JavaScript is disabled in your browser. Please enable JavaScript to view this website.
AB220031

Anti-METTL14 antibody [CL4254]

Be the first to review this product! Submit a review

|

(9 Publications)

Mouse Monoclonal METTL14 antibody. Suitable for IHC-P, WB, ICC/IF and reacts with Human samples. Cited in 9 publications. Immunogen corresponding to Recombinant Fragment Protein within Human METTL14 aa 1-100.

View Alternative Names

KIAA1627, METTL14, N(6)-adenosine-methyltransferase non-catalytic subunit METTL14, Methyltransferase-like protein 14, hMETTL14

7 Images
Immunohistochemistry (Formalin/PFA-fixed paraffin-embedded sections) - Anti-METTL14 antibody [CL4254] (AB220031)
  • IHC-P

Supplier Data

Immunohistochemistry (Formalin/PFA-fixed paraffin-embedded sections) - Anti-METTL14 antibody [CL4254] (AB220031)

Immunohistochemical analysis of formalin-fixed and paraffin-embedded Human duodenum tissue labeling METTL14 with ab220031 at 1/500 dilution showing nuclear immunoreactivity in glandular cells and in the connective tissue.

Immunohistochemistry (Formalin/PFA-fixed paraffin-embedded sections) - Anti-METTL14 antibody [CL4254] (AB220031)
  • IHC-P

Supplier Data

Immunohistochemistry (Formalin/PFA-fixed paraffin-embedded sections) - Anti-METTL14 antibody [CL4254] (AB220031)

Immunohistochemical analysis of formalin-fixed and paraffin-embedded Human fallopian tube tissue labeling METTL14 with ab220031 at 1/500 dilution showing nuclear immunoreactivity in glandular cells.

Immunohistochemistry (Formalin/PFA-fixed paraffin-embedded sections) - Anti-METTL14 antibody [CL4254] (AB220031)
  • IHC-P

Supplier Data

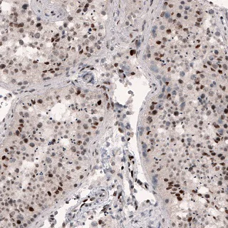
Immunohistochemistry (Formalin/PFA-fixed paraffin-embedded sections) - Anti-METTL14 antibody [CL4254] (AB220031)

Immunohistochemical analysis of formalin-fixed and paraffin-embedded Human prostate tissue labeling METTL14 with ab220031 at 1/500 dilution showing nuclear immunoreactivity in glandular cells and in smooth muscle cells.

Western blot - Anti-METTL14 antibody [CL4254] (AB220031)
  • WB

Supplier Data

Western blot - Anti-METTL14 antibody [CL4254] (AB220031)

All lanes:

Western blot - Anti-METTL14 antibody [CL4254] (ab220031) at 1/500 dilution

All lanes:

A431 cell line lysate

Predicted band size: 52 kDa

false

Immunohistochemistry (Formalin/PFA-fixed paraffin-embedded sections) - Anti-METTL14 antibody [CL4254] (AB220031)
  • IHC-P

Supplier Data

Immunohistochemistry (Formalin/PFA-fixed paraffin-embedded sections) - Anti-METTL14 antibody [CL4254] (AB220031)

Immunohistochemical analysis of formalin-fixed and paraffin-embedded Human endometrium tissue labeling METTL14 with ab220031 at 1/500 dilution showing nuclear immunoreactivity in glandular cells and in stroma.

Immunohistochemistry (Formalin/PFA-fixed paraffin-embedded sections) - Anti-METTL14 antibody [CL4254] (AB220031)
  • IHC-P

Supplier Data

Immunohistochemistry (Formalin/PFA-fixed paraffin-embedded sections) - Anti-METTL14 antibody [CL4254] (AB220031)

Immunohistochemical analysis of formalin-fixed and paraffin-embedded Human testis tissue labeling METTL14 with ab220031 at 1/500 dilution showing nuclear immunoreactivity in cells in seminiferous tubules.

