JavaScript is disabled in your browser. Please enable JavaScript to view this website.
AB280958

Anti-METTL1 antibody [EPR24320-27] - BSA and Azide free

Be the first to review this product! Submit a review

|

(0 Publication)

Rabbit Recombinant Monoclonal METTL1 antibody. Carrier free. Suitable for ICC/IF, Flow Cyt (Intra), WB, IHC-P and reacts with Human, Rat, Mouse samples.

View Alternative Names

C12orf1, tRNA (guanine-N(7)-)-methyltransferase, Methyltransferase-like protein 1, mRNA (guanine-N(7)-)-methyltransferase, miRNA (guanine-N(7)-)-methyltransferase, tRNA (guanine(46)-N(7))-methyltransferase, tRNA(m7G46)-methyltransferase

10 Images
Immunocytochemistry/ Immunofluorescence - Anti-METTL1 antibody [EPR24320-27] - BSA and Azide free (AB280958)
  • ICC/IF

Supplier Data

Immunocytochemistry/ Immunofluorescence - Anti-METTL1 antibody [EPR24320-27] - BSA and Azide free (AB280958)

This data was developed using ab271063, the same antibody clone in a different buffer formulation.

Immunofluorescent analysis of 4% paraformaldehyde-fixed, 0.1% TritonX-100 permeabilized HepG2 (Human liver hepatocellular carcinoma cell line) cells labelling METTL1 with ab271063 at 1/50 dilution (9.68 ug/ml), followed by ab150077 Goat Anti-Rabbit IgG H&L (Alexa Fluor® 488) antibody at 1/1000 dilution (Green). Confocal image showing mainly nuclear staining in HepG2 cells is observed. ab195889 Anti-alpha Tubulin mouse monoclonal antibody - Microtubule Marker (Alexa Fluor® 594) was used to counterstain tubulin at 1/200 dilution (Red). The Nuclear counterstain was DAPI (Blue).

Secondary antibody only control : Secondary antibody is ab150077 Goat Anti-Rabbit IgG H&L (Alexa Fluor® 488) at 1/1000 dilution.

Immunohistochemistry (Formalin/PFA-fixed paraffin-embedded sections) - Anti-METTL1 antibody [EPR24320-27] - BSA and Azide free (AB280958)
  • IHC-P

Supplier Data

Immunohistochemistry (Formalin/PFA-fixed paraffin-embedded sections) - Anti-METTL1 antibody [EPR24320-27] - BSA and Azide free (AB280958)

This data was developed using ab271063, the same antibody clone in a different buffer formulation.

Immunohistochemical analysis of paraffin-embedded Human pancreas tissue labelling METTL1 with ab271063 at 1/5000 dilution (0.097 ug/ml) followed by a ready to use LeicaDS9800 (Bond™ Polymer Refine Detection) was used. Nuclear staining on human pancreas. The section was incubated with ab271063 for 30 mins at room temperature. The immunostaining was performed on a Leica Biosystems BOND® RX instrument. Counterstained with Hematoxylin.

Secondary antibody only control : Secondary antibody is a ready to use LeicaDS9800 (Bond™ Polymer Refine Detection) was used.

Heat mediated antigen retrieval with Tris-EDTA buffer (pH 9.0, epitope retrieval solution2) for 20 mins

Immunocytochemistry/ Immunofluorescence - Anti-METTL1 antibody [EPR24320-27] - BSA and Azide free (AB280958)
  • ICC/IF

Supplier Data

Immunocytochemistry/ Immunofluorescence - Anti-METTL1 antibody [EPR24320-27] - BSA and Azide free (AB280958)

This data was developed using ab271063, the same antibody clone in a different buffer formulation.

