JavaScript is disabled in your browser. Please enable JavaScript to view this website.
AB214814

Anti-MGA antibody [EPR19854]

4

(1 Review)

|

(3 Publications)

Rabbit Recombinant Monoclonal MGA antibody. Suitable for WB and reacts with Mouse samples. Cited in 3 publications.

View Alternative Names

Kiaa4252, Mga, MAX gene-associated protein

2 Images
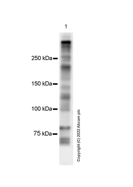
Western blot - Anti-MGA antibody [EPR19854] (AB214814)
  • WB

Lab

Western blot - Anti-MGA antibody [EPR19854] (AB214814)

Blocking and Diluting buffer and concentration : 5% NFDM/TBST The lysates were kindly provided by an anonymous collaborator.

All lanes:

Western blot - Anti-MGA antibody [EPR19854] (ab214814) at 1/1000 dilution

Lane 1:

Wild-type mESCs (mouse embryonic stem cells) whole cell lysate at 20 µg

Lane 2:

MGA knockout mESCs whole cell lysate at 20 µg

Secondary

All lanes:

Western blot - Goat Anti-Rabbit IgG H&L (HRP) (<a href='/en-us/products/secondary-antibodies/goat-rabbit-igg-h-l-hrp-ab97051'>ab97051</a>) at 1/100000 dilution

Observed band size: 329 kDa

false

Exposure time: 30s

Western blot - Anti-MGA antibody [EPR19854] (AB214814)
  • WB

Lab

Western blot - Anti-MGA antibody [EPR19854] (AB214814)

Blocking and Diluting buffer and concentration : 5% NFDM/TBST.

Lysate was freshly made and used for Western blotting immediately to minimize protein degradation.

This blot was developed using a high sensitivity ECL substrate. The high-sensitivity ECL substrate used allows for the detection of proteins in the mid-femtogram range.

All lanes:

Western blot - Anti-MGA antibody [EPR19854] (ab214814) at 1/1000 dilution

All lanes:

ES-D3 (mouse blastocyst-derived embryonic stem cell) whole cell lysate at 20 µg

Secondary

All lanes:

Western blot - Goat Anti-Rabbit IgG H&L (HRP) (<a href='/en-us/products/secondary-antibodies/goat-rabbit-igg-h-l-hrp-ab97051'>ab97051</a>) at 1/100000 dilution

Observed band size: 329 kDa

true

Exposure time: 180s

  • Carrier free

    Anti-MGA antibody [EPR19854] - BSA and Azide free

Key facts

Host species

Rabbit

Clonality

Monoclonal

Clone number

EPR19854

Isotype

IgG

Carrier free

No

Reacts with

Mouse

Applications

WB

applications

Immunogen

The exact immunogen used to generate this antibody is proprietary information.

Reactivity data

{ "title": "Reactivity Data", "filters": { "stats": ["", "Species", "Dilution Info", "Notes"], "tabs": { "all-applications": {"fullname" : "All Applications", "shortname": "All Applications"}, "ICCIF" : {"fullname" : "Immunocytochemistry/ Immunofluorescence", "shortname":"ICC/IF"}, "IP" : {"fullname" : "Immunoprecipitation", "shortname":"IP"}, "WB" : {"fullname" : "Western blot", "shortname":"WB"} }, "product-promise": { "all": "all", "testedAndGuaranteed": "tested", "guaranteed": "expected", "predicted": "predicted", "notRecommended": "not-recommended" } }, "values": { "Human": { "ICCIF-species-checked": "notRecommended", "ICCIF-species-dilution-info": "", "ICCIF-species-notes": "<p></p>", "IP-species-checked": "notRecommended", "IP-species-dilution-info": "", "IP-species-notes": "<p></p>", "WB-species-checked": "notRecommended", "WB-species-dilution-info": "1/1000", "WB-species-notes": "<p></p>" }, "Mouse": { "ICCIF-species-checked": "notRecommended", "ICCIF-species-dilution-info": "", "ICCIF-species-notes": "<p></p>", "IP-species-checked": "notRecommended", "IP-species-dilution-info": "", "IP-species-notes": "<p></p>", "WB-species-checked": "testedAndGuaranteed", "WB-species-dilution-info": "1/1000", "WB-species-notes": "<p></p>" } } }

Product details

Patented technology
Our RabMAb® technology is a patented hybridoma-based technology for making rabbit monoclonal antibodies. For details on our patents, please refer to RabMAb® patents.

What are the advantages of a recombinant monoclonal antibody?
This product is a recombinant monoclonal antibody, which offers several advantages including:

  • - High batch-to-batch consistency and reproducibility
  • - Improved sensitivity and specificity
  • - Long-term security of supply
  • - Animal-free batch production

For more information, read more on recombinant antibodies.

