JavaScript is disabled in your browser. Please enable JavaScript to view this website.
AB272941

Anti-METTL16 antibody [EPR23459-39] - BSA and Azide free

Be the first to review this product! Submit a review

|

(0 Publication)

Rabbit Recombinant Monoclonal METTL16 antibody. Carrier free. Suitable for IP, WB and reacts with Human, Mouse samples.

View Alternative Names

METT10D, METTL16, RNA N(6)-adenosine-methyltransferase METTL16, Methyltransferase 10 domain-containing protein, Methyltransferase-like protein 16, U6 small nuclear RNA (adenine-(43)-N(6))-methyltransferase

1 Images
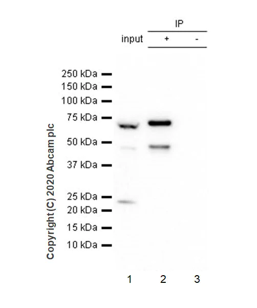
Immunoprecipitation - Anti-METTL16 antibody [EPR23459-39] - BSA and Azide free (AB272941)
  • IP

Unknown

Immunoprecipitation - Anti-METTL16 antibody [EPR23459-39] - BSA and Azide free (AB272941)

METTL16 was immunoprecipitated from 0.35 mg HeLa (human cervix adenocarcinoma epithelial cell) whole cell lysate with ab252420 at 1/30 dilution (2ug in 0.35mg lysates). Western blot was performed on the immunoprecipitate using ab252420 at 1/1000 dilution. VeriBlot for IP Detection Reagent (HRP)(ab131366) was used at 1/5000 dilution.

Lane 1 : HeLa (human cervix adenocarcinoma epithelial cell) whole cell lysate 10 ug

Lane 2 : ab252420 IP in HeLa whole cell lysate

Lane 3 : Rabbit monoclonal IgG (ab172730) instead of ab252420 in HeLa whole cell lysate

Blocking and dilution buffer and concentration : 5% NFDM/TBST.

Exposure time : 69 seconds

The band below 50 kDa is caused by degradation as demonstrated by WB data.

This data was developed using the same antibody clone in a different buffer formulation containing PBS, BSA, glycerol, and sodium azide (ab252420).

All lanes:

Immunoprecipitation - Anti-METTL16 antibody [EPR23459-39] (<a href='/en-us/products/primary-antibodies/mettl16-antibody-epr23459-39-ab252420'>ab252420</a>)

Predicted band size: 64 kDa

false

Key facts

Host species

Rabbit

Clonality

Monoclonal

Clone number

EPR23459-39

Isotype

IgG

Carrier free

Yes

Reacts with

Mouse, Human

Applications

WB, IP

applications

Immunogen

The exact immunogen used to generate this antibody is proprietary information.

Reactivity data

{ "title": "Reactivity Data", "filters": { "stats": ["", "Species", "Dilution Info", "Notes"], "tabs": { "all-applications": {"fullname" : "All Applications", "shortname": "All Applications"}, "IP" : {"fullname" : "Immunoprecipitation", "shortname":"IP"}, "WB" : {"fullname" : "Western blot", "shortname":"WB"}, "ICCIF" : {"fullname" : "Immunocytochemistry/ Immunofluorescence", "shortname":"ICC/IF"}, "IHCP" : {"fullname" : "Immunohistochemistry (Formalin/PFA-fixed paraffin-embedded sections)", "shortname":"IHC-P"}, "FlowCyt" : {"fullname" : "Flow Cytometry", "shortname":"Flow Cyt"} }, "product-promise": { "all": "all", "testedAndGuaranteed": "tested", "guaranteed": "expected", "predicted": "predicted", "notRecommended": "not-recommended" } }, "values": { "Human": { "IP-species-checked": "testedAndGuaranteed", "IP-species-dilution-info": "", "IP-species-notes": "<p></p>", "WB-species-checked": "guaranteed", "WB-species-dilution-info": "", "WB-species-notes": "<p></p>", "ICCIF-species-checked": "notRecommended", "ICCIF-species-dilution-info": "", "ICCIF-species-notes": "<p></p>", "IHCP-species-checked": "notRecommended", "IHCP-species-dilution-info": "", "IHCP-species-notes": "<p></p>", "FlowCyt-species-checked": "notRecommended", "FlowCyt-species-dilution-info": "", "FlowCyt-species-notes": "<p></p>" }, "Mouse": { "IP-species-checked": "predicted", "IP-species-dilution-info": "", "IP-species-notes": "", "WB-species-checked": "guaranteed", "WB-species-dilution-info": "", "WB-species-notes": "<p></p>", "ICCIF-species-checked": "notRecommended", "ICCIF-species-dilution-info": "", "ICCIF-species-notes": "<p></p>", "IHCP-species-checked": "notRecommended", "IHCP-species-dilution-info": "", "IHCP-species-notes": "<p></p>", "FlowCyt-species-checked": "notRecommended", "FlowCyt-species-dilution-info": "", "FlowCyt-species-notes": "<p></p>" }, "Rat": { "IP-species-checked": "notRecommended", "IP-species-dilution-info": "", "IP-species-notes": "", "WB-species-checked": "notRecommended", "WB-species-dilution-info": "", "WB-species-notes": "<p></p>", "ICCIF-species-checked": "notRecommended", "ICCIF-species-dilution-info": "", "ICCIF-species-notes": "", "IHCP-species-checked": "notRecommended", "IHCP-species-dilution-info": "", "IHCP-species-notes": "<p></p>", "FlowCyt-species-checked": "notRecommended", "FlowCyt-species-dilution-info": "", "FlowCyt-species-notes": "" } } }

Product details

ab272941 is the carrier-free version of ab252420.

