JavaScript is disabled in your browser. Please enable JavaScript to view this website.
AB273657

Anti-MGP antibody [OTI8D6] - BSA and Azide free

Be the first to review this product! Submit a review

|

(0 Publication)

Mouse Monoclonal MGP antibody. Carrier free. Suitable for WB, IHC-P and reacts with Human samples. Immunogen corresponding to Recombinant Full Length Protein corresponding to Human MGP.

View Alternative Names

MGLAP, GIG36, MGP, Matrix Gla protein, Cell growth-inhibiting gene 36 protein

5 Images
Immunohistochemistry (Formalin/PFA-fixed paraffin-embedded sections) - Anti-MGP antibody [OTI8D6] - BSA and Azide free (AB273657)
  • IHC-P

Supplier Data

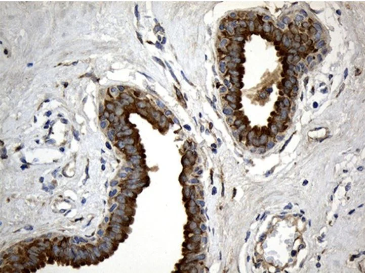
Immunohistochemistry (Formalin/PFA-fixed paraffin-embedded sections) - Anti-MGP antibody [OTI8D6] - BSA and Azide free (AB273657)

Immunohistochemical analysis of paraffin-embedded human endometrium adenocarcinoma tissue staining MGP using ab273657 at 1/500 dilution.

This data was developed using the same antibody clone in a different buffer formulation containing PBS, pH 7.3, 8% trehalose.

Immunohistochemistry (Formalin/PFA-fixed paraffin-embedded sections) - Anti-MGP antibody [OTI8D6] - BSA and Azide free (AB273657)
  • IHC-P

Supplier Data

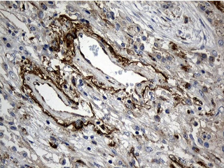
Immunohistochemistry (Formalin/PFA-fixed paraffin-embedded sections) - Anti-MGP antibody [OTI8D6] - BSA and Azide free (AB273657)

Immunohistochemical analysis of paraffin-embedded human ovary tissue staining MGP using ab273657 at 1/500 dilution.

This data was developed using the same antibody clone in a different buffer formulation containing PBS, pH 7.3, 8% trehalose.

Immunohistochemistry (Formalin/PFA-fixed paraffin-embedded sections) - Anti-MGP antibody [OTI8D6] - BSA and Azide free (AB273657)
  • IHC-P

Supplier Data

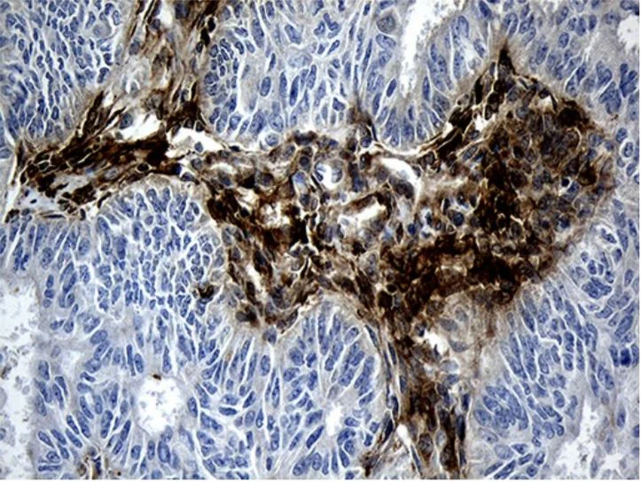
Immunohistochemistry (Formalin/PFA-fixed paraffin-embedded sections) - Anti-MGP antibody [OTI8D6] - BSA and Azide free (AB273657)

Immunohistochemical analysis of paraffin-embedded human breast tissue staining MGP using ab273657 at 1/500 dilution.

This data was developed using the same antibody clone in a different buffer formulation containing PBS, pH 7.3, 8% trehalose.

Immunohistochemistry (Formalin/PFA-fixed paraffin-embedded sections) - Anti-MGP antibody [OTI8D6] - BSA and Azide free (AB273657)
  • IHC-P

Supplier Data

Immunohistochemistry (Formalin/PFA-fixed paraffin-embedded sections) - Anti-MGP antibody [OTI8D6] - BSA and Azide free (AB273657)

Immunohistochemical analysis of paraffin-embedded human lung tissue staining MGP using ab273657 at 1/500 dilution.

This data was developed using the same antibody clone in a different buffer formulation containing PBS, pH 7.3, 8% trehalose.

