JavaScript is disabled in your browser. Please enable JavaScript to view this website.
AB197389

Anti-MGEA5/OGA antibody

Be the first to review this product! Submit a review

|

(1 Publication)

Rabbit Polyclonal MGEA5/OGA antibody. Suitable for WB, IHC-P and reacts with Human, Mouse, Rat samples. Cited in 1 publication. Immunogen corresponding to Recombinant Fragment Protein within Human OGA.

View Alternative Names

HEXC, KIAA0679, MEA5, MGEA5, OGA, Protein O-GlcNAcase, Beta-N-acetylglucosaminidase, Beta-N-acetylhexosaminidase, Beta-hexosaminidase, Meningioma-expressed antigen 5, N-acetyl-beta-D-glucosaminidase, N-acetyl-beta-glucosaminidase, Nuclear cytoplasmic O-GlcNAcase and acetyltransferase, NCOAT

2 Images
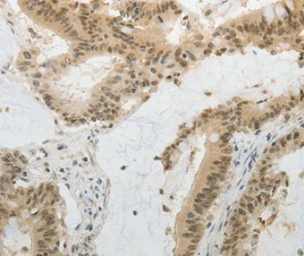
Immunohistochemistry (Formalin/PFA-fixed paraffin-embedded sections) - Anti-MGEA5/OGA antibody (AB197389)
  • IHC-P

Supplier Data

Immunohistochemistry (Formalin/PFA-fixed paraffin-embedded sections) - Anti-MGEA5/OGA antibody (AB197389)

Immunohistochemical analysis of paraffin-embedded human colon cancer tissue labeling MGEA5/OGA with ab197389 at a 1/20 dilution.

Western blot - Anti-MGEA5/OGA antibody (AB197389)
  • WB

Supplier Data

Western blot - Anti-MGEA5/OGA antibody (AB197389)

All lanes:

Western blot - Anti-MGEA5/OGA antibody (ab197389) at 1/300 dilution

All lanes:

human fetal liver tissue lysate at 40 µg

Predicted band size: 102 kDa

false

Exposure time: 30s

Key facts

Host species

Rabbit

Clonality

Polyclonal

Isotype

IgG

Carrier free

No

Reacts with

Human, Mouse, Rat

Applications

IHC-P, WB

applications

Immunogen

Recombinant Fragment Protein within Human OGA. The exact immunogen used to generate this antibody is proprietary information.

O60502

Reactivity data

{ "title": "Reactivity Data", "filters": { "stats": ["", "Species", "Dilution Info", "Notes"], "tabs": { "all-applications": {"fullname" : "All Applications", "shortname": "All Applications"}, "WB" : {"fullname" : "Western blot", "shortname":"WB"}, "IHCP" : {"fullname" : "Immunohistochemistry (Formalin/PFA-fixed paraffin-embedded sections)", "shortname":"IHC-P"} }, "product-promise": { "all": "all", "testedAndGuaranteed": "tested", "guaranteed": "expected", "predicted": "predicted", "notRecommended": "not-recommended" } }, "values": { "Human": { "WB-species-checked": "testedAndGuaranteed", "WB-species-dilution-info": "1/200 - 1/1000", "WB-species-notes": "<p></p>", "IHCP-species-checked": "testedAndGuaranteed", "IHCP-species-dilution-info": "1/25 - 1/100", "IHCP-species-notes": "<p></p>" }, "Mouse": { "WB-species-checked": "guaranteed", "WB-species-dilution-info": "1/200 - 1/1000", "WB-species-notes": "<p></p>", "IHCP-species-checked": "guaranteed", "IHCP-species-dilution-info": "1/25 - 1/100", "IHCP-species-notes": "<p></p>" }, "Rat": { "WB-species-checked": "guaranteed", "WB-species-dilution-info": "1/200 - 1/1000", "WB-species-notes": "<p></p>", "IHCP-species-checked": "guaranteed", "IHCP-species-dilution-info": "1/25 - 1/100", "IHCP-species-notes": "<p></p>" } } }

Properties and storage information

Form
Liquid
Purification technique
Affinity purification Immunogen
Storage buffer
pH: 7.4 Preservative: 0.05% Sodium azide Constituents: PBS, 50% Glycerol (glycerin, glycerine)
Shipped at conditions
Blue Ice
Appropriate short-term storage duration
1-2 weeks
Appropriate short-term storage conditions
+4°C
Appropriate long-term storage conditions
-20°C
Aliquoting information
Upon delivery aliquot
Storage information
Avoid freeze / thaw cycle

Supplementary information

This supplementary information is collated from multiple sources and compiled automatically.

