JavaScript is disabled in your browser. Please enable JavaScript to view this website.
AB289639

Anti-mGluR1a antibody [EPR24160-173] - BSA and Azide free

Be the first to review this product! Submit a review

|

(0 Publication)

Rabbit Recombinant Monoclonal GRM1 antibody. Carrier free. Suitable for IHC-Fr, IP, WB, IHC-P and reacts with Rat, Mouse samples.

View Alternative Names

Gprc1a, Mglur1, Grm1, Metabotropic glutamate receptor 1, mGluR1

10 Images
Immunohistochemistry (Frozen sections) - Anti-mGluR1a antibody [EPR24160-173] - BSA and Azide free (AB289639)
  • IHC-Fr

Supplier Data

Immunohistochemistry (Frozen sections) - Anti-mGluR1a antibody [EPR24160-173] - BSA and Azide free (AB289639)

Immunohistochemical analysis of 4% PFA-fixed frozen mouse pinnae (fresh) tissue labelling mGluR1a with ab259888 at 1/500 dilution (0.98 μg/ml) followed by ab150081 at 1/1000 dilution (2 μg/mL). Negative control : no staining on mouse pinnae (PMID : 18776920) is observed.

Secondary antibody control : Secondary antibody is ab150081 at 1/1000 dilution (2 μg/mL).

This data was developed using ab259888, the same antibody clone in a different buffer formulation.

Immunohistochemistry (Formalin/PFA-fixed paraffin-embedded sections) - Anti-mGluR1a antibody [EPR24160-173] - BSA and Azide free (AB289639)
  • IHC-P

Supplier Data

Immunohistochemistry (Formalin/PFA-fixed paraffin-embedded sections) - Anti-mGluR1a antibody [EPR24160-173] - BSA and Azide free (AB289639)

This data was developed using ab259888, the same antibody clone in a different buffer formulation.

Immunohistochemical analysis of paraffin-embedded mouse kidney labelling mGluR1a with ab259888 at 1/2000(0.261ug/ml) dilution followed by a ready to use LeicaDS9800 (Bond™ Polymer Refine Detection). Apical staining on mouse kidney. The section was incubated with ab259888 for 30 mins at room temperature. The immunostaining was performed on a Leica Biosystems BOND® RX instrument. Counterstained with Hematoxylin.

Secondary antibody only control : Secondary antibody is a ready to use LeicaDS9800 (Bond™ Polymer Refine Detection).

Heat mediated antigen retrieval with Tris-EDTA buffer (pH 9.0, epitope retrieval solution2) for 20 mins.

Immunohistochemistry (Frozen sections) - Anti-mGluR1a antibody [EPR24160-173] - BSA and Azide free (AB289639)
  • IHC-Fr

Supplier Data

Immunohistochemistry (Frozen sections) - Anti-mGluR1a antibody [EPR24160-173] - BSA and Azide free (AB289639)

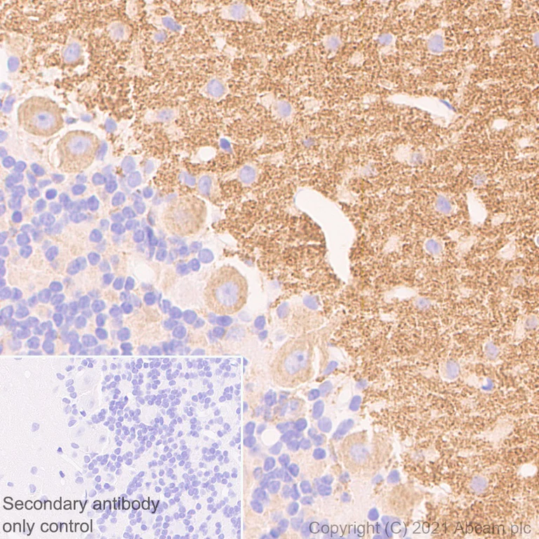
Immunohistochemical analysis of 4% PFA-fixed frozen rat cerebellum (fresh) tissue labelling mGluR1a with ab259888 at 1/500 dilution (0.98 μg/ml) followed by ab150081 at 1/1000 dilution (2 μg/mL). Positive staining on rat cerebellum is observed.

Secondary antibody control : Secondary antibody is ab150081 at 1/1000 dilution (2 μg/mL).

This data was developed using ab259888, the same antibody clone in a different buffer formulation.

