JavaScript is disabled in your browser. Please enable JavaScript to view this website.
AB307593

Anti-MG53 antibody [EPR26057-7]

  • BOND RX™ Validated
  • 20ul selling size
  • RabMAb
  • Recombinant
  • What is this?

Be the first to review this product! Submit a review

|

(1 Publication)

Rabbit Recombinant Monoclonal MG53 antibody. Suitable for IP, ICC/IF, IHC-Fr, WB and reacts with Mouse, Rat, Human samples. Cited in 1 publication.

View Alternative Names

MG53, TRIM72, Tripartite motif-containing protein 72, Mitsugumin-53, Mg53

8 Images
Immunohistochemistry (Frozen sections) - Anti-MG53 antibody [EPR26057-7] (AB307593)
  • IHC-Fr

Supplier Data

Immunohistochemistry (Frozen sections) - Anti-MG53 antibody [EPR26057-7] (AB307593)

Immunohistochemical analysis of 4% PFA-fixed, 0.2% Triton X-100 permeabilized frozen rat cerebrum (fresh) tissue labeling MG53 with ab307593 at 1/100 dilution (5.15 µg/ml) followed by ab150081 Goat Anti-Rabbit IgG H&L (Alexa Fluor® 488) preadsorbed at 1/1000 dilution (2 µg/mL) (Green). Negative control : confocal image showing no staining on rat cerebrum (PMID : 20139895). The nuclear counterstain was DAPI (Blue). The section was incubated with ab307593 for 60 mins at room temperature. The section was then mounted using Fluoromount®. The immunostaining was performed on a Leica Biosystems BOND® RX instrument. Image was taken with a confocal microscope (Leica-Microsystems, TCS SP8). Secondary antibody control : Secondary antibody is ab150081 Goat Anti-Rabbit IgG H&L (Alexa Fluor® 488) preadsorbed at 1/1000 dilution (2 µg/mL).

Immunohistochemistry (Frozen sections) - Anti-MG53 antibody [EPR26057-7] (AB307593)
  • IHC-Fr

Supplier Data

Immunohistochemistry (Frozen sections) - Anti-MG53 antibody [EPR26057-7] (AB307593)

Immunohistochemical analysis of 4% PFA-fixed, 0.2% Triton X-100 permeabilized frozen mouse cerebrum (fresh) tissue labeling MG53 with ab307593 at 1/100 dilution (5.15 µg/ml) followed by ab150081 Goat Anti-Rabbit IgG H&L (Alexa Fluor® 488) preadsorbed at 1/1000 dilution (2 µg/mL) (Green). Negative control : confocal image showing no staining on mouse cerebrum (PMID : 20139895). The nuclear counterstain was DAPI (Blue). The section was incubated with ab307593 for 60 mins at room temperature. The section was then mounted using Fluoromount®. The immunostaining was performed on a Leica Biosystems BOND® RX instrument. Image was taken with a confocal microscope (Leica-Microsystems, TCS SP8). Secondary antibody control : Secondary antibody is ab150081 Goat Anti-Rabbit IgG H&L (Alexa Fluor® 488) preadsorbed at 1/1000 dilution (2 µg/mL).

Immunohistochemistry (Frozen sections) - Anti-MG53 antibody [EPR26057-7] (AB307593)
  • IHC-Fr

Supplier Data

Immunohistochemistry (Frozen sections) - Anti-MG53 antibody [EPR26057-7] (AB307593)

Immunohistochemical analysis of 4% PFA-fixed, 0.2% Triton X-100 permeabilized frozen rat skeletal muscle (fresh) tissue labeling MG53 with ab307593 at 1/100 dilution (5.15 µg/ml) followed by ab150081 Goat Anti-Rabbit IgG H&L (Alexa Fluor® 488) preadsorbed at 1/1000 dilution (2 µg/mL) (Green). Confocal image showing positive staining on rat skeletal muscle. The nuclear counterstain was DAPI (Blue). The section was incubated with ab307593 for 60 mins at room temperature. The section was then mounted using Fluoromount®. The immunostaining was performed on a Leica Biosystems BOND® RX instrument. Image was taken with a confocal microscope (Leica-Microsystems, TCS SP8). Secondary antibody control : Secondary antibody is ab150081 Goat Anti-Rabbit IgG H&L (Alexa Fluor® 488) preadsorbed at 1/1000 dilution (2 µg/mL).