Western blot - Anti-MGP antibody [OTI8D6] - BSA and Azide free (AB273657)
  • WB

Supplier Data

Western blot - Anti-MGP antibody [OTI8D6] - BSA and Azide free (AB273657)

All lanes:

Western blot - Anti-MGP antibody [OTI8D6] - BSA and Azide free (ab273657) at 1/2000 dilution

Lane 1:

pCMV6-ENTRY control-transfected HEK-293T (human epithelial cell line from embryonic kidney transformed with large T antigen) whole cell lysate at 5 µg

Lane 2:

pCMV6-ENTRY MGP-transfected HEK-293T whole cell lysate at 5 µg

Predicted band size: 12 kDa

false

Key facts

Host species

Mouse

Clonality

Monoclonal

Clone number

OTI8D6

Isotype

IgG2a

Carrier free

Yes

Reacts with

Human

Applications

IHC-P, WB

applications

Immunogen

Recombinant Full Length Protein corresponding to Human MGP.

P08493

Reactivity data

{ "title": "Reactivity Data", "filters": { "stats": ["", "Species", "Dilution Info", "Notes"], "tabs": { "all-applications": {"fullname" : "All Applications", "shortname": "All Applications"}, "WB" : {"fullname" : "Western blot", "shortname":"WB"}, "IHCP" : {"fullname" : "Immunohistochemistry (Formalin/PFA-fixed paraffin-embedded sections)", "shortname":"IHC-P"} }, "product-promise": { "all": "all", "testedAndGuaranteed": "tested", "guaranteed": "expected", "predicted": "predicted", "notRecommended": "not-recommended" } }, "values": { "Human": { "WB-species-checked": "testedAndGuaranteed", "WB-species-dilution-info": "1/2000", "WB-species-notes": "<p></p>", "IHCP-species-checked": "testedAndGuaranteed", "IHCP-species-dilution-info": "1/500", "IHCP-species-notes": "<p>Heat-induced epitope retrieval by 1mM EDTA in 10mM Tris buffer (pH8.5) at 120°C for 3 minutes.</p>" } } }

Properties and storage information

Form
Liquid
Purification technique
Affinity purification Protein A/G
Purification notes
Purified from tissue culture supernatant.
Storage buffer
pH: 7.3 Constituents: PBS
Shipped at conditions
Blue Ice
Appropriate short-term storage duration
1-2 weeks
Appropriate short-term storage conditions
+4°C
Appropriate long-term storage conditions
-20°C
Aliquoting information
Upon delivery aliquot
Storage information
Avoid freeze / thaw cycle

Supplementary information

This supplementary information is collated from multiple sources and compiled automatically.

The MGP protein also known as Matrix Gla Protein is a secreted protein that has a molecular mass of approximately 10 kDa. It is expressed in the cartilage bone and vasculature where it plays a significant role in inhibiting calcification. MGP undergoes gamma-carboxylation a post-translational modification that is important for its function in the extracellular matrix. This modification allows MGP to bind calcium ions preventing mineral deposition in the vascular tissues. Alongside its role in bone health MGP acts as an antagonist against vascular calcification.
Biological function summary

MGP regulates extracellular matrix mineralization playing an important part in maintaining tissue integrity. It is not part of a simple complex structure but interacts with other extracellular matrix components like osteopontin. The function of MGP in bone and tissue health highlights its protective roles against pathological calcification. Defective or insufficient MGP leads to increased calcification contributing to its important role in keeping arteries flexible and functional.

Pathways

MGP interacts within the BMP signaling pathway where it modulates bone morphogenetic proteins to prevent inappropriate ossification. It also participates in the regulation of the vitamin K-dependent carboxylation pathway critical for activating MGP's calcification inhibitory function. Related proteins in the pathways include osteocalcin which also undergoes similar gamma-carboxylation and fetuin-A another calcification inhibitor. MGP's effect on these pathways showcases its pivotal role in tissue and vascular health.

MGP has connections to arteriosclerosis and Keutel syndrome where abnormal calcification is a common feature. In arteriosclerosis MGP deficiency can lead to inappropriate calcification of the arteries complicating cardiovascular health. Keutel syndrome a rare genetic disorder results from mutations in the MGP gene causing abnormal calcification primarily in cartilage. Through these disease associations connections to proteins like osteocalcin highlight the importance of MGP in preventing pathological calcifications and preserving normal tissue function.

Product protocols

For this product, it's our understanding that no specific protocols are required. You can visit:

Target data

Associates with the organic matrix of bone and cartilage. Thought to act as an inhibitor of bone formation.
See full target information MGP

Product promise

We are committed to supporting your work with high-quality reagents, and we're here for you every step of the way. In the unlikely event that one of our products does not perform as expected, you're protected by our Product Promise.
For full details, please see our Terms & Conditions

Please note: All products are 'FOR RESEARCH USE ONLY. NOT FOR USE IN DIAGNOSTIC OR THERAPEUTIC PROCEDURES'.

For licensing inquiries, please contact partnerships@abcam.com