JavaScript is disabled in your browser. Please enable JavaScript to view this website.
AB255966

Anti-MGMT antibody [MT3.1] - BSA and Azide free

Be the first to review this product! Submit a review

|

(0 Publication)

Mouse Recombinant Monoclonal MGMT antibody. Carrier free. Suitable for WB, IHC-P and reacts with Human samples.

View Alternative Names

Methylated-DNA--protein-cysteine methyltransferase, 6-O-methylguanine-DNA methyltransferase, O-6-methylguanine-DNA-alkyltransferase, MGMT

5 Images
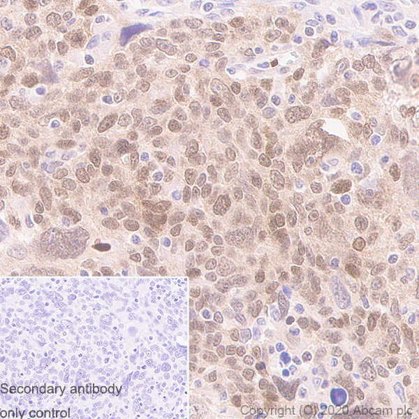
Immunohistochemistry (Formalin/PFA-fixed paraffin-embedded sections) - Anti-MGMT antibody [MT3.1] - BSA and Azide free (AB255966)
  • IHC-P

Lab

Immunohistochemistry (Formalin/PFA-fixed paraffin-embedded sections) - Anti-MGMT antibody [MT3.1] - BSA and Azide free (AB255966)

This data was produced using the same clone but in a different formulation, ab39253.

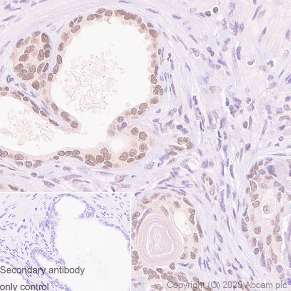
Immunohistochemical analysis of paraffin-embedded human prostate carcinoma tissue labeling MGMT with ab39253 at 1/200 followed by a ready to use secondary. Positive staining on human prostate carcinoma. The section was incubated with ab39253 for 30 mins at room temperature. The immunostaining was performed on a Leica Biosystems BOND® RX instrument. Counterstained with Hematoxylin. Secondary antibody only control : Secondary antibody is a ready to use secondary. Heat mediated antigen retrieval with Citrate buffer (pH 6.0, epitope retrieval solution 1) for 20 mins.

Immunohistochemistry (Formalin/PFA-fixed paraffin-embedded sections) - Anti-MGMT antibody [MT3.1] - BSA and Azide free (AB255966)
  • IHC-P

Lab

Immunohistochemistry (Formalin/PFA-fixed paraffin-embedded sections) - Anti-MGMT antibody [MT3.1] - BSA and Azide free (AB255966)

This data was produced using the same clone but in a different formulation, ab39253.

Immunohistochemical analysis of paraffin-embedded human lung carcinoma tissue labeling MGMT with ab39253 at 1/200 followed by a ready to use secondary. Positive staining on human lung carcinoma. The section was incubated with ab39253 for 30 mins at room temperature. The immunostaining was performed on a Leica Biosystems BOND® RX instrument. Counterstained with Hematoxylin. Secondary antibody only control : Secondary antibody is a ready to use secondary. Heat mediated antigen retrieval with Citrate buffer (pH 6.0, epitope retrieval solution 1) for 20 mins.

Western blot - Anti-MGMT antibody [MT3.1] - BSA and Azide free (AB255966)
  • WB

Lab

Western blot - Anti-MGMT antibody [MT3.1] - BSA and Azide free (AB255966)

This data was produced using the same clone but in a different formulation, ab39253.

Blocking/Dilution buffer : 5% NFDM/TBST.

All lanes:

Western blot - Anti-MGMT antibody [MT3.1] (<a href='/en-us/products/primary-antibodies/mgmt-antibody-mt31-ab39253'>ab39253</a>) at 1/500 dilution

Lane 1:

MCF7 (human breast adenocarcinoma epithelial cell), whole cell lysate at 20 µg

Lane 2:

HeLa (human cervix adenocarcinoma epithelial cell ), whole cell lysate at 20 µg

Lane 3:

Jurkat (human T cell leukemia T lymphocyte), whole cell lysate at 20 µg

Lane 4:

HCT116 (human colorectal carcinoma epithelial cell), whole cell lysate at 20 µg

Secondary

All lanes:

Peroxidase-Conjugated Goat anti-Mouse IgG (H+L) at 1/10000 dilution

Predicted band size: 22 kDa

Observed band size: 22 kDa

false

Exposure time: 92s

Western blot - Anti-MGMT antibody [MT3.1] - BSA and Azide free (AB255966)
  • WB

Lab

Western blot - Anti-MGMT antibody [MT3.1] - BSA and Azide free (AB255966)

This data was produced using the same clone but in a different formulation, ab39253.