Immunohistochemistry (Frozen sections) - Anti-mGluR1a antibody [EPR24160-173] - BSA and Azide free (AB289639)
  • IHC-Fr

Supplier Data

Immunohistochemistry (Frozen sections) - Anti-mGluR1a antibody [EPR24160-173] - BSA and Azide free (AB289639)

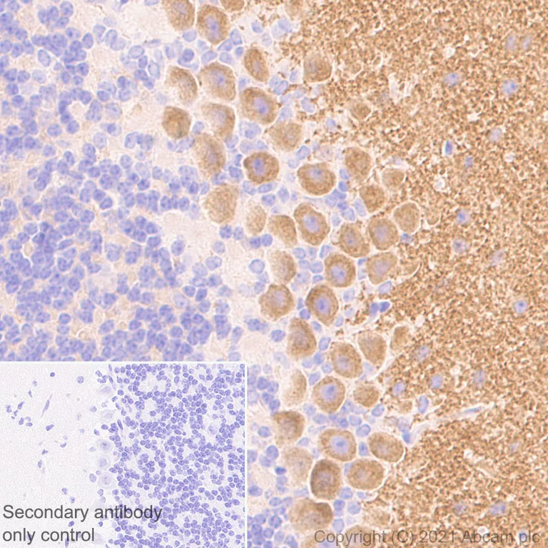
Immunohistochemical analysis of 4% PFA-fixed frozen mouse cerebellum (fresh) tissue labelling mGluR1a with ab259888 at 1/500 dilution (0.98 μg/ml) followed by ab150081 at 1/1000 dilution (2 μg/mL). Positive staining on mouse cerebellum is observed.

Secondary antibody control : Secondary antibody is ab150081 at 1/1000 dilution (2 μg/mL).

This data was developed using ab259888, the same antibody clone in a different buffer formulation.

Immunohistochemistry (Formalin/PFA-fixed paraffin-embedded sections) - Anti-mGluR1a antibody [EPR24160-173] - BSA and Azide free (AB289639)
  • IHC-P

Lab

Immunohistochemistry (Formalin/PFA-fixed paraffin-embedded sections) - Anti-mGluR1a antibody [EPR24160-173] - BSA and Azide free (AB289639)

This data was developed using ab259888, the same antibody clone in a different buffer formulation.

Immunohistochemical analysis of paraffin-embedded rat cerebellum labelling mGluR1a with ab259888 at 1/2000(0.261ug/ml) dilution followed by a ready to use LeicaDS9800 (Bond™ Polymer Refine Detection). Cytoplasmic staining on rat cerebellum. The section was incubated with ab259888 for 30 mins at room temperature. The immunostaining was performed on a Leica Biosystems BOND® RX instrument. Counterstained with Hematoxylin.

Secondary antibody only control : Secondary antibody is a ready to use LeicaDS9800 (Bond™ Polymer Refine Detection).

Heat mediated antigen retrieval with Tris-EDTA buffer (pH 9.0, epitope retrieval solution2) for 20 mins.

Immunohistochemistry (Formalin/PFA-fixed paraffin-embedded sections) - Anti-mGluR1a antibody [EPR24160-173] - BSA and Azide free (AB289639)
  • IHC-P

Supplier Data

Immunohistochemistry (Formalin/PFA-fixed paraffin-embedded sections) - Anti-mGluR1a antibody [EPR24160-173] - BSA and Azide free (AB289639)

This data was developed using ab259888, the same antibody clone in a different buffer formulation.

Immunohistochemical analysis of paraffin-embedded mouse cerebellum labelling mGluR1a with ab259888 at 1/2000(0.261ug/ml) dilution followed by a ready to use LeicaDS9800 (Bond™ Polymer Refine Detection). Cytoplasmic staining on mouse cerebellum (PMID : 30190524). The section was incubated with ab259888 (1/2000) for 30 mins at room temperature. The immunostaining was performed on a Leica Biosystems BOND® RX instrument. Counterstained with Hematoxylin.

Secondary antibody only control : Secondary antibody is a ready to use LeicaDS9800 (Bond™ Polymer Refine Detection).

Heat mediated antigen retrieval with Tris-EDTA buffer (pH 9.0, epitope retrieval solution2) for 20 mins.

