JavaScript is disabled in your browser. Please enable JavaScript to view this website.
AB150900

Anti-METTL21B antibody

Be the first to review this product! Submit a review

|

(1 Publication)

Rabbit Polyclonal METTL21B antibody. Suitable for IHC-P, ICC/IF and reacts with Human samples. Cited in 1 publication. Immunogen corresponding to Recombinant Fragment Protein within Human EEF1AKMT3 aa 150 to C-terminus.

View Alternative Names

FAM119B, HCA557A, METTL21B, EEF1AKMT3, EEF1A lysine methyltransferase 3, Hepatocellular carcinoma-associated antigen 557a, Methyltransferase-like protein 21B, Protein-lysine methyltransferase METTL21B, eEF1A-KMT3

2 Images
Immunocytochemistry/ Immunofluorescence - Anti-METTL21B antibody (AB150900)
  • ICC/IF

Unknown

Immunocytochemistry/ Immunofluorescence - Anti-METTL21B antibody (AB150900)

Immunofluorescent staining of Human cell line A-431 shows positivity in nucleus but not nucleoli. Recommended concentration of ab150900 1-4 µg/ml. Cells treated with PFA/Triton X-100.

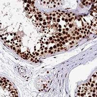
Immunohistochemistry (Formalin/PFA-fixed paraffin-embedded sections) - Anti-METTL21B antibody (AB150900)
  • IHC-P

Unknown

Immunohistochemistry (Formalin/PFA-fixed paraffin-embedded sections) - Anti-METTL21B antibody (AB150900)

Immunohistochemical analysis of paraffin-embedded Human testis tissue labeling METTL21B with ab150900 at 1/200 dilution.

Key facts

Host species

Rabbit

Clonality

Polyclonal

Isotype

IgG

Carrier free

No

Reacts with

Human

Applications

IHC-P, ICC/IF

applications

Immunogen

Recombinant Fragment Protein within Human EEF1AKMT3 aa 150 to C-terminus. The exact immunogen used to generate this antibody is proprietary information.

Q96AZ1

Reactivity data

{ "title": "Reactivity Data", "filters": { "stats": ["", "Species", "Dilution Info", "Notes"], "tabs": { "all-applications": {"fullname" : "All Applications", "shortname": "All Applications"}, "IHCP" : {"fullname" : "Immunohistochemistry (Formalin/PFA-fixed paraffin-embedded sections)", "shortname":"IHC-P"}, "ICCIF" : {"fullname" : "Immunocytochemistry/ Immunofluorescence", "shortname":"ICC/IF"} }, "product-promise": { "all": "all", "testedAndGuaranteed": "tested", "guaranteed": "expected", "predicted": "predicted", "notRecommended": "not-recommended" } }, "values": { "Human": { "IHCP-species-checked": "testedAndGuaranteed", "IHCP-species-dilution-info": "1/200 - 1/500", "IHCP-species-notes": "<p></p> Perform heat-mediated antigen retrieval with citrate buffer pH 6 before commencing with IHC staining protocol.", "ICCIF-species-checked": "testedAndGuaranteed", "ICCIF-species-dilution-info": "1-4 µg/mL", "ICCIF-species-notes": "<p>Recommend PFA Fixation and Triton X-100 treatment</p>" } } }

Product details

The antibody solution should be gently mixed before use.

Properties and storage information

Form
Liquid
Purification technique
Affinity purification Immunogen
Storage buffer
pH: 7.2 Preservative: 0.02% Sodium azide Constituents: PBS, 40% Glycerol (glycerin, glycerine)
Shipped at conditions
Blue Ice
Appropriate short-term storage conditions
+4°C
Appropriate long-term storage conditions
-20°C
Aliquoting information
Upon delivery aliquot
Storage information
Avoid freeze / thaw cycle

Supplementary information

This supplementary information is collated from multiple sources and compiled automatically.

METTL21B also known as EEF1AKMT3 is a methyltransferase enzyme with a molecular weight of approximately 30 kDa. It catalyzes the transfer of a methyl group to its target protein substrates specifically on lysine residues. This methylation process is essential for altering protein interactions and function. METTL21B is mostly expressed in the brain but researchers have also observed its presence in other tissues.
Biological function summary

The methylation activity of METTL21B influences protein stability and cellular localization. It forms part of the methyltransferase family and is involved in modifying proteins by targeting their lysine residues. METTL21B modulates the activity of proteins thereby playing a role in protein maintenance and cellular homeostasis. This protein does not operate alone but may interact with other molecular components to exert its effects.

Pathways

METTL21B participates in regulatory pathways affecting protein translation and degradation. It interacts with components of the translational machinery including proteins involved in elongation processes. METTL21B might influence the protein synthesis pathway and could relate to elongation factors like EEF1A which affects the elongation of peptide chains during translation.

METTL21B's methylation function has ties to certain neurological conditions. Aberrant expression or mutations may link to cognitive disorders as protein modification affects neuronal signaling pathways. The enzyme may interact with proteins involved in neurodegenerative diseases such as Alzheimer's. While the exact mechanisms remain under study its relationship with other methyltransferase enzymes could implicate it in disease progression highlighting METTL21B's potential role in therapeutic interventions.

Product protocols

For this product, it's our understanding that no specific protocols are required. You can visit:

Target data

Protein-lysine methyltransferase that selectively mono-, di- and trimethylates 'Lys-165' of the translation elongation factors EEF1A1 and EEF1A2 in an aminoacyl-tRNA and GTP-dependent manner. EEF1A1 methylation by EEF1AKMT3 is dynamic as well as inducible by stress conditions, such as ER-stress, and plays a regulatory role on mRNA translation.
See full target information EEF1AKMT3

Publications (1)

Recent publications for all applications. Explore the full list and refine your search

Journal of translational medicine 21:253 PubMed37041638

2023

HIGD2A silencing impairs hepatocellular carcinoma growth via inhibiting mitochondrial function and the MAPK/ERK pathway.

Applications

Unspecified application

Species

Unspecified reactive species

Kuiyuan Huang,Ziying Liu,Zhanglian Xie,Xiaoran Li,Haixing Zhang,Yu Chen,Yiran Wang,Zimo Lin,Chuanjiang Li,Hongyan Liu,Xiaoyong Zhang
View all publications

Product promise

We are committed to supporting your work with high-quality reagents, and we're here for you every step of the way. In the unlikely event that one of our products does not perform as expected, you're protected by our Product Promise.
For full details, please see our Terms & Conditions

Please note: All products are 'FOR RESEARCH USE ONLY. NOT FOR USE IN DIAGNOSTIC OR THERAPEUTIC PROCEDURES'.

For licensing inquiries, please contact partnerships@abcam.com