JavaScript is disabled in your browser. Please enable JavaScript to view this website.
AB195352

Anti-METTL3 antibody [EPR18810]

  • BOND RX™ Validated
  • RabMAb
  • Recombinant
  • KO Validated
  • 20ul selling size
  • What is this?

5

(8 Reviews)

|

(488 Publications)

Anti-METTL3 antibody [EPR18810] (ab195352) is a rabbit monoclonal antibody detecting METTL3 in Western Blot, Flow Cytometry (Intra), Flow Cytometry, IP, IHC-P, ICC/IF. Suitable for Human, Mouse, Rat.

- Clone EPR18810 is the most cited clone to METTL3
- KO validated for confirmed specificity
- Biophysical QC for unrivalled batch-batch consistency
- Over 290 publications

View Alternative Names

MTA70, METTL3, N(6)-adenosine-methyltransferase catalytic subunit METTL3, Methyltransferase-like protein 3, N(6)-adenosine-methyltransferase 70 kDa subunit, hMETTL3, MT-A70

19 Images
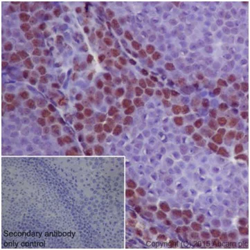
Immunohistochemistry - Anti-METTL3 antibody [EPR18810] (AB195352)
  • IHC

Lab

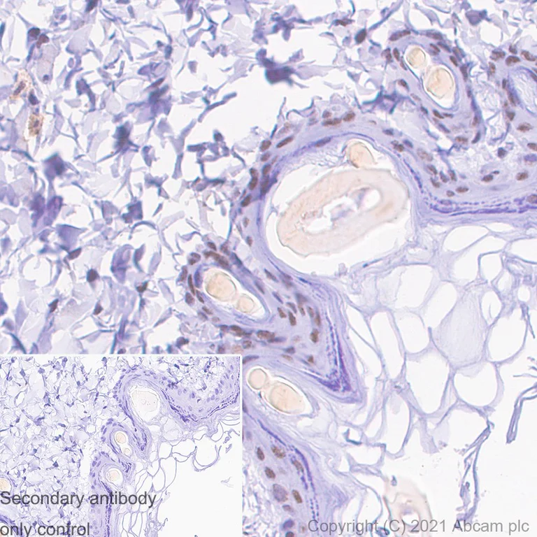
Immunohistochemistry - Anti-METTL3 antibody [EPR18810] (AB195352)

Immunohistochemical analysis of formalin fixed paraffin embedded human ovarian cancer labelling METTL3 with ab195352 at a concentration of 1.0µ/ml. The immunostaining was performed on a Ventana DISCOVERY ULTRA (Roche Tissue Diagnostics) instrument with a OptiView DAB IHC Detection Kit. Heat mediated antigen retrieval was performed with DISCOVERY cell conditioning solution (CC1) 100°C, pH8.5 for 32mins.

ab195352 anti-METTL3 antibody [EPR18810] was incubated for 16mins at 37°C. Sections were counterstained with Hematoxylin II. Image inset shows absence of staining in secondary antibody only control.

Customers are encouraged to optimise antigen retrieval conditions, antibody concentration, incubation times and temperature for best results in their own IHC assay workflow (automated and manual)

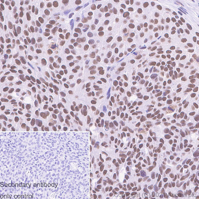
Immunohistochemistry (Formalin/PFA-fixed paraffin-embedded sections) - Anti-METTL3 antibody [EPR18810] (AB195352)
  • IHC-P

Lab

Immunohistochemistry (Formalin/PFA-fixed paraffin-embedded sections) - Anti-METTL3 antibody [EPR18810] (AB195352)

Immunohistochemical analysis of paraffin-embedded Human ovarian cancer tissue labeling METTL3 using ab195352 at 1/2000 dilution, followed by a Ready to use Rabbit specific IHC polymer detection kit HRP/DAB (ab209101). Counterstain : Hematoxylin. Nuclear staining on human ovarian cancer. The section was incubated with ab195352 for 30 mins at room temperature. The immunostaining was performed on a Leica Biosystems BOND® RX instrument

Perform Heat mediated antigen retrieval using Bond™ Epitope Retrieval Solution 2 (pH 9.0) for 20 minutes.

Inset image : negative control - secondary antibody only.

Flow Cytometry (Intracellular) - Anti-METTL3 antibody [EPR18810] (AB195352)
  • Flow Cyt (Intra)

Lab

Flow Cytometry (Intracellular) - Anti-METTL3 antibody [EPR18810] (AB195352)

ab195352 staining METTL3 in the human cell line HEK-293 (Human epithelial cell line from embryonic kidney) by intracellular flow cytometry. Cells were fixed with 4% paraformaldehyde and the sample was incubated with the primary antibody at a 1/70 dilution, followed by Goat-Anti Rabbit IgG (Alexa Fluor® 488) secondary antibodyat a1/2000 dilution.

Isoytype control : Rabbit monoclonal IgG (Black)

Unlabelled control : Cell without incubation with primary antibody and secondary antibody (Blue)

Immunocytochemistry/ Immunofluorescence - Anti-METTL3 antibody [EPR18810] (AB195352)
  • ICC/IF

Supplier Data

Immunocytochemistry/ Immunofluorescence - Anti-METTL3 antibody [EPR18810] (AB195352)

Immunofluorescent analysis of 4% paraformaldehyde-fixed, 0.1% Triton X-100 permeabilized HCT116 (Human colorectal carcinoma cell line) cells labeling METTL3 with ab195352 at 1/1000 dilution, followed by Goat Anti-Rabbit IgG H&L (Alexa Fluor® 488) (ab150077) secondary antibody at 1/1000 dilution (green). Confocal image showing nuclear staining on HCT116 cell line. The nuclear counter stain is DAPI (blue).