Immunohistochemistry (Frozen sections) - Anti-MG53 antibody [EPR26057-7] (AB307593)
  • IHC-Fr

Supplier Data

Immunohistochemistry (Frozen sections) - Anti-MG53 antibody [EPR26057-7] (AB307593)

Immunohistochemical analysis of 4% PFA-fixed, 0.2% Triton X-100 permeabilized frozen mouse skeletal muscle (fresh) tissue labeling MG53 with ab307593 at 1/100 dilution (5.15 µg/ml) followed by ab150081 Goat Anti-Rabbit IgG H&L (Alexa Fluor® 488) preadsorbed at 1/1000 dilution (2 µg/mL) (Green). Confocal image showing positive staining on mouse skeletal muscle. The nuclear counterstain was DAPI (Blue). The section was incubated with ab307593 for 60 mins at room temperature. The section was then mounted using Fluoromount®. The immunostaining was performed on a Leica Biosystems BOND® RX instrument. Image was taken with a confocal microscope (Leica-Microsystems, TCS SP8). Secondary antibody control : Secondary antibody is ab150081 Goat Anti-Rabbit IgG H&L (Alexa Fluor® 488) preadsorbed at 1/1000 dilution (2 µg/mL).

Immunocytochemistry/ Immunofluorescence - Anti-MG53 antibody [EPR26057-7] (AB307593)
  • ICC/IF

Supplier Data

Immunocytochemistry/ Immunofluorescence - Anti-MG53 antibody [EPR26057-7] (AB307593)

Immunofluorescent analysis of 4% Paraformaldehyde-fixed, 100% methanol-permeabilized C2C12 (mouse myoblast) cells labeling MG53 with ab307593 at 1/500 dilution, followed by ab150081 Goat Anti-Rabbit IgG H&L (Alexa Fluor® 488) preadsorbed antibody at 1/1000 dilution (Green). Confocal image showing membranous and cytoplasmic staining in differentiated C2C12 cells and showing no staining in undifferentiated C2C12 cells. Image was taken with a confocal microscope(Leica-Microsystems, TCS SP8). ab195889 Anti-alpha Tubulin mouse monoclonal antibody - Microtubule Marker (Alexa Fluor® 594) was used to counterstain tubulin at 1/200 dilution (2.5 µg/ml) (Red). Nuclear counterstain was DAPI (Blue). Secondary antibody only control : Secondary antibody is ab150081 Goat Anti-Rabbit IgG H&L (Alexa Fluor® 488) preadsorbed at 1/1000 dilution.

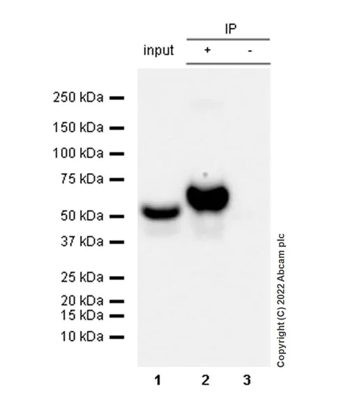
Immunoprecipitation - Anti-MG53 antibody [EPR26057-7] (AB307593)
  • IP

Supplier Data

Immunoprecipitation - Anti-MG53 antibody [EPR26057-7] (AB307593)

