JavaScript is disabled in your browser. Please enable JavaScript to view this website.
AB131059

Anti-MGST1 antibody [EPR7934]

Be the first to review this product! Submit a review

|

(12 Publications)

Rabbit Recombinant Monoclonal MGST1 antibody. Suitable for WB, ICC/IF, Flow Cyt (Intra), IHC-P and reacts with Mouse, Rat, Human samples. Cited in 12 publications.

View Alternative Names

GST12, MGST, MGST1, Microsomal glutathione S-transferase 1, Microsomal GST-1, Microsomal GST-I

7 Images
Flow Cytometry (Intracellular) - Anti-MGST1 antibody [EPR7934] (AB131059)
  • Flow Cyt (Intra)

Unknown

Flow Cytometry (Intracellular) - Anti-MGST1 antibody [EPR7934] (AB131059)

Intracellular Flow Cytometry analysis of MCF7 (Human breast adenocarcinoma epithelial cell) cells labeling MGST1 with purified ab131059 at 1/40 dilution (red). Cells were fixed with 4% Paraformaldehyde. A Goat anti rabbit IgG (Alexa Fluor® 488) secondary antibody was used at 1/2000 dilution. Isotype control - Rabbit monoclonal IgG (Black). Unlabeled control - Cell without incubation with primary antibody and secondary antibody (Blue).

Immunohistochemistry (Formalin/PFA-fixed paraffin-embedded sections) - Anti-MGST1 antibody [EPR7934] (AB131059)
  • IHC-P

Unknown

Immunohistochemistry (Formalin/PFA-fixed paraffin-embedded sections) - Anti-MGST1 antibody [EPR7934] (AB131059)

Immunohistochemical analysis of paraffin embedded Human liver tissue labelling MGST1 with ab131059 antibody at 1/50 dilution.

Immunocytochemistry/ Immunofluorescence - Anti-MGST1 antibody [EPR7934] (AB131059)
  • ICC/IF

Unknown

Immunocytochemistry/ Immunofluorescence - Anti-MGST1 antibody [EPR7934] (AB131059)

Immunocytochemistry/ Immunofluorescence analysis of MCF7 (Human breast adenocarcinoma epithelial cell) cells labeling Microsomal Glutathione S-transferase 2 with Purified ab131059 at 1 : 100 dilution. Cells were fixed in 100% Methanol and permeabilized with None. Cells were counterstained with ab195889 Anti-alpha Tubulin antibody [DM1A] - Microtubule Marker (Alexa Fluor ® 594) 1 : 200 (2.5 μg/ml). ab150077 Goat anti rabbit IgG(Alexa Fluor ® 488) was used as the secondary antibody at 1 : 1000 dilution. DAPI nuclear counterstain. PBS instead of the primary antibody was used as the secondary antibody only control.

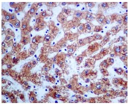
Immunohistochemistry (Formalin/PFA-fixed paraffin-embedded sections) - Anti-MGST1 antibody [EPR7934] (AB131059)
  • IHC-P

Unknown

Immunohistochemistry (Formalin/PFA-fixed paraffin-embedded sections) - Anti-MGST1 antibody [EPR7934] (AB131059)

Immunohistochemistry (Formalin/PFA-fixed paraffin-embedded sections) analysis of human liver tissue sections labeling MGST1 with Purified ab131059 at 1 : 1000 dilution. Heat mediated antigen retrieval was performed using ab93684 (Tris/EDTA buffer, pH 9.0). Tissue was counterstained with Hematoxylin. ImmunoHistoProbe one step HRP Polymer (ready to use) secondary antibody was used at 1 : 0 dilution. PBS instead of the primary antibody was used as the negative control.

Western blot - Anti-MGST1 antibody [EPR7934] (AB131059)
  • WB

Lab

Western blot - Anti-MGST1 antibody [EPR7934] (AB131059)

Blocking and dilutuing buffer : 5% NFDM/TBST.

All lanes:

Western blot - Anti-MGST1 antibody [EPR7934] (ab131059) at 1/5000 dilution

Lane 1:

Human fetal liver lysates at 20 µg

Lane 2:

Mouse liver lysates at 20 µg

Lane 3:

Rat liver lysates at 20 µg

Secondary

All lanes:

Goat Anti-Rabbit IgG (HRP) with minimal cross-reactivity with human IgG at 1/2000 dilution

Predicted band size: 18 kDa

false

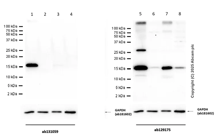
Western blot - Anti-MGST1 antibody [EPR7934] (AB131059)
  • WB

Lab

Western blot - Anti-MGST1 antibody [EPR7934] (AB131059)

Blocking and diluting buffer and concentration : 5% NFDM/TBST.