Tubulin is detected with anti-alpha Tubulin mouse mAb (ab7291) at 1/1000 dilution, followed by Goat Anti-Mouse IgG H&L (AlexaFluor®594) (ab150120) secondary antibody at 1/1000 dilution (red).
The negative controls are as follows :
1. ab195352 at 1/1000 dilution, followed by Goat Anti-Mouse IgG H&L (AlexaFluor®594) (ab150120) secondary antibody at 1/1000 dilution.
2. anti-alpha Tubulin mouse mAb (ab7291) at 1/1000 dilution, followed by Goat Anti-Rabbit IgG H&L (Alexa Fluor® 488) (ab150077) secondary antibody at 1/1000 dilution.

Immunocytochemistry/ Immunofluorescence - Anti-METTL3 antibody [EPR18810] (AB195352)
  • ICC/IF

Supplier Data

Immunocytochemistry/ Immunofluorescence - Anti-METTL3 antibody [EPR18810] (AB195352)

Immunofluorescent analysis of 4% paraformaldehyde-fixed, 0.1% Triton X-100 permeabilized HeLa (Human epithelial cells from cervix adenocarcinoma) cells labeling METTL3 with ab195352 at 1/1000 dilution, followed by Goat Anti-Rabbit IgG H&L (Alexa Fluor® 488) (ab150077) secondary antibody at 1/1000 dilution (green). Confocal image showing nuclear staining on HeLa cell line. The nuclear counter stain is DAPI (blue).

Tubulin is detected with Anti-alpha Tubulin mouse MAb (ab7291) at 1/1000 dilution and Goat Anti-Mouse IgG H&L (Alexa Fluor® 594) (ab150120) secondary antibody at 1/1000 dilution (red).
The negative controls are as follows :
1. ab195352 at 1/1000 dilution, followed by Goat Anti-Mouse IgG H&L (Alexa Fluor® 594) (ab150120) secondary antibody at 1/1000 dilution.
2. Anti-alpha Tubulin mouse MAb (ab7291) at 1/1000 dilution, followed by Goat Anti-Rabbit IgG H&L (Alexa Fluor® 488) (ab150077) secondary antibody at 1/1000 dilution.

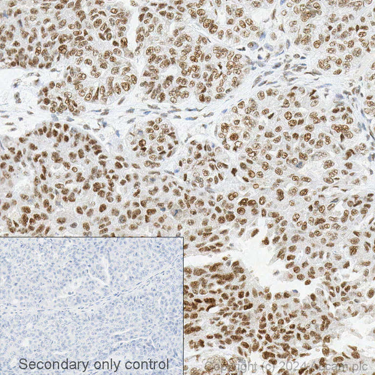
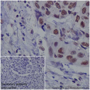
Immunohistochemistry (Formalin/PFA-fixed paraffin-embedded sections) - Anti-METTL3 antibody [EPR18810] (AB195352)
  • IHC-P

Supplier Data

Immunohistochemistry (Formalin/PFA-fixed paraffin-embedded sections) - Anti-METTL3 antibody [EPR18810] (AB195352)

Immunohistochemical analysis of paraffin-embedded human bladder cancer tissue labeling METTL3 using ab195352 at 1/500 dilution, followed by Goat Anti-Rabbit IgG H&L (HRP) (ab97051) secondary antibody at 1/500 dilution. Counterstain : Hematoxylin.
Inset image : negative control obtained using PBS instead of ab195352, and secondary antibody only.
Note : Nuclear staining on human bladder cancer was observed.

Perform heat mediated antigen retrieval with Tris/EDTA buffer pH 9.0 before commencing with IHC staining protocol.

Immunoprecipitation - Anti-METTL3 antibody [EPR18810] (AB195352)
  • IP

Supplier Data

Immunoprecipitation - Anti-METTL3 antibody [EPR18810] (AB195352)

METTL3 was immunoprecipitated from 1mg of HeLa (Human epithelial cells from cervix adenocarcinoma) whole cell lysate with ab195352 at 1/50 dilution. Western blot was performed from the immunoprecipitate using ab195352 at 1/1000 dilution. VeriBlot for IP Detection Reagent (HRP) (ab131366), was used for detection at 1/10000 dilution.

Lane 1 : Input : 10μg of HeLa whole cell lysate.
Lane 2 : HeLa whole cell lysate following IP with ab195352.
Lane 3 : Negative control : IP using Rabbit monoclonal IgG (ab172730) instead of ab195352 in HeLa whole cell lysates.
Blocking and dilution buffer and concentration : 5% NFDM/TBST. 1 second exposure.

All lanes:

Immunoprecipitation - Anti-METTL3 antibody [EPR18810] (ab195352)

Predicted band size: 64 kDa

Observed band size: 67 kDa

false

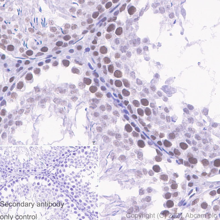
Immunohistochemistry (Formalin/PFA-fixed paraffin-embedded sections) - Anti-METTL3 antibody [EPR18810] (AB195352)
  • IHC-P

Supplier Data

Immunohistochemistry (Formalin/PFA-fixed paraffin-embedded sections) - Anti-METTL3 antibody [EPR18810] (AB195352)

Immunohistochemical analysis of paraffin-embedded rat testis tissue labeling METTL3 using ab195352 at 1/500 dilution, followed by Goat Anti-Rabbit IgG H&L (HRP) (ab97051) secondary antibody at 1/500 dilution. Counterstain : Hematoxylin.
Inset image : negative control obtained using PBS instead of ab195352, and secondary antibody only.
Note : Nuclear staining on rat testis was observed.

Perform heat mediated antigen retrieval with Tris/EDTA buffer pH 9.0 before commencing with IHC staining protocol.

