JavaScript is disabled in your browser. Please enable JavaScript to view this website.
AB244318

Anti-MGAT5 antibody

5

(3 Reviews)

|

(1 Publication)

Rabbit Polyclonal MGAT5 antibody. Suitable for IHC-P and reacts with Human samples. Cited in 1 publication. Immunogen corresponding to Recombinant Fragment Protein within Human MGAT5 aa 600 to C-terminus.

View Alternative Names

GGNT5, MGAT5, GlcNAc-T V, Mannoside acetylglucosaminyltransferase 5, N-acetylglucosaminyl-transferase V, GNT-V

1 Images
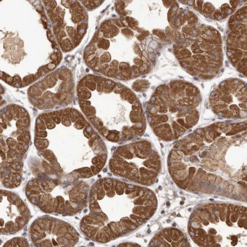
Immunohistochemistry (Formalin/PFA-fixed paraffin-embedded sections) - Anti-MGAT5 antibody (AB244318)
  • IHC-P

Unknown

Immunohistochemistry (Formalin/PFA-fixed paraffin-embedded sections) - Anti-MGAT5 antibody (AB244318)

Formalin-fixed, paraffin-embedded human stomach tissue stained for MGAT5 with ab244318 at a 1/50 dilution in immunohistochemical analysis.

Key facts

Host species

Rabbit

Clonality

Polyclonal

Isotype

IgG

Carrier free

No

Reacts with

Human

Applications

IHC-P

applications

Immunogen

Recombinant Fragment Protein within Human MGAT5 aa 600 to C-terminus. The exact immunogen used to generate this antibody is proprietary information.

Q09328

Reactivity data

{ "title": "Reactivity Data", "filters": { "stats": ["", "Species", "Dilution Info", "Notes"], "tabs": { "all-applications": {"fullname" : "All Applications", "shortname": "All Applications"}, "IHCP" : {"fullname" : "Immunohistochemistry (Formalin/PFA-fixed paraffin-embedded sections)", "shortname":"IHC-P"} }, "product-promise": { "all": "all", "testedAndGuaranteed": "tested", "guaranteed": "expected", "predicted": "predicted", "notRecommended": "not-recommended" } }, "values": { "Human": { "IHCP-species-checked": "testedAndGuaranteed", "IHCP-species-dilution-info": "1/50 - 1/200", "IHCP-species-notes": "<p></p> Perform heat-mediated antigen retrieval with citrate buffer pH 6 before commencing with IHC staining protocol." }, "Mouse": { "IHCP-species-checked": "predicted", "IHCP-species-dilution-info": "", "IHCP-species-notes": "" }, "Rat": { "IHCP-species-checked": "predicted", "IHCP-species-dilution-info": "", "IHCP-species-notes": "" } } }

Properties and storage information

Form
Liquid
Purification technique
Affinity purification Immunogen
Storage buffer
pH: 7.2 Preservative: 0.02% Sodium azide Constituents: PBS, 40% Glycerol (glycerin, glycerine)
Shipped at conditions
Blue Ice
Appropriate short-term storage duration
1-2 weeks
Appropriate short-term storage conditions
+4°C
Appropriate long-term storage conditions
-20°C
Aliquoting information
Upon delivery aliquot
Storage information
Avoid freeze / thaw cycle

Supplementary information

This supplementary information is collated from multiple sources and compiled automatically.

MGAT5 also known as beta-16-N-acetylglucosaminyltransferase V or GnT-V is an enzyme with a molecular mass of approximately 83 kDa. This enzyme plays a role in the Golgi apparatus where it modifies N-glycans on glycoproteins by adding N-acetylglucosamine to N-glycans. MGAT5 is expressed in various tissues including the brain liver and kidneys. Its enzymatic function is essential in creating complex branched glycan structures influencing the cellular surface glycosylation patterns.
Biological function summary

MGAT5 contributes to cellular processes such as cell-cell communication cell migration and signal transduction. These processes are important in tissues where it is expressed. MGAT5 is not part of a complex but works closely with other glycosyltransferases in the glycosylation pathway. Its glycan products interact with lectins and receptors on the cell surface influencing signaling pathways and cellular behavior.