Immunocytochemistry/ Immunofluorescence - Anti-METTL14 antibody [CL4254] (AB220031)
  • ICC/IF

Supplier Data

Immunocytochemistry/ Immunofluorescence - Anti-METTL14 antibody [CL4254] (AB220031)

Immunocytochemistry/ Immunofluorescence anaysis of RH-30 cells labeling METTL14 with ab220031 at 2-10 μg/mL. Cells were fixed with PFA and permeabilised with Triton X-100. The data is showing specific staining in the nucleoplasm in green. Microtubule- and nuclear probes are visualized in red and blue, respectively (where available).

Key facts

Host species

Mouse

Clonality

Monoclonal

Clone number

CL4254

Isotype

IgG1

Carrier free

No

Reacts with

Human

Applications

IHC-P, ICC/IF, WB

applications

Immunogen

Recombinant Fragment Protein within Human METTL14 aa 1-100. The exact immunogen used to generate this antibody is proprietary information.

Q9HCE5

Reactivity data

{ "title": "Reactivity Data", "filters": { "stats": ["", "Species", "Dilution Info", "Notes"], "tabs": { "all-applications": {"fullname" : "All Applications", "shortname": "All Applications"}, "IHCP" : {"fullname" : "Immunohistochemistry (Formalin/PFA-fixed paraffin-embedded sections)", "shortname":"IHC-P"}, "WB" : {"fullname" : "Western blot", "shortname":"WB"}, "ICCIF" : {"fullname" : "Immunocytochemistry/ Immunofluorescence", "shortname":"ICC/IF"} }, "product-promise": { "all": "all", "testedAndGuaranteed": "tested", "guaranteed": "expected", "predicted": "predicted", "notRecommended": "not-recommended" } }, "values": { "Human": { "IHCP-species-checked": "testedAndGuaranteed", "IHCP-species-dilution-info": "1/500 - 1/1000", "IHCP-species-notes": "<p></p> Perform heat-mediated antigen retrieval with citrate buffer pH 6 before commencing with IHC staining protocol.", "WB-species-checked": "testedAndGuaranteed", "WB-species-dilution-info": "1/500 - 1/1000", "WB-species-notes": "<p></p>", "ICCIF-species-checked": "testedAndGuaranteed", "ICCIF-species-dilution-info": "2-10 µg/mL", "ICCIF-species-notes": "<p></p>" }, "Mouse": { "IHCP-species-checked": "predicted", "IHCP-species-dilution-info": "", "IHCP-species-notes": "", "WB-species-checked": "predicted", "WB-species-dilution-info": "", "WB-species-notes": "", "ICCIF-species-checked": "predicted", "ICCIF-species-dilution-info": "", "ICCIF-species-notes": "" }, "Cow": { "IHCP-species-checked": "predicted", "IHCP-species-dilution-info": "", "IHCP-species-notes": "", "WB-species-checked": "predicted", "WB-species-dilution-info": "", "WB-species-notes": "", "ICCIF-species-checked": "predicted", "ICCIF-species-dilution-info": "", "ICCIF-species-notes": "" }, "Orangutan": { "IHCP-species-checked": "predicted", "IHCP-species-dilution-info": "", "IHCP-species-notes": "", "WB-species-checked": "predicted", "WB-species-dilution-info": "", "WB-species-notes": "", "ICCIF-species-checked": "predicted", "ICCIF-species-dilution-info": "", "ICCIF-species-notes": "" } } }

Properties and storage information

Form
Liquid
Purification technique
Affinity purification Protein A
Storage buffer
pH: 7.2 Preservative: 0.02% Sodium azide Constituents: PBS, 40% Glycerol (glycerin, glycerine)
Shipped at conditions
Blue Ice
Appropriate short-term storage duration
1-2 weeks
Appropriate short-term storage conditions
+4°C
Appropriate long-term storage conditions
-20°C
Aliquoting information
Upon delivery aliquot
Storage information
Avoid freeze / thaw cycle

Supplementary information

This supplementary information is collated from multiple sources and compiled automatically.