Immunohistochemistry (Formalin/PFA-fixed paraffin-embedded sections) - Anti-METTL3 antibody [EPR18810] (AB195352)
  • IHC-P

Lab

Immunohistochemistry (Formalin/PFA-fixed paraffin-embedded sections) - Anti-METTL3 antibody [EPR18810] (AB195352)

Immunohistochemical analysis of paraffin-embedded mouse testis tissue labeling METTL3 using ab195352 at 1/500 dilution, followed by Goat Anti-Rabbit IgG H&L (HRP) (ab97051) secondary antibody at 1/500 dilution. Counterstain : Hematoxylin.
Inset image : negative control obtained using PBS instead of ab195352, and secondary antibody only.
Note : Nuclear staining on mouse testis was observed.

Perform heat mediated antigen retrieval with Tris/EDTA buffer pH 9.0 before commencing with IHC staining protocol.

Immunocytochemistry/ Immunofluorescence - Anti-METTL3 antibody [EPR18810] (AB195352)
  • ICC/IF

Lab

Immunocytochemistry/ Immunofluorescence - Anti-METTL3 antibody [EPR18810] (AB195352)

Immunofluorescent analysis of 4% paraformaldehyde-fixed, 0.1% Triton X-100 permeabilized NIH/3T3 (mouse embryonic fibroblast) cells labeling METTL3 with ab195352 at 1/200 dilution, followed by Goat Anti-Rabbit IgG H&L (Alexa Fluor® 488) (ab150081) secondary antibody at 1/1000 dilution (green). Confocal image showing nuclear staining in NIH/3T3 cells. The nuclear counter stain is DAPI (blue). Anti-alpha Tubulin mouse monoclonal antibody - Microtubule Marker (Alexa Fluor® 594) ab195889 was used at 1/200 dilution as the counterstain.

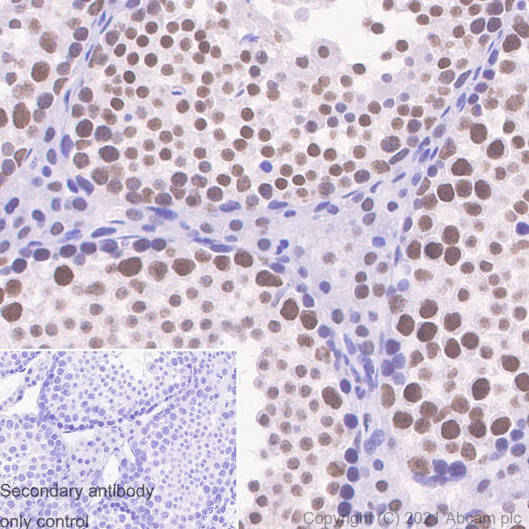
Immunohistochemistry (Formalin/PFA-fixed paraffin-embedded sections) - Anti-METTL3 antibody [EPR18810] (AB195352)
  • IHC-P

Lab

Immunohistochemistry (Formalin/PFA-fixed paraffin-embedded sections) - Anti-METTL3 antibody [EPR18810] (AB195352)

Immunohistochemical analysis of paraffin-embedded Rat testis tissue labeling METTL3 using ab195352 at 1/2000 dilution, followed by a Ready to use Rabbit specific IHC polymer detection kit HRP/DAB (ab209101). Counterstain : Hematoxylin. Nuclear staining on Rat testis. The section was incubated with ab195352 for 30 mins at room temperature. The immunostaining was performed on a Leica Biosystems BOND® RX instrument

Perform Heat mediated antigen retrieval using Bond™ Epitope Retrieval Solution 2 (pH 9.0) for 20 minutes.

Inset image : negative control - secondary antibody only.

Immunohistochemistry (Formalin/PFA-fixed paraffin-embedded sections) - Anti-METTL3 antibody [EPR18810] (AB195352)
  • IHC-P

Lab

Immunohistochemistry (Formalin/PFA-fixed paraffin-embedded sections) - Anti-METTL3 antibody [EPR18810] (AB195352)

Immunohistochemical analysis of paraffin-embedded Rat skin tissue labeling METTL3 using ab195352 at 1/2000 dilution, followed by a Ready to use Rabbit specific IHC polymer detection kit HRP/DAB (ab209101). Counterstain : Hematoxylin. Nuclear staining on Rat skin. The section was incubated with ab195352 for 30 mins at room temperature. The immunostaining was performed on a Leica Biosystems BOND® RX instrument

Perform Heat mediated antigen retrieval using Bond™ Epitope Retrieval Solution 2 (pH 9.0) for 20 minutes.

Inset image : negative control - secondary antibody only.

Immunohistochemistry (Formalin/PFA-fixed paraffin-embedded sections) - Anti-METTL3 antibody [EPR18810] (AB195352)
  • IHC-P

Lab

Immunohistochemistry (Formalin/PFA-fixed paraffin-embedded sections) - Anti-METTL3 antibody [EPR18810] (AB195352)

Immunohistochemical analysis of paraffin-embedded Mouse testis tissue labeling METTL3 using ab195352 at 1/2000 dilution, followed by a Ready to use Rabbit specific IHC polymer detection kit HRP/DAB (ab209101). Counterstain : Hematoxylin. Nuclear staining on Mouse testis. The section was incubated with ab195352 for 30 mins at room temperature. The immunostaining was performed on a Leica Biosystems BOND® RX instrument

Perform Heat mediated antigen retrieval using Bond™ Epitope Retrieval Solution 2 (pH 9.0) for 20 minutes.

Inset image : negative control - secondary antibody only.

Immunohistochemistry (Formalin/PFA-fixed paraffin-embedded sections) - Anti-METTL3 antibody [EPR18810] (AB195352)
  • IHC-P

Lab

Immunohistochemistry (Formalin/PFA-fixed paraffin-embedded sections) - Anti-METTL3 antibody [EPR18810] (AB195352)

Immunohistochemical analysis of paraffin-embedded Mouse skin labeling METTL3 using ab195352 at 1/2000 dilution, followed by a Ready to use Rabbit specific IHC polymer detection kit HRP/DAB (ab209101). Counterstain : Hematoxylin. Nuclear staining on Mouse skin. The section was incubated with ab195352 for 30 mins at room temperature. The immunostaining was performed on a Leica Biosystems BOND® RX instrument

Perform Heat mediated antigen retrieval using Bond™ Epitope Retrieval Solution 2 (pH 9.0) for 20 minutes.

