JavaScript is disabled in your browser. Please enable JavaScript to view this website.
AB303514

Anti-MFI2/MTf antibody [EPR27232-23]

Be the first to review this product! Submit a review

|

(0 Publication)

Rabbit Recombinant Monoclonal MFI2/MTf antibody. Suitable for WB, ICC/IF, Flow Cyt, IP and reacts with Human samples.

View Alternative Names

CD228, MAP97, MFI2, MELTF, Melanotransferrin, Melanoma-associated antigen p97

5 Images
Immunocytochemistry/ Immunofluorescence - Anti-MFI2/MTf antibody [EPR27232-23] (AB303514)
  • ICC/IF

Supplier Data

Immunocytochemistry/ Immunofluorescence - Anti-MFI2/MTf antibody [EPR27232-23] (AB303514)

Immunofluorescent analysis of 4% Paraformaldehyde-fixed, 0.1% TritonX-100 permeabilized SK-MEL-28 (human malignant melanoma cell) cells labelling MFI2/MTf with ab303514 at 1/50 (9.08 ug/ml) dilution, followed by ab150081 Goat Anti-Rabbit IgG H&L (Alexa Fluor® 488) preadsorbed antibody at 1/1000 2ug/ml dilution (Green). Confocal image showing mainly membranous staining in SK-MEL-28 cell line.Negative control : Hela.Image was taken with a confocal microscope (Leica-Microsystems, TCS SP8). is observed. ab195889 Anti-alpha Tubulin mouse monoclonal antibody - Microtubule Marker (Alexa Fluor® 594) was used to counterstain tubulin at 1/200 2.5ug/ml dilution (Red). The Nuclear counterstain was DAPI (Blue). Secondary antibody only control : Secondary antibody is ab150081 Goat Anti-Rabbit IgG H&L (Alexa Fluor® 488) preadsorbed at 1/1000 2ug/ml dilution.

Flow Cytometry - Anti-MFI2/MTf antibody [EPR27232-23] (AB303514)
  • Flow Cyt

Supplier Data

Flow Cytometry - Anti-MFI2/MTf antibody [EPR27232-23] (AB303514)

Flow cytometric analysis of / fixed / permeabilized HeLa (human cervix adenocarcinoma epithelial cell, Left) / SK-MEL-28 (human malignant melanoma, Right) cells labelling MFI2/MTf with ab303514 at 1/5000 dilution (0.01ug) (Red) (Red) compared with a Rabbit monoclonal IgG (ab172730) (Black) isotype control and an unlabelled control (cells without incubation with primary antibody and secondary antibody) (Blue). A Goat Anti-Rabbit IgG (Alexa Fluor® 488, ab150081) at 1/2000 dilution was used as the secondary antibody. Gated on viable cells.Negative control : HeLa (PMID : 33965973).

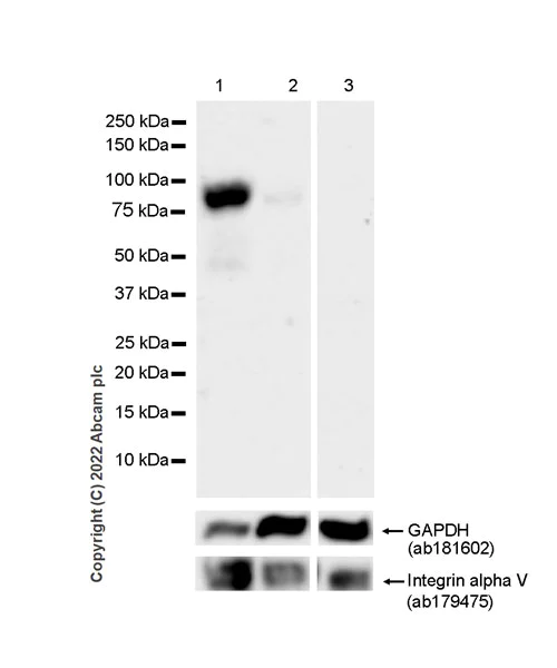
Western blot - Anti-MFI2/MTf antibody [EPR27232-23] (AB303514)
  • WB

Lab

Western blot - Anti-MFI2/MTf antibody [EPR27232-23] (AB303514)

Blocking and Diluting buffer and concentration : 5% NFDM/TBST

Negative control : HeLa (PMID : 33965973)

All lanes:

Western blot - Anti-MFI2/MTf antibody [EPR27232-23] (ab303514) at 1/1000 dilution

All lanes:

His-tagged human MFI2/MTf recombinant protein 10 ng

Secondary

All lanes:

Western blot - Goat Anti-Rabbit IgG H&L (HRP) (<a href='/en-us/products/secondary-antibodies/goat-rabbit-igg-h-l-hrp-ab97051'>ab97051</a>) at 1/100000 dilution