METTL14 also known in scientific circles as Methyltransferase-like 14 plays an important mechanical role in RNA methylation. This protein with a molecular weight of approximately 58 kDa functions as part of the m6A methyltransferase complex. METTL14 is mainly expressed in the nucleus of cells where it helps catalyze the formation of N6-methyladenosine (m6A) on RNA which is a significant epigenetic modification.
Biological function summary

METTL14 contributes greatly to the modification of messenger RNA (mRNA) through its involvement in the m6A methyltransferase complex alongside METTL3. This protein complex operates to methylate adenine residues in mRNA influencing mRNA stability splicing translation and eventually degradation. METTL14's function in this complex is more regulatory stabilizing the interaction between METTL3 and its RNA substrate modulating the final methylation outcomes.

Pathways

METTL14's methylation activity greatly impacts gene expression through the mRNA processing and metabolism pathways. The m6A modification where METTL14 acts is important in mRNA fate and participates significantly in pathways controlling cell differentiation and proliferation. Researchers link it to major proteins like YTH domain family proteins which recognize and bind to m6A-modified RNA propagating the downstream effects of mRNA processing.

Researchers have drawn significant links between METTL14 and various forms of cancer including leukemia. Altered METTL14 expression can dysregulate mRNA metabolism leading to tumorigenesis. Additionally METTL14 has been implicated in neurodevelopmental disorders due to its role in brain development and function. Variations in METTL14 expression or activity may influence these diseases through its interactions with METTL3 and other complex components that can affect gene expression patterns important for normal cell function.

Product protocols

For this product, it's our understanding that no specific protocols are required. You can visit:

Target data

The METTL3-METTL14 heterodimer forms a N6-methyltransferase complex that methylates adenosine residues at the N(6) position of some mRNAs and regulates the circadian clock, differentiation of embryonic stem cells and cortical neurogenesis (PubMed : 24316715, PubMed : 24407421, PubMed : 25719671, PubMed : 27281194, PubMed : 27373337, PubMed : 29348140). In the heterodimer formed with METTL3, METTL14 constitutes the RNA-binding scaffold that recognizes the substrate rather than the catalytic core (PubMed : 27281194, PubMed : 27373337, PubMed : 27627798, PubMed : 29348140). N6-methyladenosine (m6A), which takes place at the 5'-[AG]GAC-3' consensus sites of some mRNAs, plays a role in mRNA stability and processing (PubMed : 24316715, PubMed : 24407421, PubMed : 25719671). M6A acts as a key regulator of mRNA stability by promoting mRNA destabilization and degradation (By similarity). In embryonic stem cells (ESCs), m6A methylation of mRNAs encoding key naive pluripotency-promoting transcripts results in transcript destabilization (By similarity). M6A regulates spermatogonial differentiation and meiosis and is essential for male fertility and spermatogenesis (By similarity). M6A also regulates cortical neurogenesis : m6A methylation of transcripts related to transcription factors, neural stem cells, the cell cycle and neuronal differentiation during brain development promotes their destabilization and decay, promoting differentiation of radial glial cells (By similarity).
See full target information METTL14

Publications (9)

Recent publications for all applications. Explore the full list and refine your search

Cellular & molecular biology letters 30:109 PubMed41039223

2025

RSL3 promotes PARP1 apoptotic functions by distinct mechanisms during ferroptosis.

Applications

Unspecified application

Species

Unspecified reactive species

Dejian Chen,Fei Xie,Yimei Mo,Dan Qin,Binjiao Zheng,Lingyan Chen

Molecular medicine (Cambridge, Mass.) 31:78 PubMed40000966

2025

A novel mechanism of FTO modulating the progression of endometriosis through mediating the m6A methylation of GEF-H1 in a YTHDF1-dependent manner.

