JavaScript is disabled in your browser. Please enable JavaScript to view this website.
AB55152

Anti-MHC Class II antibody [6C6]

5

(2 Reviews)

|

(47 Publications)

Anti-MHC Class II antibody [6C6] (ab55152) is a mouse monoclonal antibody detecting MHC Class II in Western Blot, Flow Cytometry, IHC-P, ICC/IF. Suitable for Human.

-Carrier Free
-Produces clear membrane and cytoplasmic staining in antigen-presenting cells.
-Cited in over 30 publications
-Trusted since 2007

View Alternative Names

HLA-DP1B, HLA-DPB1, MHC class II antigen DPB1

6 Images
Immunohistochemistry (Formalin/PFA-fixed paraffin-embedded sections) - Anti-MHC Class II antibody [6C6] (AB55152)
  • IHC-P

AbReview25380****

Immunohistochemistry (Formalin/PFA-fixed paraffin-embedded sections) - Anti-MHC Class II antibody [6C6] (AB55152)

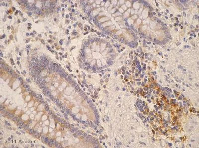
ab55152 staining MHC Class II in Human bowel tissue sections by Immunohistochemistry (IHC-P - paraformaldehyde-fixed, paraffin-embedded sections). Tissue was fixed with formaldehyde and blocked with 5% serum for 1 hour at 21°C; antigen retrieval was enzymatic. Samples were incubated with primary antibody (1/50 in milk) for 21 hours at 4°C. A Biotin-conjugated Rabbit anti-mouse polyclonal (1/300) was used as the secondary antibody.

This image was generated using the ascites version of the product.

This image is courtesy of an anonymous Abreview

Immunohistochemistry (Formalin/PFA-fixed paraffin-embedded sections) - Anti-MHC Class II antibody [6C6] (AB55152)
  • IHC-P

Unknown

Immunohistochemistry (Formalin/PFA-fixed paraffin-embedded sections) - Anti-MHC Class II antibody [6C6] (AB55152)

MHC Class II antibody (ab55152) used in immunohistochemistry at 5ug/ml on formalin fixed and paraffin embedded human lymph node.

This image was generated using the ascites version of the product.

Immunocytochemistry/ Immunofluorescence - Anti-MHC Class II antibody [6C6] (AB55152)
  • ICC/IF

Unknown

Immunocytochemistry/ Immunofluorescence - Anti-MHC Class II antibody [6C6] (AB55152)

ICC/IF image of ab55152 stained A431 cells. The cells were 4% formaldehyde fixed (10 min) and then incubated in 1%BSA / 10% normal goat serum / 0.3M glycine in 0.1% PBS-Tween for 1h to permeabilise the cells and block non-specific protein-protein interactions. The cells were then incubated with the antibody ab55152 at 10μg/ml overnight at +4°C. The secondary antibody (green) was DyLight® 488 goat anti- mouse (ab96879) IgG (H+L) used at a 1/250 dilution for 1h. Alexa Fluor® 594 WGA was used to label plasma membranes (red) at a 1/200 dilution for 1h. DAPI was used to stain the cell nuclei (blue) at a concentration of 1.43μM.

This image was generated using the ascites version of the product.

Flow Cytometry - Anti-MHC Class II antibody [6C6] (AB55152)
  • Flow Cyt

Unknown

Flow Cytometry - Anti-MHC Class II antibody [6C6] (AB55152)

Overlay histogram showing Raji cells stained with ab55152 (red line). The cells were fixed with 80% methanol (5 min) and then permeabilized with 0.1% PBS-Tween for 20 min. The cells were then incubated in 1x PBS / 10% normal goat serum / 0.3M glycine to block non-specific protein-protein interactions followed by the antibody (ab55152, 0.5μg/1x106 cells) for 30 min at 22°C. The secondary antibody used was DyLight® 488 goat anti-mouse IgG (H+L) (ab96879) at 1/500 dilution for 30 min at 22°C. Isotype control antibody (black line) was mouse IgG2a [ICIGG2A] (ab91361, 1μg/1x106 cells) used under the same conditions. Acquisition of >5,000 events was performed. This antibody gave a positive signal in Raji cells fixed with 4% paraformaldehyde (10 min)/permeabilized with 0.1% PBS-Tween for 20 min used under the same conditions.

This image was generated using the ascites version of the product.