Predicted band size: 80 kDa

Observed band size: 97 kDa

false

Exposure time: 180s

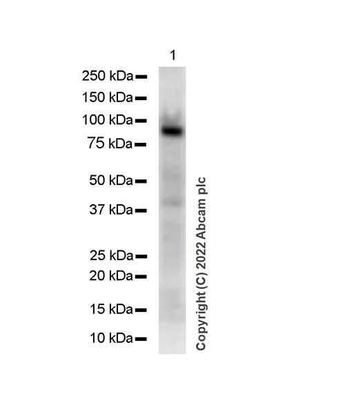
Western blot - Anti-MFI2/MTf antibody [EPR27232-23] (AB303514)
  • WB

Lab

Western blot - Anti-MFI2/MTf antibody [EPR27232-23] (AB303514)

Blocking and diluting buffer and concentration : 5% NFDM/TBST.

Negative control : HeLa (PMID : 33965973)

All lanes:

Western blot - Anti-MFI2/MTf antibody [EPR27232-23] (ab303514) at 1/1000 dilution

Lane 1:

SK-MEL-28 (human malignant melanoma cell ) membrane fraction 20 μg

Lane 2:

SK-MEL-28 cytoplasmic fraction 20 μg

Lane 3:

HeLa (human cervical adenocarcinoma epithelial cell), whole cell lysate 20μg

Secondary

All lanes:

Western blot - Goat Anti-Rabbit IgG H&L (HRP) (<a href='/en-us/products/secondary-antibodies/goat-rabbit-igg-h-l-hrp-ab97051'>ab97051</a>) at 1/100000 dilution

Predicted band size: 80 kDa

Observed band size: 97 kDa

false

Exposure time: 59s

Western blot - Anti-MFI2/MTf antibody [EPR27232-23] (AB303514)
  • WB

Supplier Data

Western blot - Anti-MFI2/MTf antibody [EPR27232-23] (AB303514)

Blocking and diluting buffer and concentration : 5% NFDM/TBST

This blot was developed using a high sensitivity ECL substrate. The high-sensitivity ECL substrate used allows for the detection of proteins in the mid-femtogram range.

All lanes:

Western blot - Anti-MFI2/MTf antibody [EPR27232-23] (ab303514) at 1/1000 dilution

All lanes:

Saos-2 (human osteosarcoma epithelial cell), whole cell lysate at 20 µg

Secondary

All lanes:

Goat Anti-Rabbit IgG (HRP) with minimal cross-reactivity with human IgG at 1/2000 dilution

Predicted band size: 80 kDa

Observed band size: 97 kDa

true

Exposure time: 103s

  • Carrier free

    Anti-MFI2/MTf antibody [EPR27232-23] - BSA and Azide free

Key facts

Host species

Rabbit

Clonality

Monoclonal

Clone number

EPR27232-23

Isotype

IgG

Carrier free

No

Reacts with

Human

Applications

WB, ICC/IF, Flow Cyt, IP

applications

Immunogen

The exact immunogen used to generate this antibody is proprietary information.

Reactivity data

{ "title": "Reactivity Data", "filters": { "stats": ["", "Species", "Dilution Info", "Notes"], "tabs": { "all-applications": {"fullname" : "All Applications", "shortname": "All Applications"}, "WB" : {"fullname" : "Western blot", "shortname":"WB"}, "IHCP" : {"fullname" : "Immunohistochemistry (Formalin/PFA-fixed paraffin-embedded sections)", "shortname":"IHC-P"}, "ICCIF" : {"fullname" : "Immunocytochemistry/ Immunofluorescence", "shortname":"ICC/IF"}, "FlowCyt" : {"fullname" : "Flow Cytometry", "shortname":"Flow Cyt"}, "IP" : {"fullname" : "Immunoprecipitation", "shortname":"IP"} }, "product-promise": { "all": "all", "testedAndGuaranteed": "tested", "guaranteed": "expected", "predicted": "predicted", "notRecommended": "not-recommended" } }, "values": { "Human": { "WB-species-checked": "testedAndGuaranteed", "WB-species-dilution-info": "1/1000", "WB-species-notes": "<p></p>", "IHCP-species-checked": "notRecommended", "IHCP-species-dilution-info": "", "IHCP-species-notes": "<p></p> Perform heat-mediated antigen retrieval with Tris/EDTA buffer pH 9.0 before commencing with IHC staining protocol.", "ICCIF-species-checked": "testedAndGuaranteed", "ICCIF-species-dilution-info": "1/50", "ICCIF-species-notes": "<p></p>", "FlowCyt-species-checked": "testedAndGuaranteed", "FlowCyt-species-dilution-info": "1/5000", "FlowCyt-species-notes": "<p></p>", "IP-species-checked": "testedAndGuaranteed", "IP-species-dilution-info": "1/30", "IP-species-notes": "<p></p>" }, "Mouse": { "WB-species-checked": "notRecommended", "WB-species-dilution-info": "1/1000", "WB-species-notes": "<p></p>", "IHCP-species-checked": "notRecommended", "IHCP-species-dilution-info": "", "IHCP-species-notes": "<p></p> Perform heat-mediated antigen retrieval with Tris/EDTA buffer pH 9.0 before commencing with IHC staining protocol.", "ICCIF-species-checked": "notRecommended", "ICCIF-species-dilution-info": "", "ICCIF-species-notes": "", "FlowCyt-species-checked": "notRecommended", "FlowCyt-species-dilution-info": "", "FlowCyt-species-notes": "", "IP-species-checked": "notRecommended", "IP-species-dilution-info": "", "IP-species-notes": "" }, "Rat": { "WB-species-checked": "notRecommended", "WB-species-dilution-info": "1/1000", "WB-species-notes": "<p></p>", "IHCP-species-checked": "notRecommended", "IHCP-species-dilution-info": "", "IHCP-species-notes": "<p></p> Perform heat-mediated antigen retrieval with Tris/EDTA buffer pH 9.0 before commencing with IHC staining protocol.", "ICCIF-species-checked": "notRecommended", "ICCIF-species-dilution-info": "", "ICCIF-species-notes": "", "FlowCyt-species-checked": "notRecommended", "FlowCyt-species-dilution-info": "", "FlowCyt-species-notes": "", "IP-species-checked": "notRecommended", "IP-species-dilution-info": "", "IP-species-notes": "" } } }

