JavaScript is disabled in your browser. Please enable JavaScript to view this website.
AB180497

Anti-MetRS/MARS antibody [EPR9872]

Be the first to review this product! Submit a review

|

(3 Publications)

Rabbit Recombinant Monoclonal MetRS/MARS antibody. Suitable for IP, WB, ICC/IF, Flow Cyt (Intra), IHC-P and reacts with Human, Rat samples. Cited in 3 publications.

View Alternative Names

MARS, MARS1, Methionyl-tRNA synthetase, MetRS

11 Images
Flow Cytometry (Intracellular) - Anti-MetRS/MARS antibody [EPR9872] (AB180497)
  • Flow Cyt (Intra)

Unknown

Flow Cytometry (Intracellular) - Anti-MetRS/MARS antibody [EPR9872] (AB180497)

Intracellular Flow Cytometry analysis of HeLa (Human cervix adenocarcinoma epithelial cell) cells labeling MetRS/MARS with purified ab180497 at 1/20 dilution (10 μg/ml) (Red). Cells were fixed with 4% Paraformaldehyde and permeabilised with 90% Methanol. A Goat anti rabbit IgG (Alexa Fluor® 488, ab150077) secondary antibody was used at 1/2000. Isotype control - Rabbit monoclonal IgG (Black). Unlabeled control - Cell without incubation with primary antibody and secondary antibody (Blue).

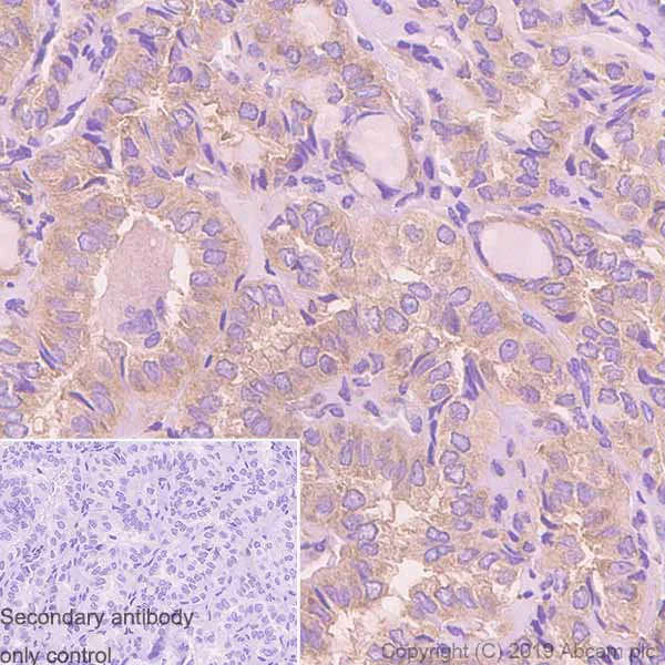
Immunohistochemistry (Formalin/PFA-fixed paraffin-embedded sections) - Anti-MetRS/MARS antibody [EPR9872] (AB180497)
  • IHC-P

Unknown

Immunohistochemistry (Formalin/PFA-fixed paraffin-embedded sections) - Anti-MetRS/MARS antibody [EPR9872] (AB180497)

Immunohistochemistry (Formalin/PFA-fixed paraffin-embedded sections) analysis of human thyroid carcinoma tissue sections labeling MetRS/MARS with purified ab180497 at 1/4000 dilution (0.06 μg/ml). Heat mediated antigen retrieval using BondTM Epitope Retrieval Solution 2 (pH 9.0). Rabbit specific IHC polymer detection kit HRP/DAB (ab209101) was used as the secondary antibody. Negative control : PBS instead of the primary antibody. Hematoxylin was used as a counterstain.

Immunocytochemistry/ Immunofluorescence - Anti-MetRS/MARS antibody [EPR9872] (AB180497)
  • ICC/IF

Supplier Data

Immunocytochemistry/ Immunofluorescence - Anti-MetRS/MARS antibody [EPR9872] (AB180497)

Immunofluorescent analysis of HeLa cells (acetone-fixed) labeling MARS with unpurified ab180497 at 1/250 dilution (green) followed by Goat anti rabbit IgG (Dylight 488) at 1/250 dilution and DAPI staining (blue).

