JavaScript is disabled in your browser. Please enable JavaScript to view this website.
AB232602

Anti-mH2A1 antibody [EPR9359(2)] - BSA and Azide free

Be the first to review this product! Submit a review

|

(2 Publications)

Rabbit Recombinant Monoclonal mH2A1 antibody. Carrier free. Suitable for IHC-P, WB, ICC/IF and reacts with Human, Mouse samples. Cited in 2 publications.

View Alternative Names

H2AFY, MACROH2A1, Core histone macro-H2A.1, Histone macroH2A1, mH2A1, Histone H2A.y, Medulloblastoma antigen MU-MB-50.205, H2A/y

7 Images
Immunohistochemistry (Formalin/PFA-fixed paraffin-embedded sections) - Anti-mH2A1 antibody [EPR9359(2)] - BSA and Azide free (AB232602)
  • IHC-P

Supplier Data

Immunohistochemistry (Formalin/PFA-fixed paraffin-embedded sections) - Anti-mH2A1 antibody [EPR9359(2)] - BSA and Azide free (AB232602)

Immunohistochemical analysis of paraffin-embedded Human liver tissue labeling mH2A1 with ab183041 at 1/100 dilution followed by prediluted HRP Polymer for Rabbit IgG. Counter stained with Hematoxylin.

This data was developed using the same antibody clone in a different buffer formulation containing PBS, BSA, glycerol, and sodium azide (ab183041).

Immunocytochemistry/ Immunofluorescence - Anti-mH2A1 antibody [EPR9359(2)] - BSA and Azide free (AB232602)
  • ICC/IF

Supplier Data

Immunocytochemistry/ Immunofluorescence - Anti-mH2A1 antibody [EPR9359(2)] - BSA and Azide free (AB232602)

Immunofluorescent analysis of acetone-fixed HeLa cells labeling mH2A1 with ab183041 at 1/250 dilution followed by Goat anti rabbit IgG (Alexa Fluor® 488) at 1/200 dilution (green). Counter stained with Dapi (blue).

This data was developed using the same antibody clone in a different buffer formulation containing PBS, BSA, glycerol, and sodium azide (ab183041).

Immunocytochemistry/ Immunofluorescence - Anti-mH2A1 antibody [EPR9359(2)] - BSA and Azide free (AB232602)
  • ICC/IF

Supplier Data

Immunocytochemistry/ Immunofluorescence - Anti-mH2A1 antibody [EPR9359(2)] - BSA and Azide free (AB232602)

Immunofluorescent analysis of 4% paraformaldehyde-fixed MCF7 cells labeling mH2A1 with ab183041 at 1/250 dilution followed by Goat anti rabbit IgG (Alexa Fluor® 488) at 1/200 dilution (green). Counter stained with Dapi (blue).

This data was developed using the same antibody clone in a different buffer formulation containing PBS, BSA, glycerol, and sodium azide (ab183041).

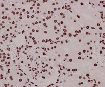
Immunohistochemistry (Formalin/PFA-fixed paraffin-embedded sections) - Anti-mH2A1 antibody [EPR9359(2)] - BSA and Azide free (AB232602)
  • IHC-P

Supplier Data

Immunohistochemistry (Formalin/PFA-fixed paraffin-embedded sections) - Anti-mH2A1 antibody [EPR9359(2)] - BSA and Azide free (AB232602)

Immunohistochemical analysis of paraffin-embedded Human kidney tissue labeling mH2A1 with ab183041 at 1/100 dilution followed by prediluted HRP Polymer for Rabbit IgG. Counter stained with Hematoxylin.

This data was developed using the same antibody clone in a different buffer formulation containing PBS, BSA, glycerol, and sodium azide (ab183041).

Immunohistochemistry (Formalin/PFA-fixed paraffin-embedded sections) - Anti-mH2A1 antibody [EPR9359(2)] - BSA and Azide free (AB232602)
  • IHC-P

AbReview57326****

Immunohistochemistry (Formalin/PFA-fixed paraffin-embedded sections) - Anti-mH2A1 antibody [EPR9359(2)] - BSA and Azide free (AB232602)

Immunohistochemistry (Formalin/PFA-fixed paraffin-embedded sections) analysis of mouse liver from wild-type and mH2A1/2 knock out tissue sections labeling mH2A1 with ab183041 at 1/400 dilution. Sections were fixed in formaldehyde; heat mediated antigen retivial was performed using a citrate buffer pH 6. An undiluted polyclonal horse anti-rabbit IgG (HRP-conjugated) was used as the secondary antibody.

