JavaScript is disabled in your browser. Please enable JavaScript to view this website.
AB39253

Anti-MGMT antibody [MT3.1]

4

(6 Reviews)

|

(23 Publications)

Anti-MGMT antibody [MT3.1] (ab39253) is a mouse monoclonal antibody detecting MGMT in Western Blot, IHC-P. Suitable for Human.

- KO validated for confirmed specificity
- Over 10 publications
- Trusted since 2006

View Alternative Names

Methylated-DNA--protein-cysteine methyltransferase, 6-O-methylguanine-DNA methyltransferase, O-6-methylguanine-DNA-alkyltransferase, MGMT

7 Images
Immunohistochemistry (Formalin/PFA-fixed paraffin-embedded sections) - Anti-MGMT antibody [MT3.1] (AB39253)
  • IHC-P

Unknown

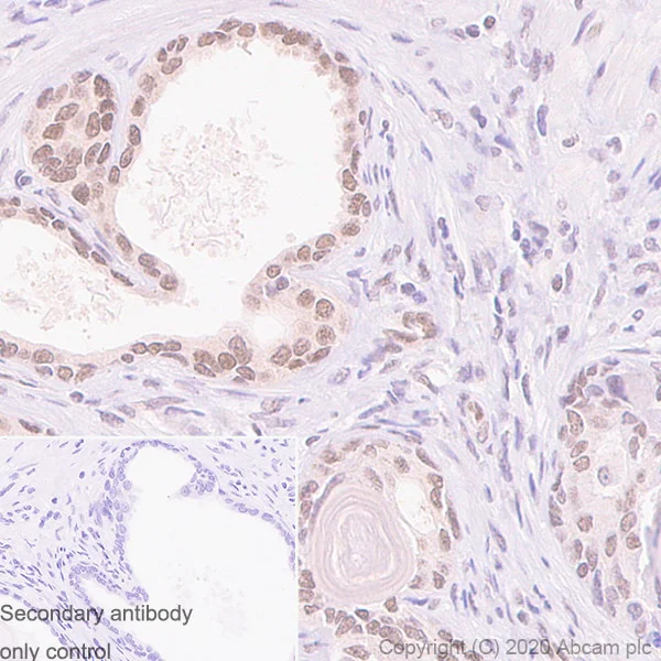
Immunohistochemistry (Formalin/PFA-fixed paraffin-embedded sections) - Anti-MGMT antibody [MT3.1] (AB39253)

Immunohistochemical analysis of paraffin-embedded human prostate carcinoma tissue labeling MGMT with ab39253 at 1/200 followed by a ready to use secondary. Positive staining on human prostate carcinoma. The section was incubated with ab39253 for 30 mins at room temperature. The immunostaining was performed on a Leica Biosystems BOND® RX instrument. Counterstained with Hematoxylin. Secondary antibody only control : Secondary antibody is a ready to use secondary. Heat mediated antigen retrieval with Citrate buffer (pH 6.0, epitope retrieval solution 1) for 20 mins.

Immunohistochemistry (Formalin/PFA-fixed paraffin-embedded sections) - Anti-MGMT antibody [MT3.1] (AB39253)
  • IHC-P

Lab

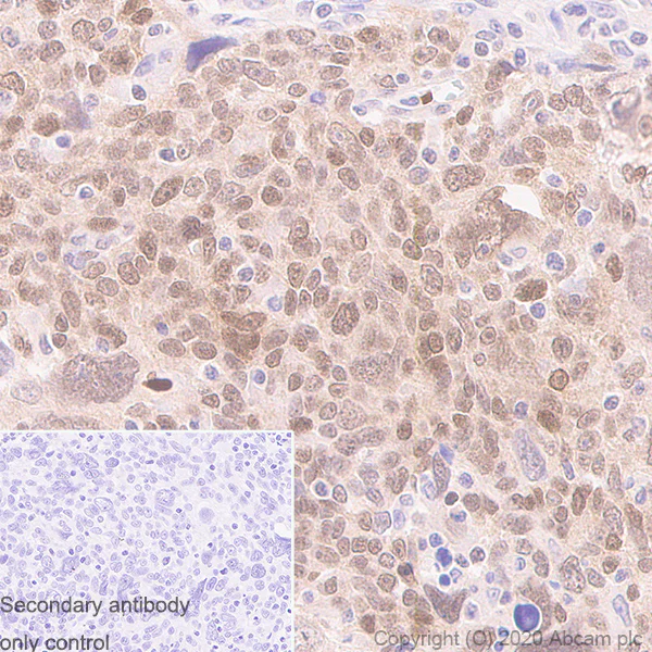
Immunohistochemistry (Formalin/PFA-fixed paraffin-embedded sections) - Anti-MGMT antibody [MT3.1] (AB39253)