In Western blot, Anti-GAPDH antibody [EPR16891] - Loading Control (ab181602) staining at 1/1000000 dilution.

ab131059 was not effective in the tested cell lines; therefore, ab129175 is recommended as an alternative.

Lanes 1 - 4:

Western blot - Anti-MGST1 antibody [EPR7934] (ab131059) at 1/1000 dilution

Lanes 5 - 8:

Western blot - Anti-MGST1 antibody [EPR7935] (<a href='/en-us/products/primary-antibodies/mgst1-antibody-epr7935-ab129175'>ab129175</a>) at 1/1000 dilution

Lanes 1 and 5:

Mouse liver tissue lysate at 20 µg

Lanes 2 and 6:

Mouse kidney tissue lysate at 20 µg

Lanes 3 and 7:

HepG2 (human hepatocellular carcinoma epithelial cell) whole cell lysate at 20 µg

Lanes 4 and 8:

K562 (human chronic myelogenous leukemia lymphoblast) whole cell lysate at 20 µg

Secondary

All lanes:

Western blot - Goat Anti-Rabbit IgG H&L (HRP) (<a href='/en-us/products/secondary-antibodies/goat-rabbit-igg-h-l-hrp-ab97051'>ab97051</a>) at 1/20000 dilution

Observed band size: 18 kDa

false

Exposure time: 10s

OI-RD Scanning - Anti-MGST1 antibody [EPR7934] (AB131059)
  • OI-RD Scanning

Unknown

OI-RD Scanning - Anti-MGST1 antibody [EPR7934] (AB131059)

We have systematically measured KD (the equilibrium dissociation constant between the antibody and its antigen), of more than 840 recombinant antibodies to assess not only their individual KD values but also to see the average affinity of antibody. Based on the comparison with published literature values for mouse monoclonal antibodies, Recombinant antibodies appear to be on average 1-2 order of magnitude higher affinity.

  • Carrier free

    Anti-MGST1 antibody [EPR7934] - BSA and Azide free

Key facts

Host species

Rabbit

Clonality

Monoclonal

Clone number

EPR7934

Isotype

IgG

Carrier free

No

Reacts with

Mouse, Rat, Human

Applications

WB, IHC-P, Flow Cyt (Intra), ICC/IF

applications

Immunogen

The exact immunogen used to generate this antibody is proprietary information.

Specificity

The mouse and rat recommendation is based on the WB results. We do not guarantee IHC-P for mouse and rat. ab131059 was not effective in WB in the tested cell lines; therefore, ab129175 is recommended as an alternative.

Reactivity data

{ "title": "Reactivity Data", "filters": { "stats": ["", "Species", "Dilution Info", "Notes"], "tabs": { "all-applications": {"fullname" : "All Applications", "shortname": "All Applications"}, "WB" : {"fullname" : "Western blot", "shortname":"WB"}, "ICCIF" : {"fullname" : "Immunocytochemistry/ Immunofluorescence", "shortname":"ICC/IF"}, "FlowCytIntra" : {"fullname" : "Flow Cytometry (Intracellular)", "shortname":"Flow Cyt (Intra)"}, "IHCP" : {"fullname" : "Immunohistochemistry (Formalin/PFA-fixed paraffin-embedded sections)", "shortname":"IHC-P"} }, "product-promise": { "all": "all", "testedAndGuaranteed": "tested", "guaranteed": "expected", "predicted": "predicted", "notRecommended": "not-recommended" } }, "values": { "Human": { "WB-species-checked": "testedAndGuaranteed", "WB-species-dilution-info": "1/1000 - 1/10000", "WB-species-notes": "<p></p>", "ICCIF-species-checked": "testedAndGuaranteed", "ICCIF-species-dilution-info": "1/50 - 1/100", "ICCIF-species-notes": "<p></p>", "FlowCytIntra-species-checked": "testedAndGuaranteed", "FlowCytIntra-species-dilution-info": "1/10 - 1/100", "FlowCytIntra-species-notes": "<p><a href='/en-us/products/primary-antibodies/rabbit-igg-monoclonal-epr25a-isotype-control-ab172730'>ab172730</a> - Rabbit monoclonal IgG, is suitable for use as an isotype control with this antibody.</p>", "IHCP-species-checked": "testedAndGuaranteed", "IHCP-species-dilution-info": "1/1000", "IHCP-species-notes": "<p>The mouse and rat recommendation is based on the WB results. We do not guarantee IHC-P for mouse and rat.</p><p><strong>For unpurified use at 1/50 - 1/100. </strong></p> Perform heat-mediated antigen retrieval with Tris/EDTA buffer pH 9.0 before commencing with IHC staining protocol." }, "Mouse": { "WB-species-checked": "testedAndGuaranteed", "WB-species-dilution-info": "1/1000 - 1/10000", "WB-species-notes": "<p></p>", "ICCIF-species-checked": "guaranteed", "ICCIF-species-dilution-info": "", "ICCIF-species-notes": "", "FlowCytIntra-species-checked": "guaranteed", "FlowCytIntra-species-dilution-info": "", "FlowCytIntra-species-notes": "", "IHCP-species-checked": "notRecommended", "IHCP-species-dilution-info": "", "IHCP-species-notes": "<p></p>" }, "Rat": { "WB-species-checked": "testedAndGuaranteed", "WB-species-dilution-info": "1/1000 - 1/10000", "WB-species-notes": "<p></p>", "ICCIF-species-checked": "guaranteed", "ICCIF-species-dilution-info": "", "ICCIF-species-notes": "", "FlowCytIntra-species-checked": "guaranteed", "FlowCytIntra-species-dilution-info": "", "FlowCytIntra-species-notes": "", "IHCP-species-checked": "notRecommended", "IHCP-species-dilution-info": "", "IHCP-species-notes": "<p></p>" } } }