Properties and storage information

Form
Liquid
Purification technique
Affinity purification Protein A
Storage buffer
pH: 7.2 - 7.4 Preservative: 0.01% Sodium azide Constituents: PBS, 40% Glycerol (glycerin, glycerine), 0.05% BSA
Shipped at conditions
Blue Ice
Appropriate short-term storage duration
1-2 weeks
Appropriate short-term storage conditions
+4°C
Appropriate long-term storage conditions
-20°C
Aliquoting information
Upon delivery aliquot
Storage information
Avoid freeze / thaw cycle

Supplementary information

This supplementary information is collated from multiple sources and compiled automatically.

The MGA protein also known as MAX gene-associated protein plays a role in gene regulation by acting as a transcriptional repressor. It has an approximate mass of 256 kDa and primarily locates itself within the nucleus. MGA exhibits a broad expression pattern found in tissues such as the brain liver and heart. The protein's structure includes several domains that allow it to interact with other proteins and DNA to modulate gene expression.
Biological function summary

MGA influences the regulation of developmental processes and cellular growth. It forms part of a complex with the MAX protein essential for its function in repressing specific gene sets. This ability allows MGA to modulate cellular differentiation and development processes. By controlling these gene sets it ensures proper cellular function and maintains homeostasis within the organism.

Pathways

MGA integrates itself into the MYC-MAX-MAD network a critical regulatory system for cell proliferation. It offers a balancing effect by counteracting the actions of MYC a protein known for promoting cell cycle progression and proliferation. MGA influences the transcription machinery through this pathway to ensure controlled cell growth. Additionally MGA-related pathways intersect with those involving the E2F family further influencing cellular proliferation and apoptosis.

MGA has significant connections to cancer particularly due to its role in the MYC-MAX-MAD pathway. Dysregulation of MGA can lead to unchecked cell growth contributing to tumor development. In particular defects in MGA have been observed in lung and other carcinomas. Its relationship with MYC protein highlights its importance as MYC overexpression often couples with reduced MGA function in these cancers. Besides cancer MGA also associates with certain neurodevelopmental disorders where its role in developmental processes becomes compromised disrupting normal neurological development.

Product protocols

For this product, it's our understanding that no specific protocols are required. You can visit:

Target data

Functions as a dual-specificity transcription factor, regulating the expression of both MAX-network and T-box family target genes. Functions as a repressor or an activator. Binds to 5'-AATTTCACACCTAGGTGTGAAATT-3' core sequence and seems to regulate MYC-MAX target genes. Suppresses transcriptional activation by MYC and inhibits MYC-dependent cell transformation. Function activated by heterodimerization with MAX. This heterodimerization serves the dual function of both generating an E-box-binding heterodimer and simultaneously blocking interaction of a corepressor.
See full target information Mga

Publications (3)

Recent publications for all applications. Explore the full list and refine your search

Molecular medicine (Cambridge, Mass.) 31:304 PubMed41023796

2025

NET degradation attenuates ricin-induced acute lung injury and protects mice from ARDS.

Applications

Unspecified application

Species

Unspecified reactive species

Anita Sapoznikov,Yentl Evgy,Liat Fux,Ilya Ruderfer,Yakir Nataf,Yael Hayon,Shay Zamin,Roey Mizrachi,Rachel Pessah,Yoav Gal,Alon Ben-David,Noam Erez,Reut Falach

iScience 28:113059 PubMed40727931

2025

MGA directly recruits SETDB1/ATF7IP for histone H3K9me3 mark on meiosis-related genes in mouse embryonic stem cells.

Applications

Unspecified application

Species

Unspecified reactive species

Kousuke Uranishi,Masataka Hirasaki,Masazumi Nishimoto,Robert J Klose,Akihiko Okuda,Ayumu Suzuki

Nucleic acids research 51:3130-3149 PubMed36772830

2023

Systematic identification of factors involved in the silencing of germline genes in mouse embryonic stem cells.

Applications

ChIP, WB

Species

Mouse, Mouse

Hala Al Adhami,Judith Vallet,Celia Schaal,Paul Schumacher,Anaïs Flore Bardet,Michael Dumas,Johana Chicher,Philippe Hammann,Sylvain Daujat,Michael Weber
View all publications

Product promise

We are committed to supporting your work with high-quality reagents, and we're here for you every step of the way. In the unlikely event that one of our products does not perform as expected, you're protected by our Product Promise.
For full details, please see our Terms & Conditions

Please note: All products are 'FOR RESEARCH USE ONLY. NOT FOR USE IN DIAGNOSTIC OR THERAPEUTIC PROCEDURES'.

For licensing inquiries, please contact partnerships@abcam.com