JavaScript is disabled in your browser. Please enable JavaScript to view this website.
AB309096

Anti-METTL14 antibody [EPR27234-62]

Be the first to review this product! Submit a review

|

(23 Publications)

Rabbit Recombinant Monoclonal METTL14 antibody. Suitable for WB, IP and reacts with Human, Mouse, Rat samples. Cited in 23 publications.

View Alternative Names

KIAA1627, METTL14, N(6)-adenosine-methyltransferase non-catalytic subunit METTL14, Methyltransferase-like protein 14, hMETTL14

6 Images
Immunoprecipitation - Anti-METTL14 antibody [EPR27234-62] (AB309096)
  • IP

Supplier Data

Immunoprecipitation - Anti-METTL14 antibody [EPR27234-62] (AB309096)

METTL14 was immunoprecipitated from 0.35 mg Raji (human Burkitt's lymphoma B lymphocyte) whole cell lysate with ab309096 at 1/30 dilution (2ug in 0.35mg lysates). Western blot was performed on the immunoprecipitate using ab309096 at 1/1000 dilution. VeriBlot for IP secondary antibody(HRP)(ab131366) was used at 1/5000 dilution. Lane 1 : Raji (human Burkitt's lymphoma B lymphocyte) whole cell lysate Lane 2 : ab309096 IP in Raji (human Burkitt's lymphoma B lymphocyte) whole cell lysate Lane 3 : Rabbit monoclonal IgG (ab172730) instead of ab309096 in Raji whole cell lysate Blocking and dilution buffer and concentration : 5% NFDM/TBST.

All lanes:

Immunoprecipitation - Anti-METTL14 antibody [EPR27234-62] (ab309096) at 1/30 dilution

All lanes:

Raji (human Burkitt's lymphoma B lymphocyte) whole cell lysate

Secondary

All lanes:

Immunoprecipitation - VeriBlot for IP Detection Reagent (HRP) (<a href='/en-us/products/reagents/veriblot-for-ip-detection-reagent-hrp-ab131366'>ab131366</a>) at 1/5000 dilution

Observed band size: 60 kDa

false

Exposure time: 41s

Western blot - Anti-METTL14 antibody [EPR27234-62] (AB309096)
  • WB

Supplier Data

Western blot - Anti-METTL14 antibody [EPR27234-62] (AB309096)

Blocking and diluting buffer and concentration : 5% NFDM/TBST.

This blot was developed using a high sensitivity ECL substrate. The high-sensitivity ECL substrate used allows for the detection of proteins in the mid-femtogram range.

All lanes:

Western blot - Anti-METTL14 antibody [EPR27234-62] (ab309096) at 1/1000 dilution

Lane 1:

Human lung tissue lysate at 20 µg

Lane 2:

Human colon tissue lysate at 20 µg

Lane 3:

Human colon cancer tissue lysate at 20 µg

Secondary

All lanes:

Western blot - Goat Anti-Rabbit IgG H&L (HRP) (<a href='/en-us/products/secondary-antibodies/goat-rabbit-igg-h-l-hrp-ab97051'>ab97051</a>) at 1/20000 dilution

Observed band size: 60 kDa

true

Exposure time: 180s

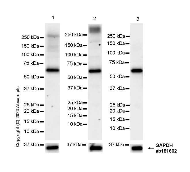
Western blot - Anti-METTL14 antibody [EPR27234-62] (AB309096)
  • WB

Supplier Data

Western blot - Anti-METTL14 antibody [EPR27234-62] (AB309096)

Blocking and diluting buffer and concentration : 5% NFDM/TBST Lysates were freshly made and used for Western blotting immediately to minimize protein degradation. The identity of the bands between 100 kDa and 300 kDa are unknown. In Western blot, anti-GAPDH antibody (ab181602) loading control staining at 1/200000 dilution.

