JavaScript is disabled in your browser. Please enable JavaScript to view this website.
AB53094

Anti-MGLUR8 antibody

Be the first to review this product! Submit a review

|

(3 Publications)

Rabbit Polyclonal MGLUR8 antibody. Suitable for WB, IHC-P and reacts with Mouse, Human samples. Cited in 3 publications. Immunogen corresponding to Synthetic Peptide within Human GRM8.

View Alternative Names

GPRC1H, MGLUR8, GRM8, Metabotropic glutamate receptor 8, mGluR8

2 Images
Immunohistochemistry (Formalin/PFA-fixed paraffin-embedded sections) - Anti-MGLUR8 antibody (AB53094)
  • IHC-P

Unknown

Immunohistochemistry (Formalin/PFA-fixed paraffin-embedded sections) - Anti-MGLUR8 antibody (AB53094)

Immunohistochemical analysis of paraffin-embedded human brain tissue in the presence (right) and absence (left) of blocking peptide, using ab53094 at 1/50 dilution.

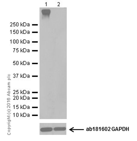
Western blot - Anti-MGLUR8 antibody (AB53094)
  • WB

Unknown

Western blot - Anti-MGLUR8 antibody (AB53094)

All lanes:

Western blot - Anti-MGLUR8 antibody (ab53094) at 1/300 dilution

Lane 1:

Mouse brain extract

Lane 2:

Mouse brain extract with peptide

Predicted band size: 102 kDa

Observed band size: 102 kDa

false

Key facts

Host species

Rabbit

Clonality

Polyclonal

Isotype

IgG

Carrier free

No

Reacts with

Mouse, Human

Applications

IHC-P, WB

applications

Immunogen

Synthetic Peptide within Human GRM8. The exact immunogen used to generate this antibody is proprietary information.

O00222

Reactivity data

{ "title": "Reactivity Data", "filters": { "stats": ["", "Species", "Dilution Info", "Notes"], "tabs": { "all-applications": {"fullname" : "All Applications", "shortname": "All Applications"}, "WB" : {"fullname" : "Western blot", "shortname":"WB"}, "IHCP" : {"fullname" : "Immunohistochemistry (Formalin/PFA-fixed paraffin-embedded sections)", "shortname":"IHC-P"} }, "product-promise": { "all": "all", "testedAndGuaranteed": "tested", "guaranteed": "expected", "predicted": "predicted", "notRecommended": "not-recommended" } }, "values": { "Human": { "WB-species-checked": "guaranteed", "WB-species-dilution-info": "", "WB-species-notes": "", "IHCP-species-checked": "testedAndGuaranteed", "IHCP-species-dilution-info": "", "IHCP-species-notes": "<p></p>" }, "Mouse": { "WB-species-checked": "testedAndGuaranteed", "WB-species-dilution-info": "1/300 - 1/1000", "WB-species-notes": "<p></p>", "IHCP-species-checked": "guaranteed", "IHCP-species-dilution-info": "", "IHCP-species-notes": "" } } }

Properties and storage information

Form
Liquid
Purification technique
Affinity purification Immunogen
Purification notes
ab53094 was affinity purified from rabbit antiserum by affinity chromatography using epitope specific immunogen.
Storage buffer
pH: 7.4 Preservative: 0.02% Sodium azide Constituents: PBS, 50% Glycerol (glycerin, glycerine), 0.87% Sodium chloride
Shipped at conditions
Blue Ice
Appropriate short-term storage conditions
+4°C
Appropriate long-term storage conditions
-20°C
Storage information
Stable for 12 months at -20°C

Supplementary information

This supplementary information is collated from multiple sources and compiled automatically.

The metabotropic glutamate receptor 8 (mGluR8) also known as GRM8 is a G-protein coupled receptor with an approximate molecular mass of 105 kDa. This receptor is involved in neurotransmitter signaling and plays a significant role in synaptic transmission by regulating the release of neurotransmitters. mGluR8 is mostly expressed in the brain specifically in regions related to sensory perception and modulation such as the retina olfactory bulb and various other brain areas.
Biological function summary

MGluR8 impacts neuronal excitability by modulating synaptic plasticity. It is often found as part of a dimerized complex with other mGluR proteins affecting intracellular signaling cascades. The receptor functions largely through inhibition of the cyclic AMP pathway making it a critical regulator in glutamatergic signaling. mGluR8’s activity serves as an important control point for maintaining the balance of excitatory neurotransmission within the central nervous system.

Pathways

MGluR8 is intricately connected to glutamatergic synaptic transmission and the cAMP signaling pathway. Through its role in these pathways mGluR8 interacts with proteins such as adenylate cyclase and other mGluR family members modulating downstream signaling events. These interactions position mGluR8 as an important element in neural communication processes influencing learning and memory functions.

MGluR8 has been associated with neurodegenerative diseases like Alzheimer's and psychiatric disorders such as anxiety. Its regulatory role in glutamatergic neurotransmission links it to pathologies characterized by excitotoxicity and altered synaptic plasticity. Interactions between mGluR8 and other proteins like presenilin-1 in Alzheimer's disease shed light on its potential as a therapeutic target for modulating disease progression.

Product protocols

For this product, it's our understanding that no specific protocols are required. You can visit:

Target data

G-protein coupled receptor for glutamate. Ligand binding causes a conformation change that triggers signaling via guanine nucleotide-binding proteins (G proteins) and modulates the activity of down-stream effectors, such as adenylate cyclase. Signaling inhibits adenylate cyclase activity.
See full target information GRM8

Publications (3)

Recent publications for all applications. Explore the full list and refine your search

Journal of oncology 2021:8002087 PubMed34950209

2021

Metabotropic Glutamate Receptor 8 Is Regulated by miR-33a-5p and Functions as an Oncogene in Breast Cancer.

Applications

Unspecified application

Species

Unspecified reactive species

Chunxu Zhang,Shuang Xie,Shouxin Yuan,Yuanhao Zhang,Yunhu Bai,Lijia Chu,Zuyin Wu,Ninghui Guo,Quanhui Wang,Jixin Zhang

Cancer letters 432:1-16 PubMed29885518

2018

An endogenous and ectopic expression of metabotropic glutamate receptor 8 (mGluR8) inhibits proliferation and increases chemosensitivity of human neuroblastoma and glioma cells.

Applications

Unspecified application

Species

Unspecified reactive species

Danuta Jantas,Beata Grygier,Sławomir Gołda,Jakub Chwastek,Justyna Zatorska,Magdalena Tertil

Brain pathology (Zurich, Switzerland) 26:334-43 PubMed26222673

2015

Integrating Molecular Subclassification of Medulloblastomas into Routine Clinical Practice: A Simplified Approach.

Applications

Unspecified application

Species

Unspecified reactive species

Kavneet Kaur,Aanchal Kakkar,Anupam Kumar,Supriya Mallick,Pramod K Julka,Deepak Gupta,Ashish Suri,Vaishali Suri,Mehar C Sharma,Chitra Sarkar
View all publications

Product promise

We are committed to supporting your work with high-quality reagents, and we're here for you every step of the way. In the unlikely event that one of our products does not perform as expected, you're protected by our Product Promise.
For full details, please see our Terms & Conditions

Please note: All products are 'FOR RESEARCH USE ONLY. NOT FOR USE IN DIAGNOSTIC OR THERAPEUTIC PROCEDURES'.

For licensing inquiries, please contact partnerships@abcam.com