Product details

What are the advantages of a recombinant monoclonal antibody?
This product is a recombinant monoclonal antibody, which offers several advantages including:

  • - High batch-to-batch consistency and reproducibility
  • - Improved sensitivity and specificity
  • - Long-term security of supply
  • - Animal-free batch production

For more information, read more on recombinant antibodies.

Patented technology
Our RabMAb® technology is a patented hybridoma-based technology for making rabbit monoclonal antibodies. For details on our patents, please refer to RabMAb® patents.

Properties and storage information

Form
Liquid
Purification technique
Affinity purification Protein A
Storage buffer
pH: 7.2 - 7.4 Preservative: 0.01% Sodium azide Constituents: PBS, 40% Glycerol (glycerin, glycerine), 0.05% BSA
Shipped at conditions
Blue Ice
Appropriate short-term storage duration
1-2 weeks
Appropriate short-term storage conditions
+4°C
Appropriate long-term storage conditions
-20°C
Aliquoting information
Upon delivery aliquot
Storage information
Avoid freeze / thaw cycle

Supplementary information

This supplementary information is collated from multiple sources and compiled automatically.

MFI2/MTf also known as melanotransferrin or p97 is a membrane-associated glycoprotein with a mass of approximately 70 kDa. This target is expressed in various tissues including marmoset breast tissue and is notably abundant in the brain and skin. MFI2/MTf exhibits a pivotal role at the cell surface where it interacts with transferrin receptors and heparan sulfate proteoglycans. Although associated with iron metabolism it does not bind iron directly but plays a part in the cellular uptake of iron.
Biological function summary

MFI2/MTf participates in cellular processes related to growth and development. It is involved in promoting cell proliferation and migration and its expression is upregulated in several cancers indicating a possible role in tumor growth. MFI2/MTf does not form a part of a larger known complex but interacts with other molecules at the cell surface that influence its activity. Researchers consider it an important marker for both physiological growth and pathological conditions like malignancies.

Pathways

MFI2/MTf functions as an important player in the iron homeostasis and MAPK signaling pathways. It interacts with proteins such as the transferrin receptor and various growth factor receptors. These interactions contribute to pathways governing cellular proliferation and survival. Its engagement in these pathways suggests that MFI2/MTf is important for maintaining cellular functions that rely on iron metabolism and signal transduction which are critical in both normal and disease states.

MFI2/MTf has associations with melanoma and neurodegenerative conditions such as Alzheimer's disease. In melanoma it integrates into mechanisms involving other proteins like metalloproteinases enhancing invasive capabilities. In neurodegenerative contexts an aberrant expression or altered function of MFI2/MTf might contribute to pathological processes potentially involving interactions with amyloid precursor proteins. These connections highlight the significance of MFI2/MTf in understanding and possibly targeting these disorders.

Product protocols

For this product, it's our understanding that no specific protocols are required. You can visit:

Target data

Involved in iron cellular uptake. Seems to be internalized and then recycled back to the cell membrane. Binds a single atom of iron per subunit. Could also bind zinc.
See full target information MELTF

Product promise

We are committed to supporting your work with high-quality reagents, and we're here for you every step of the way. In the unlikely event that one of our products does not perform as expected, you're protected by our Product Promise.
For full details, please see our Terms & Conditions

Please note: All products are 'FOR RESEARCH USE ONLY. NOT FOR USE IN DIAGNOSTIC OR THERAPEUTIC PROCEDURES'.

For licensing inquiries, please contact partnerships@abcam.com