All lanes:

Western blot - Anti-METTL14 antibody [EPR27234-62] (ab309096) at 1/1000 dilution

Lane 1:

HeLa (human cervical adenocarcinoma epithelial cell) transfected with scrambled siRNA control whole cell lysate at 20 µg

Lane 2:

HeLa transfected with siRNA specifically targeti METTL14 whole cell lysate at 20 µg

Secondary

All lanes:

Western blot - Goat Anti-Rabbit IgG H&L (HRP) (<a href='/en-us/products/secondary-antibodies/goat-rabbit-igg-h-l-hrp-ab97051'>ab97051</a>) at 1/20000 dilution

Observed band size: 60 kDa

false

Exposure time: 180s

Western blot - Anti-METTL14 antibody [EPR27234-62] (AB309096)
  • WB

Supplier Data

Western blot - Anti-METTL14 antibody [EPR27234-62] (AB309096)

Blocking and diluting buffer and concentration : 5% NFDM/TBST Lysates were freshly made and used for Western blotting immediately to minimize protein degradation. The identity of the bands between 150 kDa and 300 kDa are unknown. In Western blot, anti-GAPDH antibody (ab181602) loading control staining at 1/200000 dilution. Exposure time : 48 seconds

All lanes:

Western blot - Anti-METTL14 antibody [EPR27234-62] (ab309096) at 1/1000 dilution

Lane 1:

A431 (human epidermoid carcinoma epithelial cell) whole cell lysate at 20 µg

Lane 2:

Raji (human Burkitts lymphoma B lymphocyte) whole cell lysate at 20 µg

Lane 3:

NIH/3T3 (mouse embryonic fibroblast) whole cell lysate at 20 µg

Secondary

All lanes:

Western blot - Goat Anti-Rabbit IgG H&L (HRP) (<a href='/en-us/products/secondary-antibodies/goat-rabbit-igg-h-l-hrp-ab97051'>ab97051</a>) at 1/20000 dilution

Observed band size: 60 kDa

false

Exposure time: 48s

Western blot - Anti-METTL14 antibody [EPR27234-62] (AB309096)
  • WB

Lab

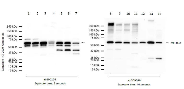
Western blot - Anti-METTL14 antibody [EPR27234-62] (AB309096)

Exposure time : ab300104 : 3 seconds; ab309096 : 40 seconds.

ab300104 is highly sensitive but unfortunately detects a nonspecific band near the METTL14 target band.

Lanes 1 - 7:

Western blot - Anti-METTL14 antibody [EPR22666-22] (<a href='/en-us/products/primary-antibodies/mettl14-antibody-epr22666-22-ab300104'>ab300104</a>) at 1/1000 dilution

Lanes 8 - 14:

Western blot - Anti-METTL14 antibody [EPR27234-62] (ab309096) at 1/1000 dilution

Lanes 1 and 8:

Raji (human Burkitts lymphoma B lymphocyte) whole cell lysate at 20 µg

Lanes 2 and 9:

NCCIT (human pluripotent embryonic carcinoma epithelial cell) whole cell lysate at 20 µg

Lanes 3 and 10:

293T (Human embryonic kidney epithelial cell) whole cell lysate at 20 µg

Lanes 4 and 11:

Human testis tissue lysate at 20 µg

Lanes 5 and 12:

NIH/3T3 (mouse embryonic fibroblast) whole cell lysate at 20 µg

Lanes 6 and 13:

Mouse testis at 20 µg

Lanes 7 and 14:

Mouse lung at 20 µg

Secondary

All lanes:

Goat Anti-Rabbit IgG (HRP) with minimal cross-reactivity with human IgG at 1/2000 dilution

Observed band size: 60 kDa

false

Western blot - Anti-METTL14 antibody [EPR27234-62] (AB309096)
  • WB

Supplier Data

Western blot - Anti-METTL14 antibody [EPR27234-62] (AB309096)

Blocking and diluting buffer and concentration : 5% NFDM/TBST The identity of the bands between 150 kDa and 300 kDa are unknown. In Western blot, anti-GAPDH antibody (ab181602) loading control staining at 1/200000 dilution. Exposure time : Lane 1 : 48 seconds, lanes 2-3 : 180 seconds.