Inset image : negative control - secondary antibody only.

Western blot - Anti-METTL3 antibody [EPR18810] (AB195352)
  • WB

Supplier Data

Western blot - Anti-METTL3 antibody [EPR18810] (AB195352)

5% NFDM/TBST : Blocking and diluting buffer.

All lanes:

Western blot - Anti-METTL3 antibody [EPR18810] (ab195352) at 1/5000 dilution

Lane 1:

Raji (Human Burkitt's lymphoma cell line) whole cell lysate at 20 µg

Lane 2:

HeLa (Human epithelial cells from cervix adenocarcinoma) whole cell lysate at 20 µg

Lane 3:

HEK-293 (Human epithelial cells from embryonic kidney) whole cell lysate at 20 µg

Lane 4:

Jurkat (Human T cell leukemia cells from peripheral blood) whole cell lysate at 20 µg

Lane 5:

NCCIT (human pluripotent embryonal carcinoma) whole cell lysate at 20 µg

Lane 6:

F9 (Mouse embyro testicular cancer cell line) whole cell lysate at 20 µg

Lane 7:

Neuro-2a (Mouse neuroblastoma cells) whole cell lysate at 20 µg

Lane 8:

LLC1 (Mouse lung carcinoma) whole cell lysate at 20 µg

Secondary

All lanes:

Western blot - Goat Anti-Rabbit IgG H&L (HRP) (<a href='/en-us/products/secondary-antibodies/goat-rabbit-igg-h-l-hrp-ab97051'>ab97051</a>) at 1/100000 dilution

Predicted band size: 64 kDa

Observed band size: 64 kDa

false

Exposure time: 10s

Western blot - Anti-METTL3 antibody [EPR18810] (AB195352)
  • WB

Supplier Data

Western blot - Anti-METTL3 antibody [EPR18810] (AB195352)

5% NFDM/TBST : Blocking and diluting buffer.

All lanes:

Western blot - Anti-METTL3 antibody [EPR18810] (ab195352) at 1/5000 dilution

All lanes:

Human thymus lysate at 10 µg

Secondary

All lanes:

Anti-Rabbit IgG (HRP), specific to the non-reduced form of IgG at 1/10000 dilution

Predicted band size: 64 kDa

Observed band size: 64 kDa

false

Exposure time: 3min

Western blot - Anti-METTL3 antibody [EPR18810] (AB195352)
  • WB

Supplier Data

Western blot - Anti-METTL3 antibody [EPR18810] (AB195352)

5% NFDM/TBST : Blocking and diluting buffer.

All lanes:

Western blot - Anti-METTL3 antibody [EPR18810] (ab195352) at 1/1000 dilution

Lane 1:

C6 (Rat glial tumor cells) whole cell lysate at 10 µg

Lane 2:

RAW 264.7 (Mouse macrophage cells transformed with Abelson murine leukemia virus) whole cell lysate at 10 µg

Lane 3:

PC-12 (Rat adrenal gland pheochromocytoma) whole cell lysate at 10 µg

Lane 4:

NIH/3T3 (Mouse embyro fibroblast cells) whole cell lysate at 10 µg

Secondary

All lanes:

Anti-Rabbit IgG (HRP), specific to the non-reduced form of IgG at 1/100000 dilution

Predicted band size: 64 kDa

Observed band size: 64 kDa

false

Exposure time: 2s

Western blot - Anti-METTL3 antibody [EPR18810] (AB195352)
  • WB

AbReview57122****

Western blot - Anti-METTL3 antibody [EPR18810] (AB195352)

Blocking step : 5% Milk for 30 minutes at 25oC.

All lanes:

Western blot - Anti-METTL3 antibody [EPR18810] (ab195352) at 1/1000 dilution

Lane 1:

Mouse embryonic stem cells at 15 µg

Lane 2:

Mouse embryonic stem cells (METTL3 Knock-out) at 15 µg

Secondary

All lanes:

Goat anti-Rabbit Polyclonal at 1/10000 dilution

Predicted band size: 64 kDa

false

Exposure time: 5min

This image is courtesy of an Abreview by Pedro Batista.

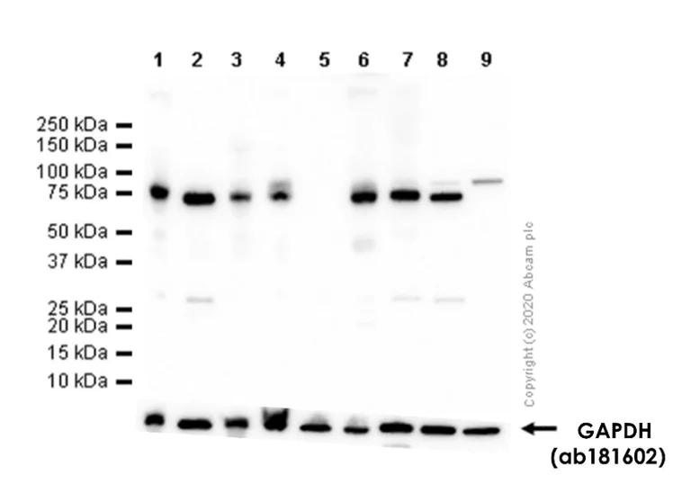
Western blot - Anti-METTL3 antibody [EPR18810] (AB195352)
  • WB

Supplier Data

Western blot - Anti-METTL3 antibody [EPR18810] (AB195352)

In Western blot, Anti-GAPDH antibody [EPR16891] - Loading Control (ab181602) staining.