Product details

Patented technology
Our RabMAb® technology is a patented hybridoma-based technology for making rabbit monoclonal antibodies. For details on our patents, please refer to RabMAb® patents.

What are the advantages of a recombinant monoclonal antibody?
This product is a recombinant monoclonal antibody, which offers several advantages including:

  • - High batch-to-batch consistency and reproducibility
  • - Improved sensitivity and specificity
  • - Long-term security of supply
  • - Animal-free batch production

For more information, read more on recombinant antibodies.

Properties and storage information

Form
Liquid
Purification technique
Affinity purification Protein A
Storage buffer
pH: 7.2 - 7.4 Preservative: 0.01% Sodium azide Constituents: PBS, 40% Glycerol (glycerin, glycerine), 0.05% BSA
Shipped at conditions
Blue Ice
Appropriate short-term storage duration
1-2 weeks
Appropriate short-term storage conditions
+4°C
Appropriate long-term storage conditions
-20°C
Aliquoting information
Upon delivery aliquot
Storage information
Avoid freeze / thaw cycle

Supplementary information

This supplementary information is collated from multiple sources and compiled automatically.

MGST1 also known as Microsomal Glutathione S-Transferase 1 is an enzyme involved in the detoxification pathway. This enzyme has a mass of approximately 17 kDa. MGST1 is expressed in various tissues with strong presence in liver and other tissues rich in endoplasmic reticulum. It also participates in protection against oxidative stress due to its role in conjugating reduced glutathione to a wide variety of hydrophobic electrophiles.
Biological function summary

The enzyme acts to catalyze the conjugation of glutathione to electrophilic compounds which helps in neutralizing harmful substances facilitating their excretion. MGST1 forms a homotrimer complex that enhances its activity and stability. This action is vital in maintaining cellular homeostasis and defending against injury from toxic compounds and oxidative stress.

Pathways

MGST1 significantly contributes to the glutathione metabolism and arachidonic acid pathways. In the glutathione metabolism it interacts with glutathione S-transferase enzymes facilitating detoxification processes in the cell. In the arachidonic acid pathway MGST1 cooperates with other enzymes to modulate the synthesis of key molecules involved in inflammation and cell signaling.

MGST1 is implicated in the development of liver cancer and cardiovascular diseases. Its overexpression or dysregulation can lead to abnormal detoxification processes and oxidative damage contributing to carcinogenesis. In cardiovascular diseases the enzyme's role in oxidative stress links it to endothelial dysfunction. MGST1's interaction with proteins like CYP450 and GSTs highlights its significance in these disease pathways.

Product protocols

For this product, it's our understanding that no specific protocols are required. You can visit:

Target data

Conjugation of reduced glutathione to a wide number of exogenous and endogenous hydrophobic electrophiles.
See full target information MGST1

Publications (12)

Recent publications for all applications. Explore the full list and refine your search

International journal of molecular sciences 26: PubMed40076525

2025

MGST1 Protects Pancreatic Ductal Cells from Inflammatory Damage in Acute Pancreatitis by Inhibiting Ferroptosis: Bioinformatics Analysis with Experimental Validation.

Applications

Unspecified application

Species

Unspecified reactive species

Ruoyi Zhang,Xin Ling,Xianwen Guo,Zhen Ding

Frontiers in pharmacology 15:1341854 PubMed38783935

2024

Delineation of renal protein profiles in aristolochic acid I-induced nephrotoxicity in mice by label-free quantitative proteomics.

Applications

Unspecified application

Species

Unspecified reactive species

Xinhui Liu,Shanshan Wu,Yu Peng,Liwen Gao,Xi Huang,Ruyu Deng,Jiandong Lu

Pharmacological research 196:106899 PubMed37648102

2023

Microsomal glutathione transferase 1 controls metastasis and therapeutic response in melanoma.