Immunofluorescent analysis of 4% paraformaldehyde-fixed, 0.1% TritonX-100 permeabilized HeLa (Human epithelial cell line from cervix adenocarcinoma) cells labelling METTL1 with ab271063 at 1/50 dilution (9.68 ug/ml), followed by ab150077 Goat Anti-Rabbit IgG H&L (Alexa Fluor® 488) antibody at 1/1000 dilution (Green). Confocal image showing mainly nuclear staining in HeLa cells is observed. ab195889 Anti-alpha Tubulin mouse monoclonal antibody - Microtubule Marker (Alexa Fluor® 594) was used to counterstain tubulin at 1/200 dilution (Red). The Nuclear counterstain was DAPI (Blue).

Secondary antibody only control : Secondary antibody is ab150077 Goat Anti-Rabbit IgG H&L (Alexa Fluor® 488) at 1/1000 dilution.

Flow Cytometry (Intracellular) - Anti-METTL1 antibody [EPR24320-27] - BSA and Azide free (AB280958)
  • Flow Cyt (Intra)

Supplier Data

Flow Cytometry (Intracellular) - Anti-METTL1 antibody [EPR24320-27] - BSA and Azide free (AB280958)

This data was developed using ab271063, the same antibody clone in a different buffer formulation.

Flow cytometric analysis of 4% paraformaldehyde fixed 90% methanol permeabilized HeLa (Human cervix adenocarcinoma epithelial cell) cells labelling METTL1 with ab271063 at 1/500 dilution (0.1ug) (Red) compared with a Rabbit monoclonal IgG (ab172730) (Black) isotype control and an unlabelled control (cells without incubation with primary antibody and secondary antibody) (Blue). A Goat anti rabbit IgG (Alexa Fluor® 488, ab150077) at 1/2000 dilution was used as the secondary antibody.

Flow Cytometry (Intracellular) - Anti-METTL1 antibody [EPR24320-27] - BSA and Azide free (AB280958)
  • Flow Cyt (Intra)

Supplier Data

Flow Cytometry (Intracellular) - Anti-METTL1 antibody [EPR24320-27] - BSA and Azide free (AB280958)

This data was developed using ab271063, the same antibody clone in a different buffer formulation.

Flow cytometric analysis of 4% paraformaldehyde fixed 90% methanol permeabilized RAW 264.7 (Mouse Abelson murine leukemia virus-induced tumor macrophage) cells labelling METTL1 with ab271063 at 1/500 dilution (0.1ug) (Red) compared with a Rabbit monoclonal IgG (ab172730) (Black) isotype control and an unlabelled control (cells without incubation with primary antibody and secondary antibody) (Blue). A Goat anti rabbit IgG (Alexa Fluor® 488, ab150077) at 1/2000 dilution was used as the secondary antibody.

Immunohistochemistry (Formalin/PFA-fixed paraffin-embedded sections) - Anti-METTL1 antibody [EPR24320-27] - BSA and Azide free (AB280958)
  • IHC-P

Supplier Data

Immunohistochemistry (Formalin/PFA-fixed paraffin-embedded sections) - Anti-METTL1 antibody [EPR24320-27] - BSA and Azide free (AB280958)

This data was developed using ab271063, the same antibody clone in a different buffer formulation.

