JavaScript is disabled in your browser. Please enable JavaScript to view this website.
AB249062

Anti-MGT4A antibody [EPR10034] - BSA and Azide free

Be the first to review this product! Submit a review

|

(0 Publication)

Rabbit Recombinant Monoclonal MGT4A antibody. Carrier free. Suitable for IHC-P, ICC/IF, WB, IP, Flow Cyt and reacts with Human, Mouse, Rat samples.

View Alternative Names

N-glycosyl-oligosaccharide-glycoprotein N-acetylglucosaminyltransferase IVa, GlcNAc-T IVa, GnT-IVa, N-acetylglucosaminyltransferase IVa, MGAT4A

8 Images
Immunohistochemistry (Formalin/PFA-fixed paraffin-embedded sections) - Anti-MGT4A antibody [EPR10034] - BSA and Azide free (AB249062)
  • IHC-P

Supplier Data

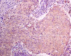
Immunohistochemistry (Formalin/PFA-fixed paraffin-embedded sections) - Anti-MGT4A antibody [EPR10034] - BSA and Azide free (AB249062)

This data was developed using ab151750, the same antibody clone in a different buffer formulation.

Immunohistochemical analysis of paraffin-embedded Human choriocarcinoma tissue labeling MGAT4A with ab151750 at 1/50 dilution.

Perform heat mediated antigen retrieval before commencing with IHC staining protocol.

Immunohistochemistry (Formalin/PFA-fixed paraffin-embedded sections) - Anti-MGT4A antibody [EPR10034] - BSA and Azide free (AB249062)
  • IHC-P

Unknown

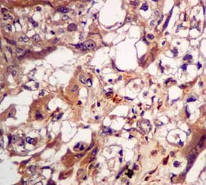
Immunohistochemistry (Formalin/PFA-fixed paraffin-embedded sections) - Anti-MGT4A antibody [EPR10034] - BSA and Azide free (AB249062)

This data was developed using ab151750, the same antibody clone in a different buffer formulation.

Immunohistochemical analysis of paraffin-embedded Human pancreas tissue labeling MGAT4A with ab151750 at 1/50 dilution.

Perform heat mediated antigen retrieval before commencing with IHC staining protocol.

Immunocytochemistry/ Immunofluorescence - Anti-MGT4A antibody [EPR10034] - BSA and Azide free (AB249062)
  • ICC/IF

Unknown

Immunocytochemistry/ Immunofluorescence - Anti-MGT4A antibody [EPR10034] - BSA and Azide free (AB249062)

This data was developed using ab151750, the same antibody clone in a different buffer formulation.Immunofluorescent analysis of HeLa cells labeling MGAT4A with ab151750 at 1/250 dilution.

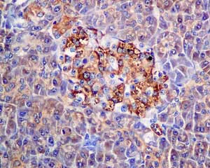
Immunohistochemistry (Formalin/PFA-fixed paraffin-embedded sections) - Anti-MGT4A antibody [EPR10034] - BSA and Azide free (AB249062)
  • IHC-P

Unknown

Immunohistochemistry (Formalin/PFA-fixed paraffin-embedded sections) - Anti-MGT4A antibody [EPR10034] - BSA and Azide free (AB249062)

This data was developed using ab151750, the same antibody clone in a different buffer formulation.

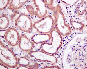
Immunohistochemical analysis of paraffin embedded normal Human kidney tissue using ab151750 showing +ve staining.

Perform heat mediated antigen retrieval before commencing with IHC staining protocol.

Immunohistochemistry (Formalin/PFA-fixed paraffin-embedded sections) - Anti-MGT4A antibody [EPR10034] - BSA and Azide free (AB249062)
  • IHC-P

Unknown

Immunohistochemistry (Formalin/PFA-fixed paraffin-embedded sections) - Anti-MGT4A antibody [EPR10034] - BSA and Azide free (AB249062)

This data was developed using ab151750, the same antibody clone in a different buffer formulation.

Immunohistochemical analysis of paraffin embedded Human Lung carcinoma tissue using ab151750 showing +ve staining.

Perform heat mediated antigen retrieval before commencing with IHC staining protocol.

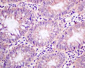
Immunohistochemistry (Formalin/PFA-fixed paraffin-embedded sections) - Anti-MGT4A antibody [EPR10034] - BSA and Azide free (AB249062)
  • IHC-P

Unknown

Immunohistochemistry (Formalin/PFA-fixed paraffin-embedded sections) - Anti-MGT4A antibody [EPR10034] - BSA and Azide free (AB249062)

This data was developed using ab151750, the same antibody clone in a different buffer formulation.

Immunohistochemical analysis of paraffin embedded normal Human colon tissue using ab151750 showing +ve staining.

Perform heat mediated antigen retrieval before commencing with IHC staining protocol.