Immunocytochemistry/ Immunofluorescence - Anti-MetRS/MARS antibody [EPR9872] (AB180497)
  • ICC/IF

Unknown

Immunocytochemistry/ Immunofluorescence - Anti-MetRS/MARS antibody [EPR9872] (AB180497)

Immunocytochemistry/ Immunofluorescence analysis of HeLa (Human cervix adenocarcinoma epithelial cell) cells labeling MetRS/MARS with purified ab180497 at 1/50 dilution (4.52 µg/ml). Cells were fixed in 4% Paraformaldehyde and permeabilized with 0.1% tritonX-100. Cells were counterstained with ab195889 Anti-alpha Tubulin antibody [DM1A] - Microtubule Marker (Alexa Fluor® 594) 1/200 (2.5 µg/ml). Goat anti rabbit IgG (Alexa Fluor® 488, ab150077) was used as the secondary antibody at 1/1000 (2 µg/ml) dilution. DAPI (blue) was used as nuclear counterstain. PBS instead of the primary antibody was used as the secondary antibody only control.

Immunohistochemistry (Formalin/PFA-fixed paraffin-embedded sections) - Anti-MetRS/MARS antibody [EPR9872] (AB180497)
  • IHC-P

Supplier Data

Immunohistochemistry (Formalin/PFA-fixed paraffin-embedded sections) - Anti-MetRS/MARS antibody [EPR9872] (AB180497)

Immunohistochemical analysis of paraffin-embedded Human brain tissue labeling MARS with unpurified ab180497 at 1/50 dilution followed by ImmunoHistoprobe (Ready to use) HRP Polymer for Rabbit IgG secondary and counter stained with Hematoxylin.

Perform heat mediated antigen retrieval with EDTA buffer pH 9 before commencing with IHC staining protocol.

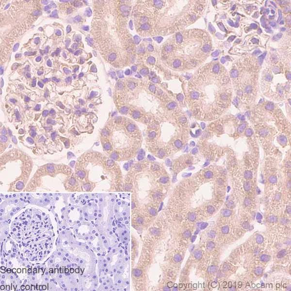
Immunohistochemistry (Formalin/PFA-fixed paraffin-embedded sections) - Anti-MetRS/MARS antibody [EPR9872] (AB180497)
  • IHC-P

Unknown

Immunohistochemistry (Formalin/PFA-fixed paraffin-embedded sections) - Anti-MetRS/MARS antibody [EPR9872] (AB180497)

Immunohistochemistry (Formalin/PFA-fixed paraffin-embedded sections) analysis of rat kidney tissue sections labeling MetRS/MARS with purified ab180497 at 1/4000 dilution (0.06 μg/ml). Heat mediated antigen retrieval using BondTM Epitope Retrieval Solution 2 (pH 9.0). Rabbit specific IHC polymer detection kit HRP/DAB (ab209101) was used as the secondary antibody. Negative control : PBS instead of the primary antibody. Hematoxylin was used as a counterstain.

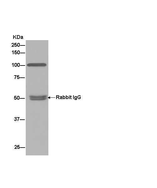
Western blot - Anti-MetRS/MARS antibody [EPR9872] (AB180497)
  • WB

Lab

Western blot - Anti-MetRS/MARS antibody [EPR9872] (AB180497)

All lanes:

Western blot - Anti-MetRS/MARS antibody [EPR9872] (ab180497) at 1/50000 dilution

Lane 1:

HeLa (Human cervix adenocarcinoma epithelial cell) whole cell lysates at 20 µg

Lane 2:

HepG2 (Human hepatocellular carcinoma epithelial cell) whole cell lysates at 20 µg

Secondary

All lanes:

Western blot - Goat Anti-Rabbit IgG H&L (HRP) (<a href='/en-us/products/secondary-antibodies/goat-rabbit-igg-h-l-hrp-ab97051'>ab97051</a>) at 1/20000 dilution

Predicted band size: 101 kDa

Observed band size: 101 kDa

false

Western blot - Anti-MetRS/MARS antibody [EPR9872] (AB180497)
  • WB

Lab

Western blot - Anti-MetRS/MARS antibody [EPR9872] (AB180497)

All lanes:

Western blot - Anti-MetRS/MARS antibody [EPR9872] (ab180497) at 1/10000 dilution

All lanes:

PC-12 (Rat adrenal gland pheochromocytoma) whole cell lysates at 15 µg

Secondary

All lanes:

Western blot - Goat Anti-Rabbit IgG H&L (HRP) (<a href='/en-us/products/secondary-antibodies/goat-rabbit-igg-h-l-hrp-ab97051'>ab97051</a>) at 1/20000 dilution

Predicted band size: 101 kDa

Observed band size: 101 kDa

false

Immunoprecipitation - Anti-MetRS/MARS antibody [EPR9872] (AB180497)
  • IP

Unknown

Immunoprecipitation - Anti-MetRS/MARS antibody [EPR9872] (AB180497)

ab180497 (purified ) at 1/20 dilution (1ug) immunoprecipitating MetRS/MARS in HepG2 whole cell lysate.
Lane 1 (input) : HepG2 (Human hepatocellular carcinoma epithelial cell) whole cell lysate 10ug
Lane 2 (+) : ab180497 & HepG2 whole cell lysate
Lane 3 (-) : Rabbit monoclonal IgG (ab172730) instead of ab180497 in HepG2 whole cell lysate
For western blotting, VeriBlot for IP Detection Reagent (HRP) (ab131366) was used at 1/1000 dilution.
Blocking and diluting buffer : 5% NFDM/TBST.

All lanes:

Immunoprecipitation - Anti-MetRS/MARS antibody [EPR9872] (ab180497)

Predicted band size: 101 kDa

false

Immunoprecipitation - Anti-MetRS/MARS antibody [EPR9872] (AB180497)
  • IP

Supplier Data

Immunoprecipitation - Anti-MetRS/MARS antibody [EPR9872] (AB180497)

Western blot analysis of immunoprecipitation pellet from HepG2 lysate immunoprecipitated using unpurified ab180497 at 1/40 dilution. Secondary : Goat Anti-Rabbit IgG, (H+L), Peroxidase conjugated at 1/1000 dilution.

All lanes:

Immunoprecipitation - Anti-MetRS/MARS antibody [EPR9872] (ab180497)

Predicted band size: 101 kDa

false

Western blot - Anti-MetRS/MARS antibody [EPR9872] (AB180497)
  • WB

Supplier Data

Western blot - Anti-MetRS/MARS antibody [EPR9872] (AB180497)

All lanes:

Western blot - Anti-MetRS/MARS antibody [EPR9872] (ab180497) at 1/10000 dilution

Lane 1:

HepG2 lysate at 20 µg

Lane 2:

HeLa lysate at 20 µg

Lane 3:

SW480 lysate at 20 µg

Lane 4:

Caco2 lysate at 20 µg

Secondary

All lanes:

Goat Anti-Rabbit IgG, (H+L), Peroxidase conjugated at 1/1000 dilution

Predicted band size: 101 kDa

false

Key facts

Host species

Rabbit

Clonality

Monoclonal

Clone number

EPR9872

Isotype

IgG

Carrier free

No

Reacts with

Rat, Human

Applications

IP, IHC-P, WB, ICC/IF, Flow Cyt (Intra)

applications

Immunogen

The exact immunogen used to generate this antibody is proprietary information.

Reactivity data

{ "title": "Reactivity Data", "filters": { "stats": ["", "Species", "Dilution Info", "Notes"], "tabs": { "all-applications": {"fullname" : "All Applications", "shortname": "All Applications"}, "IP" : {"fullname" : "Immunoprecipitation", "shortname":"IP"}, "WB" : {"fullname" : "Western blot", "shortname":"WB"}, "ICCIF" : {"fullname" : "Immunocytochemistry/ Immunofluorescence", "shortname":"ICC/IF"}, "FlowCytIntra" : {"fullname" : "Flow Cytometry (Intracellular)", "shortname":"Flow Cyt (Intra)"}, "IHCP" : {"fullname" : "Immunohistochemistry (Formalin/PFA-fixed paraffin-embedded sections)", "shortname":"IHC-P"} }, "product-promise": { "all": "all", "testedAndGuaranteed": "tested", "guaranteed": "expected", "predicted": "predicted", "notRecommended": "not-recommended" } }, "values": { "Human": { "IP-species-checked": "testedAndGuaranteed", "IP-species-dilution-info": "1/20 - 1/40", "IP-species-notes": "<p></p>", "WB-species-checked": "testedAndGuaranteed", "WB-species-dilution-info": "1/10000 - 1/50000", "WB-species-notes": "<p></p>", "ICCIF-species-checked": "testedAndGuaranteed", "ICCIF-species-dilution-info": "1/50 - 1/250", "ICCIF-species-notes": "<p></p>", "FlowCytIntra-species-checked": "testedAndGuaranteed", "FlowCytIntra-species-dilution-info": "1/20", "FlowCytIntra-species-notes": "<p></p>", "IHCP-species-checked": "testedAndGuaranteed", "IHCP-species-dilution-info": "1/4000", "IHCP-species-notes": "<p>For unpurified use at 1/50</p>" }, "Rat": { "IP-species-checked": "guaranteed", "IP-species-dilution-info": "", "IP-species-notes": "", "WB-species-checked": "testedAndGuaranteed", "WB-species-dilution-info": "1/10000 - 1/50000", "WB-species-notes": "<p></p>", "ICCIF-species-checked": "guaranteed", "ICCIF-species-dilution-info": "", "ICCIF-species-notes": "", "FlowCytIntra-species-checked": "guaranteed", "FlowCytIntra-species-dilution-info": "", "FlowCytIntra-species-notes": "", "IHCP-species-checked": "testedAndGuaranteed", "IHCP-species-dilution-info": "1/4000", "IHCP-species-notes": "<p>For unpurified use at 1/50</p>" } } }

