE. ab134956 and ab8245 (loading control to GAPDH) were diluted 1/1000 and 1/10000 respectively and incubated overnight at 4°C. Blots were developed with Goat anti-Rabbit IgG H&L (IRDye® 800CW) preadsorbed (ab216773) and Goat anti-Mouse IgG H&L (IRDye® 680RD) preadsorbed (ab216776) secondary antibodies at 1/10000 dilution for 1 hour at room temperature before imaging.

All lanes:

Western blot - Anti-Methylmalonyl Coenzyme A mutase antibody [EPR7738] (ab134956)

Predicted band size: 83 kDa

false

Western blot - Anti-Methylmalonyl Coenzyme A mutase antibody [EPR7738] (AB134956)
  • WB

Unknown

Western blot - Anti-Methylmalonyl Coenzyme A mutase antibody [EPR7738] (AB134956)

All lanes:

Western blot - Anti-Methylmalonyl Coenzyme A mutase antibody [EPR7738] (ab134956) at 1/1000 dilution

Lane 1:

HeLa cell lysate at 10 µg

Lane 2:

K562 cell lysate at 10 µg

Lane 3:

293T cell lysate at 10 µg

Lane 4:

Human fetal liver tissue lysate at 10 µg

Secondary

All lanes:

HRP labelled goat anti rabbit at 1/2000 dilution

Predicted band size: 83 kDa

false

Western blot - Anti-Methylmalonyl Coenzyme A mutase antibody [EPR7738] (AB134956)
  • WB

Lab

Western blot - Anti-Methylmalonyl Coenzyme A mutase antibody [EPR7738] (AB134956)

All lanes:

Western blot - Anti-Methylmalonyl Coenzyme A mutase antibody [EPR7738] (ab134956) at 1/2000 dilution

Lane 1:

HeLa (Human cervix adenocarcinoma epithelial cell) whole cell lysates at 20 µg

Lane 2:

K-562 (Human chronic myelogenous leukemia lymphoblast) whole cell lysates at 20 µg

Lane 3:

Mouse brain lysates at 20 µg

Lane 4:

Rat brain lysates at 20 µg

Secondary

All lanes:

Western blot - Goat Anti-Rabbit IgG H&L (HRP) (<a href='/en-us/products/secondary-antibodies/goat-rabbit-igg-h-l-hrp-ab97051'>ab97051</a>) at 1/20000 dilution

Predicted band size: 83 kDa

Observed band size: 83 kDa

false

  • Carrier free

    Anti-Methylmalonyl Coenzyme A mutase antibody [EPR7738] - BSA and Azide free

  • 565 Alexa Fluor® 555

    Alexa Fluor® 555 Anti-Methylmalonyl Coenzyme A mutase antibody [EPR7738]

  • 578 PE

    PE Anti-Methylmalonyl Coenzyme A mutase antibody [EPR7738]

  • 617 Alexa Fluor® 594

    Alexa Fluor® 594 Anti-Methylmalonyl Coenzyme A mutase antibody [EPR7738]

  • 660 APC

    APC Anti-Methylmalonyl Coenzyme A mutase antibody [EPR7738]

  • 519 Alexa Fluor® 488

    Alexa Fluor® 488 Anti-Methylmalonyl Coenzyme A mutase antibody [EPR7738]

  • 665 Alexa Fluor® 647

    Alexa Fluor® 647 Anti-Methylmalonyl Coenzyme A mutase antibody [EPR7738]

  • 775 Alexa Fluor® 750

    Alexa Fluor® 750 Anti-Methylmalonyl Coenzyme A mutase antibody [EPR7738]

Key facts

Host species

Rabbit

Clonality

Monoclonal

Clone number

EPR7738

Isotype

IgG

Carrier free

No

Reacts with

Mouse, Rat, Human

Applications

IHC-P, WB

applications

Immunogen

The exact immunogen used to generate this antibody is proprietary information.

Specificity

The mouse and rat recommendation is based on the WB results. We do not guarantee IHC-P for mouse and rat.