Immunohistochemistry (Formalin/PFA-fixed paraffin-embedded sections) - Anti-mGluR1a antibody [EPR24160-173] - BSA and Azide free (AB289639)
  • IHC-P

Supplier Data

Immunohistochemistry (Formalin/PFA-fixed paraffin-embedded sections) - Anti-mGluR1a antibody [EPR24160-173] - BSA and Azide free (AB289639)

This data was developed using ab259888, the same antibody clone in a different buffer formulation.

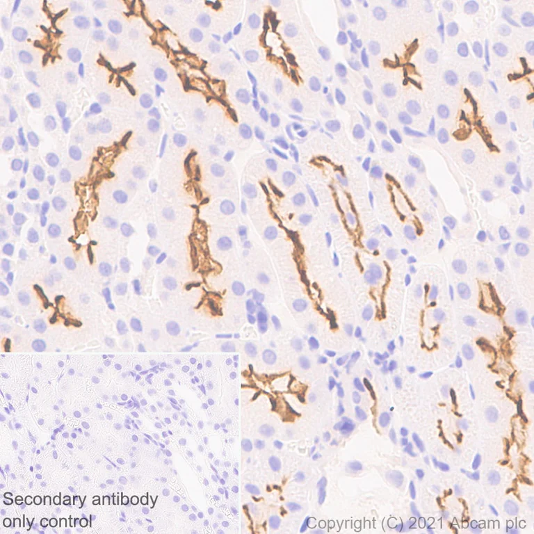
Immunohistochemical analysis of paraffin-embedded rat kidney labelling mGluR1a with ab259888 at 1/2000(0.261ug/ml) dilution followed by a ready to use LeicaDS9800 (Bond™ Polymer Refine Detection). Apical staining on rat kidney. The section was incubated with ab259888 for 30 mins at room temperature. The immunostaining was performed on a Leica Biosystems BOND® RX instrument. Counterstained with Hematoxylin.

Secondary antibody only control : Secondary antibody is a ready to use LeicaDS9800 (Bond™ Polymer Refine Detection).

Heat mediated antigen retrieval with Tris-EDTA buffer (pH 9.0, epitope retrieval solution2) for 20 mins.

Immunoprecipitation - Anti-mGluR1a antibody [EPR24160-173] - BSA and Azide free (AB289639)
  • IP

Supplier Data

Immunoprecipitation - Anti-mGluR1a antibody [EPR24160-173] - BSA and Azide free (AB289639)

This data was developed using ab259888, the same antibody clone in a different buffer formulation.

mGluR1a was immunoprecipated from rat cerebellum tissue lysate 10 μg with ab259888 at 1/30 dilution. Western blot was performed on the immunoprecipitate using ab259888 at 1/1000 dilution. VeriBlot for IP secondary antibody (HRP) (ab131366) was used at 1/5000 dilution.

Lane 1 : (Input) Rat cerebellum tissue lysate 10 μg

Lane 2 : Rat cerebellum tissue lysate

Lane 3 : Rabbit monoclonal IgG (ab172730) instead of ab259888 in rat cerebellum tissue lysate

Blocking and dilution buffer and concentration : 5% NFDM/TBST.

The expression profile is consistent with the literature. PMID : 27721389.

All lanes:

Immunoprecipitation - Anti-mGluR1a antibody [EPR24160-173] - BSA and Azide free (ab289639)

Predicted band size: 132 kDa

Observed band size: 101 kDa,132 kDa

false

Immunoprecipitation - Anti-mGluR1a antibody [EPR24160-173] - BSA and Azide free (AB289639)
  • IP

Supplier Data

Immunoprecipitation - Anti-mGluR1a antibody [EPR24160-173] - BSA and Azide free (AB289639)

This data was developed using ab259888, the same antibody clone in a different buffer formulation.

mGluR1a was immunoprecipated from mouse cerebellum tissue lysate 10 μg with ab259888 at 1/30 dilution. Western blot was performed on the immunoprecipitate using ab259888 at 1/1000 dilution. VeriBlot for IP secondary antibody (HRP) (ab131366) was used at 1/5000 dilution.

Lane 1 : (Input) Mouse cerebellum tissue lysate 10 μg

Lane 2 : Mouse cerebellum tissue lysate

Lane 3 : Rabbit monoclonal IgG (ab172730) instead of ab259888 in mouse cerebellum tissue lysate

Blocking and dilution buffer and concentration : 5% NFDM/TBST.

The expression profile is consistent with the literature. PMID : 27721389.