Applications

Unspecified application

Species

Unspecified reactive species

Xin-Yu Ding,Hua-Ying Zhang,Jia-Hao Chen,Meng-Jie Yang,Zhi-Xiong Huang,Yi-Hong Lei,Qin-Kun Sun,Jian-Bin Bai,Dian-Chao Lin,Jian-Fa Lan,Lu-Lu Ren,Zheng-Yi Chen,Wei-Dong Zhou,Qiong-Hua Chen

European journal of medical research 29:405 PubMed39103890

2024

Anticancer effects of Erzhimaoling decoction in high-grade serous ovarian cancer in vitro and in vivo.

Applications

Unspecified application

Species

Unspecified reactive species

Li Yang,Jingfang Liu,Jiejie Zhang,Feng Shao,Yanlu Jin,Jie Xing,Heran Zhou,Aijun Yu

JACS Au 4:713-729 PubMed38425900

2024

Proteolysis Targeting Chimera Degraders of the METTL3-14 mA-RNA Methyltransferase.

Applications

Unspecified application

Species

Unspecified reactive species

Francesco Errani,Annalisa Invernizzi,Marcin Herok,Elena Bochenkova,Fiona Stamm,Ivan Corbeski,Valeria Romanucci,Giovanni Di Fabio,František Zálešák,Amedeo Caflisch

Journal of medical virology 95:e28324 PubMed36401345

2022

Infection phase-dependent dynamics of the viral and host N6-methyladenosine epitranscriptome in the lifecycle of an oncogenic virus in vivo.

Applications

Unspecified application

Species

Unspecified reactive species

Guoqing Zhuang,Xuyang Zhao,Jiaxin Jin,Xiaojing Zhu,Rui Wang,Yunyun Zhai,Wenlong Lu,Yifei Liao,Man Teng,Yongxiu Yao,Venugopal Nair,Wen Yao,Aijun Sun,Jun Luo,Gaiping Zhang

Frontiers in cell and developmental biology 10:947337 PubMed36263010

2022

The mA-methylated mRNA pattern and the activation of the Wnt signaling pathway under the hyper-mA-modifying condition in the keloid.

Applications

Unspecified application

Species

Unspecified reactive species

Can-Xiang Lin,Zhi-Jing Chen,Qi-Lin Peng,Ke-Rong Xiang,Du-Qing Xiao,Ruo-Xi Chen,Taixing Cui,Yue-Sheng Huang,Hong-Wei Liu

Oral diseases 29:2012-2026 PubMed35467063

2022

Mechanism of METTL14 and m6A modification of lncRNA MALAT1 in the proliferation of oral squamous cell carcinoma cells.

Applications

Unspecified application

Species

Unspecified reactive species

Jinli Li,Fatemeh Momen-Heravi,Xun Wu,Kaili He

British journal of cancer 127:30-42 PubMed35249103

2022

METTL14-mediated N6-methyladenosine modification of Pten mRNA inhibits tumour progression in clear-cell renal cell carcinoma.

Applications

Unspecified application

Species

Unspecified reactive species

Lili Zhang,Xiaofang Luo,Sen Qiao

Frontiers in oncology 12:824258 PubMed35251990

2022

Downregulation of Methyltransferase-Like 14 Promotes Ovarian Cancer Cell Proliferation Through Stabilizing TROAP mRNA.

Applications

Unspecified application

Species

Unspecified reactive species

Yize Li,Hongyan Peng,Peng Jiang,Jiarui Zhang,Yongmei Zhao,Xuelian Feng,Cui Pang,Jingyi Ren,Hongmei Zhang,Wendong Bai,Wenchao Liu
View all publications

Product promise

We are committed to supporting your work with high-quality reagents, and we're here for you every step of the way. In the unlikely event that one of our products does not perform as expected, you're protected by our Product Promise.
For full details, please see our Terms & Conditions

Please note: All products are 'FOR RESEARCH USE ONLY. NOT FOR USE IN DIAGNOSTIC OR THERAPEUTIC PROCEDURES'.

For licensing inquiries, please contact partnerships@abcam.com