JavaScript is disabled in your browser. Please enable JavaScript to view this website.
AB110134

Anti-METTL7B antibody

Be the first to review this product! Submit a review

|

(3 Publications)

Rabbit Polyclonal METTL7B antibody. Suitable for ELISA, WB, IHC-P and reacts with Rat, Human samples. Cited in 3 publications. Immunogen corresponding to Synthetic Peptide within Human TMT1B.

View Alternative Names

METTL7B, UNQ594/PRO1180, TMT1B, Thiol S-methyltransferase TMT1B, Methyltransferase-like protein 7B, Thiol S-methyltransferase METTL7B

3 Images
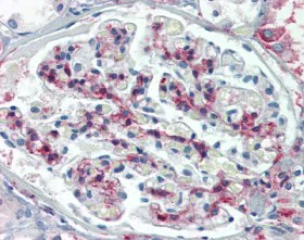
Immunohistochemistry (Formalin/PFA-fixed paraffin-embedded sections) - Anti-METTL7B antibody (AB110134)
  • IHC-P

Unknown

Immunohistochemistry (Formalin/PFA-fixed paraffin-embedded sections) - Anti-METTL7B antibody (AB110134)

ab110134 at 10 μg/ml staining METTL7B in Formalin-Fixed, Paraffin-Embedded Human Kidney tissue by Immunohistochemistry.

Immunohistochemistry (Formalin/PFA-fixed paraffin-embedded sections) - Anti-METTL7B antibody (AB110134)
  • IHC-P

Unknown

Immunohistochemistry (Formalin/PFA-fixed paraffin-embedded sections) - Anti-METTL7B antibody (AB110134)

ab110134 at 10 μg/ml staining METTL7B in Formalin-Fixed, Paraffin-Embedded Human Colon tissue by Immunohistochemistry.

Western blot - Anti-METTL7B antibody (AB110134)
  • WB

Unknown

Western blot - Anti-METTL7B antibody (AB110134)

Lane 1:

Western blot - Anti-METTL7B antibody (ab110134) at 2 µg/mL

Lane 2:

Western blot - Anti-METTL7B antibody (ab110134) at 4 µg/mL

All lanes:

Rat spleen tissue lysate

Predicted band size: 28 kDa

false

Key facts

Host species

Rabbit

Clonality

Polyclonal

Isotype

IgG

Carrier free

No

Reacts with

Rat, Human

Applications

IHC-P, ELISA, WB

applications

Immunogen

Synthetic Peptide within Human TMT1B. The exact immunogen used to generate this antibody is proprietary information.

Q6UX53

Reactivity data

{ "title": "Reactivity Data", "filters": { "stats": ["", "Species", "Dilution Info", "Notes"], "tabs": { "all-applications": {"fullname" : "All Applications", "shortname": "All Applications"}, "ELISA" : {"fullname" : "ELISA", "shortname":"ELISA"}, "WB" : {"fullname" : "Western blot", "shortname":"WB"}, "IHCP" : {"fullname" : "Immunohistochemistry (Formalin/PFA-fixed paraffin-embedded sections)", "shortname":"IHC-P"} }, "product-promise": { "all": "all", "testedAndGuaranteed": "tested", "guaranteed": "expected", "predicted": "predicted", "notRecommended": "not-recommended" } }, "values": { "Human": { "ELISA-species-checked": "guaranteed", "ELISA-species-dilution-info": "", "ELISA-species-notes": "<p></p>", "WB-species-checked": "guaranteed", "WB-species-dilution-info": "", "WB-species-notes": "", "IHCP-species-checked": "testedAndGuaranteed", "IHCP-species-dilution-info": "10 µg/mL", "IHCP-species-notes": "<p></p>" }, "Mouse": { "ELISA-species-checked": "predicted", "ELISA-species-dilution-info": "", "ELISA-species-notes": "", "WB-species-checked": "predicted", "WB-species-dilution-info": "", "WB-species-notes": "", "IHCP-species-checked": "predicted", "IHCP-species-dilution-info": "", "IHCP-species-notes": "" }, "Rat": { "ELISA-species-checked": "guaranteed", "ELISA-species-dilution-info": "", "ELISA-species-notes": "<p></p>", "WB-species-checked": "testedAndGuaranteed", "WB-species-dilution-info": "2-4 µg/mL", "WB-species-notes": "<p></p>", "IHCP-species-checked": "guaranteed", "IHCP-species-dilution-info": "", "IHCP-species-notes": "" } } }

Properties and storage information

Form
Liquid
Purification technique
Affinity purification Protein A
Storage buffer
pH: 7.4 Preservative: 0.02% Sodium azide Constituents: PBS
Shipped at conditions
Blue Ice
Appropriate short-term storage duration
1-2 weeks
Appropriate short-term storage conditions
+4°C
Appropriate long-term storage conditions
-20°C
Aliquoting information
Upon delivery aliquot
Storage information
Avoid freeze / thaw cycle

Supplementary information

This supplementary information is collated from multiple sources and compiled automatically.