Product details

Patented technology
Our RabMAb® technology is a patented hybridoma-based technology for making rabbit monoclonal antibodies. For details on our patents, please refer to RabMAb® patents.

What are the advantages of a recombinant monoclonal antibody?
This product is a recombinant monoclonal antibody, which offers several advantages including:

  • - High batch-to-batch consistency and reproducibility
  • - Improved sensitivity and specificity
  • - Long-term security of supply
  • - Animal-free batch production

For more information, read more on recombinant antibodies.

Properties and storage information

Form
Liquid
Purification technique
Affinity purification Protein A
Storage buffer
Preservative: 0.01% Sodium azide Constituents: PBS, 40% Glycerol (glycerin, glycerine), 0.05% BSA
Shipped at conditions
Blue Ice
Appropriate short-term storage duration
1-2 weeks
Appropriate short-term storage conditions
+4°C
Appropriate long-term storage conditions
-20°C
Aliquoting information
Upon delivery aliquot
Storage information
Avoid freeze / thaw cycle

Product protocols

For this product, it's our understanding that no specific protocols are required. You can visit:

Target data

Catalyzes the specific attachment of an amino acid to its cognate tRNA in a 2 step reaction : the amino acid (AA) is first activated by ATP to form AA-AMP and then transferred to the acceptor end of the tRNA (PubMed : 11714285). Plays a role in the synthesis of ribosomal RNA in the nucleolus (PubMed : 10791971).
See full target information MARS1

Publications (3)

Recent publications for all applications. Explore the full list and refine your search

Molecular neurobiology 61:7369-7383 PubMed38386135

2024

High Homocysteine-Thiolactone Leads to Reduced MENIN Protein Expression and an Impaired DNA Damage Response: Implications for Neural Tube Defects.

Applications

Unspecified application

Species

Unspecified reactive species

Baoling Bai,Chunlei Wan,Zonghui Xiao,Dan Li,Lingyun Liu,Kexin Zhang,Ting Zhang,Qin Zhang

The Journal of biological chemistry 294:4775-4783 PubMed30733335

2019

Retractile lysyl-tRNA synthetase-AIMP2 assembly in the human multi-aminoacyl-tRNA synthetase complex.

Applications

Unspecified application

Species

Unspecified reactive species

Zhoufei Hei,Siqi Wu,Zaizhou Liu,Jing Wang,Pengfei Fang

World journal of gastroenterology 24:4208-4216 PubMed30271085

2018

Novel methionyl-tRNA synthetase gene variants/phenotypes in interstitial lung and liver disease: A case report and review of literature.

Applications

Unspecified application

Species

Unspecified reactive species

Kuerbanjiang Abuduxikuer,Jia-Yan Feng,Yi Lu,Xin-Bao Xie,Lian Chen,Jian-She Wang
View all publications

Product promise

We are committed to supporting your work with high-quality reagents, and we're here for you every step of the way. In the unlikely event that one of our products does not perform as expected, you're protected by our Product Promise.
For full details, please see our Terms & Conditions

Please note: All products are 'FOR RESEARCH USE ONLY. NOT FOR USE IN DIAGNOSTIC OR THERAPEUTIC PROCEDURES'.

For licensing inquiries, please contact partnerships@abcam.com