This data was developed using the same antibody clone in a different buffer formulation containing PBS, BSA, glycerol, and sodium azide (ab183041).

This image is courtesy of an anonymous abreview.

Western blot - Anti-mH2A1 antibody [EPR9359(2)] - BSA and Azide free (AB232602)
  • WB

Lab

Western blot - Anti-mH2A1 antibody [EPR9359(2)] - BSA and Azide free (AB232602)

Lane 1 : Wild type HAP1 whole cell lysate (20 μg)
Lane 2 : mH2A1 knockout HAP1 whole cell lysate (20 μg)
Lane 3 : HeLa whole cell lysate (20 μg)
Lane 4 : Hepg2 whole cell lysate (20 μg)
Lanes 1 - 4 : Merged signal (red and green). Green - ab183041 observed at 40 kDa. Red - loading control, ab18058, observed at 130 kDa.

ab183041 was shown to specifically react with mH2A1 when mH2A1 knockout samples were used. Wild-type and mH2A1 knockout samples were subjected to SDS-PAGE. ab183041 and ab18058 (Mouse anti Vinculin loading control) were incubated overnight at 4°C at 10000 dilution and 1/10000 dilution respectively. Blots were developed with Goat anti-Rabbit IgG H&L (IRDye® 800CW) preabsorbed ab216773 and Goat anti-Mouse IgG H&L (IRDye® 680RD) preabsorbed ab216776 secondary antibodies at 1/10000 dilution for 1 hour at room temperature before imaging.

This data was developed using the same antibody clone in a different buffer formulation containing PBS, BSA, glycerol, and sodium azide (ab183041).

All lanes:

Western blot - Anti-mH2A1 antibody [EPR9359(2)] (<a href='/en-us/products/primary-antibodies/mh2a1-antibody-epr93592-ab183041'>ab183041</a>)

Predicted band size: 40 kDa

false

Western blot - Anti-mH2A1 antibody [EPR9359(2)] - BSA and Azide free (AB232602)
  • WB

Lab

Western blot - Anti-mH2A1 antibody [EPR9359(2)] - BSA and Azide free (AB232602)

This data was developed using the same antibody clone in a different buffer formulation (ab183041).

Lanes 1- 2 : Merged signal (red and green). Green - ab183041 observed at 40 kDa. Red - Anti-alpha Tubulin antibody [DM1A] - Loading Control (ab7291) observed at 50 kDa.

ab183041 was shown to react with mH2A1 in wild-type HEK-293T cells in western blot. The band observed in CRISPR/Cas9 edited cell line ab266241 (CRISPR/Cas9 edited cell lysate ab257463) lane below 40kDa may represent truncated forms and cleaved fragments. This has not been investigated further. Wild-type HEK-293T and H2AFY CRISPR/Cas9 edited HEK-293T cell lysates were subjected to SDS-PAGE. Membrane was blocked for 1 hour at room temperature in 0.1% TBST with 3% non-fat dried milk. ab183041 and Anti-alpha Tubulin antibody [DM1A] - Loading Control (ab7291) were incubated overnight at 4°C at a 1 in 1000 Dilution and a 1 in 20000 dilution respectively. Blots were developed with Goat anti-Rabbit IgG H&L (IRDye®800CW) preadsorbed (ab216773) and Goat anti-Mouse IgG H&L (IRDye®680RD) preadsorbed (ab216776) secondary antibodies at 1 in 20000 dilution for 1 hour at room temperature before imaging.

All lanes:

Western blot - Anti-mH2A1 antibody [EPR9359(2)] (<a href='/en-us/products/primary-antibodies/mh2a1-antibody-epr93592-ab183041'>ab183041</a>) at 1/1000 dilution

Lane 1:

Wild-type HEK-293T cell lysate at 20 µg

Lane 2:

H2AFY CRISPR/Cas9 edited HEK-293T cell lysate at 20 µg

Lane 2:

Western blot - Human H2AFY (mH2A1) knockout HEK-293T cell line (<a href='/en-us/products/cell-lines/human-h2afy-mh2a1-knockout-hek-293t-cell-line-ab266241'>ab266241</a>)

Predicted band size: 40 kDa

Observed band size: 40 kDa

false

Key facts

Host species

Rabbit

Clonality

Monoclonal

Clone number

EPR9359(2)

Isotype

IgG

Carrier free

Yes

Reacts with

Mouse, Human

Applications

ICC/IF, WB, IHC-P

applications

Immunogen

The exact immunogen used to generate this antibody is proprietary information.