All lanes:

Western blot - Anti-METTL14 antibody [EPR27234-62] (ab309096) at 1/1000 dilution

Lane 1:

Mouse testis tissue lysate at 20 µg

Lane 2:

Rat testis tissue lysate at 20 µg

Lane 3:

Mouse lu tissue lysate at 20 µg

Secondary

All lanes:

Western blot - Goat Anti-Rabbit IgG H&L (HRP) (<a href='/en-us/products/secondary-antibodies/goat-rabbit-igg-h-l-hrp-ab97051'>ab97051</a>) at 1/20000 dilution

Observed band size: 60 kDa

false

  • Carrier free

    Anti-METTL14 antibody [EPR27234-62] - BSA and Azide free

Key facts

Host species

Rabbit

Clonality

Monoclonal

Clone number

EPR27234-62

Isotype

IgG

Carrier free

No

Reacts with

Human, Mouse, Rat

Applications

IP, WB

applications

Immunogen

The exact immunogen used to generate this antibody is proprietary information.

Reactivity data

{ "title": "Reactivity Data", "filters": { "stats": ["", "Species", "Dilution Info", "Notes"], "tabs": { "all-applications": {"fullname" : "All Applications", "shortname": "All Applications"}, "WB" : {"fullname" : "Western blot", "shortname":"WB"}, "IP" : {"fullname" : "Immunoprecipitation", "shortname":"IP"}, "IHCP" : {"fullname" : "Immunohistochemistry (Formalin/PFA-fixed paraffin-embedded sections)", "shortname":"IHC-P"}, "ICCIF" : {"fullname" : "Immunocytochemistry/ Immunofluorescence", "shortname":"ICC/IF"}, "FlowCytIntra" : {"fullname" : "Flow Cytometry (Intracellular)", "shortname":"Flow Cyt (Intra)"} }, "product-promise": { "all": "all", "testedAndGuaranteed": "tested", "guaranteed": "expected", "predicted": "predicted", "notRecommended": "not-recommended" } }, "values": { "Human": { "WB-species-checked": "testedAndGuaranteed", "WB-species-dilution-info": "1/1000", "WB-species-notes": "<p></p>", "IP-species-checked": "testedAndGuaranteed", "IP-species-dilution-info": "1/30", "IP-species-notes": "<p></p>", "IHCP-species-checked": "notRecommended", "IHCP-species-dilution-info": "", "IHCP-species-notes": "<p></p>", "ICCIF-species-checked": "notRecommended", "ICCIF-species-dilution-info": "", "ICCIF-species-notes": "<p></p>", "FlowCytIntra-species-checked": "notRecommended", "FlowCytIntra-species-dilution-info": "", "FlowCytIntra-species-notes": "<p></p>" }, "Mouse": { "WB-species-checked": "testedAndGuaranteed", "WB-species-dilution-info": "1/1000", "WB-species-notes": "<p></p>", "IP-species-checked": "notRecommended", "IP-species-dilution-info": "", "IP-species-notes": "<p></p>", "IHCP-species-checked": "notRecommended", "IHCP-species-dilution-info": "", "IHCP-species-notes": "<p></p>", "ICCIF-species-checked": "notRecommended", "ICCIF-species-dilution-info": "", "ICCIF-species-notes": "<p></p>", "FlowCytIntra-species-checked": "notRecommended", "FlowCytIntra-species-dilution-info": "", "FlowCytIntra-species-notes": "<p></p>" }, "Rat": { "WB-species-checked": "testedAndGuaranteed", "WB-species-dilution-info": "1/1000", "WB-species-notes": "<p></p>", "IP-species-checked": "guaranteed", "IP-species-dilution-info": "", "IP-species-notes": "", "IHCP-species-checked": "notRecommended", "IHCP-species-dilution-info": "", "IHCP-species-notes": "<p></p>", "ICCIF-species-checked": "notRecommended", "ICCIF-species-dilution-info": "", "ICCIF-species-notes": "", "FlowCytIntra-species-checked": "notRecommended", "FlowCytIntra-species-dilution-info": "", "FlowCytIntra-species-notes": "" } } }

Product details

Patented technology
Our RabMAb® technology is a patented hybridoma-based technology for making rabbit monoclonal antibodies. For details on our patents, please refer to RabMAb® patents.