Patented technology
Our RabMAb® technology is a patented hybridoma-based technology for making rabbit monoclonal antibodies. For details on our patents, please refer to RabMAb® patents.

What are the advantages of a recombinant monoclonal antibody?
This product is a recombinant monoclonal antibody, which offers several advantages including:

  • - High batch-to-batch consistency and reproducibility
  • - Improved sensitivity and specificity
  • - Long-term security of supply
  • - Animal-free batch production

For more information, read more on recombinant antibodies.

Conjugation ready
Our carrier-free antibodies are typically supplied in a PBS-only formulation, purified and free of BSA, sodium azide and glycerol. This conjugation-ready format is designed for use with fluorochromes, metal isotopes, oligonucleotides, and enzymes, which makes them ideal for antibody labelling, functional and cell-based assays, flow-based assays (e.g. mass cytometry) and Multiplex Imaging applications.

Use our conjugation kits for antibody conjugates that are ready-to-use in as little as 20 minutes with 1 minute hands-on-time and 100% antibody recovery: available for fluorescent dyes, HRP, biotin and gold.

Compatibility
This product is compatible with the Maxpar® Antibody Labeling Kit from Fluidigm, without the need for antibody preparation. Maxpar® is a trademark of Fluidigm Canada Inc.

Properties and storage information

Form
Liquid
Purification technique
Affinity purification Protein A
Storage buffer
pH: 7.2 - 7.4 Constituents: PBS
Shipped at conditions
Blue Ice
Appropriate short-term storage conditions
+4°C
Appropriate long-term storage conditions
+4°C
Storage information
Do Not Freeze

Supplementary information

This supplementary information is collated from multiple sources and compiled automatically.

METTL16 or Methyltransferase-like protein 16 is a human enzyme known for catalyzing m6A methylation in RNA. The protein has a molecular mass of approximately 60 kDa. METTL16 is expressed in various tissues with higher levels in the liver kidney and brain. It also participates in the splicing and stabilization of RNA influencing gene regulation at the post-transcriptional level.
Biological function summary

METTL16 influences RNA stability and processing. It acts as a component of a larger ribonucleoprotein complex that interacts with a variety of RNA substrates. This protein primarily targets U6 spliceosomal RNA and MAT2A RNA to modulate their function and degradation affecting regulatory feedback mechanisms in cells. By targeting specific RNA molecules METTL16 can modulate cellular response to various stimuli at the RNA level.

Pathways

METTL16 plays an important role in RNA metabolism and gene expression regulation pathways. It cooperates with the S-adenosylmethionine (SAM) pathway which is vital for cellular methylation processes. METTL16 works alongside other m6A writers such as METTL3 and METTL14 to establish particular methylation marks on RNA influencing translation and stability which affects cell cycle regulation and differentiation.

METTL16 has implications in cancer and metabolic disorders. Dysregulation of its activity could lead to abnormal m6A methylation patterns contributing to tumorigenesis. Research has linked METTL16 to hepatocellular carcinoma where it interacts with other cancer-related proteins such as c-Myc affecting tumor growth and metabolism. Additionally its role in regulating MAT2A RNA associates it with metabolic anomalies implicating possible connections to diseases such as metabolic syndrome.

Product protocols

For this product, it's our understanding that no specific protocols are required. You can visit:

Target data

RNA N6-methyltransferase that methylates adenosine residues at the N(6) position of a subset of RNAs and is involved in S-adenosyl-L-methionine homeostasis by regulating expression of MAT2A transcripts (PubMed : 28525753, PubMed : 30197297, PubMed : 30197299, PubMed : 33428944, PubMed : 33930289). Able to N6-methylate a subset of mRNAs and U6 small nuclear RNAs (U6 snRNAs) (PubMed : 28525753). In contrast to the METTL3-METTL14 heterodimer, only able to methylate a limited number of RNAs : requires both a 5'UACAGAGAA-3' nonamer sequence and a specific RNA structure (PubMed : 28525753, PubMed : 30197297, PubMed : 30197299). Plays a key role in S-adenosyl-L-methionine homeostasis by mediating N6-methylation of MAT2A mRNAs, altering splicing of MAT2A transcripts : in presence of S-adenosyl-L-methionine, binds the 3'-UTR region of MAT2A mRNA and specifically N6-methylates the first hairpin of MAT2A mRNA, preventing recognition of their 3'-splice site by U2AF1/U2AF35, thereby inhibiting splicing and protein production of S-adenosylmethionine synthase (PubMed : 28525753, PubMed : 33930289). In S-adenosyl-L-methionine-limiting conditions, binds the 3'-UTR region of MAT2A mRNA but stalls due to the lack of a methyl donor, preventing N6-methylation and promoting expression of MAT2A (PubMed : 28525753). In addition to mRNAs, also able to mediate N6-methylation of U6 small nuclear RNA (U6 snRNA) : specifically N6-methylates adenine in position 43 of U6 snRNAs (PubMed : 28525753, PubMed : 29051200, PubMed : 32266935). Also able to bind various lncRNAs, such as 7SK snRNA (7SK RNA) or 7SL RNA (PubMed : 29051200). Specifically binds the 3'-end of the MALAT1 long non-coding RNA (PubMed : 27872311).
See full target information METTL16

Product promise

We are committed to supporting your work with high-quality reagents, and we're here for you every step of the way. In the unlikely event that one of our products does not perform as expected, you're protected by our Product Promise.
For full details, please see our Terms & Conditions

Please note: All products are 'FOR RESEARCH USE ONLY. NOT FOR USE IN DIAGNOSTIC OR THERAPEUTIC PROCEDURES'.

For licensing inquiries, please contact partnerships@abcam.com