MGEA5 also referred to as OGA or O-GlcNAcase serves an important mechanical role in cellular metabolism. This enzyme with a molecular mass of around 103 kDa is primarily involved in the removal of O-GlcNAc modifications from serine/threonine residues on nuclear and cytoplasmic proteins. It is expressed in various tissues but exhibits predominant activity in the brain liver and pancreas. Alternative names like "OGA stains" or "OGA b" may also be encountered in literature or research contexts.
Biological function summary

MGEA5 acts as an important modulator of protein function and regulation by cycling O-GlcNAc modifications thereby influencing processes like transcription signal transduction and apoptosis. While not part of a well-defined complex it frequently interacts with other proteins involved in glucose metabolism and the cellular stress response. Its activity works in concert with OGT (O-GlcNAc transferase) which adds O-GlcNAc maintaining a balance important for cellular function.

Pathways

MGEA5 involvement centers largely around glucose homeostasis and the insulin signaling pathway. It modulates the function of proteins like insulin receptor substrate (IRS) and other key regulators in this pathway affecting metabolic regulation and energy homeostasis. It shows a direct relationship with OGT as they reciprocate in action effects highlighting their collaborative role in cellular pathways that affect cellular signaling and survival.

MGEA5 has been implicated in neurodegenerative diseases and diabetes. In Alzheimer's disease altered O-GlcNAc cycling affects tau protein homeostasis which is significant in disease pathogenesis. Likewise in diabetes MGEA5 influences insulin resistance by regulating O-GlcNAc levels on insulin signaling molecules. Dysregulation of these processes may also involve proteins such as beta-amyloid further linking MGEA5 to these pathological states.

Product protocols

For this product, it's our understanding that no specific protocols are required. You can visit:

Target data

Isoform 1. Cleaves GlcNAc but not GalNAc from O-glycosylated proteins (PubMed : 11148210, PubMed : 11788610, PubMed : 20673219, PubMed : 22365600, PubMed : 24088714, PubMed : 28939839, PubMed : 37962578). Deglycosylates a large and diverse number of proteins, such as CRYAB, ELK1, GSDMD, LMNB1 and TAB1 (PubMed : 28939839, PubMed : 37962578). Can use p-nitrophenyl-beta-GlcNAc and 4-methylumbelliferone-GlcNAc as substrates but not p-nitrophenyl-beta-GalNAc or p-nitrophenyl-alpha-GlcNAc (in vitro) (PubMed : 20673219). Does not bind acetyl-CoA and does not have histone acetyltransferase activity (PubMed : 24088714).. Isoform 3. Cleaves GlcNAc but not GalNAc from O-glycosylated proteins. Can use p-nitrophenyl-beta-GlcNAc as substrate but not p-nitrophenyl-beta-GalNAc or p-nitrophenyl-alpha-GlcNAc (in vitro), but has about six times lower specific activity than isoform 1.
See full target information OGA

Publications (1)

Recent publications for all applications. Explore the full list and refine your search

Frontiers in pharmacology 12:705617 PubMed34413777

2021

Oroxylin a Attenuates Limb Ischemia by Promoting Angiogenesis Modulation of Endothelial Cell Migration.

Applications

Unspecified application

Species

Unspecified reactive species

Lusha Zhang,Lu Chen,Chunxiao Li,Hong Shi,Qianyi Wang,Wenjie Yang,Leyu Fang,Yuze Leng,Wei Sun,Mengyao Li,Yuejin Xue,Xiumei Gao,Hong Wang
View all publications

Product promise

We are committed to supporting your work with high-quality reagents, and we're here for you every step of the way. In the unlikely event that one of our products does not perform as expected, you're protected by our Product Promise.
For full details, please see our Terms & Conditions

Please note: All products are 'FOR RESEARCH USE ONLY. NOT FOR USE IN DIAGNOSTIC OR THERAPEUTIC PROCEDURES'.

For licensing inquiries, please contact partnerships@abcam.com