What are the advantages of a recombinant monoclonal antibody?
This product is a recombinant monoclonal antibody, which offers several advantages including:

  • - High batch-to-batch consistency and reproducibility
  • - Improved sensitivity and specificity
  • - Long-term security of supply
  • - Animal-free batch production

For more information, read more on recombinant antibodies.

Properties and storage information

Form
Liquid
Purification technique
Affinity purification Protein A
Storage buffer
pH: 7.2 - 7.4 Preservative: 0.01% Sodium azide Constituents: PBS, 40% Glycerol (glycerin, glycerine), 0.05% BSA
Shipped at conditions
Blue Ice
Appropriate short-term storage duration
1-2 weeks
Appropriate short-term storage conditions
+4°C
Appropriate long-term storage conditions
-20°C
Aliquoting information
Upon delivery aliquot
Storage information
Avoid freeze / thaw cycle

Supplementary information

This supplementary information is collated from multiple sources and compiled automatically.

METTL14 also known in scientific circles as Methyltransferase-like 14 plays an important mechanical role in RNA methylation. This protein with a molecular weight of approximately 58 kDa functions as part of the m6A methyltransferase complex. METTL14 is mainly expressed in the nucleus of cells where it helps catalyze the formation of N6-methyladenosine (m6A) on RNA which is a significant epigenetic modification.
Biological function summary

METTL14 contributes greatly to the modification of messenger RNA (mRNA) through its involvement in the m6A methyltransferase complex alongside METTL3. This protein complex operates to methylate adenine residues in mRNA influencing mRNA stability splicing translation and eventually degradation. METTL14's function in this complex is more regulatory stabilizing the interaction between METTL3 and its RNA substrate modulating the final methylation outcomes.

Pathways

METTL14's methylation activity greatly impacts gene expression through the mRNA processing and metabolism pathways. The m6A modification where METTL14 acts is important in mRNA fate and participates significantly in pathways controlling cell differentiation and proliferation. Researchers link it to major proteins like YTH domain family proteins which recognize and bind to m6A-modified RNA propagating the downstream effects of mRNA processing.

Researchers have drawn significant links between METTL14 and various forms of cancer including leukemia. Altered METTL14 expression can dysregulate mRNA metabolism leading to tumorigenesis. Additionally METTL14 has been implicated in neurodevelopmental disorders due to its role in brain development and function. Variations in METTL14 expression or activity may influence these diseases through its interactions with METTL3 and other complex components that can affect gene expression patterns important for normal cell function.

Product protocols

For this product, it's our understanding that no specific protocols are required. You can visit:

Target data

The METTL3-METTL14 heterodimer forms a N6-methyltransferase complex that methylates adenosine residues at the N(6) position of some mRNAs and regulates the circadian clock, differentiation of embryonic stem cells and cortical neurogenesis (PubMed : 24316715, PubMed : 24407421, PubMed : 25719671, PubMed : 27281194, PubMed : 27373337, PubMed : 29348140). In the heterodimer formed with METTL3, METTL14 constitutes the RNA-binding scaffold that recognizes the substrate rather than the catalytic core (PubMed : 27281194, PubMed : 27373337, PubMed : 27627798, PubMed : 29348140). N6-methyladenosine (m6A), which takes place at the 5'-[AG]GAC-3' consensus sites of some mRNAs, plays a role in mRNA stability and processing (PubMed : 24316715, PubMed : 24407421, PubMed : 25719671). M6A acts as a key regulator of mRNA stability by promoting mRNA destabilization and degradation (By similarity). In embryonic stem cells (ESCs), m6A methylation of mRNAs encoding key naive pluripotency-promoting transcripts results in transcript destabilization (By similarity). M6A regulates spermatogonial differentiation and meiosis and is essential for male fertility and spermatogenesis (By similarity). M6A also regulates cortical neurogenesis : m6A methylation of transcripts related to transcription factors, neural stem cells, the cell cycle and neuronal differentiation during brain development promotes their destabilization and decay, promoting differentiation of radial glial cells (By similarity).
See full target information METTL14

Publications (23)

Recent publications for all applications. Explore the full list and refine your search

Frontiers in immunology 16:1630311 PubMed40873559

2025

KCTD10 inhibits lung cancer metastasis and angiogenesis via ubiquitin-mediated β-catenin degradation.