Immunohistochemical analysis of paraffin-embedded human lung carcinoma tissue labeling MGMT with ab39253 at 1/200 followed by a ready to use secondary. Positive staining on human lung carcinoma. The section was incubated with ab39253 for 30 mins at room temperature. The immunostaining was performed on a Leica Biosystems BOND® RX instrument. Counterstained with Hematoxylin. Secondary antibody only control : Secondary antibody is a ready to use secondary. Heat mediated antigen retrieval with Citrate buffer (pH 6.0, epitope retrieval solution 1) for 20 mins.

Western blot - Anti-MGMT antibody [MT3.1] (AB39253)
  • WB

Lab

Western blot - Anti-MGMT antibody [MT3.1] (AB39253)

Western blot : Anti-MGMT antibody [MT3.1] (ab39253) staining at 1/500 dilution, shown in green; Rabbit anti-alpha Tubulin antibody [EP1332Y] (ab52866) loading control staining at 1/20000 dilution, shown in magenta. In Western blot, ab39253 was shown to bind specifically to MGMT. A band was observed at 22 kDa in wild-type HCT 116 cell lysates with no signal observed at this size in MGMT knockout cell line ab286541. The band observed in the knockout lysate lane below 22 kDa is likely to represent a truncated form of MGMT. This has not been investigated further and the functional properties of the gene product have not been determined. To generate this image, wild-type and MGMT knockout HCT 116 cell lysates were analysed.First, samples were run on an SDS-PAGE gel then transferred onto a nitrocellulose membrane. Membranes were blocked in 3 % milk in TBS-0.1 % Tween® 20 (TBS-T) before incubation with primary antibodies overnight at 4 °C. Blots were washed four times in TBS-T, incubated with secondary antibodies for 1 h at room temperature, washed again four times then imaged. Secondary antibodies used were Goat anti-Mouse IgG H&L 800CW and Goat anti-Rabbit IgG H&L 680RD at 1/20000 dilution.

All lanes:

Western blot - Anti-MGMT antibody [MT3.1] (ab39253) at 1/500 dilution

Lane 1:

Wild-type HCT 116 cell lysate at 20 µg

Lane 2:

Western blot - Human MGMT knockout HCT116 cell line (<a href='/en-us/products/cell-lines/human-mgmt-knockout-hct116-cell-line-ab286541'>ab286541</a>)

Lane 2:

MGMT knockout HCT 116 cell lysate at 20 µg

Secondary

Lanes 1 - 2:

Goat anti-Mouse IgG H&L 800CW at 1/20000 dilution

Lanes 1 - 2:

Goat anti-Rabbit IgG H&L 680RD at 1/20000 dilution

Observed band size: 22 kDa

false

Western blot - Anti-MGMT antibody [MT3.1] (AB39253)
  • WB

Lab

Western blot - Anti-MGMT antibody [MT3.1] (AB39253)

All lanes:

Western blot - Anti-MGMT antibody [MT3.1] (ab39253) at 1/500 dilution

Lane 1:

MCF7 (human breast adenocarcinoma epithelial cell), whole cell lysate at 20 µg

Lane 2:

HeLa (human cervix adenocarcinoma epithelial cell ), whole cell lysate at 20 µg

Lane 3:

Jurkat (human T cell leukemia T lymphocyte), whole cell lysate at 20 µg

Lane 4:

HCT116 (human colorectal carcinoma epithelial cell), whole cell lysate at 20 µg

Secondary

All lanes:

Peroxidase-Conjugated Goat anti-Mouse IgG (H+L) at 1/10000 dilution

Predicted band size: 22 kDa

Observed band size: 22 kDa

false

Exposure time: 92s

Western blot - Anti-MGMT antibody [MT3.1] (AB39253)
  • WB

AbReview20304****

Western blot - Anti-MGMT antibody [MT3.1] (AB39253)

Blocking Step : 5% BSA for 1 hour at 23°C

This image was generated from the hybridoma version.