Reactivity data

{ "title": "Reactivity Data", "filters": { "stats": ["", "Species", "Dilution Info", "Notes"], "tabs": { "all-applications": {"fullname" : "All Applications", "shortname": "All Applications"}, "IHCP" : {"fullname" : "Immunohistochemistry (Formalin/PFA-fixed paraffin-embedded sections)", "shortname":"IHC-P"}, "IP" : {"fullname" : "Immunoprecipitation", "shortname":"IP"}, "FlowCyt" : {"fullname" : "Flow Cytometry", "shortname":"Flow Cyt"}, "WB" : {"fullname" : "Western blot", "shortname":"WB"}, "ICCIF" : {"fullname" : "Immunocytochemistry/ Immunofluorescence", "shortname":"ICC/IF"} }, "product-promise": { "all": "all", "testedAndGuaranteed": "tested", "guaranteed": "expected", "predicted": "predicted", "notRecommended": "not-recommended" } }, "values": { "Human": { "IHCP-species-checked": "testedAndGuaranteed", "IHCP-species-dilution-info": "1/50 - 1/100", "IHCP-species-notes": "<p>The mouse and rat recommendation is based on the WB results. We do not guarantee IHC-P for mouse and rat.</p> Perform heat-mediated antigen retrieval with citrate buffer pH 6 before commencing with IHC staining protocol.", "IP-species-checked": "notRecommended", "IP-species-dilution-info": "", "IP-species-notes": "<p></p>", "FlowCyt-species-checked": "notRecommended", "FlowCyt-species-dilution-info": "", "FlowCyt-species-notes": "<p></p>", "WB-species-checked": "testedAndGuaranteed", "WB-species-dilution-info": "1/1000 - 1/10000", "WB-species-notes": "<p></p>", "ICCIF-species-checked": "notRecommended", "ICCIF-species-dilution-info": "", "ICCIF-species-notes": "<p></p>" }, "Mouse": { "IHCP-species-checked": "guaranteed", "IHCP-species-dilution-info": "1/50 - 1/100", "IHCP-species-notes": "<p>The mouse and rat recommendation is based on the WB results. We do not guarantee IHC-P for mouse and rat.</p> Perform heat-mediated antigen retrieval with citrate buffer pH 6 before commencing with IHC staining protocol.", "IP-species-checked": "notRecommended", "IP-species-dilution-info": "", "IP-species-notes": "<p></p>", "FlowCyt-species-checked": "notRecommended", "FlowCyt-species-dilution-info": "", "FlowCyt-species-notes": "<p></p>", "WB-species-checked": "testedAndGuaranteed", "WB-species-dilution-info": "1/1000 - 1/10000", "WB-species-notes": "<p></p>", "ICCIF-species-checked": "notRecommended", "ICCIF-species-dilution-info": "", "ICCIF-species-notes": "<p></p>" }, "Rat": { "IHCP-species-checked": "guaranteed", "IHCP-species-dilution-info": "1/50 - 1/100", "IHCP-species-notes": "<p>The mouse and rat recommendation is based on the WB results. We do not guarantee IHC-P for mouse and rat.</p> Perform heat-mediated antigen retrieval with citrate buffer pH 6 before commencing with IHC staining protocol.", "IP-species-checked": "notRecommended", "IP-species-dilution-info": "", "IP-species-notes": "<p></p>", "FlowCyt-species-checked": "notRecommended", "FlowCyt-species-dilution-info": "", "FlowCyt-species-notes": "<p></p>", "WB-species-checked": "testedAndGuaranteed", "WB-species-dilution-info": "1/1000 - 1/10000", "WB-species-notes": "<p></p>", "ICCIF-species-checked": "notRecommended", "ICCIF-species-dilution-info": "", "ICCIF-species-notes": "<p></p>" }, "Cow": { "IHCP-species-checked": "predicted", "IHCP-species-dilution-info": "", "IHCP-species-notes": "", "IP-species-checked": "notRecommended", "IP-species-dilution-info": "", "IP-species-notes": "", "FlowCyt-species-checked": "notRecommended", "FlowCyt-species-dilution-info": "", "FlowCyt-species-notes": "", "WB-species-checked": "predicted", "WB-species-dilution-info": "", "WB-species-notes": "", "ICCIF-species-checked": "notRecommended", "ICCIF-species-dilution-info": "", "ICCIF-species-notes": "" } } }

Product details

Patented technology
Our RabMAb® technology is a patented hybridoma-based technology for making rabbit monoclonal antibodies. For details on our patents, please refer to RabMAb® patents.

What are the advantages of a recombinant monoclonal antibody?
This product is a recombinant monoclonal antibody, which offers several advantages including:

  • - High batch-to-batch consistency and reproducibility
  • - Improved sensitivity and specificity
  • - Long-term security of supply
  • - Animal-free batch production

For more information, read more on recombinant antibodies.

Properties and storage information

Form
Liquid
Purification technique
Affinity purification Protein A
Storage buffer
pH: 7.2 - 7.4 Preservative: 0.01% Sodium azide Constituents: PBS, 40% Glycerol (glycerin, glycerine), 0.05% BSA
Shipped at conditions
Blue Ice
Appropriate short-term storage duration
1-2 weeks
Appropriate short-term storage conditions
+4°C
Appropriate long-term storage conditions
-20°C
Aliquoting information
Upon delivery aliquot
Storage information
Avoid freeze / thaw cycle

Product protocols

For this product, it's our understanding that no specific protocols are required. You can visit:

Target data

Catalyzes the reversible isomerization of methylmalonyl-CoA (MMCoA) (generated from branched-chain amino acid metabolism and degradation of dietary odd chain fatty acids and cholesterol) to succinyl-CoA (3-carboxypropionyl-CoA), a key intermediate of the tricarboxylic acid cycle.
See full target information MMUT

Publications (13)

Recent publications for all applications. Explore the full list and refine your search

JCI insight 10: PubMed40923315

2025

Dissecting the effect of mitochondrial BCAT inhibition in methylmalonic acidemia.