All lanes:

Western blot - Anti-METTL3 antibody [EPR18810] (ab195352) at 1/1000 dilution

Lane 1:

Mouse brain lysate prepared in 1%SDS Hot lysis method at 20 µg

Lane 2:

Mouse brain lysate prepared in RIPA lysis method at 20 mg/mL

Lane 3:

Mouse heart lysate prepared in 1%SDS Hot lysis method at 20 µg

Lane 4:

Mouse heart lysate prepared in RIPA lysis method at 20 mg/mL

Lane 5:

Mouse kidney lysate prepared in RIPA lysis method at 20 µg

Lanes 6 - 7:

Mouse spleen lysate prepared in spleen lysis method at 20 µg

Lane 8:

Rat brain lysate prepared in RIPA lysis method at 20 µg

Lane 9:

Rat kidney lysate prepared in RIPA lysis method at 20 µg

Secondary

All lanes:

Western blot - Goat Anti-Rabbit IgG H&L (HRP) (<a href='/en-us/products/secondary-antibodies/goat-rabbit-igg-h-l-hrp-ab97051'>ab97051</a>) at 1/20000 dilution

Predicted band size: 64 kDa

Observed band size: 64 kDa

false

Key facts

Host species

Rabbit

Clonality

Monoclonal

Clone number

EPR18810

Isotype

IgG

Carrier free

No

Reacts with

Mouse, Rat, Human

Applications

WB, IP, IHC-P, ICC/IF, Flow Cyt (Intra)

applications

Immunogen

The exact immunogen used to generate this antibody is proprietary information.