Applications

Unspecified application

Species

Unspecified reactive species

Jie Zhang,Zhi-Wei Ye,Paramita Chakraborty,Zhenwu Luo,John Culpepper,Muhammad Aslam,Leilei Zhang,Katarina Johansson,Jesper Z Haeggström,Jianqiang Xu,Magnus Olsson,Danyelle M Townsend,Shikhar Mehrotra,Ralf Morgenstern,Kenneth D Tew

The Journal of biological chemistry 299:104920 PubMed37321450

2023

A role for microsomal glutathione transferase 1 in melanin biosynthesis and melanoma progression.

Applications

Unspecified application

Species

Unspecified reactive species

Jie Zhang,Zhi-Wei Ye,Lars Bräutigam,Paramita Chakraborty,Zhenwu Luo,John Culpepper,Muhammad Aslam,Leilei Zhang,Katarina Johansson,Jesper Z Haeggström,Jianqiang Xu,Magnus Olsson,Danyelle M Townsend,Shikhar Mehrotra,Ralf Morgenstern,Kenneth D Tew

Stem cells international 2023:2826815 PubMed37964983

2023

A Novel Molecular Classification Method for Glioblastoma Based on Tumor Cell Differentiation Trajectories.

Applications

Unspecified application

Species

Unspecified reactive species

Guanghao Zhang,Xiaolong Xu,Luojiang Zhu,Sisi Li,Rundong Chen,Nan Lv,Zifu Li,Jing Wang,Qiang Li,Wang Zhou,Pengfei Yang,Jianmin Liu

Open medicine (Warsaw, Poland) 17:2062-2071 PubMed36568515

2022

MGST1 alleviates the oxidative stress of trophoblast cells induced by hypoxia/reoxygenation and promotes cell proliferation, migration, and invasion by activating the PI3K/AKT/mTOR pathway.

Applications

Unspecified application

Species

Unspecified reactive species

Hu Dai,Xianmei Lu

Arteriosclerosis, thrombosis, and vascular biology 42:1060-1076 PubMed35510553

2022

Aging Alters the Aortic Proteome in Health and Thoracic Aortic Aneurysm.

Applications

Unspecified application

Species

Unspecified reactive species

Daniel J Tyrrell,Judy Chen,Benjamin Y Li,Sherri C Wood,Wendy Rosebury-Smith,Henriette A Remmer,Longtan Jiang,Min Zhang,Morgan Salmon,Gorav Ailawadi,Bo Yang,Daniel R Goldstein

International journal of molecular sciences 23: PubMed35409356

2022

Single-Cell RNA-Seq Analysis of Cells from Degenerating and Non-Degenerating Intervertebral Discs from the Same Individual Reveals New Biomarkers for Intervertebral Disc Degeneration.

Applications

Unspecified application

Species

Unspecified reactive species

Hosni Cherif,Matthew Mannarino,Alain Sarabia Pacis,Jiannis Ragoussis,Oded Rabau,Jean A Ouellet,Lisbet Haglund

Arteriosclerosis, thrombosis, and vascular biology 41:734-754 PubMed33297749

2020

Single Mutation in the Gene Metabolically Reprograms Pulmonary Artery Smooth Muscle Cells.

Applications

Unspecified application

Species

Unspecified reactive species

Joel James,Marina Zemskova,Cody A Eccles,Mathews V Varghese,Maki Niihori,Natalie K Barker,Moulun Luo,Lawrence J Mandarino,Paul R Langlais,Olga Rafikova,Ruslan Rafikov

Cell 176:982-997.e16 PubMed30712873

2019

Homeostatic Control of Sebaceous Glands by Innate Lymphoid Cells Regulates Commensal Bacteria Equilibrium.

Applications

Unspecified application

Species

Unspecified reactive species

Tetsuro Kobayashi,Benjamin Voisin,Do Young Kim,Elizabeth A Kennedy,Jay-Hyun Jo,Han-Yu Shih,Amanda Truong,Thomas Doebel,Keiko Sakamoto,Chang-Yi Cui,David Schlessinger,Kazuyo Moro,Susumu Nakae,Keisuke Horiuchi,Jinfang Zhu,Warren J Leonard,Heidi H Kong,Keisuke Nagao
View all publications

Product promise

We are committed to supporting your work with high-quality reagents, and we're here for you every step of the way. In the unlikely event that one of our products does not perform as expected, you're protected by our Product Promise.
For full details, please see our Terms & Conditions

Please note: All products are 'FOR RESEARCH USE ONLY. NOT FOR USE IN DIAGNOSTIC OR THERAPEUTIC PROCEDURES'.

For licensing inquiries, please contact partnerships@abcam.com