Applications

Unspecified application

Species

Unspecified reactive species

Madeline G Hemmingsen,Guo-Fang Zhang,Yunhan Ma,Hannah Marchuk,Kalyani R Patel,Tong Chen,Xinning Li,Mark Chapman,Sabrina Collias,Dolores H Lopez-Terrada,James Beasley,Ashlee R Stiles,Randy J Chandler,Charles P Venditti,Sarah P Young,Mercedes Barzi,Beatrice Bissig-Choisat,Doug Krafte,Christopher B Newgard,Karl-Dimiter Bissig

The Journal of biological chemistry 300:107662 PubMed39128713

2024

Differential utilization of vitamin B-dependent and independent pathways for propionate metabolism across human cells.

Applications

Unspecified application

Species

Unspecified reactive species

Harsha Gouda,Yuanyuan Ji,Sneha Rath,David Watkins,David Rosenblatt,Vamsi Mootha,Jace W Jones,Ruma Banerjee

Nutrients 16: PubMed38613029

2024

Rescue of Methionine Dependence by Cobalamin in a Human Colorectal Cancer Cell Line.

Applications

Unspecified application

Species

Unspecified reactive species

Sarita Garg,Isabelle R Miousse

Heliyon 9:e15757 PubMed37159680

2023

Effect of hepatic NPC1L1 on cholesterol gallstone disease and its mechanism.

Applications

Unspecified application

Species

Unspecified reactive species

Pingfan Mo,Hongtan Chen,Xin Jiang,Fengling Hu,Fenming Zhang,Guodong Shan,Wenguo Chen,Sha Li,Guoqiang Xu

Proceedings of the National Academy of Sciences of the United States of America 119:e2203628119 PubMed36201541

2022

Succinyl-CoA-based energy metabolism dysfunction in chronic heart failure.

Applications

Unspecified application

Species

Unspecified reactive species

Shingo Takada,Satoshi Maekawa,Takaaki Furihata,Naoya Kakutani,Daiki Setoyama,Koji Ueda,Hideo Nambu,Hikaru Hagiwara,Haruka Handa,Yoshizuki Fumoto,Soichiro Hata,Tomoka Masunaga,Arata Fukushima,Takashi Yokota,Dongchon Kang,Shintaro Kinugawa,Hisataka Sabe

PloS one 17:e0274774 PubMed36126056

2022

Novel AAV-mediated genome editing therapy improves health and survival in a mouse model of methylmalonic acidemia.

Applications

Unspecified application

Species

Unspecified reactive species

Shengwen Zhang,Amy Bastille,Susana Gordo,Nikhil Ramesh,Jenisha Vora,Elizabeth McCarthy,Xiaohan Zhang,Dylan Frank,Chih-Wei Ko,Carmen Wu,Noel Walsh,Shreya Amarwani,Jing Liao,Qiang Xiong,Lauren Drouin,Matthias Hebben,Kyle Chiang,B Nelson Chau

Molecular therapy. Methods & clinical development 27:61-72 PubMed36186952

2022

Systemic gene therapy for methylmalonic acidemia using the novel adeno-associated viral vector 44.9.

Applications

Unspecified application

Species

Unspecified reactive species

Randy J Chandler,Giovanni Di Pasquale,Jennifer L Sloan,Samantha McCoy,Brandon T Hubbard,Tina M Kilts,Irini Manoli,John A Chiorini,Charles P Venditti

Molecular genetics and metabolism 137:1-8 PubMed35868241

2022

Growth advantage of corrected hepatocytes in a juvenile model of methylmalonic acidemia following liver directed adeno-associated viral mediated nuclease-free genome editing.

Applications

Unspecified application

Species

Unspecified reactive species

Leah E Venturoni,Randy J Chandler,Jing Liao,Victoria Hoffmann,Nikhil Ramesh,Susana Gordo,Nelson Chau,Charles P Venditti

Nature metabolism 4:435-443 PubMed35361954

2022

Altered propionate metabolism contributes to tumour progression and aggressiveness.

Applications

Unspecified application

Species

Unspecified reactive species

Ana P Gomes,Didem Ilter,Vivien Low,Stanislav Drapela,Tanya Schild,Edouard Mullarky,Julie Han,Ilaria Elia,Dorien Broekaert,Adam Rosenzweig,Michal Nagiec,Joana B Nunes,Bethany E Schaffer,Anders P Mutvei,John M Asara,Lewis C Cantley,Sarah-Maria Fendt,John Blenis

Molecular therapy. Methods & clinical development 23:619-632 PubMed34901307

2021

genome editing at the albumin locus to treat methylmalonic acidemia.

Applications

Unspecified application

Species

Unspecified reactive species

Jessica L Schneller,Ciaran M Lee,Leah E Venturoni,Randy J Chandler,Ang Li,Sangho Myung,Thomas J Cradick,Ayrea E Hurley,William R Lagor,Gang Bao,Charles P Venditti
View all publications

Product promise

We are committed to supporting your work with high-quality reagents, and we're here for you every step of the way. In the unlikely event that one of our products does not perform as expected, you're protected by our Product Promise.
For full details, please see our Terms & Conditions

Please note: All products are 'FOR RESEARCH USE ONLY. NOT FOR USE IN DIAGNOSTIC OR THERAPEUTIC PROCEDURES'.

For licensing inquiries, please contact partnerships@abcam.com