JavaScript is disabled in your browser. Please enable JavaScript to view this website.
AB307819

Anti-METTL15 antibody [EPR25213-46]

  • BOND RX™ Validated
  • 20ul selling size
  • RabMAb
  • Recombinant
  • What is this?

Be the first to review this product! Submit a review

|

(1 Publication)

Rabbit Recombinant Monoclonal METTL15 antibody. Suitable for WB, IHC-P and reacts with Human samples. Cited in 1 publication.

View Alternative Names

METT5D1, METTL15, 12S rRNA N(4)-cytidine methyltransferase METTL15, 12S rRNA m4C methyltransferase, Methyltransferase 5 domain-containing protein 1, Methyltransferase-like protein 15

6 Images
Immunohistochemistry (Formalin/PFA-fixed paraffin-embedded sections) - Anti-METTL15 antibody [EPR25213-46] (AB307819)
  • IHC-P

Supplier Data

Immunohistochemistry (Formalin/PFA-fixed paraffin-embedded sections) - Anti-METTL15 antibody [EPR25213-46] (AB307819)

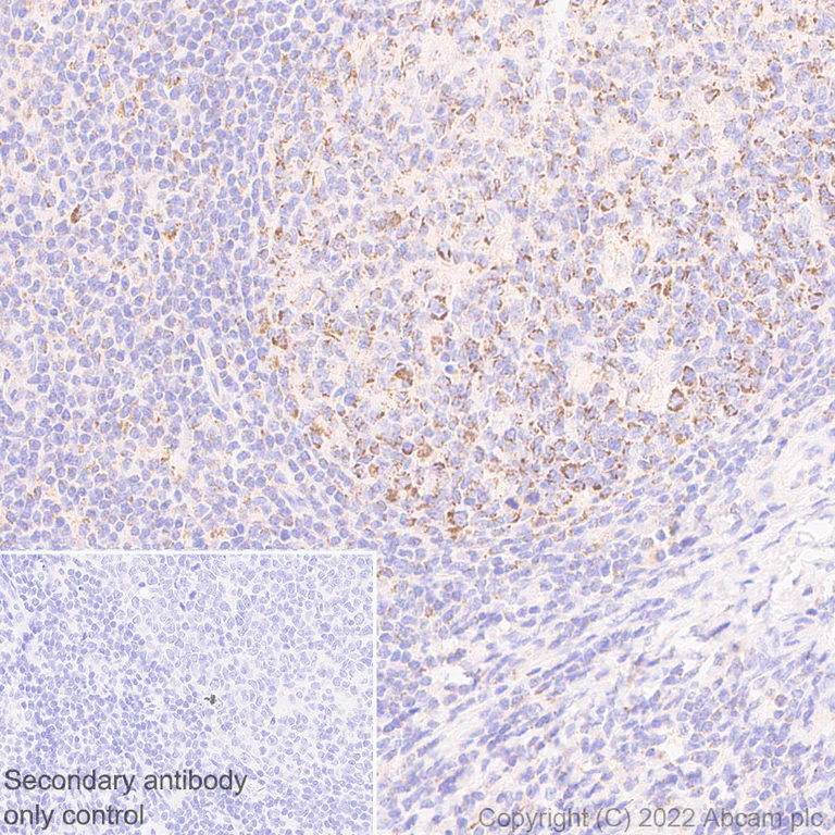
Immunohistochemical analysis of paraffin-embedded Human tonsil tissue labeling METTL15 with ab307819 at 1/50 (9.08 ug/ml) followed by a LeicaDS9800 (Bond™ Polymer Refine Detection) at Ready to use dilution. Positive staining on human tonsil. The section was incubated with ab307819 for 30 mins at room temperature. The immunostaining was performed on a Leica Biosystems BOND® RX instrument. Counterstained with Hematoxylin. Secondary antibody only control : Secondary antibody is LeicaDS9800 (Bond™ Polymer Refine Detection) at Ready to use dilution. Heat mediated antigen retrieval was performed with Tris-EDTA buffer (pH 9.0, Epitope Retrieval Solution2) for 20 mins

Immunohistochemistry (Formalin/PFA-fixed paraffin-embedded sections) - Anti-METTL15 antibody [EPR25213-46] (AB307819)
  • IHC-P