Reactivity data

{ "title": "Reactivity Data", "filters": { "stats": ["", "Species", "Dilution Info", "Notes"], "tabs": { "all-applications": {"fullname" : "All Applications", "shortname": "All Applications"}, "IHCP" : {"fullname" : "Immunohistochemistry (Formalin/PFA-fixed paraffin-embedded sections)", "shortname":"IHC-P"}, "WB" : {"fullname" : "Western blot", "shortname":"WB"}, "ICCIF" : {"fullname" : "Immunocytochemistry/ Immunofluorescence", "shortname":"ICC/IF"} }, "product-promise": { "all": "all", "testedAndGuaranteed": "tested", "guaranteed": "expected", "predicted": "predicted", "notRecommended": "not-recommended" } }, "values": { "Human": { "IHCP-species-checked": "testedAndGuaranteed", "IHCP-species-dilution-info": "", "IHCP-species-notes": "<p></p>", "WB-species-checked": "testedAndGuaranteed", "WB-species-dilution-info": "", "WB-species-notes": "<p></p>", "ICCIF-species-checked": "testedAndGuaranteed", "ICCIF-species-dilution-info": "", "ICCIF-species-notes": "<p></p>" }, "Mouse": { "IHCP-species-checked": "guaranteed", "IHCP-species-dilution-info": "", "IHCP-species-notes": "<p></p>", "WB-species-checked": "guaranteed", "WB-species-dilution-info": "", "WB-species-notes": "<p></p>", "ICCIF-species-checked": "guaranteed", "ICCIF-species-dilution-info": "", "ICCIF-species-notes": "<p></p>" }, "Rat": { "IHCP-species-checked": "predicted", "IHCP-species-dilution-info": "", "IHCP-species-notes": "", "WB-species-checked": "predicted", "WB-species-dilution-info": "", "WB-species-notes": "", "ICCIF-species-checked": "predicted", "ICCIF-species-dilution-info": "", "ICCIF-species-notes": "" } } }

Product details

ab232602 is the carrier-free version of ab183041.

Patented technology
Our RabMAb® technology is a patented hybridoma-based technology for making rabbit monoclonal antibodies. For details on our patents, please refer to RabMAb® patents.

What are the advantages of a recombinant monoclonal antibody?
This product is a recombinant monoclonal antibody, which offers several advantages including:

  • - High batch-to-batch consistency and reproducibility
  • - Improved sensitivity and specificity
  • - Long-term security of supply
  • - Animal-free batch production

For more information, read more on recombinant antibodies.

Conjugation ready
Our carrier-free antibodies are typically supplied in a PBS-only formulation, purified and free of BSA, sodium azide and glycerol. This conjugation-ready format is designed for use with fluorochromes, metal isotopes, oligonucleotides, and enzymes, which makes them ideal for antibody labelling, functional and cell-based assays, flow-based assays (e.g. mass cytometry) and Multiplex Imaging applications.

Use our conjugation kits for antibody conjugates that are ready-to-use in as little as 20 minutes with 1 minute hands-on-time and 100% antibody recovery: available for fluorescent dyes, HRP, biotin and gold.

Compatibility
This product is compatible with the Maxpar® Antibody Labeling Kit from Fluidigm, without the need for antibody preparation. Maxpar® is a trademark of Fluidigm Canada Inc.

Properties and storage information

Form
Liquid
Purification technique
Affinity purification Protein A
Storage buffer
pH: 7.2 - 7.4 Constituents: PBS
Shipped at conditions
Blue Ice
Appropriate short-term storage conditions
+4°C
Appropriate long-term storage conditions
+4°C
Storage information
Do Not Freeze

Supplementary information

This supplementary information is collated from multiple sources and compiled automatically.

MH2A1 also known as macroH2A1 is a histone variant with a distinguished structure characterized by an extended C-terminal macro domain. It has a molecular mass of approximately 42-45 kDa. This histone variant is widely expressed across various tissues showing particularly high levels in differentiated cells. mH2A1 incorporates into chromatin impacting nucleosome stability and chromatin dynamics. Researchers have also identified an isoform known as H2AFY which further highlights the structural complexity and versatile roles of mH2A1 in cellular regulation.
Biological function summary

MH2A1 plays significant roles in chromatin remodeling and gene expression regulation. It is part of the nucleosome replacing canonical histone H2A and influencing the accessibility of chromatin to transcriptional machinery. Through this function mH2A1 can repress or activate gene expression depending on cellular context and interacting partners. Its incorporation into chromatin is associated with the silencing of certain genomic regions such as inactive X chromosome in females with potential implications for epigenetic modifications and cellular differentiation.