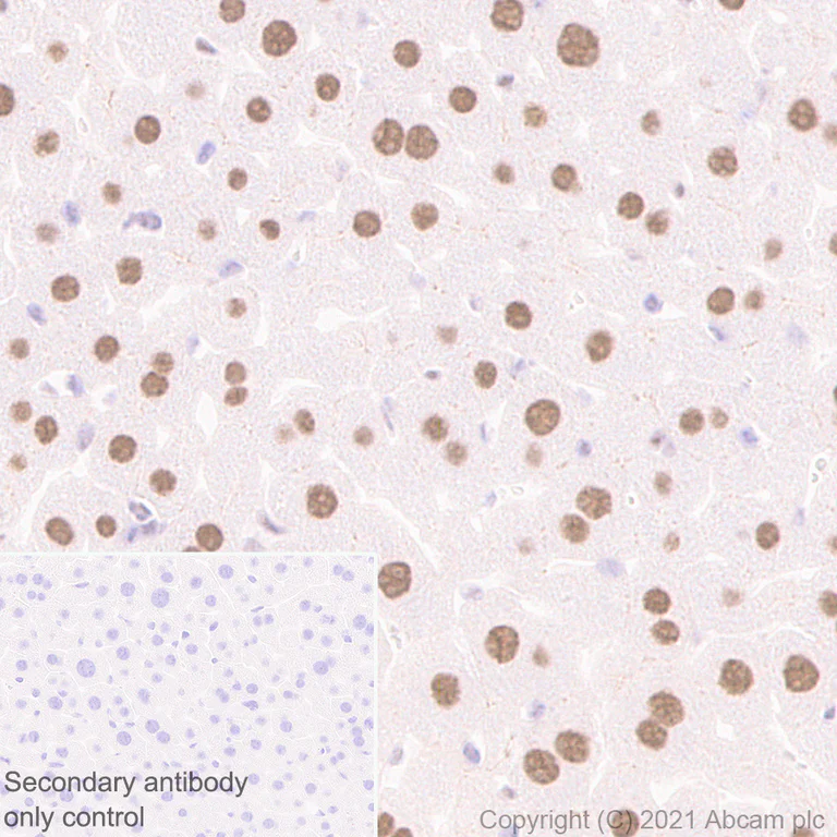
Immunohistochemical analysis of paraffin-embedded Mouse liver tissue labelling METTL1 with ab271063 at 1/5000 dilution (0.097 ug/ml) followed by a ready to use LeicaDS9800 (Bond™ Polymer Refine Detection) was used. Nuclear staining on mouse liver. The section was incubated with ab271063 for 30 mins at room temperature. The immunostaining was performed on a Leica Biosystems BOND® RX instrument. Counterstained with Hematoxylin.

Secondary antibody only control : Secondary antibody is a ready to use LeicaDS9800 (Bond™ Polymer Refine Detection) was used.

Heat mediated antigen retrieval with Tris-EDTA buffer (pH 9.0, epitope retrieval solution2) for 20 mins

Immunohistochemistry (Formalin/PFA-fixed paraffin-embedded sections) - Anti-METTL1 antibody [EPR24320-27] - BSA and Azide free (AB280958)
  • IHC-P

Supplier Data

Immunohistochemistry (Formalin/PFA-fixed paraffin-embedded sections) - Anti-METTL1 antibody [EPR24320-27] - BSA and Azide free (AB280958)

This data was developed using ab271063, the same antibody clone in a different buffer formulation.

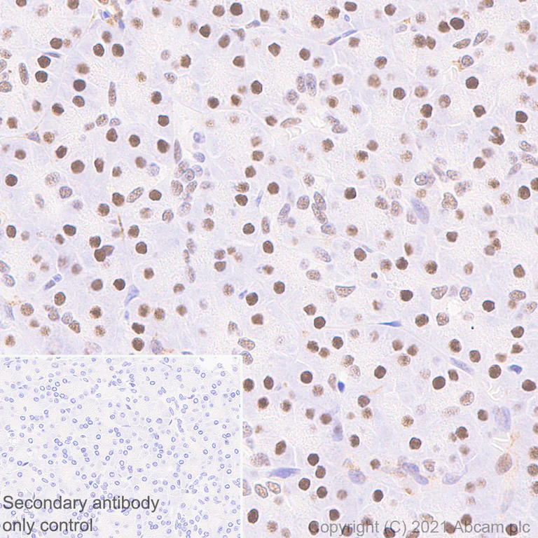
Immunohistochemical analysis of paraffin-embedded Rat cerebrum tissue labelling METTL1 with ab271063 at 1/5000 dilution (0.097 ug/ml) followed by a ready to use LeicaDS9800 (Bond™ Polymer Refine Detection) was used. Nuclear staining on rat cerebrum. The section was incubated with ab271063 for 30 mins at room temperature. The immunostaining was performed on a Leica Biosystems BOND® RX instrument. Counterstained with Hematoxylin.