Supplier Data

Immunohistochemistry (Formalin/PFA-fixed paraffin-embedded sections) - Anti-METTL15 antibody [EPR25213-46] (AB307819)

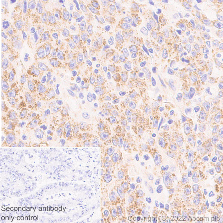
Immunohistochemical analysis of paraffin-embedded Human colon cancer tissue labeling METTL15 with ab307819 at 1/50 (9.08 ug/ml) followed by a LeicaDS9800 (Bond™ Polymer Refine Detection) at Ready to use dilution. Positive staining on human colon cancer. The section was incubated with ab307819 for 30 mins at room temperature. The immunostaining was performed on a Leica Biosystems BOND® RX instrument. Counterstained with Hematoxylin. Secondary antibody only control : Secondary antibody is LeicaDS9800 (Bond™ Polymer Refine Detection) at Ready to use dilution. Heat mediated antigen retrieval was performed with Tris-EDTA buffer (pH 9.0, Epitope Retrieval Solution2) for 20 mins

Immunohistochemistry (Formalin/PFA-fixed paraffin-embedded sections) - Anti-METTL15 antibody [EPR25213-46] (AB307819)
  • IHC-P

Supplier Data

Immunohistochemistry (Formalin/PFA-fixed paraffin-embedded sections) - Anti-METTL15 antibody [EPR25213-46] (AB307819)

Immunohistochemical analysis of paraffin-embedded Human colon tissue labeling METTL15 with ab307819 at 1/50 (9.08 ug/ml) followed by a LeicaDS9800 (Bond™ Polymer Refine Detection) at Ready to use dilution. Positive staining on human colon. The section was incubated with ab307819 for 30 mins at room temperature. The immunostaining was performed on a Leica Biosystems BOND® RX instrument Counterstained with Hematoxylin. Secondary antibody only control : Secondary antibody is LeicaDS9800 (Bond™ Polymer Refine Detection) at Ready to use dilution. Heat mediated antigen retrieval was performed with Tris-EDTA buffer (pH 9.0, Epitope Retrieval Solution2) for 20 mins

Western blot - Anti-METTL15 antibody [EPR25213-46] (AB307819)
  • WB

Supplier Data

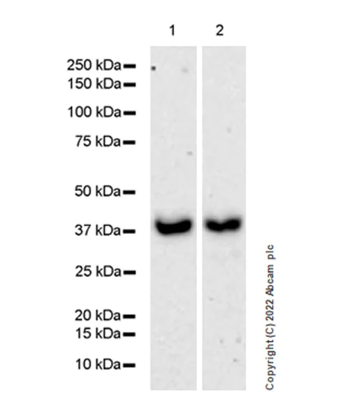
Western blot - Anti-METTL15 antibody [EPR25213-46] (AB307819)

Blocking and diluting buffer and concentration : 5% NFDM/TBST Exposure time : 180 seconds

All lanes:

Western blot - Anti-METTL15 antibody [EPR25213-46] (ab307819) at 1/1000 dilution

Lane 1:

A431 (human epidermoid carcinoma epithelial cell) whole cell lysate at 20 µg

Lane 2:

293T (human embryonic kidney epithelial cell) whole cell lysate at 20 µg

Observed band size: 46 kDa

false

Exposure time: 180s

Western blot - Anti-METTL15 antibody [EPR25213-46] (AB307819)
  • WB

Supplier Data

Western blot - Anti-METTL15 antibody [EPR25213-46] (AB307819)

Blocking and diluting buffer and concentration : 5% NFDM/TBST In Western blot, anti-GAPDH antibody (ab181602) loading control staining at 1/200,000 dilution. Exposure time : 26 seconds

All lanes:

Western blot - Anti-METTL15 antibody [EPR25213-46] (ab307819) at 1/1000 dilution

Lane 1:

HeLa (human cervical adenocarcinoma epithelial cell) transfected with scrambled siRNA control whole cell lysate at 20 µg

Lane 2:

HeLa transfected with siRNA specifically targeting METTL15 whole cell lysate at 20 µg

Secondary

All lanes:

Western blot at 1/200000 dilution

Observed band size: 46 kDa

false

Exposure time: 26s

Western blot - Anti-METTL15 antibody [EPR25213-46] (AB307819)
  • WB

Supplier Data

Western blot - Anti-METTL15 antibody [EPR25213-46] (AB307819)

Blocking and diluting buffer and concentration : 5% NFDM/TBST Exposure time : 180 seconds

All lanes:

Western blot - Anti-METTL15 antibody [EPR25213-46] (ab307819) at 1/1000 dilution

Lane 1:

Human colon tissue lysate at 20 µg

Lane 2:

Human tonsil tissue lysate at 20 µg

Secondary

All lanes:

Western blot at 1/2000 dilution

Observed band size: 46 kDa

false

Exposure time: 180s

  • Carrier free

    Anti-METTL15 antibody [EPR25213-46] - BSA and Azide free

Key facts

Host species

Rabbit

Clonality

Monoclonal

Clone number

EPR25213-46

Isotype

IgG

Carrier free

No

Reacts with

Human

Applications

WB, IHC-P

applications

Immunogen

The exact immunogen used to generate this antibody is proprietary information.

Reactivity data

{ "title": "Reactivity Data", "filters": { "stats": ["", "Species", "Dilution Info", "Notes"], "tabs": { "all-applications": {"fullname" : "All Applications", "shortname": "All Applications"}, "WB" : {"fullname" : "Western blot", "shortname":"WB"}, "IHCP" : {"fullname" : "Immunohistochemistry (Formalin/PFA-fixed paraffin-embedded sections)", "shortname":"IHC-P"}, "ICCIF" : {"fullname" : "Immunocytochemistry/ Immunofluorescence", "shortname":"ICC/IF"}, "FlowCytIntra" : {"fullname" : "Flow Cytometry (Intracellular)", "shortname":"Flow Cyt (Intra)"}, "IP" : {"fullname" : "Immunoprecipitation", "shortname":"IP"} }, "product-promise": { "all": "all", "testedAndGuaranteed": "tested", "guaranteed": "expected", "predicted": "predicted", "notRecommended": "not-recommended" } }, "values": { "Human": { "WB-species-checked": "testedAndGuaranteed", "WB-species-dilution-info": "1/1000", "WB-species-notes": "<p></p>", "IHCP-species-checked": "testedAndGuaranteed", "IHCP-species-dilution-info": "1/50", "IHCP-species-notes": "<p></p> Perform heat-mediated antigen retrieval with Tris/EDTA buffer pH 9.0 before commencing with IHC staining protocol.", "ICCIF-species-checked": "notRecommended", "ICCIF-species-dilution-info": "", "ICCIF-species-notes": "<p></p>", "FlowCytIntra-species-checked": "notRecommended", "FlowCytIntra-species-dilution-info": "", "FlowCytIntra-species-notes": "<p></p>", "IP-species-checked": "notRecommended", "IP-species-dilution-info": "", "IP-species-notes": "<p></p>" }, "Mouse": { "WB-species-checked": "notRecommended", "WB-species-dilution-info": "1/1000", "WB-species-notes": "<p></p>", "IHCP-species-checked": "notRecommended", "IHCP-species-dilution-info": "1/50", "IHCP-species-notes": "<p></p> Perform heat-mediated antigen retrieval with Tris/EDTA buffer pH 9.0 before commencing with IHC staining protocol.", "ICCIF-species-checked": "notRecommended", "ICCIF-species-dilution-info": "", "ICCIF-species-notes": "", "FlowCytIntra-species-checked": "notRecommended", "FlowCytIntra-species-dilution-info": "", "FlowCytIntra-species-notes": "", "IP-species-checked": "notRecommended", "IP-species-dilution-info": "", "IP-species-notes": "" }, "Rat": { "WB-species-checked": "notRecommended", "WB-species-dilution-info": "1/1000", "WB-species-notes": "<p></p>", "IHCP-species-checked": "notRecommended", "IHCP-species-dilution-info": "1/50", "IHCP-species-notes": "<p></p> Perform heat-mediated antigen retrieval with Tris/EDTA buffer pH 9.0 before commencing with IHC staining protocol.", "ICCIF-species-checked": "notRecommended", "ICCIF-species-dilution-info": "", "ICCIF-species-notes": "", "FlowCytIntra-species-checked": "notRecommended", "FlowCytIntra-species-dilution-info": "", "FlowCytIntra-species-notes": "", "IP-species-checked": "notRecommended", "IP-species-dilution-info": "", "IP-species-notes": "" } } }

Product details

Patented technology
Our RabMAb® technology is a patented hybridoma-based technology for making rabbit monoclonal antibodies. For details on our patents, please refer to RabMAb® patents.