MG53 was immunoprecipitated from 0.35 mg C2C12 (differentiation for 7 days) whole cell lysate 5 µg with ab307593 at 1/30 dilution (2µg in 0.35mg lysates). Western blot was performed on the immunoprecipitate using ab307593 at 1/1000 dilution. VeriBlot for IP secondary antibody(HRP)(ab131366) was used at 1/5000 dilution. Lane 1 : C2C12 (differentiation for 7 days) whole cell lysate 5 µg Lane 2 : ab307593 IP in (C2C12 differentiation for 7 days) whole cell lysate Lane 3 : Rabbit monoclonal IgG (ab172730) instead of ab307593 in C2C12 (differentiation for 7 days) whole cell lysate Blocking and dilution buffer and concentration : 5% NFDM/TBST. Exposure time : 8 seconds.

All lanes:

Immunoprecipitation - Anti-MG53 antibody [EPR26057-7] (ab307593) at 1/30 dilution

All lanes:

C2C12

Secondary

All lanes:

Immunoprecipitation - VeriBlot for IP Detection Reagent (HRP) (<a href='/en-us/products/reagents/veriblot-for-ip-detection-reagent-hrp-ab131366'>ab131366</a>) at 1/5000 dilution

false

Exposure time: 8s

Western blot - Anti-MG53 antibody [EPR26057-7] (AB307593)
  • WB

Supplier Data

Western blot - Anti-MG53 antibody [EPR26057-7] (AB307593)

Blocking and diluting buffer and concentration : 5% NFDM/TBST. Negative control : kidney (PMID : 20139895), brain (PMID : 20139895). Exposure time : 37 seconds.

All lanes:

Western blot - Anti-MG53 antibody [EPR26057-7] (ab307593) at 1/1000 dilution

Lane 1:

Human skeletal muscle tissue lysate at 20 µg

Lane 2:

Human kidney tissue lysate at 20 µg

Lane 3:

Mouse skeletal muscle tissue lysate at 20 µg

Lane 4:

Mouse heart tissue lysate at 20 µg

Lane 5:

Mouse brain tissue lysate at 20 µg

Lane 6:

Mouse kidney tissue lysate at 20 µg

Lane 7:

Rat skeletal muscle tissue lysate at 20 µg

Lane 8:

Rat brain tissue lysate at 20 µg

Lane 9:

Rat kidney tissue lysate at 20 µg

Secondary

All lanes:

Western blot - Goat Anti-Rabbit IgG H&L (HRP) (<a href='/en-us/products/secondary-antibodies/goat-rabbit-igg-h-l-hrp-ab97051'>ab97051</a>) at 1/100000 dilution

Observed band size: 53 kDa

false

Western blot - Anti-MG53 antibody [EPR26057-7] (AB307593)
  • WB

Supplier Data

Western blot - Anti-MG53 antibody [EPR26057-7] (AB307593)

Blocking and diluting buffer and concentration : 5% NFDM/TBST. Negative control : MCF7 (Human Protein Atlas database). Exposure time : 37 seconds.

All lanes:

Western blot - Anti-MG53 antibody [EPR26057-7] (ab307593) at 1/1000 dilution

Lane 1:

HCT116 (human colorectal carcinoma epithelial cell) whole cell lysate at 20 µg

Lane 2:

MCF7 (human breast adenocarcinoma epithelial cell) whole cell lysate at 20 µg

Lane 3:

Untreated C2C12 (mouse myoblasts myoblast) whole cell lysate at 20 µg

Lane 4:

C2C12 differentiation for 7 days whole cell lysate at 20 µg

Secondary

All lanes:

Western blot - Goat Anti-Rabbit IgG H&L (HRP) (<a href='/en-us/products/secondary-antibodies/goat-rabbit-igg-h-l-hrp-ab97051'>ab97051</a>) at 1/100000 dilution

Observed band size: 53 kDa

false

Exposure time: 37s

Key facts

Host species

Rabbit

Clonality

Monoclonal

Clone number

EPR26057-7

Isotype

IgG

Carrier free

No

Reacts with

Rat, Mouse, Human

Applications

IP, ICC/IF, IHC-Fr, WB

applications

Immunogen

The exact immunogen used to generate this antibody is proprietary information.