Secondary antibody only control : Secondary antibody is a ready to use LeicaDS9800 (Bond™ Polymer Refine Detection) was used.

Heat mediated antigen retrieval with Tris-EDTA buffer (pH 9.0, epitope retrieval solution2) for 20 mins

Western blot - Anti-METTL1 antibody [EPR24320-27] - BSA and Azide free (AB280958)
  • WB

Lab

Western blot - Anti-METTL1 antibody [EPR24320-27] - BSA and Azide free (AB280958)

This data was developed using ab271063, the same antibody clone in a different buffer formulation.

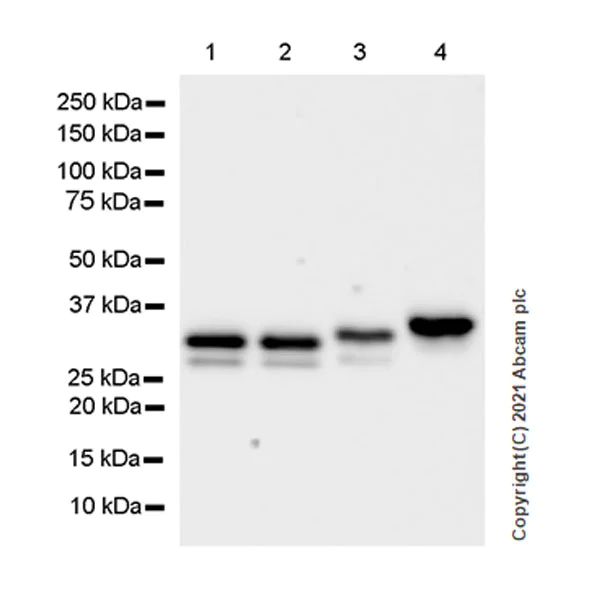
Blocking and diluting buffer and concentration : 5% NFDM/TBST

The observed MW is consistent with what has been described in the literature (PMID : 29983320, PMID : 31520064).

Exposure time : 26 seconds

All lanes:

Western blot - Anti-METTL1 antibody [EPR24320-27] (<a href='/en-us/products/primary-antibodies/mettl1-antibody-epr24320-27-ab271063'>ab271063</a>) at 1/1000 dilution

Lane 1:

HeLa (human cervix adenocarcinoma epithelial cell) whole cell lysate at 20 µg

Lane 2:

293T (human embryonic kidney epithelial cell) whole cell lysate at 20 µg

Lane 3:

NIH/3T3 (mouse embryonic fibroblast) whole cell lysate at 20 µg

Lane 4:

PC-12 (rat adrenal gland pheochromocytoma) whole cell lysate at 20 µg

Secondary

All lanes:

Western blot - Goat Anti-Rabbit IgG H&L (HRP) (<a href='/en-us/products/secondary-antibodies/goat-rabbit-igg-h-l-hrp-ab97051'>ab97051</a>) at 1/100000 dilution

Predicted band size: 31 kDa

Observed band size: 28 kDa,31 kDa

false

Western blot - Anti-METTL1 antibody [EPR24320-27] - BSA and Azide free (AB280958)
  • WB

Lab

Western blot - Anti-METTL1 antibody [EPR24320-27] - BSA and Azide free (AB280958)

This data was developed using ab271063, the same antibody clone in a different buffer formulation.

Blocking and diluting buffer and concentration : 5% NFDM/TBST

The observed MW is consistent with what has been described in the literature (PMID : 29983320, PMID : 31520064).

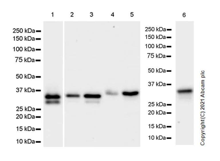
Exposure time : Lane 1 : 15 seconds; Lanes 2-5 : 26 seconds; Lane 6 : 15 seconds.