All lanes:

Western blot - Anti-MGMT antibody [MT3.1] (ab39253) at 1/500 dilution

All lanes:

Human OE33 cells - whole cell lysate at 20 µg

Secondary

All lanes:

Western blot - Rabbit Anti-Mouse IgG H&L (HRP) (<a href='/en-us/products/secondary-antibodies/rabbit-mouse-igg-h-l-hrp-ab6728'>ab6728</a>) at 1/1000 dilution

Predicted band size: 22 kDa

Observed band size: 21 kDa

true

Exposure time: 30s

This image is courtesy of an anonymous Abreview

Immunohistochemistry (Formalin/PFA-fixed paraffin-embedded sections) - Anti-MGMT antibody [MT3.1] (AB39253)
  • IHC-P

AbReview18116****

Immunohistochemistry (Formalin/PFA-fixed paraffin-embedded sections) - Anti-MGMT antibody [MT3.1] (AB39253)

ab39253 staining MGMT in human stomach tissue sections by Immunohistochemistry. Tissue was fixed with formaldehyde and a heat mediated antigen retrieval step was performed using 10mM citrate buffer pH6.0. Samples were then blocked with 5% serum for 1 hour at 23°C followed by incubation with the primary antibody, at a 1/100 dilution, for 1 hour at 23°C. An undiluted HRP-conjugated goat anti-mouse IgG polyclonal was used as secondary antibody.

This image was generated from the hybridoma version.

This image is courtesy of an anonymous abreview.

Western blot - Anti-MGMT antibody [MT3.1] (AB39253)
  • WB

Unknown

Western blot - Anti-MGMT antibody [MT3.1] (AB39253)

All lanes:

Western blot - Anti-MGMT antibody [MT3.1] (ab39253) at 1/500 dilution

Lane 1:

Wild type HAP1 whole cell lysate at 20 µg

Lane 2:

MGMT knockout HAP1 whole cell lysate at 20 µg

Lane 3:

MCF7 (human breast adenocarcinoma epithelial cell) at 20 µg

Lane 4:

Jurkat (human T cell leukemia T lymphocyte at 20 µg

Predicted band size: 22 kDa

false

  • Carrier free

    Anti-MGMT antibody [MT3.1] - BSA and Azide free

Key facts

Host species

Mouse

Clonality

Monoclonal

Clone number

MT3.1

Isotype

IgG1

Carrier free

No

Reacts with

Human

Applications

IHC-P, WB

applications

Immunogen

The exact immunogen used to generate this antibody is proprietary information.

Reactivity data

{ "title": "Reactivity Data", "filters": { "stats": ["", "Species", "Dilution Info", "Notes"], "tabs": { "all-applications": {"fullname" : "All Applications", "shortname": "All Applications"}, "IHCP" : {"fullname" : "Immunohistochemistry (Formalin/PFA-fixed paraffin-embedded sections)", "shortname":"IHC-P"}, "WB" : {"fullname" : "Western blot", "shortname":"WB"} }, "product-promise": { "all": "all", "testedAndGuaranteed": "tested", "guaranteed": "expected", "predicted": "predicted", "notRecommended": "not-recommended" } }, "values": { "Human": { "IHCP-species-checked": "testedAndGuaranteed", "IHCP-species-dilution-info": "1/100", "IHCP-species-notes": "<p></p> Perform heat-mediated antigen retrieval before commencing with IHC staining protocol.", "WB-species-checked": "testedAndGuaranteed", "WB-species-dilution-info": "", "WB-species-notes": "<p></p>" }, "Mouse": { "IHCP-species-checked": "notRecommended", "IHCP-species-dilution-info": "1/100", "IHCP-species-notes": "<p></p> Perform heat-mediated antigen retrieval before commencing with IHC staining protocol.", "WB-species-checked": "notRecommended", "WB-species-dilution-info": "", "WB-species-notes": "<p></p>" }, "Rat": { "IHCP-species-checked": "notRecommended", "IHCP-species-dilution-info": "1/100", "IHCP-species-notes": "<p></p> Perform heat-mediated antigen retrieval before commencing with IHC staining protocol.", "WB-species-checked": "notRecommended", "WB-species-dilution-info": "", "WB-species-notes": "<p></p>" } } }

Product details

What is this antibody validated in?
Anti-MGMT antibody [MT3.1] (ab39253) is a mouse recombinant monoclonal antibody and is validated for use in Western Blot (WB), Immunohistochemistry (IHC-P) in Human samples.

What is the molecular weight of MGMT?
Anti-MGMT [MT3.1] (ab39253) specifically detects a band for MGMT (UniProt: P16455) at a molecular weight of 22kDa.

Trusted by the scientific community
Anti-MGMT [MT3.1] (ab39253) was first used in a scientific publication in 2006 and has been cited over 10 times in peer-reviewed journals.

Reviewed by scientists
Anti-MGMT [MT3.1] (ab39253) has over 5 independent reviews from customers.