Applications

Unspecified application

Species

Unspecified reactive species

Zihao Yin,Shengwen Long,Hao Zhou,Mi Ouyang,Qinghao Wang,Jun He,Rongyu Su,Zhiwei Li,Xiaofeng Ding,Shuanglin Xiang

Oncology research 33:2055-2074 PubMed40746896

2025

OTUD7B Stabilization by METTL14-Mediated m6A Methylation Drives HIF-1 Expression in Esophageal Squamous Cell Carcinoma.

Applications

Unspecified application

Species

Unspecified reactive species

Fei Ren,Yansen Cai,Yang Song

Cell death & disease 16:294 PubMed40229267

2025

β-adrenergic receptor inhibits heart regeneration by downregulating Yap m6A modification.

Applications

Unspecified application

Species

Unspecified reactive species

Kaihang Guan,Zijian Li

Journal of orthopaedic surgery and research 20:198 PubMed40001262

2025

Mechanism of lncRNA ZFAS1 mediating nucleus pulposus cell pyroptosis in intervertebral disc degeneration.

Applications

Unspecified application

Species

Unspecified reactive species

Yuchun Fu,Leilei Zhu,Bingxu Ma

BMC cancer 25:305 PubMed39979838

2025

Up-regulation of mA writer METTL14 inhibits tumorigenesis by suppressing glycolysis in colorectal cancer.

Applications

Unspecified application

Species

Unspecified reactive species

Lulu Li,Rong Zhang,Yongsheng Li

European journal of medical research 30:88 PubMed39920858

2025

METTL14 modulates the progression and ferroptosis of colitis by regulating the stability of m6A-modified GPX4.

Applications

Unspecified application

Species

Unspecified reactive species

Yuhua Chen,Weicong Fan,Ying Lyu,Jingsheng Liao,Ying Zhou

Physiological research 73:985-999 PubMed39903889

2025

LDHA- Mediated Histone Lactylation Promotes the Nonalcoholic Fatty Liver Disease Progression Through Targeting The METTL3/ YTHDF1/SCD1 m6A Axis.

Applications

Unspecified application

Species

Unspecified reactive species

J Meng,C Yan,J Liu

Journal of nanobiotechnology 23:3 PubMed39754249

2025

Inhibition of METTL14 overcomes CDK4/6 inhibitor resistance driven by METTL14-m6A-E2F1-axis in ERα-positive breast cancer.

Applications

Unspecified application

Species

Unspecified reactive species

Chenlin Liu,Dong Fan,Jiahui Sun,Guodong Li,Ruoxin Du,Xiaoshuang Zuo,Kuo Zhang,Wangqian Zhang,Shuning Wang,Xiaojv Li,Mingrui Du,Donghui Wang,Qiang Hao,Yingqi Zhang,Meng Li,Cun Zhang,Yuan Gao

CytoJournal 21:55 PubMed39737122

2024

Methyltransferase-like 14 promotes the tumorigenesis and proliferation of pancreatic cancer cells through myc proto-oncogene signaling pathway.

Applications

Unspecified application

Species

Unspecified reactive species

Junru Li,Peng Wang,Fei Liu,Yuanyuan Li,Youyou Wu,Fengbo Wang,Jundong Du

International heart journal 65:1118-1127 PubMed39617501

2024

METTL14 Promotes Lipopolysaccharide-Induced Myocardial Damage via m6A-Dependent Stabilization of TRPM7 mRNA.

Applications

Unspecified application

Species

Unspecified reactive species

Xinzhu Wu,Pan Huang,Yanmin Xiao,Lin Zha,Jingguo Ma,Hongli Xiao
View all publications

Product promise

We are committed to supporting your work with high-quality reagents, and we're here for you every step of the way. In the unlikely event that one of our products does not perform as expected, you're protected by our Product Promise.
For full details, please see our Terms & Conditions

Please note: All products are 'FOR RESEARCH USE ONLY. NOT FOR USE IN DIAGNOSTIC OR THERAPEUTIC PROCEDURES'.

For licensing inquiries, please contact partnerships@abcam.com