All lanes:

Western blot - Anti-METTL1 antibody [EPR24320-27] (<a href='/en-us/products/primary-antibodies/mettl1-antibody-epr24320-27-ab271063'>ab271063</a>) at 1/1000 dilution

Lane 1:

HepG2 (human hepatocellar carcinoma epithelial cell) whole cell lysate at 20 µg

Lane 2:

Mouse brain tissue lysate at 20 µg

Lane 3:

Mouse testis tissue lysate at 20 µg

Lane 4:

Rat brain tissue lysate at 20 µg

Lane 5:

Rat testis tissue lysate at 20 µg

Lane 6:

RAW 264.7 (mouse abelson murine leukemia virus-induced tumor macrophage) whole cell lysate at 20 µg

Secondary

All lanes:

Western blot - Goat Anti-Rabbit IgG H&L (HRP) (<a href='/en-us/products/secondary-antibodies/goat-rabbit-igg-h-l-hrp-ab97051'>ab97051</a>) at 1/100000 dilution

Predicted band size: 31 kDa

Observed band size: 28 kDa,31 kDa

false

Western blot - Anti-METTL1 antibody [EPR24320-27] - BSA and Azide free (AB280958)
  • WB

Lab

Western blot - Anti-METTL1 antibody [EPR24320-27] - BSA and Azide free (AB280958)

This data was developed using ab271063, the same antibody clone in a different buffer formulation.

Blocking and diluting buffer and concentration : 5% NFDM/TBST

The observed MW is consistent with what has been described in the literature (PMID : 29983320, PMID : 31520064).

Exposure time : 81 seconds

All lanes:

Western blot - Anti-METTL1 antibody [EPR24320-27] (<a href='/en-us/products/primary-antibodies/mettl1-antibody-epr24320-27-ab271063'>ab271063</a>) at 1/1000 dilution

Lane 1:

Human kidney tissue lysate at 20 µg

Lane 2:

Human pancreas tissue lysate at 20 µg

Secondary

All lanes:

Western blot - VeriBlot for IP Detection Reagent (HRP) (<a href='/en-us/products/reagents/veriblot-for-ip-detection-reagent-hrp-ab131366'>ab131366</a>) at 1/2000 dilution

Predicted band size: 31 kDa

Observed band size: 28 kDa,31 kDa

false

Key facts

Host species

Rabbit

Clonality

Monoclonal

Clone number

EPR24320-27

Isotype

IgG

Carrier free

Yes

Reacts with

Mouse, Rat, Human

Applications

Flow Cyt (Intra), ICC/IF, IHC-P, WB

applications

Immunogen

The exact immunogen used to generate this antibody is proprietary information.