What are the advantages of a recombinant monoclonal antibody?
This product is a recombinant monoclonal antibody, which offers several advantages including:

  • - High batch-to-batch consistency and reproducibility
  • - Improved sensitivity and specificity
  • - Long-term security of supply
  • - Animal-free batch production

For more information, read more on recombinant antibodies.

Properties and storage information

Form
Liquid
Purification technique
Affinity purification Protein A
Storage buffer
pH: 7.2 - 7.4 Preservative: 0.01% Sodium azide Constituents: PBS, 40% Glycerol (glycerin, glycerine), 0.05% BSA
Shipped at conditions
Blue Ice
Appropriate short-term storage duration
1-2 weeks
Appropriate short-term storage conditions
+4°C
Appropriate long-term storage conditions
-20°C
Aliquoting information
Upon delivery aliquot
Storage information
Avoid freeze / thaw cycle

Supplementary information

This supplementary information is collated from multiple sources and compiled automatically.

METTL15 also known as methyltransferase-like protein 15 is a methyltransferase enzyme with a molecular mass of approximately 50 kDa. This enzyme catalyzes the transfer of methyl groups and is important in the modulation of RNA function. It is highly expressed in human tissues particularly in the liver and brain indicating its involvement in vital cellular processes. METTL15 is responsible for methylation of adenine residues in ribosomal RNA (rRNA) which is important for ribosome function and maturation.
Biological function summary

METTL15 influences gene expression and translation fidelity by modifying rRNA within the 60S subunit of ribosomes. Through its action METTL15 helps stabilize ribosomal structure assisting in accurate protein synthesis. While METTL15 acts independently its functions are interconnected with other methyltransferases involved in RNA and DNA modification. The precise control of ribosomal methylation is vital for cellular homeostasis and protein synthesis efficiency.

Pathways

METTL15 contributes significantly to ribosome biogenesis and protein translation pathways. It influences the ribosome assembly process integrating into pathways critical for cell growth and proliferation. METTL15's functions relate closely to those of proteins like METTL3 and METTL14 which also partake in RNA methylation processes. Together these proteins interact in pathways that regulate gene expression and cellular response to growth signals.

METTL15 has been implicated in cancer and neurodevelopmental disorders. Altered expression of METTL15 can disrupt normal ribosomal function contributing to tumorigenesis and affecting neuronal development. Its role in cancer is often discussed alongside METTL3 as both are involved in RNA methylation processes linking to oncogenesis. Understanding METTL15's activity in these conditions could help develop targeted therapeutic strategies.

Product protocols

For this product, it's our understanding that no specific protocols are required. You can visit:

Target data

N4-methylcytidine (m4C) methyltransferase responsible for the methylation of position C839 in mitochondrial 12S rRNA (PubMed : 31665743, PubMed : 32371392). Involved in the stabilization of 12S rRNA folding, therefore facilitating the assembly of the mitochondrial small ribosomal subunits (PubMed : 31665743, PubMed : 32371392).
See full target information METTL15

Publications (1)

Recent publications for all applications. Explore the full list and refine your search

Cell discovery 10:11 PubMed38291322

2024

Structural insights into the specific recognition of mitochondrial ribosome-binding factor hsRBFA and 12 S rRNA by methyltransferase METTL15.

Applications

Unspecified application

Species

Unspecified reactive species

Mengqi Lv,Wanwan Zhou,Yijie Hao,Fudong Li,Huafeng Zhang,Xuebiao Yao,Yunyu Shi,Liang Zhang
View all publications

Product promise

We are committed to supporting your work with high-quality reagents, and we're here for you every step of the way. In the unlikely event that one of our products does not perform as expected, you're protected by our Product Promise.
For full details, please see our Terms & Conditions

Please note: All products are 'FOR RESEARCH USE ONLY. NOT FOR USE IN DIAGNOSTIC OR THERAPEUTIC PROCEDURES'.

For licensing inquiries, please contact partnerships@abcam.com