Reactivity data

{ "title": "Reactivity Data", "filters": { "stats": ["", "Species", "Dilution Info", "Notes"], "tabs": { "all-applications": {"fullname" : "All Applications", "shortname": "All Applications"}, "IP" : {"fullname" : "Immunoprecipitation", "shortname":"IP"}, "ICCIF" : {"fullname" : "Immunocytochemistry/ Immunofluorescence", "shortname":"ICC/IF"}, "IHCFr" : {"fullname" : "Immunohistochemistry (Frozen sections)", "shortname":"IHC-Fr"}, "WB" : {"fullname" : "Western blot", "shortname":"WB"}, "IHCP" : {"fullname" : "Immunohistochemistry (Formalin/PFA-fixed paraffin-embedded sections)", "shortname":"IHC-P"} }, "product-promise": { "all": "all", "testedAndGuaranteed": "tested", "guaranteed": "expected", "predicted": "predicted", "notRecommended": "not-recommended" } }, "values": { "Human": { "IP-species-checked": "notRecommended", "IP-species-dilution-info": "1/1000", "IP-species-notes": "<p></p>", "ICCIF-species-checked": "notRecommended", "ICCIF-species-dilution-info": "1/500", "ICCIF-species-notes": "<p></p>", "IHCFr-species-checked": "guaranteed", "IHCFr-species-dilution-info": "", "IHCFr-species-notes": "", "WB-species-checked": "testedAndGuaranteed", "WB-species-dilution-info": "1/1000", "WB-species-notes": "<p></p>", "IHCP-species-checked": "notRecommended", "IHCP-species-dilution-info": "", "IHCP-species-notes": "<p></p>" }, "Mouse": { "IP-species-checked": "testedAndGuaranteed", "IP-species-dilution-info": "1/1000", "IP-species-notes": "<p></p>", "ICCIF-species-checked": "testedAndGuaranteed", "ICCIF-species-dilution-info": "1/500", "ICCIF-species-notes": "<p></p>", "IHCFr-species-checked": "testedAndGuaranteed", "IHCFr-species-dilution-info": "1/100", "IHCFr-species-notes": "<p></p>", "WB-species-checked": "testedAndGuaranteed", "WB-species-dilution-info": "1/1000", "WB-species-notes": "<p></p>", "IHCP-species-checked": "notRecommended", "IHCP-species-dilution-info": "", "IHCP-species-notes": "<p></p>" }, "Rat": { "IP-species-checked": "guaranteed", "IP-species-dilution-info": "", "IP-species-notes": "", "ICCIF-species-checked": "guaranteed", "ICCIF-species-dilution-info": "", "ICCIF-species-notes": "", "IHCFr-species-checked": "testedAndGuaranteed", "IHCFr-species-dilution-info": "1/100", "IHCFr-species-notes": "<p></p>", "WB-species-checked": "testedAndGuaranteed", "WB-species-dilution-info": "1/1000", "WB-species-notes": "<p></p>", "IHCP-species-checked": "notRecommended", "IHCP-species-dilution-info": "1/5000", "IHCP-species-notes": "<p></p>" } } }

Product details

Patented technology
Our RabMAb® technology is a patented hybridoma-based technology for making rabbit monoclonal antibodies. For details on our patents, please refer to RabMAb® patents.

What are the advantages of a recombinant monoclonal antibody?
This product is a recombinant monoclonal antibody, which offers several advantages including:

  • - High batch-to-batch consistency and reproducibility
  • - Improved sensitivity and specificity
  • - Long-term security of supply
  • - Animal-free batch production

For more information, read more on recombinant antibodies.