METTL7B also known as Methyltransferase-like protein 7B is an enzyme encoded by the METTL7B gene. Mechanically it functions as a putative S-adenosylmethionine-dependent methyltransferase. It has a mass of approximately 23 kDa. This protein is expressed in various tissues with higher expression levels in the lung liver and adipose tissue. The presence of METTL7B in these tissues suggests its roles in multiple physiological processes.
Biological function summary

METTL7B plays a role in lipid metabolism contributing to the biosynthesis and processing of complex lipids. It could be involved in cellular responses to metabolic stresses. METTL7B has not been identified as part of any larger protein complexes but may interact with other proteins involved in lipid metabolic pathways. Its expression levels can influence the metabolic flexibility of cells impacting lipid homeostasis.

Pathways

METTL7B integrates into lipid and energy metabolism. It potentially interacts with the phosphatidylinositol signaling system a pathway important for regulating cellular processes including growth and metabolism. The protein may also relate to key regulatory proteins such as insulin receptor substrates which play roles in metabolic signaling pathways that govern energy homeostasis within cells.

METTL7B has associations with metabolic syndrome and non-alcoholic fatty liver disease (NAFLD). The dysfunction in its methyltransferase activity could impact lipid accumulation and metabolic regulation contributing to these conditions. Additionally its interaction with metabolic regulators like AMP-activated protein kinase (AMPK) highlights its importance in disease mechanisms where lipid and energy imbalances are involved.

Product protocols

For this product, it's our understanding that no specific protocols are required. You can visit:

Target data

Thiol S-methyltransferase that catalyzes the transfer of a methyl group from S-adenosyl-L-methionine to alkyl and phenolic thiol-containing acceptor substrates. Together with TMT1B accounts for most of S-thiol methylation activity in the endoplasmic reticulum of hepatocytes. Selectively methylates S-centered nucleophiles from metabolites such as hydrogen sulfide and dithiothreitol.
See full target information TMT1B

Publications (3)

Recent publications for all applications. Explore the full list and refine your search

Frontiers in pharmacology 11:178 PubMed32180726

2020

METTL7B Is Required for Cancer Cell Proliferation and Tumorigenesis in Non-Small Cell Lung Cancer.

Applications

Unspecified application

Species

Unspecified reactive species

Dongcheng Liu,Wei Li,Fuhua Zhong,Jianhua Yin,Wei Zhou,Shixuan Li,Xuefeng Sun,Jing Xu,Guofeng Li,Yuxin Wen,Jiaqing Wang,Malin Hong,Zhiqiang Cheng,Jimin Yuan,Lingyun Dai,Jichao Sun,Jigang Wang,Chen Qiu,Guangsuo Wang,Chang Zou

Journal of molecular endocrinology 63:51-61 PubMed31121562

2019

METTL7B promotes migration and invasion in thyroid cancer through epithelial-mesenchymal transition.

Applications

Unspecified application

Species

Unspecified reactive species

Danrong Ye,Yang Jiang,Yihan Sun,Yuefeng Li,Yefeng Cai,Qingxuan Wang,Ouchen Wang,Endong Chen,Xiaohua Zhang

The Journal of cell biology 216:1455-1471 PubMed28408404

2017

Smurf1 inhibits integrin activation by controlling Kindlin-2 ubiquitination and degradation.

Applications

Unspecified application

Species

Unspecified reactive species

Xiaofan Wei,Xiang Wang,Jun Zhan,Yuhan Chen,Weigang Fang,Lingqiang Zhang,Hongquan Zhang
View all publications

Product promise

We are committed to supporting your work with high-quality reagents, and we're here for you every step of the way. In the unlikely event that one of our products does not perform as expected, you're protected by our Product Promise.
For full details, please see our Terms & Conditions

Please note: All products are 'FOR RESEARCH USE ONLY. NOT FOR USE IN DIAGNOSTIC OR THERAPEUTIC PROCEDURES'.

For licensing inquiries, please contact partnerships@abcam.com