Immunohistochemistry (Formalin/PFA-fixed paraffin-embedded sections) - Anti-MGT4A antibody [EPR10034] - BSA and Azide free (AB249062)
  • IHC-P

Unknown

Immunohistochemistry (Formalin/PFA-fixed paraffin-embedded sections) - Anti-MGT4A antibody [EPR10034] - BSA and Azide free (AB249062)

This data was developed using ab151750, the same antibody clone in a different buffer formulation.

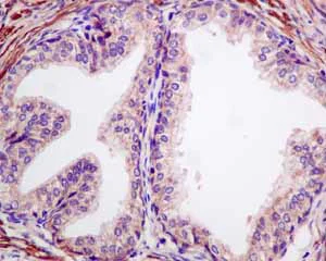
Immunohistochemical analysis of paraffin embedded Human Prostate hyperplasia tissue using ab151750 showing +ve staining.

Perform heat mediated antigen retrieval before commencing with IHC staining protocol.

Western blot - Anti-MGT4A antibody [EPR10034] - BSA and Azide free (AB249062)
  • WB

Unknown

Western blot - Anti-MGT4A antibody [EPR10034] - BSA and Azide free (AB249062)

This data was developed using ab151750, the same antibody clone in a different buffer formulation.

All lanes:

Western blot - Anti-MGT4A antibody [EPR10034] (<a href='/en-us/products/primary-antibodies/mgt4a-antibody-epr10034-ab151750'>ab151750</a>) at 1/1000 dilution

Lane 1:

Human fetal heart lysate at 10 µg

Lane 2:

Human fetal kidney lysate at 10 µg

Lane 3:

HeLa lysate at 10 µg

Secondary

All lanes:

Goat anti-rabbit HRP at 1/2000 dilution

Predicted band size: 109 kDa,62 kDa

false

Key facts

Host species

Rabbit

Clonality

Monoclonal

Clone number

EPR10034

Isotype

IgG

Carrier free

Yes

Reacts with

Mouse, Rat, Human

Applications

IP, Flow Cyt, WB, IHC-P, ICC/IF

applications

Immunogen

The exact immunogen used to generate this antibody is proprietary information.

Reactivity data

{ "title": "Reactivity Data", "filters": { "stats": ["", "Species", "Dilution Info", "Notes"], "tabs": { "all-applications": {"fullname" : "All Applications", "shortname": "All Applications"}, "IHCP" : {"fullname" : "Immunohistochemistry (Formalin/PFA-fixed paraffin-embedded sections)", "shortname":"IHC-P"}, "ICCIF" : {"fullname" : "Immunocytochemistry/ Immunofluorescence", "shortname":"ICC/IF"}, "WB" : {"fullname" : "Western blot", "shortname":"WB"}, "IP" : {"fullname" : "Immunoprecipitation", "shortname":"IP"}, "FlowCyt" : {"fullname" : "Flow Cytometry", "shortname":"Flow Cyt"} }, "product-promise": { "all": "all", "testedAndGuaranteed": "tested", "guaranteed": "expected", "predicted": "predicted", "notRecommended": "not-recommended" } }, "values": { "Human": { "IHCP-species-checked": "testedAndGuaranteed", "IHCP-species-dilution-info": "", "IHCP-species-notes": "<p></p>", "ICCIF-species-checked": "testedAndGuaranteed", "ICCIF-species-dilution-info": "", "ICCIF-species-notes": "<p></p>", "WB-species-checked": "testedAndGuaranteed", "WB-species-dilution-info": "", "WB-species-notes": "<p></p>", "IP-species-checked": "guaranteed", "IP-species-dilution-info": "", "IP-species-notes": "<p></p>", "FlowCyt-species-checked": "guaranteed", "FlowCyt-species-dilution-info": "", "FlowCyt-species-notes": "<p></p>" }, "Mouse": { "IHCP-species-checked": "predicted", "IHCP-species-dilution-info": "", "IHCP-species-notes": "", "ICCIF-species-checked": "predicted", "ICCIF-species-dilution-info": "", "ICCIF-species-notes": "", "WB-species-checked": "predicted", "WB-species-dilution-info": "", "WB-species-notes": "", "IP-species-checked": "guaranteed", "IP-species-dilution-info": "", "IP-species-notes": "<p></p>", "FlowCyt-species-checked": "guaranteed", "FlowCyt-species-dilution-info": "", "FlowCyt-species-notes": "<p><a href='/en-us/products/primary-antibodies/rabbit-igg-monoclonal-epr25a-isotype-control-ab172730'>ab172730</a> - Rabbit monoclonal IgG, is suitable for use as an isotype control with this antibody.</p>" }, "Rat": { "IHCP-species-checked": "predicted", "IHCP-species-dilution-info": "", "IHCP-species-notes": "", "ICCIF-species-checked": "predicted", "ICCIF-species-dilution-info": "", "ICCIF-species-notes": "", "WB-species-checked": "predicted", "WB-species-dilution-info": "", "WB-species-notes": "", "IP-species-checked": "guaranteed", "IP-species-dilution-info": "", "IP-species-notes": "<p></p>", "FlowCyt-species-checked": "guaranteed", "FlowCyt-species-dilution-info": "", "FlowCyt-species-notes": "<p><a href='/en-us/products/primary-antibodies/rabbit-igg-monoclonal-epr25a-isotype-control-ab172730'>ab172730</a> - Rabbit monoclonal IgG, is suitable for use as an isotype control with this antibody.</p>" } } }

Product details

ab249062 is the carrier-free version of ab151750.