Specificity confirmed
The specificity of Anti-MGMT antibody [MT3.1] (ab39253) has been confirmed by Immunocytochemistry testing in MGMT Knockout HAP1 cells.

Other related products
We have a range of other formats of antibody clone [MT3.1] also available for your convenience: ab39253, Carrier free - ab255966

What are the advantages of a recombinant monoclonal antibody?
This product is a recombinant monoclonal antibody, which offers several advantages including:

  • - High batch-to-batch consistency and reproducibility
  • - Improved sensitivity and specificity
  • - Long-term security of supply
  • - Animal-free batch production

For more information, read more on recombinant antibodies.

Properties and storage information

Form
Liquid
Purification technique
Affinity purification Protein A
Storage buffer
pH: 7.3 - 7.5 Preservative: 0.01% Sodium azide Constituents: PBS, 40% Glycerol (glycerin, glycerine), 0.05% BSA
Shipped at conditions
Blue Ice
Appropriate short-term storage duration
1-2 weeks
Appropriate short-term storage conditions
+4°C
Appropriate long-term storage conditions
-20°C
Aliquoting information
Upon delivery aliquot
Storage information
Avoid freeze / thaw cycle

Supplementary information

This supplementary information is collated from multiple sources and compiled automatically.

MGMT also known as O-6-methylguanine-DNA methyltransferase is an enzyme with a significant role in DNA repair. MGMT protein has a molecular weight of about 22 kDa. This protein is typically expressed in various tissues including the liver kidney and brain where it functions to protect cells from mutagenic and cytotoxic alterations. MGMT works by transferring alkyl groups from the O6 position of guanine to a cysteine residue within its active site. This mechanism directly reverses DNA damage maintaining genomic stability.
Biological function summary

MGMT prevents mutations by reversing alkylation damage playing a significant role in preserving DNA integrity. It acts independently and does not form part of any larger protein complexes. This enzyme-mediated repair is central to cellular defense against mutagenic threats such as alkylating agents. By curbing DNA damage MGMT can thwart the onset of harmful genetic mutations that might lead to issues like cancer development.

Pathways

MGMT is intimately involved in DNA damage response and repair pathways. Notably it interacts with base excision repair and direct reversal repair pathways. MGMT's function is distinct but complementary to the activities of other DNA repair proteins like XRCC1 and APE1 which are involved in the base excision repair pathway. The presence of MGMT bolsters cellular resilience by ensuring that DNA lesions caused by alkylating agents are addressed promptly and effectively.

MGMT has a profound association with several types of cancer such as glioblastoma and colorectal cancer. Reduced MGMT expression or activity can lead to enhanced susceptibility to the carcinogenic effects of alkylating agents making cancer development more likely. Additionally MGMT inhibitors such as lomeguatrib are used therapeutically to enhance the effectiveness of alkylating chemotherapy. Within this context MGMT interacts with proteins involved in tumor suppression and cell cycle regulation including p53 influencing both cancer progression and treatment outcomes.

Product protocols

For this product, it's our understanding that no specific protocols are required. You can visit:

Target data

Involved in the cellular defense against the biological effects of O6-methylguanine (O6-MeG) and O4-methylthymine (O4-MeT) in DNA. Repairs the methylated nucleobase in DNA by stoichiometrically transferring the methyl group to a cysteine residue in the enzyme. This is a suicide reaction : the enzyme is irreversibly inactivated.
See full target information MGMT

Publications (23)

Recent publications for all applications. Explore the full list and refine your search

Advanced science (Weinheim, Baden-Wurttemberg, Germany) 11:e2308417 PubMed39041891

2024

MEN1 Deficiency-Driven Activation of the β-Catenin-MGMT Axis Promotes Pancreatic Neuroendocrine Tumor Growth and Confers Temozolomide Resistance.

Applications

Unspecified application

Species

Unspecified reactive species

Junfeng Xu,Xin Lou,Fei Wang,Wuhu Zhang,Xiaowu Xu,Zeng Ye,Qifeng Zhuo,Yan Wang,Desheng Jing,Guixiong Fan,Xuemin Chen,Yue Zhang,Chenjie Zhou,Jie Chen,Yi Qin,Xianjun Yu,Shunrong Ji

Journal of experimental & clinical cancer research : CR 43:77 PubMed38475864

2024

Functionally-instructed modifiers of response to ATR inhibition in experimental glioma.