All lanes:

Immunoprecipitation - Anti-mGluR1a antibody [EPR24160-173] - BSA and Azide free (ab289639)

Predicted band size: 132 kDa

Observed band size: 101 kDa,132 kDa,260 kDa

false

Western blot - Anti-mGluR1a antibody [EPR24160-173] - BSA and Azide free (AB289639)
  • WB

Supplier Data

Western blot - Anti-mGluR1a antibody [EPR24160-173] - BSA and Azide free (AB289639)

This data was developed using ab259888, the same antibody clone in a different buffer formulation.

5% NFDM/TBST was used as a blocking and diluting buffer.

Samples are non-boiled as boiling may cause protein aggregates.
Low expression : pinnae (PMID : 18776920)
The expression profile is consistent with the literature : PMID : 27721389.

All lanes:

Western blot - Anti-mGluR1a antibody [EPR24160-173] - BSA and Azide free (ab289639) at 1/1000 dilution

Lane 1:

Mouse brain tissue lysate at 20 µg

Lane 2:

Mouse cerebellum tissue lysate at 20 µg

Lane 3:

Mouse pinnae tissue lysate at 20 µg

Lane 4:

Rat brain tissue lysate at 20 µg

Lane 5:

Rat cerebellum tissue lysate at 20 µg

Secondary

All lanes:

Western blot - Goat Anti-Rabbit IgG H&L (HRP) (<a href='/en-us/products/secondary-antibodies/goat-rabbit-igg-h-l-hrp-ab97051'>ab97051</a>) at 1/100000 dilution

Predicted band size: 132 kDa

Observed band size: 132 kDa,260 kDa

false

Exposure time: 3min

Key facts

Host species

Rabbit

Clonality

Monoclonal

Clone number

EPR24160-173

Isotype

IgG

Carrier free

Yes

Reacts with

Mouse, Rat

Applications

IHC-P, IP, IHC-Fr, WB

applications

Immunogen

The exact immunogen used to generate this antibody is proprietary information.

Reactivity data

{ "title": "Reactivity Data", "filters": { "stats": ["", "Species", "Dilution Info", "Notes"], "tabs": { "all-applications": {"fullname" : "All Applications", "shortname": "All Applications"}, "IHCFr" : {"fullname" : "Immunohistochemistry (Frozen sections)", "shortname":"IHC-Fr"}, "IP" : {"fullname" : "Immunoprecipitation", "shortname":"IP"}, "WB" : {"fullname" : "Western blot", "shortname":"WB"}, "IHCP" : {"fullname" : "Immunohistochemistry (Formalin/PFA-fixed paraffin-embedded sections)", "shortname":"IHC-P"} }, "product-promise": { "all": "all", "testedAndGuaranteed": "tested", "guaranteed": "expected", "predicted": "predicted", "notRecommended": "not-recommended" } }, "values": { "Human": { "IHCFr-species-checked": "notRecommended", "IHCFr-species-dilution-info": "", "IHCFr-species-notes": "", "IP-species-checked": "notRecommended", "IP-species-dilution-info": "", "IP-species-notes": "<p></p>", "WB-species-checked": "notRecommended", "WB-species-dilution-info": "", "WB-species-notes": "<p></p>", "IHCP-species-checked": "notRecommended", "IHCP-species-dilution-info": "", "IHCP-species-notes": "<p></p>" }, "Mouse": { "IHCFr-species-checked": "testedAndGuaranteed", "IHCFr-species-dilution-info": "", "IHCFr-species-notes": "<p></p>", "IP-species-checked": "testedAndGuaranteed", "IP-species-dilution-info": "", "IP-species-notes": "<p></p>", "WB-species-checked": "testedAndGuaranteed", "WB-species-dilution-info": "", "WB-species-notes": "<p></p>", "IHCP-species-checked": "testedAndGuaranteed", "IHCP-species-dilution-info": "", "IHCP-species-notes": "<p></p>" }, "Rat": { "IHCFr-species-checked": "testedAndGuaranteed", "IHCFr-species-dilution-info": "", "IHCFr-species-notes": "<p></p>", "IP-species-checked": "testedAndGuaranteed", "IP-species-dilution-info": "", "IP-species-notes": "<p></p>", "WB-species-checked": "testedAndGuaranteed", "WB-species-dilution-info": "", "WB-species-notes": "<p></p>", "IHCP-species-checked": "testedAndGuaranteed", "IHCP-species-dilution-info": "", "IHCP-species-notes": "<p></p>" } } }

Product details

ab289639 is the carrier free version of ab259888

Patented technology
Our RabMAb® technology is a patented hybridoma-based technology for making rabbit monoclonal antibodies. For details on our patents, please refer to RabMAb® patents.