Reactivity data

{ "title": "Reactivity Data", "filters": { "stats": ["", "Species", "Dilution Info", "Notes"], "tabs": { "all-applications": {"fullname" : "All Applications", "shortname": "All Applications"}, "ICCIF" : {"fullname" : "Immunocytochemistry/ Immunofluorescence", "shortname":"ICC/IF"}, "IP" : {"fullname" : "Immunoprecipitation", "shortname":"IP"}, "FlowCytIntra" : {"fullname" : "Flow Cytometry (Intracellular)", "shortname":"Flow Cyt (Intra)"}, "WB" : {"fullname" : "Western blot", "shortname":"WB"}, "IHCP" : {"fullname" : "Immunohistochemistry (Formalin/PFA-fixed paraffin-embedded sections)", "shortname":"IHC-P"} }, "product-promise": { "all": "all", "testedAndGuaranteed": "tested", "guaranteed": "expected", "predicted": "predicted", "notRecommended": "not-recommended" } }, "values": { "Human": { "ICCIF-species-checked": "testedAndGuaranteed", "ICCIF-species-dilution-info": "", "ICCIF-species-notes": "<p></p>", "IP-species-checked": "notRecommended", "IP-species-dilution-info": "", "IP-species-notes": "<p></p>", "FlowCytIntra-species-checked": "testedAndGuaranteed", "FlowCytIntra-species-dilution-info": "", "FlowCytIntra-species-notes": "<p></p>", "WB-species-checked": "testedAndGuaranteed", "WB-species-dilution-info": "", "WB-species-notes": "<p></p>", "IHCP-species-checked": "testedAndGuaranteed", "IHCP-species-dilution-info": "", "IHCP-species-notes": "<p></p> Perform heat-mediated antigen retrieval with Tris/EDTA buffer pH 9.0 before commencing with IHC staining protocol." }, "Mouse": { "ICCIF-species-checked": "notRecommended", "ICCIF-species-dilution-info": "", "ICCIF-species-notes": "<p></p>", "IP-species-checked": "notRecommended", "IP-species-dilution-info": "", "IP-species-notes": "<p></p>", "FlowCytIntra-species-checked": "testedAndGuaranteed", "FlowCytIntra-species-dilution-info": "", "FlowCytIntra-species-notes": "<p></p>", "WB-species-checked": "testedAndGuaranteed", "WB-species-dilution-info": "", "WB-species-notes": "<p></p>", "IHCP-species-checked": "testedAndGuaranteed", "IHCP-species-dilution-info": "", "IHCP-species-notes": "<p></p> Perform heat-mediated antigen retrieval with Tris/EDTA buffer pH 9.0 before commencing with IHC staining protocol." }, "Rat": { "ICCIF-species-checked": "guaranteed", "ICCIF-species-dilution-info": "", "ICCIF-species-notes": "", "IP-species-checked": "notRecommended", "IP-species-dilution-info": "", "IP-species-notes": "", "FlowCytIntra-species-checked": "guaranteed", "FlowCytIntra-species-dilution-info": "", "FlowCytIntra-species-notes": "", "WB-species-checked": "testedAndGuaranteed", "WB-species-dilution-info": "", "WB-species-notes": "<p></p>", "IHCP-species-checked": "testedAndGuaranteed", "IHCP-species-dilution-info": "", "IHCP-species-notes": "<p></p> Perform heat-mediated antigen retrieval with Tris/EDTA buffer pH 9.0 before commencing with IHC staining protocol." } } }

Product details

ab280958 is the carrier-free version of ab271063.

Patented technology
Our RabMAb® technology is a patented hybridoma-based technology for making rabbit monoclonal antibodies. For details on our patents, please refer to RabMAb® patents.

What are the advantages of a recombinant monoclonal antibody?
This product is a recombinant monoclonal antibody, which offers several advantages including:

  • - High batch-to-batch consistency and reproducibility
  • - Improved sensitivity and specificity
  • - Long-term security of supply
  • - Animal-free batch production

For more information, read more on recombinant antibodies.

Conjugation ready
Our carrier-free antibodies are typically supplied in a PBS-only formulation, purified and free of BSA, sodium azide and glycerol. This conjugation-ready format is designed for use with fluorochromes, metal isotopes, oligonucleotides, and enzymes, which makes them ideal for antibody labelling, functional and cell-based assays, flow-based assays (e.g. mass cytometry) and Multiplex Imaging applications.

Use our conjugation kits for antibody conjugates that are ready-to-use in as little as 20 minutes with 1 minute hands-on-time and 100% antibody recovery: available for fluorescent dyes, HRP, biotin and gold.

Compatibility
This product is compatible with the Maxpar® Antibody Labeling Kit from Fluidigm, without the need for antibody preparation. Maxpar® is a trademark of Fluidigm Canada Inc.

Properties and storage information

Form
Liquid
Purification technique
Affinity purification Protein A
Storage buffer
Constituents: PBS
Shipped at conditions
Blue Ice
Appropriate short-term storage conditions
+4°C
Appropriate long-term storage conditions
+4°C

Supplementary information

This supplementary information is collated from multiple sources and compiled automatically.

