JavaScript is disabled in your browser. Please enable JavaScript to view this website.
AB236732

Anti-MFI2/MTf antibody

3

(1 Review)

|

(0 Publication)

Rabbit Polyclonal MFI2/MTf antibody. Suitable for WB, IHC-P, ICC/IF and reacts with Human samples. Immunogen corresponding to Recombinant Fragment Protein within Human MELTF aa 1-350.

View Alternative Names

CD228, MAP97, MFI2, MELTF, Melanotransferrin, Melanoma-associated antigen p97

3 Images
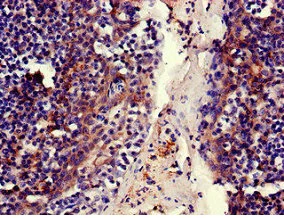
Immunohistochemistry (Formalin/PFA-fixed paraffin-embedded sections) - Anti-MFI2/MTf antibody (AB236732)
  • IHC-P

Supplier Data

Immunohistochemistry (Formalin/PFA-fixed paraffin-embedded sections) - Anti-MFI2/MTf antibody (AB236732)

Paraffin-embedded human tonsil tissue stained for MFI2/MTf using ab236732 at 1/100 dilution in immunohistochemical analysis.

Immunocytochemistry/ Immunofluorescence - Anti-MFI2/MTf antibody (AB236732)
  • ICC/IF

Supplier Data

Immunocytochemistry/ Immunofluorescence - Anti-MFI2/MTf antibody (AB236732)

HepG2 (human liver hepatocellular carcinoma cell line) cells labeling MFI2/MTf (green) using ab236732 at 1/100 dilution in ICC/IF, followed by Alexa Fluor® 488-congugated Goat Anti-Rabbit IgG (H+L) secondary antibody.

Western blot - Anti-MFI2/MTf antibody (AB236732)
  • WB

Supplier Data

Western blot - Anti-MFI2/MTf antibody (AB236732)

All lanes:

Western blot - Anti-MFI2/MTf antibody (ab236732) at 1/500 dilution

Lane 1:

HEK-293 (human epithelial cell line from embryonic kidney) whole cell lysate

Lane 2:

HeLa (human epithelial cell line from cervix adenocarcinoma) whole cell lysate

Secondary

All lanes:

Goat polyclonal to rabbit IgG at 1/50000 dilution

Predicted band size: 80 kDa

false

Key facts

Host species

Rabbit

Clonality

Polyclonal

Isotype

IgG

Carrier free

No

Reacts with

Human

Applications

WB, ICC/IF, IHC-P

applications

Immunogen

Recombinant Fragment Protein within Human MELTF aa 1-350. The exact immunogen used to generate this antibody is proprietary information.

P08582

Reactivity data

{ "title": "Reactivity Data", "filters": { "stats": ["", "Species", "Dilution Info", "Notes"], "tabs": { "all-applications": {"fullname" : "All Applications", "shortname": "All Applications"}, "WB" : {"fullname" : "Western blot", "shortname":"WB"}, "IHCP" : {"fullname" : "Immunohistochemistry (Formalin/PFA-fixed paraffin-embedded sections)", "shortname":"IHC-P"}, "ICCIF" : {"fullname" : "Immunocytochemistry/ Immunofluorescence", "shortname":"ICC/IF"} }, "product-promise": { "all": "all", "testedAndGuaranteed": "tested", "guaranteed": "expected", "predicted": "predicted", "notRecommended": "not-recommended" } }, "values": { "Human": { "WB-species-checked": "testedAndGuaranteed", "WB-species-dilution-info": "1/500 - 1/5000", "WB-species-notes": "<p></p>", "IHCP-species-checked": "testedAndGuaranteed", "IHCP-species-dilution-info": "1/20 - 1/200", "IHCP-species-notes": "<p></p>", "ICCIF-species-checked": "testedAndGuaranteed", "ICCIF-species-dilution-info": "1/50 - 1/200", "ICCIF-species-notes": "<p></p>" } } }

Properties and storage information

Form
Liquid
Purification technique
Affinity purification Protein G
Purification notes
Purity >95%
Storage buffer
pH: 7.4 Preservative: 0.03% Proclin 300 Constituents: PBS, 50% Glycerol (glycerin, glycerine)
Shipped at conditions
Blue Ice
Appropriate short-term storage duration
1-2 weeks
Appropriate short-term storage conditions
+4°C
Appropriate long-term storage conditions
-20°C
Aliquoting information
Upon delivery aliquot
Storage information
Avoid freeze / thaw cycle

Supplementary information

This supplementary information is collated from multiple sources and compiled automatically.

MFI2/MTf also known as melanotransferrin or p97 is a membrane-associated glycoprotein with a mass of approximately 70 kDa. This target is expressed in various tissues including marmoset breast tissue and is notably abundant in the brain and skin. MFI2/MTf exhibits a pivotal role at the cell surface where it interacts with transferrin receptors and heparan sulfate proteoglycans. Although associated with iron metabolism it does not bind iron directly but plays a part in the cellular uptake of iron.
Biological function summary

MFI2/MTf participates in cellular processes related to growth and development. It is involved in promoting cell proliferation and migration and its expression is upregulated in several cancers indicating a possible role in tumor growth. MFI2/MTf does not form a part of a larger known complex but interacts with other molecules at the cell surface that influence its activity. Researchers consider it an important marker for both physiological growth and pathological conditions like malignancies.

Pathways

MFI2/MTf functions as an important player in the iron homeostasis and MAPK signaling pathways. It interacts with proteins such as the transferrin receptor and various growth factor receptors. These interactions contribute to pathways governing cellular proliferation and survival. Its engagement in these pathways suggests that MFI2/MTf is important for maintaining cellular functions that rely on iron metabolism and signal transduction which are critical in both normal and disease states.

MFI2/MTf has associations with melanoma and neurodegenerative conditions such as Alzheimer's disease. In melanoma it integrates into mechanisms involving other proteins like metalloproteinases enhancing invasive capabilities. In neurodegenerative contexts an aberrant expression or altered function of MFI2/MTf might contribute to pathological processes potentially involving interactions with amyloid precursor proteins. These connections highlight the significance of MFI2/MTf in understanding and possibly targeting these disorders.

Product protocols

For this product, it's our understanding that no specific protocols are required. You can visit:

Target data

Involved in iron cellular uptake. Seems to be internalized and then recycled back to the cell membrane. Binds a single atom of iron per subunit. Could also bind zinc.
See full target information MELTF

Product promise

We are committed to supporting your work with high-quality reagents, and we're here for you every step of the way. In the unlikely event that one of our products does not perform as expected, you're protected by our Product Promise.
For full details, please see our Terms & Conditions

Please note: All products are 'FOR RESEARCH USE ONLY. NOT FOR USE IN DIAGNOSTIC OR THERAPEUTIC PROCEDURES'.

For licensing inquiries, please contact partnerships@abcam.com