Pathways

MGAT5 is significant in the glycosylation pathway and the PI3K/AKT signaling pathway. In these pathways MGAT5 modifies glycoproteins which can impact receptor function and downstream signaling. It interacts with proteins such as integrins and growth factor receptors affecting cellular responses to environmental cues and influencing growth and differentiation signals.

MGAT5 is associated with cancer progression and autoimmune diseases. Altered MGAT5 expression and activity in cancer cells can promote tumor growth and metastasis by enhancing cell invasion and evasion mechanisms. The enzyme links to proteins like TGF-beta receptor and E-cadherin in cancer contributing to the changes in cellular adhesion and signaling that facilitate metastasis. In autoimmune diseases MGAT5 modulates immune cell function impacting disease progression and severity.

Product protocols

For this product, it's our understanding that no specific protocols are required. You can visit:

Target data

Catalyzes the addition of N-acetylglucosamine (GlcNAc) in beta 1-6 linkage to the alpha-linked mannose of biantennary N-linked oligosaccharides (PubMed : 10395745, PubMed : 30140003). Catalyzes an important step in the biosynthesis of branched, complex-type N-glycans, such as those found on EGFR, TGFR (TGF-beta receptor) and CDH2 (PubMed : 10395745, PubMed : 22614033, PubMed : 30140003). Via its role in the biosynthesis of complex N-glycans, plays an important role in the activation of cellular signaling pathways, reorganization of the actin cytoskeleton, cell-cell adhesion and cell migration. MGAT5-dependent EGFR N-glycosylation enhances the interaction between EGFR and LGALS3 and thereby prevents rapid EGFR endocytosis and prolongs EGFR signaling. Required for efficient interaction between TGFB1 and its receptor. Enhances activation of intracellular signaling pathways by several types of growth factors, including FGF2, PDGF, IGF, TGFB1 and EGF. MGAT5-dependent CDH2 N-glycosylation inhibits CDH2-mediated homotypic cell-cell adhesion and contributes to the regulation of downstream signaling pathways. Promotes cell migration. Contributes to the regulation of the inflammatory response. MGAT5-dependent TCR N-glycosylation enhances the interaction between TCR and LGALS3, limits agonist-induced TCR clustering, and thereby dampens TCR-mediated responses to antigens. Required for normal leukocyte evasation and accumulation at sites of inflammation (By similarity). Inhibits attachment of monocytes to the vascular endothelium and subsequent monocyte diapedesis (PubMed : 22614033).. Secreted alpha-1,6-mannosylglycoprotein 6-beta-N-acetylglucosaminyltransferase A. Promotes proliferation of umbilical vein endothelial cells and angiogenesis, at least in part by promoting the release of the growth factor FGF2 from the extracellular matrix.
See full target information MGAT5

Publications (1)

Recent publications for all applications. Explore the full list and refine your search

American journal of translational research 16:5829-5845 PubMed39544779

2024

Zhi Zhu Ma Ren pill relieves constipation in mice through endoplasmic reticulum stress-mediated apoptosis.

Applications

Unspecified application

Species

Unspecified reactive species

Yong Wen,Yu Zhan,Jun Li,Ling Xu,Chengzi Huang,Rong Wu,Xuegui Tang
View all publications

Product promise

We are committed to supporting your work with high-quality reagents, and we're here for you every step of the way. In the unlikely event that one of our products does not perform as expected, you're protected by our Product Promise.
For full details, please see our Terms & Conditions

Please note: All products are 'FOR RESEARCH USE ONLY. NOT FOR USE IN DIAGNOSTIC OR THERAPEUTIC PROCEDURES'.

For licensing inquiries, please contact partnerships@abcam.com