All lanes:

Western blot - Anti-MGMT antibody [MT3.1] - BSA and Azide free (ab255966) at 1/500 dilution

Lane 1:

Wild type HAP1 whole cell lysate at 20 µg

Lane 2:

MGMT knockout HAP1 whole cell lysate at 20 µg

Lane 3:

MCF7 (human breast adenocarcinoma epithelial cell) at 20 µg

Lane 4:

Jurkat (human T cell leukemia T lymphocyte) at 20 µg

Predicted band size: 22 kDa

false

Western blot - Anti-MGMT antibody [MT3.1] - BSA and Azide free (AB255966)
  • WB

Lab

Western blot - Anti-MGMT antibody [MT3.1] - BSA and Azide free (AB255966)

This data was developed using ab39253, the same antibody clone in a different buffer formulation.

Western blot : Anti-MGMT antibody [MT3.1] (ab39253) staining at 1/500 dilution, shown in green; Rabbit anti-alpha Tubulin antibody [EP1332Y] (ab52866) loading control staining at 1/20000 dilution, shown in magenta. In Western blot, ab39253 was shown to bind specifically to MGMT. A band was observed at 22 kDa in wild-type HCT 116 cell lysates with no signal observed at this size in MGMT knockout cell line ab286541. The band observed in the knockout lysate lane below 22 kDa is likely to represent a truncated form of MGMT. This has not been investigated further and the functional properties of the gene product have not been determined. To generate this image, wild-type and MGMT knockout HCT 116 cell lysates were analysed.First, samples were run on an SDS-PAGE gel then transferred onto a nitrocellulose membrane. Membranes were blocked in 3 % milk in TBS-0.1 % Tween® 20 (TBS-T) before incubation with primary antibodies overnight at 4 °C. Blots were washed four times in TBS-T, incubated with secondary antibodies for 1 h at room temperature, washed again four times then imaged. Secondary antibodies used were Goat anti-Mouse IgG H&L 800CW and Goat anti-Rabbit IgG H&L 680RD at 1/20000 dilution.

All lanes:

Western blot - Anti-MGMT antibody [MT3.1] (<a href='/en-us/products/primary-antibodies/mgmt-antibody-mt31-ab39253'>ab39253</a>) at 1/500 dilution

Lane 1:

Wild-type HCT 116 cell lysate at 20 µg

Lane 2:

Western blot - Human MGMT knockout HCT116 cell line (<a href='/en-us/products/cell-lines/human-mgmt-knockout-hct116-cell-line-ab286541'>ab286541</a>)

Lane 2:

MGMT knockout HCT 116 cell lysate at 20 µg

Secondary

Lanes 1 - 2:

Goat anti-Mouse IgG H&L 800CW at 1/20000 dilution

Lanes 1 - 2:

Goat anti-Rabbit IgG H&L 680RD at 1/20000 dilution

Observed band size: 22 kDa

false

Key facts

Host species

Mouse

Clonality

Monoclonal

Clone number

MT3.1

Isotype

IgG1

Carrier free

Yes

Reacts with

Human

Applications

IHC-P, WB

applications

Immunogen

The exact immunogen used to generate this antibody is proprietary information.

Reactivity data

{ "title": "Reactivity Data", "filters": { "stats": ["", "Species", "Dilution Info", "Notes"], "tabs": { "all-applications": {"fullname" : "All Applications", "shortname": "All Applications"}, "WB" : {"fullname" : "Western blot", "shortname":"WB"}, "IHCP" : {"fullname" : "Immunohistochemistry (Formalin/PFA-fixed paraffin-embedded sections)", "shortname":"IHC-P"} }, "product-promise": { "all": "all", "testedAndGuaranteed": "tested", "guaranteed": "expected", "predicted": "predicted", "notRecommended": "not-recommended" } }, "values": { "Human": { "WB-species-checked": "testedAndGuaranteed", "WB-species-dilution-info": "", "WB-species-notes": "<p></p>", "IHCP-species-checked": "testedAndGuaranteed", "IHCP-species-dilution-info": "", "IHCP-species-notes": "<p></p>" }, "Mouse": { "WB-species-checked": "notRecommended", "WB-species-dilution-info": "", "WB-species-notes": "<p></p>", "IHCP-species-checked": "notRecommended", "IHCP-species-dilution-info": "", "IHCP-species-notes": "<p></p>" }, "Rat": { "WB-species-checked": "notRecommended", "WB-species-dilution-info": "", "WB-species-notes": "<p></p>", "IHCP-species-checked": "notRecommended", "IHCP-species-dilution-info": "", "IHCP-species-notes": "<p></p>" } } }

Product details

ab255966 is the carrier-free version of ab39253.