Applications

Unspecified application

Species

Unspecified reactive species

Bianca Walter,Sophie Hirsch,Laurence Kuhlburger,Aaron Stahl,Leonard Schnabel,Silas Wisser,Lara A Haeusser,Foteini Tsiami,Sarah Plöger,Narges Aghaallaei,Advaita M Dick,Julia Skokowa,Christian Schmees,Markus Templin,Katja Schenke-Layland,Marcos Tatagiba,Sven Nahnsen,Daniel J Merk,Ghazaleh Tabatabai

CNS neuroscience & therapeutics 30:e14649 PubMed38448295

2024

Identification of TMZ resistance-associated histone post-translational modifications in glioblastoma using multi-omics data.

Applications

Unspecified application

Species

Unspecified reactive species

Liguo Ye,Lingui Gu,Yaning Wang,Hao Xing,Pengtao Li,Xiaopeng Guo,Yu Wang,Wenbin Ma

Genes & diseases 11:100977 PubMed38292193

2024

Transcriptomic analysis identifies the neuropeptide cortistatin (CORT) as an inhibitor of temozolomide (TMZ) resistance by suppressing the NF-κB-MGMT signaling axis in human glioma.

Applications

Unspecified application

Species

Unspecified reactive species

Zongze He,Bo Peng,Qi Wang,Jie Tian,Ping Liu,Jie Feng,Yiwei Liao,Longyi Chen,Ping Jia,Jian Tang

Nature medicine 28:1630-1639 PubMed35864254

2022

Intratumoral oncolytic herpes virus G47∆ for residual or recurrent glioblastoma: a phase 2 trial.

Applications

Unspecified application

Species

Unspecified reactive species

Tomoki Todo,Hirotaka Ito,Yasushi Ino,Hiroshi Ohtsu,Yasunori Ota,Junji Shibahara,Minoru Tanaka

Molecular oncology 16:665-682 PubMed34863035

2021

Epigenetic priming in chronic liver disease impacts the transcriptional and genetic landscapes of hepatocellular carcinoma.

Applications

Unspecified application

Species

Unspecified reactive species

John Gallon,Mairene Coto-Llerena,Caner Ercan,Gaia Bianco,Viola Paradiso,Sandro Nuciforo,Stephanie Taha-Melitz,Marie-Anne Meier,Tujana Boldanova,Sofía Pérez-Del-Pulgar,Sergio Rodríguez-Tajes,Markus von Flüe,Savas D Soysal,Otto Kollmar,Josep M Llovet,Augusto Villanueva,Luigi M Terracciano,Markus H Heim,Charlotte K Y Ng,Salvatore Piscuoglio

International journal of molecular sciences 22: PubMed33917711

2021

MGMT-Methylation in Non-Neoplastic Diseases of the Central Nervous System.

Applications

Unspecified application

Species

Unspecified reactive species

Sarah Teuber-Hanselmann,Karl Worm,Nicole Macha,Andreas Junker

Cancers 13: PubMed33668183

2021

Identification and Validation of ERK5 as a DNA Damage Modulating Drug Target in Glioblastoma.

Applications

Unspecified application

Species

Unspecified reactive species

Natasha Carmell,Ola Rominiyi,Katie N Myers,Connor McGarrity-Cottrell,Aurelie Vanderlinden,Nikita Lad,Eva Perroux-David,Sherif F El-Khamisy,Malee Fernando,Katherine G Finegan,Stephen Brown,Spencer J Collis

Cancer biology & therapy 21:915-926 PubMed33023393

2020

miR-221-3p promotes hepatocellular carcinogenesis by downregulating O6-methylguanine-DNA methyltransferase.

Applications

Unspecified application

Species

Unspecified reactive species

Zushun Chen,Bangde Xiang,Lunan Qi,Shaoliang Zhu,Lequn Li

EBioMedicine 55:102736 PubMed32361246

2020

Radiation-induced extracellular vesicle (EV) release of miR-603 promotes IGF1-mediated stem cell state in glioblastomas.

Applications

Unspecified application

Species

Unspecified reactive species

Valya Ramakrishnan,Beibei Xu,Johnny Akers,Thien Nguyen,Jun Ma,Sanjay Dhawan,Jianfang Ning,Ying Mao,Wei Hua,Efrosini Kokkoli,Frank Furnari,Bob S Carter,Clark C Chen
View all publications

Product promise

We are committed to supporting your work with high-quality reagents, and we're here for you every step of the way. In the unlikely event that one of our products does not perform as expected, you're protected by our Product Promise.
For full details, please see our Terms & Conditions

Please note: All products are 'FOR RESEARCH USE ONLY. NOT FOR USE IN DIAGNOSTIC OR THERAPEUTIC PROCEDURES'.

For licensing inquiries, please contact partnerships@abcam.com