Patented technology
Our RabMAb® technology is a patented hybridoma-based technology for making rabbit monoclonal antibodies. For details on our patents, please refer to RabMAb® patents.

What are the advantages of a recombinant monoclonal antibody?
This product is a recombinant monoclonal antibody, which offers several advantages including:

  • - High batch-to-batch consistency and reproducibility
  • - Improved sensitivity and specificity
  • - Long-term security of supply
  • - Animal-free batch production

For more information, read more on recombinant antibodies.

Conjugation ready
Our carrier-free antibodies are typically supplied in a PBS-only formulation, purified and free of BSA, sodium azide and glycerol. This conjugation-ready format is designed for use with fluorochromes, metal isotopes, oligonucleotides, and enzymes, which makes them ideal for antibody labelling, functional and cell-based assays, flow-based assays (e.g. mass cytometry) and Multiplex Imaging applications.

Use our conjugation kits for antibody conjugates that are ready-to-use in as little as 20 minutes with 1 minute hands-on-time and 100% antibody recovery: available for fluorescent dyes, HRP, biotin and gold.

Compatibility
This product is compatible with the Maxpar® Antibody Labeling Kit from Fluidigm, without the need for antibody preparation. Maxpar® is a trademark of Fluidigm Canada Inc.

Properties and storage information

Form
Liquid
Purification technique
Affinity purification
Storage buffer
pH: 7.2 - 7.4 Constituents: PBS
Shipped at conditions
Blue Ice
Appropriate short-term storage conditions
+4°C
Appropriate long-term storage conditions
+4°C
Storage information
Do Not Freeze

Supplementary information

This supplementary information is collated from multiple sources and compiled automatically.

MGT4A also known as Magnesium Transporter 4A is a protein involved in magnesium ion translocation. Weighing approximately 40 kDa this protein functions as an integral membrane protein primarily facilitating the movement of magnesium ions across cellular membranes. MGT4A can be found expressed in various tissues with significant levels observed in the intestinal epithelium. It plays a critical role in maintaining magnesium homeostasis within cells.
Biological function summary

The magnesium transporter MGT4A helps regulate intracellular magnesium levels which are important for numerous cellular functions including enzymatic reactions and signal transduction. MGT4A operates as part of a larger magnesium transport complex that is responsible for ensuring the proper uptake and distribution of magnesium ions within cells. This regulation is essential for maintaining the activity of many magnesium-dependent processes within the body.

Pathways

Magnesium homeostasis is an important function of MGT4A and it participates in cellular metabolism and energy production pathways. MGT4A interacts with proteins involved in the cation transport pathway ensuring balanced magnesium levels which are necessary for ATP production and DNA synthesis. It is also related to the transporter family that includes other cation transport proteins which have roles in similar biological pathways.

Mutations or malfunctions in MGT4A can lead to conditions such as hypomagnesemia and hypertension. These diseases stem from disrupted magnesium levels affecting cardiovascular and epithelial cell functions. In the context of these conditions MGT4A interacts with other transporter proteins like those involved in calcium and sodium ion transport underlining its significance in ion homeostasis and highlighting its potential as a therapeutic target for related disorders.

Product protocols

For this product, it's our understanding that no specific protocols are required. You can visit:

Target data

Glycosyltransferase that catalyze the transfer of GlcNAc from UDP-GlcNAc to the GlcNAcbeta1-2Manalpha1-3 arm of the core structure of N-linked glycans through a beta1-4 linkage and participates in the production of tri- and tetra-antennary N-linked sugar chains (PubMed : 17006639). Involved in glucose transport by mediating SLC2A2/GLUT2 glycosylation, thereby controlling cell-surface expression of SLC2A2 in pancreatic beta cells (By similarity).
See full target information MGAT4A

Product promise

We are committed to supporting your work with high-quality reagents, and we're here for you every step of the way. In the unlikely event that one of our products does not perform as expected, you're protected by our Product Promise.
For full details, please see our Terms & Conditions

Please note: All products are 'FOR RESEARCH USE ONLY. NOT FOR USE IN DIAGNOSTIC OR THERAPEUTIC PROCEDURES'.

For licensing inquiries, please contact partnerships@abcam.com