Reactivity data

{ "title": "Reactivity Data", "filters": { "stats": ["", "Species", "Dilution Info", "Notes"], "tabs": { "all-applications": {"fullname" : "All Applications", "shortname": "All Applications"}, "IP" : {"fullname" : "Immunoprecipitation", "shortname":"IP"}, "WB" : {"fullname" : "Western blot", "shortname":"WB"}, "ICCIF" : {"fullname" : "Immunocytochemistry/ Immunofluorescence", "shortname":"ICC/IF"}, "FlowCytIntra" : {"fullname" : "Flow Cytometry (Intracellular)", "shortname":"Flow Cyt (Intra)"}, "IHCP" : {"fullname" : "Immunohistochemistry (Formalin/PFA-fixed paraffin-embedded sections)", "shortname":"IHC-P"} }, "product-promise": { "all": "all", "testedAndGuaranteed": "tested", "guaranteed": "expected", "predicted": "predicted", "notRecommended": "not-recommended" } }, "values": { "Human": { "IP-species-checked": "testedAndGuaranteed", "IP-species-dilution-info": "1/50", "IP-species-notes": "<p></p>", "WB-species-checked": "testedAndGuaranteed", "WB-species-dilution-info": "1/1000", "WB-species-notes": "<p>Milk recommended as blocking agent.</p>", "ICCIF-species-checked": "testedAndGuaranteed", "ICCIF-species-dilution-info": "1/1000", "ICCIF-species-notes": "<p></p>", "FlowCytIntra-species-checked": "testedAndGuaranteed", "FlowCytIntra-species-dilution-info": "", "FlowCytIntra-species-notes": "<p><a href='/en-us/products/primary-antibodies/rabbit-igg-monoclonal-epr25a-isotype-control-ab172730'>ab172730</a> - Rabbit monoclonal IgG, is suitable for use as an isotype control with this antibody.</p>", "IHCP-species-checked": "testedAndGuaranteed", "IHCP-species-dilution-info": "1/500", "IHCP-species-notes": "<p></p> Perform heat-mediated antigen retrieval with Tris/EDTA buffer pH 9.0 before commencing with IHC staining protocol." }, "Mouse": { "IP-species-checked": "guaranteed", "IP-species-dilution-info": "", "IP-species-notes": "", "WB-species-checked": "testedAndGuaranteed", "WB-species-dilution-info": "1/1000", "WB-species-notes": "<p>Milk recommended as blocking agent.</p>", "ICCIF-species-checked": "guaranteed", "ICCIF-species-dilution-info": "", "ICCIF-species-notes": "", "FlowCytIntra-species-checked": "guaranteed", "FlowCytIntra-species-dilution-info": "", "FlowCytIntra-species-notes": "", "IHCP-species-checked": "testedAndGuaranteed", "IHCP-species-dilution-info": "1/500", "IHCP-species-notes": "<p></p> Perform heat-mediated antigen retrieval with Tris/EDTA buffer pH 9.0 before commencing with IHC staining protocol." }, "Rat": { "IP-species-checked": "guaranteed", "IP-species-dilution-info": "", "IP-species-notes": "", "WB-species-checked": "testedAndGuaranteed", "WB-species-dilution-info": "1/1000", "WB-species-notes": "<p>Milk recommended as blocking agent.</p>", "ICCIF-species-checked": "guaranteed", "ICCIF-species-dilution-info": "", "ICCIF-species-notes": "", "FlowCytIntra-species-checked": "guaranteed", "FlowCytIntra-species-dilution-info": "", "FlowCytIntra-species-notes": "", "IHCP-species-checked": "testedAndGuaranteed", "IHCP-species-dilution-info": "1/500", "IHCP-species-notes": "<p></p> Perform heat-mediated antigen retrieval with Tris/EDTA buffer pH 9.0 before commencing with IHC staining protocol." }, "Cat": { "IP-species-checked": "predicted", "IP-species-dilution-info": "", "IP-species-notes": "", "WB-species-checked": "predicted", "WB-species-dilution-info": "", "WB-species-notes": "", "ICCIF-species-checked": "predicted", "ICCIF-species-dilution-info": "", "ICCIF-species-notes": "", "FlowCytIntra-species-checked": "predicted", "FlowCytIntra-species-dilution-info": "", "FlowCytIntra-species-notes": "", "IHCP-species-checked": "predicted", "IHCP-species-dilution-info": "", "IHCP-species-notes": "" }, "Cow": { "IP-species-checked": "predicted", "IP-species-dilution-info": "", "IP-species-notes": "", "WB-species-checked": "predicted", "WB-species-dilution-info": "", "WB-species-notes": "", "ICCIF-species-checked": "predicted", "ICCIF-species-dilution-info": "", "ICCIF-species-notes": "", "FlowCytIntra-species-checked": "predicted", "FlowCytIntra-species-dilution-info": "", "FlowCytIntra-species-notes": "", "IHCP-species-checked": "predicted", "IHCP-species-dilution-info": "", "IHCP-species-notes": "" }, "Dog": { "IP-species-checked": "predicted", "IP-species-dilution-info": "", "IP-species-notes": "", "WB-species-checked": "predicted", "WB-species-dilution-info": "", "WB-species-notes": "", "ICCIF-species-checked": "predicted", "ICCIF-species-dilution-info": "", "ICCIF-species-notes": "", "FlowCytIntra-species-checked": "predicted", "FlowCytIntra-species-dilution-info": "", "FlowCytIntra-species-notes": "", "IHCP-species-checked": "predicted", "IHCP-species-dilution-info": "", "IHCP-species-notes": "" }, "Goat": { "IP-species-checked": "predicted", "IP-species-dilution-info": "", "IP-species-notes": "", "WB-species-checked": "predicted", "WB-species-dilution-info": "", "WB-species-notes": "", "ICCIF-species-checked": "predicted", "ICCIF-species-dilution-info": "", "ICCIF-species-notes": "", "FlowCytIntra-species-checked": "predicted", "FlowCytIntra-species-dilution-info": "", "FlowCytIntra-species-notes": "", "IHCP-species-checked": "predicted", "IHCP-species-dilution-info": "", "IHCP-species-notes": "" }, "Guinea pig": { "IP-species-checked": "predicted", "IP-species-dilution-info": "", "IP-species-notes": "", "WB-species-checked": "predicted", "WB-species-dilution-info": "", "WB-species-notes": "", "ICCIF-species-checked": "predicted", "ICCIF-species-dilution-info": "", "ICCIF-species-notes": "", "FlowCytIntra-species-checked": "predicted", "FlowCytIntra-species-dilution-info": "", "FlowCytIntra-species-notes": "", "IHCP-species-checked": "predicted", "IHCP-species-dilution-info": "", "IHCP-species-notes": "" }, "Horse": { "IP-species-checked": "predicted", "IP-species-dilution-info": "", "IP-species-notes": "", "WB-species-checked": "predicted", "WB-species-dilution-info": "", "WB-species-notes": "", "ICCIF-species-checked": "predicted", "ICCIF-species-dilution-info": "", "ICCIF-species-notes": "", "FlowCytIntra-species-checked": "predicted", "FlowCytIntra-species-dilution-info": "", "FlowCytIntra-species-notes": "", "IHCP-species-checked": "predicted", "IHCP-species-dilution-info": "", "IHCP-species-notes": "" }, "Pig": { "IP-species-checked": "predicted", "IP-species-dilution-info": "", "IP-species-notes": "", "WB-species-checked": "predicted", "WB-species-dilution-info": "", "WB-species-notes": "", "ICCIF-species-checked": "predicted", "ICCIF-species-dilution-info": "", "ICCIF-species-notes": "", "FlowCytIntra-species-checked": "predicted", "FlowCytIntra-species-dilution-info": "", "FlowCytIntra-species-notes": "", "IHCP-species-checked": "predicted", "IHCP-species-dilution-info": "", "IHCP-species-notes": "" }, "Primates": { "IP-species-checked": "predicted", "IP-species-dilution-info": "", "IP-species-notes": "", "WB-species-checked": "predicted", "WB-species-dilution-info": "", "WB-species-notes": "", "ICCIF-species-checked": "predicted", "ICCIF-species-dilution-info": "", "ICCIF-species-notes": "", "FlowCytIntra-species-checked": "predicted", "FlowCytIntra-species-dilution-info": "", "FlowCytIntra-species-notes": "", "IHCP-species-checked": "predicted", "IHCP-species-dilution-info": "", "IHCP-species-notes": "" }, "Sheep": { "IP-species-checked": "predicted", "IP-species-dilution-info": "", "IP-species-notes": "", "WB-species-checked": "predicted", "WB-species-dilution-info": "", "WB-species-notes": "", "ICCIF-species-checked": "predicted", "ICCIF-species-dilution-info": "", "ICCIF-species-notes": "", "FlowCytIntra-species-checked": "predicted", "FlowCytIntra-species-dilution-info": "", "FlowCytIntra-species-notes": "", "IHCP-species-checked": "predicted", "IHCP-species-dilution-info": "", "IHCP-species-notes": "" } } }

Product details

Anti-METTL3 antibody [EPR18810] (ab195352) was developed by Abcam using patented rabbit monoclonal antibody technology and is validated for use in Flow Cyt (Intra), ICC/IF, IHC-P, IP and WB.

Anti-METTL3 antibody [EPR18810] (ab195352) was first used in a scientific publication in 2016 and has been cited over 293 times in peer reviewed journals. It's performance in Western Blot and IHC in human and mouse samples is trusted by the scientific community.

Abcam's high quality manufacturing and validation processes ensure Anti-METTL3 antibody [EPR18810] (ab195352) has high sensitivity and specificity alongside high lot-to-lot consistency and reproducibility.

The specificity of Anti-METTL3 antibody [EPR18810] (ab195352) has been confirmed by Western Blot testing in METTL3 knockout Mouse embryonic stem cells cells.

Anti-METTL3 antibody [EPR18810] (ab195352) has 8 independent reviews from customers.

Anti-METTL3 antibody [EPR18810] (ab195352) specifically detects METTL3 (UniProt ID: Q86U44; Molecular weight: 65kDa) and is sold in 100 µL and 1 mL selling sizes.