Properties and storage information

Form
Liquid
Purification technique
Affinity purification Protein A
Storage buffer
pH: 7.2 - 7.4 Preservative: 0.01% Sodium azide Constituents: PBS, 40% Glycerol (glycerin, glycerine), 0.05% BSA
Shipped at conditions
Blue Ice
Appropriate short-term storage duration
1-2 weeks
Appropriate short-term storage conditions
+4°C
Appropriate long-term storage conditions
-20°C
Aliquoting information
Upon delivery aliquot
Storage information
Avoid freeze / thaw cycle

Supplementary information

This supplementary information is collated from multiple sources and compiled automatically.

MG53 also known as TRIM72 is a protein that plays an important role in membrane repair. This protein has a molecular mass of approximately 72 kDa and is classified as a member of the tripartite motif-containing (TRIM) protein family. MG53 is expressed highly in striated muscles including the cardiac and skeletal muscles. Its mechanical action involves sensing membrane disruptions and facilitating the repair process by recruiting vesicles to the site of injury.
Biological function summary

MG53 acts as a critical factor in maintaining cellular membrane integrity. It forms part of a complex network where it interacts with other proteins to orchestrate the membrane repair process. MG53 functions as a scaffold bringing together various repair components and coordinating their activity to mend damaged membranes. This repair process is essential for muscle cells which frequently experience mechanical stress.

Pathways

MG53 integrates into cellular repair pathways and is pivotal in the response to membrane damage. It interacts with important pathways like the IRS1/PI3K/AKT signaling pathway where it modulates cellular responses to stress and injury. MG53 also associates with other proteins such as caveolin-3 assisting in stabilizing the membrane during injury response.

MG53 has relevance to conditions like muscular dystrophy and cardiomyopathy. Mutations or dysregulation of MG53 can lead to inadequate membrane repair contributing to muscle weakness and cardiac dysfunction. In muscular disorders MG53 interacts with dysferlin another repair protein to support membrane stabilization and disruptions in this interaction exacerbate disease progression.

Product protocols

For this product, it's our understanding that no specific protocols are required. You can visit:

Target data

Muscle-specific E3 ubiquitin-protein ligase that plays a central role in cell membrane repair by nucleating the assembly of the repair machinery at injury sites (PubMed : 36944613). Its ubiquitination activity is mediated by E2 ubiquitin-conjugating enzymes UBE2D1, UBE2D2 and UBE2D3 (By similarity). Acts as a sensor of oxidation : upon membrane damage, entry of extracellular oxidative environment results in disulfide bond formation and homooligomerization at the injury site (By similarity). This oligomerization acts as a nucleation site for recruitment of TRIM72-containing vesicles to the injury site, leading to membrane patch formation (By similarity). Probably acts upstream of the Ca(2+)-dependent membrane resealing process (By similarity). Required for transport of DYSF to sites of cell injury during repair patch formation (By similarity). Regulates membrane budding and exocytosis (By similarity). May be involved in the regulation of the mobility of KCNB1-containing endocytic vesicles (By similarity).
See full target information TRIM72

Publications (1)

Recent publications for all applications. Explore the full list and refine your search

European journal of medical research 29:578 PubMed39639377

2024

Pulsed radiofrequency alleviates neuropathic pain by upregulating MG53 to inhibit microglial activation.

Applications

Unspecified application

Species

Unspecified reactive species

Yuanxin Huang,Yuanyue Huang,Xianglong Lv,Zilong Yu,Yue Qin,Xingyue Yang,Songsong An,Chunxin Wo,Lin Wang
View all publications

Product promise

We are committed to supporting your work with high-quality reagents, and we're here for you every step of the way. In the unlikely event that one of our products does not perform as expected, you're protected by our Product Promise.
For full details, please see our Terms & Conditions

Please note: All products are 'FOR RESEARCH USE ONLY. NOT FOR USE IN DIAGNOSTIC OR THERAPEUTIC PROCEDURES'.

For licensing inquiries, please contact partnerships@abcam.com