Western blot - Anti-MHC Class II antibody [6C6] (AB55152)
  • WB

Supplier Data

Western blot - Anti-MHC Class II antibody [6C6] (AB55152)

Western blot against tagged recombinant protein immunogen using ab55152 MHC Class II antibody at 1ug/ml. Predicted band size of immunogen is 54 kDa

All lanes:

Western blot - Anti-MHC Class II antibody [6C6] (ab55152)

Predicted band size: 29 kDa

false

Western blot - Anti-MHC Class II antibody [6C6] (AB55152)
  • WB

Supplier Data

Western blot - Anti-MHC Class II antibody [6C6] (AB55152)

All lanes:

Western blot - Anti-MHC Class II antibody [6C6] (ab55152)

Lane 1:

MHC Class II transfected 293T cell lysates

Lane 2:

Non-transfected 293T cell lysates

Predicted band size: 29 kDa

false

Key facts

Host species

Mouse

Clonality

Monoclonal

Clone number

6C6

Isotype

IgG2a

Light chain type

kappa

Carrier free

Yes

Reacts with

Human

Applications

WB, IHC-P, ICC/IF, Flow Cyt

applications

Immunogen

Recombinant Full Length Protein corresponding to Human HLA-DPB1.

P04440

Reactivity data

{ "title": "Reactivity Data", "filters": { "stats": ["", "Species", "Dilution Info", "Notes"], "tabs": { "all-applications": {"fullname" : "All Applications", "shortname": "All Applications"}, "FlowCyt" : {"fullname" : "Flow Cytometry", "shortname":"Flow Cyt"}, "WB" : {"fullname" : "Western blot", "shortname":"WB"}, "IHCP" : {"fullname" : "Immunohistochemistry (Formalin/PFA-fixed paraffin-embedded sections)", "shortname":"IHC-P"}, "ICCIF" : {"fullname" : "Immunocytochemistry/ Immunofluorescence", "shortname":"ICC/IF"} }, "product-promise": { "all": "all", "testedAndGuaranteed": "tested", "guaranteed": "expected", "predicted": "predicted", "notRecommended": "not-recommended" } }, "values": { "Human": { "FlowCyt-species-checked": "testedAndGuaranteed", "FlowCyt-species-dilution-info": "", "FlowCyt-species-notes": "<p>(Also see PMID: 18941249)</p><p><a href='/en-us/products/primary-antibodies/mouse-igg2c-kappa-monoclonal-18c8bc7ad10-isotype-control-ab170191'>ab170191</a> - Mouse monoclonal IgG2a, is suitable for use as an isotype control with this antibody.</p>", "WB-species-checked": "testedAndGuaranteed", "WB-species-dilution-info": "", "WB-species-notes": "<p>This antibody has only been tested in WB against the recombinant fragment used as immunogen. We have no data on the detection of endogenous protein.</p>", "IHCP-species-checked": "testedAndGuaranteed", "IHCP-species-dilution-info": "", "IHCP-species-notes": "<p></p>", "ICCIF-species-checked": "testedAndGuaranteed", "ICCIF-species-dilution-info": "", "ICCIF-species-notes": "<p></p>" }, "Recombinant full length protein - Human": { "FlowCyt-species-checked": "notRecommended", "FlowCyt-species-dilution-info": "", "FlowCyt-species-notes": "", "WB-species-checked": "testedAndGuaranteed", "WB-species-dilution-info": "", "WB-species-notes": "<p>This antibody has only been tested in WB against the recombinant fragment used as immunogen. We have no data on the detection of endogenous protein.</p>", "IHCP-species-checked": "notRecommended", "IHCP-species-dilution-info": "", "IHCP-species-notes": "", "ICCIF-species-checked": "notRecommended", "ICCIF-species-dilution-info": "", "ICCIF-species-notes": "" }, "Rhesus monkey": { "FlowCyt-species-checked": "predicted", "FlowCyt-species-dilution-info": "", "FlowCyt-species-notes": "", "WB-species-checked": "predicted", "WB-species-dilution-info": "", "WB-species-notes": "", "IHCP-species-checked": "predicted", "IHCP-species-dilution-info": "", "IHCP-species-notes": "", "ICCIF-species-checked": "predicted", "ICCIF-species-dilution-info": "", "ICCIF-species-notes": "" } } }

Product details

Anti-MHC Class II antibody [6C6] (ab55152) is a House Mouse Monoclonal antibody and is validated for use in Flow Cyt, ICC/IF, IHC-P, WB.