What are the advantages of a recombinant monoclonal antibody?
This product is a recombinant monoclonal antibody, which offers several advantages including:

  • - High batch-to-batch consistency and reproducibility
  • - Improved sensitivity and specificity
  • - Long-term security of supply
  • - Animal-free batch production

For more information, read more on recombinant antibodies.

Conjugation ready
Our carrier-free antibodies are typically supplied in a PBS-only formulation, purified and free of BSA, sodium azide and glycerol. This conjugation-ready format is designed for use with fluorochromes, metal isotopes, oligonucleotides, and enzymes, which makes them ideal for antibody labelling, functional and cell-based assays, flow-based assays (e.g. mass cytometry) and Multiplex Imaging applications.

Use our conjugation kits for antibody conjugates that are ready-to-use in as little as 20 minutes with 1 minute hands-on-time and 100% antibody recovery: available for fluorescent dyes, HRP, biotin and gold.

Compatibility
This product is compatible with the Maxpar® Antibody Labeling Kit from Fluidigm, without the need for antibody preparation. Maxpar® is a trademark of Fluidigm Canada Inc.

Properties and storage information

Form
Liquid
Purification technique
Affinity purification Protein A
Storage buffer
pH: 7.2 - 7.4 Constituents: PBS
Shipped at conditions
Blue Ice
Appropriate short-term storage conditions
+4°C
Appropriate long-term storage conditions
+4°C

Supplementary information

This supplementary information is collated from multiple sources and compiled automatically.

MGluR1a also known as metabotropic glutamate receptor 1a is a G-protein coupled receptor with a mass of approximately 153 kDa. This receptor binds glutamate an excitatory neurotransmitter and initiates intracellular signaling by activating G-proteins. It is expressed in various regions of the brain such as the cerebellum hippocampus and olfactory bulb. The receptor is involved in modulating several synaptic processes by influencing the release of neurotransmitters.
Biological function summary

Glutamate receptor mGluR1a plays a significant role in neuroplasticity and synaptic transmission. It does not act alone but is part of a larger group of metabotropic glutamate receptors. These receptors participate in both excitatory and inhibitory signaling pathways affecting signal regulation and neuron connectivity. mGluR1a contributes to learning and memory processes through its ability to modulate synaptic strength.

Pathways

MGluR1a is an important component in the phosphatidylinositol signaling system and the glutamatergic synapse pathway. Both pathways are related to calcium ion homeostasis and protein trafficking in neurons. Among the related proteins Homer and Shank play a role in the mGluR1a signaling complex and aid in its function within these pathways affecting synaptic structure and plasticity.

MGluR1a is associated with several neuropathological conditions. Alterations in its function or expression can contribute to the development of neurodegenerative diseases like Alzheimer’s disease and psychiatric disorders such as schizophrenia. The receptor interacts with proteins like amyloid precursor protein (APP) and SynGAP which play roles in the etiology and progression of these conditions. Dysregulation of mGluR1a signaling may affect neuronal death and lead to cognitive defects seen in these diseases.

Product protocols

For this product, it's our understanding that no specific protocols are required. You can visit:

Target data

G-protein coupled receptor for glutamate. Ligand binding causes a conformation change that triggers signaling via guanine nucleotide-binding proteins (G proteins) and modulates the activity of down-stream effectors. Signaling activates a phosphatidylinositol-calcium second messenger system. May participate in the central action of glutamate in the CNS, such as long-term potentiation in the hippocampus and long-term depression in the cerebellum (By. similarity). May function in the light response in the retina (PubMed : 26427409). Induces GRID1 and GRID2 cation-channel activation via GNAQ-PLC-PKC pathway in dopaminergic neurons and cerebellar Purkinje cell, respectively (PubMed : 24357660, PubMed : 27276689, PubMed : 28696429).
See full target information Grm1

Product promise

We are committed to supporting your work with high-quality reagents, and we're here for you every step of the way. In the unlikely event that one of our products does not perform as expected, you're protected by our Product Promise.
For full details, please see our Terms & Conditions

Please note: All products are 'FOR RESEARCH USE ONLY. NOT FOR USE IN DIAGNOSTIC OR THERAPEUTIC PROCEDURES'.

For licensing inquiries, please contact partnerships@abcam.com