Conjugation-ready, carrier free format available for antibody clone EPR18810 - ab221795.

Antibody clone EPR18810 is also available pre-conjugated to a variety of labels for your convenience - Alexa Fluor® 488, Alexa Fluor® 647 (ab216936, ab217109).

Highly-cited antibody with >400 citations. A highly specific KO validated METTL3 antibody, essential for studying RNA methylation and mRNA splicing. This antibody is crucial in epigenetic regulation research, particularly in understanding METTL3's role in gene expression and cancer progression. It is widely used in studies of METTL3 inhibitors and the METTL3-METTL14 complex. Elevated METTL3 expression is linked to cancer progression, particularly in lung adenocarcinoma, while WTAP overexpression is associated with increased cell migration and invasion in various cancers.

Patented technology
Our RabMAb® technology is a patented hybridoma-based technology for making rabbit monoclonal antibodies. For details on our patents, please refer to RabMAb® patents.

What are the advantages of a recombinant monoclonal antibody?
This product is a recombinant monoclonal antibody, which offers several advantages including:

  • - High batch-to-batch consistency and reproducibility
  • - Improved sensitivity and specificity
  • - Long-term security of supply
  • - Animal-free batch production

For more information, read more on recombinant antibodies.

Properties and storage information

Form
Liquid
Purification technique
Affinity purification Protein A
Storage buffer
pH: 7.2 - 7.4 Preservative: 0.01% Sodium azide Constituents: PBS, 40% Glycerol (glycerin, glycerine), 0.05% BSA
Shipped at conditions
Blue Ice
Appropriate short-term storage duration
1-2 weeks
Appropriate short-term storage conditions
+4°C
Appropriate long-term storage conditions
-20°C
Aliquoting information
Upon delivery aliquot
Storage information
Avoid freeze / thaw cycle

Supplementary information

This supplementary information is collated from multiple sources and compiled automatically.

The METTL3 protein also known as methyltransferase like 3 plays an important role in the modification of RNA. It is a component of the N6-adenosine-methyltransferase complex and is responsible for introducing the m6A mark on RNA. The molecular weight of METTL3 is approximately 70 kDa. This protein shows high expression in the human central nervous system and various cancer tissues indicating its broad significance.
Biological function summary

METTL3 contributes to the post-transcriptional regulation of gene expression by modulating m6A methylation. It functions as part of a complex with METTL14 and Wilms' tumor 1-associating protein (WTAP) to execute this modification. The m6A mark influences RNA stability splicing export and translation affecting cellular processes significantly.

Pathways

METTL3 operates within critical pathways such as the mRNA stability and processing pathway. In these pathways METTL3 interacts with proteins like METTL14 and YTH domain-containing proteins which are important for m6A reader function. Together they regulate RNA processing events that influence cellular function and adaptation.

METTL3 associates strongly with cancer development and neurological disorders. In cancers alterations in METTL3 expression affect tumor progression and metastasis impacting oncogenes like MYC. In the realm of neurological disorders METTL3's role in m6A modification affects RNA regulation aligning it with proteins like FTO which also participate in m6A demethylation processes. Understanding these connections highlights METTL3 as a potential target for therapeutic interventions.

Product protocols

For this product, it's our understanding that no specific protocols are required. You can visit:

Target data

The METTL3-METTL14 heterodimer forms a N6-methyltransferase complex that methylates adenosine residues at the N(6) position of some RNAs and regulates various processes such as the circadian clock, differentiation of embryonic and hematopoietic stem cells, cortical neurogenesis, response to DNA damage, differentiation of T-cells and primary miRNA processing (PubMed : 22575960, PubMed : 24284625, PubMed : 25719671, PubMed : 25799998, PubMed : 26321680, PubMed : 26593424, PubMed : 27281194, PubMed : 27373337, PubMed : 27627798, PubMed : 28297716, PubMed : 29348140, PubMed : 29506078, PubMed : 30428350, PubMed : 9409616). In the heterodimer formed with METTL14, METTL3 constitutes the catalytic core (PubMed : 27281194, PubMed : 27373337, PubMed : 27627798). N6-methyladenosine (m6A), which takes place at the 5'-[AG]GAC-3' consensus sites of some mRNAs, plays a role in mRNA stability, processing, translation efficiency and editing (PubMed : 22575960, PubMed : 24284625, PubMed : 25719671, PubMed : 25799998, PubMed : 26321680, PubMed : 26593424, PubMed : 28297716, PubMed : 9409616). M6A acts as a key regulator of mRNA stability : methylation is completed upon the release of mRNA into the nucleoplasm and promotes mRNA destabilization and degradation (PubMed : 28637692). In embryonic stem cells (ESCs), m6A methylation of mRNAs encoding key naive pluripotency-promoting transcripts results in transcript destabilization, promoting differentiation of ESCs (By similarity). M6A regulates the length of the circadian clock : acts as an early pace-setter in the circadian loop by putting mRNA production on a fast-track for facilitating nuclear processing, thereby providing an early point of control in setting the dynamics of the feedback loop (By similarity). M6A also regulates circadian regulation of hepatic lipid metabolism (PubMed : 30428350). M6A regulates spermatogonial differentiation and meiosis and is essential for male fertility and spermatogenesis (By similarity). Also required for oogenesis (By similarity). Involved in the response to DNA damage : in response to ultraviolet irradiation, METTL3 rapidly catalyzes the formation of m6A on poly(A) transcripts at DNA damage sites, leading to the recruitment of POLK to DNA damage sites (PubMed : 28297716). M6A is also required for T-cell homeostasis and differentiation : m6A methylation of transcripts of SOCS family members (SOCS1, SOCS3 and CISH) in naive T-cells promotes mRNA destabilization and degradation, promoting T-cell differentiation (By similarity). Inhibits the type I interferon response by mediating m6A methylation of IFNB (PubMed : 30559377). M6A also takes place in other RNA molecules, such as primary miRNA (pri-miRNAs) (PubMed : 25799998). Mediates m6A methylation of Xist RNA, thereby participating in random X inactivation : m6A methylation of Xist leads to target YTHDC1 reader on Xist and promote transcription repression activity of Xist (PubMed : 27602518). M6A also regulates cortical neurogenesis : m6A methylation of transcripts related to transcription factors, neural stem cells, the cell cycle and neuronal differentiation during brain development promotes their destabilization and decay, promoting differentiation of radial glial cells (By similarity). METTL3 mediates methylation of pri-miRNAs, marking them for recognition and processing by DGCR8 (PubMed : 25799998). Acts as a positive regulator of mRNA translation independently of the methyltransferase activity : promotes translation by interacting with the translation initiation machinery in the cytoplasm (PubMed : 27117702). Its overexpression in a number of cancer cells suggests that it may participate in cancer cell proliferation by promoting mRNA translation (PubMed : 27117702). During human coronavirus SARS-CoV-2 infection, adds m6A modifications in SARS-CoV-2 RNA leading to decreased RIGI binding and subsequently dampening the sensing and activation of innate immune responses (PubMed : 33961823).
See full target information METTL3