Anti-MHC Class II antibody [6C6] (ab55152) has been cited over 33 times in peer reviewed journals and is trusted by the scientific community.

Abcams high quality validation processes ensure Anti-MHC Class II antibody [6C6] (ab55152) has high sensitivity and specificity.

Anti-MHC Class II antibody [6C6] (ab55152) specifically detects MHC Class II (UniProt ID: P04440; Molecular weight: 26kDa) and is sold in 100 ug selling sizes.

MHC Class II molecules are primarily expressed on professional antigen-presenting cells (APCs) like dendritic cells, macrophages, and B cells. In oncology, MHC Class II molecules play a crucial role by presenting exogenous antigens to CD4+ T cells, which is essential for initiating and regulating the immune response against tumors.

This product was changed from ascites to tissue culture supernatant on 13th Feb 2019. Please note that the dilutions may need to be adjusted accordingly. If you have any questions, please do not hesitate to contact our scientific support team.

Properties and storage information

Form
Liquid
Purification technique
Affinity purification Protein A
Storage buffer
pH: 7.4 Constituents: PBS
Shipped at conditions
Blue Ice
Appropriate short-term storage conditions
+4°C
Appropriate long-term storage conditions
-20°C
Aliquoting information
Upon delivery aliquot
Storage information
Avoid freeze / thaw cycle

Supplementary information

This supplementary information is collated from multiple sources and compiled automatically.

MHC Class II also known as MHC II or human leukocyte antigen (HLA) class II is a protein complex with a molecular mass generally around 55 kDa. This protein is mainly expressed on the surface of antigen-presenting cells such as dendritic cells macrophages and B cells. It plays an important role in the immune system by presenting extracellular antigens to T helper cells. MHC II molecules are composed of two polypeptide chains alpha and beta which associate to form a heterodimer on the cell surface.
Biological function summary

MHC Class II molecules facilitate the immune system's recognition and response to pathogens by presenting processed antigenic peptides to CD4+ T lymphocytes. This activity involves their assembly within the endosomal-lysosomal system where they bind peptides derived from endocytosed proteins. MHC II is part of the major histocompatibility complex which includes other related molecules such as MHC Class I (HLA class I). The binding and presentation of peptides are central for the coordination of adaptive immune responses enhancing pathogen clearance and maintaining immunological memory.

Pathways

MHC Class II operates within the antigen processing and presentation pathway important for adaptive immunity. Its interaction with CD4+ T cells stimulates downstream signaling pathways leading to T cell activation and differentiation. Related proteins in the antigen presentation pathway include invariant chain (Ii) which guides MHC II to the endosome and HLA-DM which facilitates peptide loading. Together these proteins and pathways work to ensure effective immune surveillance and response.

Alterations in MHC Class II expression or function are associated with autoimmune diseases such as rheumatoid arthritis and type 1 diabetes. In these conditions improper antigen presentation may lead to an inappropriate immune response against self-proteins. The involvement of MHC II in disease is often linked to specific HLA alleles which vary among individuals and influence susceptibility to autoimmune disorders. Additionally the abnormal function of connected proteins like cytokines from activated T helper cells can exacerbate these immune conditions.

Product protocols

For this product, it's our understanding that no specific protocols are required. You can visit:

Target data

Binds peptides derived from antigens that access the endocytic route of antigen presenting cells (APC) and presents them on the cell surface for recognition by the CD4 T-cells. The peptide binding cleft accommodates peptides of 10-30 residues. The peptides presented by MHC class II molecules are generated mostly by degradation of proteins that access the endocytic route, where they are processed by lysosomal proteases and other hydrolases. Exogenous antigens that have been endocytosed by the APC are thus readily available for presentation via MHC II molecules, and for this reason this antigen presentation pathway is usually referred to as exogenous. As membrane proteins on their way to degradation in lysosomes as part of their normal turn-over are also contained in the endosomal/lysosomal compartments, exogenous antigens must compete with those derived from endogenous components. Autophagy is also a source of endogenous peptides, autophagosomes constitutively fuse with MHC class II loading compartments. In addition to APCs, other cells of the gastrointestinal tract, such as epithelial cells, express MHC class II molecules and CD74 and act as APCs, which is an unusual trait of the GI tract. To produce a MHC class II molecule that presents an antigen, three MHC class II molecules (heterodimers of an alpha and a beta chain) associate with a CD74 trimer in the ER to form a heterononamer. Soon after the entry of this complex into the endosomal/lysosomal system where antigen processing occurs, CD74 undergoes a sequential degradation by various proteases, including CTSS and CTSL, leaving a small fragment termed CLIP (class-II-associated invariant chain peptide). The removal of CLIP is facilitated by HLA-DM via direct binding to the alpha-beta-CLIP complex so that CLIP is released. HLA-DM stabilizes MHC class II molecules until primary high affinity antigenic peptides are bound. The MHC II molecule bound to a peptide is then transported to the cell membrane surface. In B-cells, the interaction between HLA-DM and MHC class II molecules is regulated by HLA-DO. Primary dendritic cells (DCs) also to express HLA-DO. Lysosomal microenvironment has been implicated in the regulation of antigen loading into MHC II molecules, increased acidification produces increased proteolysis and efficient peptide loading.
See full target information HLA-DPB1