METTL1 also known as Methyltransferase-Like 1 is an enzyme responsible for catalyzing the methylation of specific substrates. This protein has a molecular mass of approximately 50 kDa. METTL1 is expressed across various tissues but shows higher expression levels in the brain and testes. Its enzymatic activity involves transferring a methyl group through its interaction with S-adenosylmethionine (SAM) to form N7-methylguanosine (m7G) on tRNA molecules which is essential for regulating their stability and function.
Biological function summary

METTL1 is important in modulating the processes of cellular growth and differentiation. METTL1 forms a complex with WDR4 which assists its function in tRNA modification. This complex is necessary for the precise modification of tRNA ensuring accurate protein synthesis and cellular homeostasis. Investigations reveal METTL1's role in cellular processes such as proliferation and stem cell maintenance highlighting its functional importance in cell cycle control and organismal development.

Pathways

METTL1 integrates into significant molecular pathways like mRNA translation and tRNA processing. METTL1 associates with proteins like SAM and FTO within these pathways. The enzyme influences the mTOR signaling pathway which plays a major role in regulating cellular growth and metabolism. Through its methyltransferase activity METTL1 impacts the proper functioning of ribosomes and protein synthesis linking it to the translational control of gene expression.

Research links METTL1 to various cancers including glioblastoma and lung cancer. Aberrant METTL1 expression or activity correlates with tumor progression and malignancy due to its role in altered protein synthesis. METTL1 dysregulation also relates to intellectual disabilities highlighting its importance in brain function. In the context of cancer proteins like mTOR and MYC have been connected to METTL1 by affecting pathways which influence tumor cell survival and proliferation.

Product protocols

For this product, it's our understanding that no specific protocols are required. You can visit:

Target data

Catalytic component of METTL1-WDR4 methyltransferase complex that mediates the formation of N(7)-methylguanine in a subset of RNA species, such as tRNAs, mRNAs and microRNAs (miRNAs) (PubMed : 12403464, PubMed : 31031083, PubMed : 31031084, PubMed : 36599982, PubMed : 36599985, PubMed : 37369656, PubMed : 37379838). Catalyzes the formation of N(7)-methylguanine at position 46 (m7G46) in a large subset of tRNAs that contain the 5'-RAGGU-3' motif within the variable loop (PubMed : 12403464, PubMed : 34352206, PubMed : 34352207, PubMed : 36599982, PubMed : 36599985, PubMed : 37369656). M7G46 interacts with C13-G22 in the D-loop to stabilize tRNA tertiary structure and protect tRNAs from decay (PubMed : 36599982, PubMed : 36599985). Also acts as a methyltransferase for a subset of internal N(7)-methylguanine in mRNAs (PubMed : 31031084, PubMed : 37379838). Internal N(7)-methylguanine methylation of mRNAs in response to stress promotes their relocalization to stress granules, thereby suppressing their translation (PubMed : 31031084, PubMed : 37379838). Also methylates a specific subset of miRNAs, such as let-7 (PubMed : 31031083). N(7)-methylguanine methylation of let-7 miRNA promotes let-7 miRNA processing by disrupting an inhibitory secondary structure within the primary miRNA transcript (pri-miRNA) (PubMed : 31031083). Acts as a regulator of embryonic stem cell self-renewal and differentiation (By similarity).
See full target information METTL1

Product promise

We are committed to supporting your work with high-quality reagents, and we're here for you every step of the way. In the unlikely event that one of our products does not perform as expected, you're protected by our Product Promise.
For full details, please see our Terms & Conditions

Please note: All products are 'FOR RESEARCH USE ONLY. NOT FOR USE IN DIAGNOSTIC OR THERAPEUTIC PROCEDURES'.

For licensing inquiries, please contact partnerships@abcam.com