Pathways

MH2A1 is notably involved in pathways regulating chromatin organization and cell differentiation. It plays a role in the Polycomb Repressive Complex 2 (PRC2) pathway affecting histone methylation and gene silencing. Furthermore mH2A1 interacts with proteins like EZH2 in PRC2 which carry out methylation at histone H3 on lysine 27. These interactions highlight mH2A1's involvement in maintaining repressive chromatin states and controlling gene expression patterns important for normal cell function.

MH2A1 is connected with cancer and metabolic diseases. Its altered expression has been observed in various cancers where it might impact tumor progression by modulating genes linked to proliferation and differentiation. mH2A1 influences pathways shared with proteins like BRAC1 that are involved in DNA repair processes. Additionally changes in mH2A1 expression are linked to metabolic disorders especially those affecting lipid metabolism and insulin responses suggesting its potential role in regulating metabolic pathways and influencing disease progression.

Product protocols

For this product, it's our understanding that no specific protocols are required. You can visit:

Target data

Variant histone H2A which replaces conventional H2A in a subset of nucleosomes where it represses transcription (PubMed : 12718888, PubMed : 15621527, PubMed : 16428466). Nucleosomes wrap and compact DNA into chromatin, limiting DNA accessibility to the cellular machineries which require DNA as a template (PubMed : 15897469). Histones thereby play a central role in transcription regulation, DNA repair, DNA replication and chromosomal stability (PubMed : 15897469). DNA accessibility is regulated via a complex set of post-translational modifications of histones, also called histone code, and nucleosome remodeling. Involved in stable X chromosome inactivation (PubMed : 15897469). Inhibits the binding of transcription factors, including NF-kappa-B, and interferes with the activity of remodeling SWI/SNF complexes (PubMed : 12718888, PubMed : 16428466). Inhibits histone acetylation by EP300 and recruits class I HDACs, which induces a hypoacetylated state of chromatin (PubMed : 16107708, PubMed : 16428466).. Isoform 1. Isoform that specifically binds poly-ADP-ribose and O-acetyl-ADP-ribose and plays a key role in NAD(+) metabolism (PubMed : 15902274). Able to bind to the ends of poly-ADP-ribose chains created by PARP1 and cap them (By similarity). This prevents PARP1 from further addition of ADP-ribose and thus limits the consumption of nuclear NAD(+), allowing the cell to maintain proper NAD(+) levels in both the nucleus and the mitochondria to promote proper mitochondrial respiration (By similarity). Increases the expression of genes involved in redox metabolism, including SOD3 (PubMed : 23022728).. Isoform 2. In contrast to isoform 1, does not bind poly-ADP-ribose (PubMed : 15902274). Represses SOD3 gene expression (PubMed : 23022728).
See full target information MACROH2A1

Publications (2)

Recent publications for all applications. Explore the full list and refine your search

Nature metabolism 7:493-507 PubMed39972217

2025

Pro-inflammatory macrophages produce mitochondria-derived superoxide by reverse electron transport at complex I that regulates IL-1β release during NLRP3 inflammasome activation.

Applications

Unspecified application

Species

Unspecified reactive species

Alva M Casey,Dylan G Ryan,Hiran A Prag,Suvagata Roy Chowdhury,Eloïse Marques,Keira Turner,Anja V Gruszczyk,Ming Yang,Dane M Wolf,Jan Lj Miljkovic,Joyce Valadares,Patrick F Chinnery,Richard C Hartley,Christian Frezza,Julien Prudent,Michael P Murphy

Nature 590:344-350 PubMed33505024

2021

Integrated spatial genomics reveals global architecture of single nuclei.

Applications

Unspecified application

Species

Unspecified reactive species

Yodai Takei,Jina Yun,Shiwei Zheng,Noah Ollikainen,Nico Pierson,Jonathan White,Sheel Shah,Julian Thomassie,Shengbao Suo,Chee-Huat Linus Eng,Mitchell Guttman,Guo-Cheng Yuan,Long Cai
View all publications

Product promise

We are committed to supporting your work with high-quality reagents, and we're here for you every step of the way. In the unlikely event that one of our products does not perform as expected, you're protected by our Product Promise.
For full details, please see our Terms & Conditions

Please note: All products are 'FOR RESEARCH USE ONLY. NOT FOR USE IN DIAGNOSTIC OR THERAPEUTIC PROCEDURES'.

For licensing inquiries, please contact partnerships@abcam.com