Patented technology
Our RabMAb® technology is a patented hybridoma-based technology for making rabbit monoclonal antibodies. For details on our patents, please refer to RabMAb® patents.

What are the advantages of a recombinant monoclonal antibody?
This product is a recombinant monoclonal antibody, which offers several advantages including:

  • - High batch-to-batch consistency and reproducibility
  • - Improved sensitivity and specificity
  • - Long-term security of supply
  • - Animal-free batch production

For more information, read more on recombinant antibodies.

Conjugation ready
Our carrier-free antibodies are typically supplied in a PBS-only formulation, purified and free of BSA, sodium azide and glycerol. This conjugation-ready format is designed for use with fluorochromes, metal isotopes, oligonucleotides, and enzymes, which makes them ideal for antibody labelling, functional and cell-based assays, flow-based assays (e.g. mass cytometry) and Multiplex Imaging applications.

Use our conjugation kits for antibody conjugates that are ready-to-use in as little as 20 minutes with 1 minute hands-on-time and 100% antibody recovery: available for fluorescent dyes, HRP, biotin and gold.

Compatibility
This product is compatible with the Maxpar® Antibody Labeling Kit from Fluidigm, without the need for antibody preparation. Maxpar® is a trademark of Fluidigm Canada Inc.

Properties and storage information

Form
Liquid
Purification technique
Affinity purification Protein A
Storage buffer
Constituents: PBS
Shipped at conditions
Blue Ice
Appropriate short-term storage conditions
+4°C
Appropriate long-term storage conditions
+4°C
Storage information
Do Not Freeze

Supplementary information

This supplementary information is collated from multiple sources and compiled automatically.

MGMT also known as O-6-methylguanine-DNA methyltransferase is an enzyme with a significant role in DNA repair. MGMT protein has a molecular weight of about 22 kDa. This protein is typically expressed in various tissues including the liver kidney and brain where it functions to protect cells from mutagenic and cytotoxic alterations. MGMT works by transferring alkyl groups from the O6 position of guanine to a cysteine residue within its active site. This mechanism directly reverses DNA damage maintaining genomic stability.
Biological function summary

MGMT prevents mutations by reversing alkylation damage playing a significant role in preserving DNA integrity. It acts independently and does not form part of any larger protein complexes. This enzyme-mediated repair is central to cellular defense against mutagenic threats such as alkylating agents. By curbing DNA damage MGMT can thwart the onset of harmful genetic mutations that might lead to issues like cancer development.

Pathways

MGMT is intimately involved in DNA damage response and repair pathways. Notably it interacts with base excision repair and direct reversal repair pathways. MGMT's function is distinct but complementary to the activities of other DNA repair proteins like XRCC1 and APE1 which are involved in the base excision repair pathway. The presence of MGMT bolsters cellular resilience by ensuring that DNA lesions caused by alkylating agents are addressed promptly and effectively.

MGMT has a profound association with several types of cancer such as glioblastoma and colorectal cancer. Reduced MGMT expression or activity can lead to enhanced susceptibility to the carcinogenic effects of alkylating agents making cancer development more likely. Additionally MGMT inhibitors such as lomeguatrib are used therapeutically to enhance the effectiveness of alkylating chemotherapy. Within this context MGMT interacts with proteins involved in tumor suppression and cell cycle regulation including p53 influencing both cancer progression and treatment outcomes.

Product protocols

For this product, it's our understanding that no specific protocols are required. You can visit:

Target data

Involved in the cellular defense against the biological effects of O6-methylguanine (O6-MeG) and O4-methylthymine (O4-MeT) in DNA. Repairs the methylated nucleobase in DNA by stoichiometrically transferring the methyl group to a cysteine residue in the enzyme. This is a suicide reaction : the enzyme is irreversibly inactivated.
See full target information MGMT

Product promise

We are committed to supporting your work with high-quality reagents, and we're here for you every step of the way. In the unlikely event that one of our products does not perform as expected, you're protected by our Product Promise.
For full details, please see our Terms & Conditions

Please note: All products are 'FOR RESEARCH USE ONLY. NOT FOR USE IN DIAGNOSTIC OR THERAPEUTIC PROCEDURES'.

For licensing inquiries, please contact partnerships@abcam.com