JavaScript is disabled in your browser. Please enable JavaScript to view this website.
AB238762

Anti-MGAT2 antibody

Be the first to review this product! Submit a review

|

(0 Publication)

Rabbit Polyclonal MGAT2 antibody. Suitable for IHC-P and reacts with Human samples. Immunogen corresponding to Recombinant Fragment Protein within Human MOGAT2 aa 100-300.

View Alternative Names

DC5, DGAT2L5, MOGAT2, 2-acylglycerol O-acyltransferase 2, Acyl-CoA:monoacylglycerol acyltransferase 2, Diacylglycerol O-acyltransferase candidate 5, Diacylglycerol acyltransferase 2-like protein 5, Monoacylglycerol O-acyltransferase 2, MGAT2, hMGAT2, hDC5

1 Images
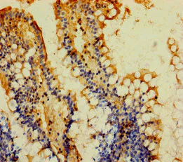
Immunohistochemistry (Formalin/PFA-fixed paraffin-embedded sections) - Anti-MGAT2 antibody (AB238762)
  • IHC-P

Supplier Data

Immunohistochemistry (Formalin/PFA-fixed paraffin-embedded sections) - Anti-MGAT2 antibody (AB238762)

Paraffin-embedded human small intestine tissue stained for MGAT2 using ab238762 at 1/100 dilution in immunohistochemical analysis.

Key facts

Host species

Rabbit

Clonality

Polyclonal

Isotype

IgG

Carrier free

No

Reacts with

Human

Applications

IHC-P

applications

Immunogen

Recombinant Fragment Protein within Human MOGAT2 aa 100-300. The exact immunogen used to generate this antibody is proprietary information.

Q3SYC2

Reactivity data

{ "title": "Reactivity Data", "filters": { "stats": ["", "Species", "Dilution Info", "Notes"], "tabs": { "all-applications": {"fullname" : "All Applications", "shortname": "All Applications"}, "IHCP" : {"fullname" : "Immunohistochemistry (Formalin/PFA-fixed paraffin-embedded sections)", "shortname":"IHC-P"} }, "product-promise": { "all": "all", "testedAndGuaranteed": "tested", "guaranteed": "expected", "predicted": "predicted", "notRecommended": "not-recommended" } }, "values": { "Human": { "IHCP-species-checked": "testedAndGuaranteed", "IHCP-species-dilution-info": "1/20 - 1/200", "IHCP-species-notes": "<p></p>" } } }

Properties and storage information

Form
Liquid
Purification technique
Affinity purification Protein G
Purification notes
Purity greater than 95%.
Storage buffer
pH: 7.4 Preservative: 0.03% Proclin 300 Constituents: PBS, 50% Glycerol (glycerin, glycerine)
Shipped at conditions
Blue Ice
Appropriate short-term storage duration
1-2 weeks
Appropriate short-term storage conditions
+4°C
Appropriate long-term storage conditions
-20°C
Aliquoting information
Upon delivery aliquot
Storage information
Avoid freeze / thaw cycle

Supplementary information

This supplementary information is collated from multiple sources and compiled automatically.

MGAT2 also known as alpha-16-mannosyl-glycoprotein 2-beta-N-acetylglucosaminyltransferase is an enzyme with a molecular mass of approximately 58 kDa. It plays an important role in the glycosylation process. We find MGAT2 mainly expressed in the Golgi apparatus within various human tissues. This enzyme catalyzes the addition of N-acetylglucosamine to form branched N-glycans which are essential for protein maturation and function.
Biological function summary

MGAT2 participates in the modification of N-linked oligosaccharides as part of a larger glycosylation complex. Glycosylation is a critical step in the maturation of glycoproteins impacting cell signaling protein folding and stability. MGAT2 modifies high mannose-type oligosaccharides into complex types enhancing their functional diversity. The role of MGAT2 in these processes affects multiple cellular functions necessary for maintaining homeostasis.

Pathways

MGAT2 interacts with key proteins in the N-glycan biosynthesis pathway and has connections to the calnexin/calreticulin cycle. In these pathways MGAT2 works with other glycosyltransferases to construct fully mature glycoproteins which are subsequently important for protein folding and quality control. Its interaction with proteins such as MGAT1 and GNPTAB ensures efficient glycoprotein processing and quality control before they achieve their final functional structures.

MGAT2 has associations with carbohydrate-deficient glycoprotein syndrome type II a rare inherited disorder affecting glycosylation. This condition results from mutations in the MGAT2 gene leading to improper glycan branching and subsequent physiological issues. The altered glycosylation impacts various proteins contributing to this multisystem disorder. Additionally variations and malfunctions involving MGAT2 can affect immune response linking it indirectly to immunological conditions although more research is necessary to fully comprehend these connections.

Product protocols

For this product, it's our understanding that no specific protocols are required. You can visit:

Target data

Involved in glycerolipid synthesis and lipid metabolism (PubMed : 12621063, PubMed : 18768481, PubMed : 27184406, PubMed : 28420705). Catalyzes the formation of diacylglycerol, the precursor of triacylglycerol, by transferring the acyl chain of a fatty acyl-CoA to a monoacylglycerol (PubMed : 12621063, PubMed : 27184406). Plays a central role in absorption of dietary fat in the small intestine by catalyzing the resynthesis of triacylglycerol in enterocytes (By similarity). Has a preference toward monoacylglycerols containing unsaturated fatty acids in an order of C18 : 3 > C18 : 2 > C18 : 1 > C18 : 0 at sn-2 (PubMed : 12621063). Able to use 1-monoalkylglycerol (1-MAkG, 1-O-alkylglycerol) as an acyl acceptor for the synthesis of monoalkyl-monoacylglycerol (MAMAG, 1-O-alkyl-3-acylglycerol or 1-O-alkyl-2-acylglycerol) and subsequently, with lower efficiency, may add another acyl chain producing monoalkyl-diacylglycerol (MADAG, 1-O-alkyl-2,3-diacylglycerol) (PubMed : 28420705). Possesses weak but significant activity with diacylglycerol as substrate, producing triacylglycerol (triacyl-sn-glycerol) (PubMed : 18768481).
See full target information MOGAT2

Product promise

We are committed to supporting your work with high-quality reagents, and we're here for you every step of the way. In the unlikely event that one of our products does not perform as expected, you're protected by our Product Promise.
For full details, please see our Terms & Conditions

Please note: All products are 'FOR RESEARCH USE ONLY. NOT FOR USE IN DIAGNOSTIC OR THERAPEUTIC PROCEDURES'.

For licensing inquiries, please contact partnerships@abcam.com