Publications (488)

Recent publications for all applications. Explore the full list and refine your search

Cellular & molecular biology letters 30:109 PubMed41039223

2025

RSL3 promotes PARP1 apoptotic functions by distinct mechanisms during ferroptosis.

Applications

Unspecified application

Species

Unspecified reactive species

Dejian Chen,Fei Xie,Yimei Mo,Dan Qin,Binjiao Zheng,Lingyan Chen

The journal of headache and pain 26:197 PubMed41039196

2025

Inhibition of the METTL3/mA/miR-34a-5p axis suppresses trigeminovascular activation in nitroglycerin-induced migraine via the Wnt/β-catenin pathway.

Applications

Unspecified application

Species

Unspecified reactive species

Hui Zhang,Minming Shao,Feng Zhang,Caiyan He,Jiabi Li,Shengdong He

Nature structural & molecular biology 32:2242-2251 PubMed40926104

2025

mA and the NEXT complex direct Xist RNA turnover and X-inactivation dynamics.

Applications

Unspecified application

Species

Unspecified reactive species

Guifeng Wei,Heather Coker,Lisa Rodermund,Mafalda Almeida,Holly L Roach,Tatyana B Nesterova,Neil Brockdorff

Cell death discovery 11:417 PubMed40883266

2025

METTL3-mediated m6A modification of circCDKAL1 regulates macrophage M1 polarization and nasal epithelial cell barrier function in allergic rhinitis through IGF2BP2/JARID2/HMGB1 axis.

Applications

Unspecified application

Species

Unspecified reactive species

Jiabin Zhan,Dan Luo,Yunlong Fu,Yu Zhou,Rui Li,Xin Wei

Biomolecules 15: PubMed40867632

2025

Apelin-13-Mediated Upregulation of METTL3 Ameliorates Alzheimer's Disease via Inhibiting Neuroinflammation Through m6A-Dependent Regulation of lncRNA BDNF-AS.

Applications

Unspecified application

Species

Unspecified reactive species

Li Han,Siwen Wei,Rong Wang,Yiran Liu,Yi Zhong,Juan Fu,Huaiqing Luo,Meihua Bao

Cell death discovery 11:397 PubMed40846737

2025

WTAP participates in the DNA damage response via an mA-FOXM1-dependent manner in hepatocellular carcinoma.

Applications

Unspecified application

Species

Unspecified reactive species

Nan Huang,Zhixuan Bian,Chang Xu,Yue Zhang,Li Liu,Zhongqi Cui,Shasha Zhao,Qiangyuan Fan,Shaobo Xue,Yan Chen,Qiuhui Pan,Fenyong Sun

Cell death & disease 16:625 PubMed40825934

2025

Unraveling the Role of METTL3 in Helicobacter pylori-induced gastritis via m6A-CXCL1/NF-κB modulation.

Applications

Unspecified application

Species

Unspecified reactive species

Qiutong Lu,Zhaopeng Wang,Shuixian Cao,Huan Wang,Nianshuang Li,Yi Hu,Wuhui Ding,Wei Zuo,Junbo Hong

Annals of medicine 57:2546670 PubMed40798940

2025

METTL3-mediated mA modification promotes intervertebral disc degeneration.

Applications

Unspecified application

Species

Unspecified reactive species

Qinghua Yang,Feihong Huang,Congyang Wang,Xiao Liang,Longao Huang,Hongyuan Xu,Jianwei Liu,Qingjun Wei,Hua Jiang

Open medicine (Warsaw, Poland) 20:20251191 PubMed40727611

2025

METTL3 blocked the progression of diabetic retinopathy through m6A-modified SOX2.

Applications

Unspecified application

Species

Unspecified reactive species

Xiujuan Chen,Qipeng Ling,Jie Xu,Yunyao Ye,Lili Dong

Journal of cell communication and signaling 19:e70037 PubMed40717692

2025

Cancer-associated fibroblasts-secreted lactate promotes RNA polymerase III subunit G-mediated epithelial-mesenchymal transition in non-small cell lung cancer by increasing m6A modification of zinc finger protein 384.

Applications

Unspecified application

Species

Unspecified reactive species

Ping Li,Xing Yang,Hao Tang,Zhiping Zhou,Bin Liu
View all publications

Product promise

We are committed to supporting your work with high-quality reagents, and we're here for you every step of the way. In the unlikely event that one of our products does not perform as expected, you're protected by our Product Promise.
For full details, please see our Terms & Conditions

Please note: All products are 'FOR RESEARCH USE ONLY. NOT FOR USE IN DIAGNOSTIC OR THERAPEUTIC PROCEDURES'.

For licensing inquiries, please contact partnerships@abcam.com