Publications (47)

Recent publications for all applications. Explore the full list and refine your search

Biology 14: PubMed40563856

2025

Precision Medicine: IL-1RA and Pancreatic Cancer Organoids.

Applications

Unspecified application

Species

Unspecified reactive species

Annah G Morgan,Michelle F Griffin,Michael T Longaker,Jeffrey A Norton

Genome medicine 17:37 PubMed40217315

2025

A single-cell atlas of Schwannoma across genetic backgrounds and anatomic locations.

Applications

Unspecified application

Species

Unspecified reactive species

L Nicolas Gonzalez Castro,Avishai Gavish,Lillian Bussema,Christopher W Mount,Cyril Neftel,Masashi Nomura,E Antonio Chiocca,Wenya Linda Bi,Omar Arnaout,Fred G Barker,Justin M Brown,Justin T Jordan,Tracy T Batchelor,Anat Stemmer-Rachamimov,Scott R Plotkin,Itay Tirosh,Mario L Suvà

Communications biology 8:296 PubMed40033126

2025

Maternal immune activation followed by peripubertal stress combinedly produce reactive microglia and confine cerebellar cognition.

Applications

Unspecified application

Species

Unspecified reactive species

Momoka Hikosaka,Md Sorwer Alam Parvez,Yuki Yamawaki,Souichi Oe,Yuan Liang,Yayoi Wada,Yukie Hirahara,Taro Koike,Hirohiko Imai,Naoya Oishi,Sina M Schalbetter,Asuka Kumagai,Mari Yoshida,Takeshi Sakurai,Masaaki Kitada,Urs Meyer,Shuh Narumiya,Gen Ohtsuki

Cancer communications (London, England) 45:218-244 PubMed39698847

2024

Radiotherapy-resistant prostate cancer cells escape immune checkpoint blockade through the senescence-related ataxia telangiectasia and Rad3-related protein.

Applications

Unspecified application

Species

Unspecified reactive species

Chenyi Shao,Yingyi Zhang,Hang Li,Jiajia Chen,Ting Huang,Jiaze Li,Simeng Wen,Sen Wang,Saijun Fan,Yu Zhao

Cell biology international 48:1849-1861 PubMed39205595

2024

Deciphering the cellular landscape and potential targets of nasopharyngeal and oral cancers using single-cell RNA sequencing.

Applications

Unspecified application

Species

Unspecified reactive species

Yanfei Zhang,Xiaoyu Qin,Weihua Lou,Liang Wang,Wuhao Lu,Changhui Gao,Shousen Hu

Cancer immunology, immunotherapy : CII 73:206 PubMed39105803

2024

Deciphering the interplay of HPV infection, MHC-II expression, and CXCL13 CD4 T cell activation in oropharyngeal cancer: implications for immunotherapy.

Applications

Unspecified application

Species

Unspecified reactive species

Shida Yan,Xing Zhang,Qiaohong Lin,Mingyuan Du,Yiqi Li,Shuai He,Jingtao Chen,Xiyuan Li,Jinxin Bei,Shuwei Chen,Ming Song

Cell reports 43:113942 PubMed38489266

2024

PAD4 controls tumor immunity via restraining the MHC class II machinery in macrophages.

Applications

Unspecified application

Species

Unspecified reactive species

Michael R Pitter,Ilona Kryczek,Hongjuan Zhang,Nisha Nagarsheth,Houjun Xia,Zhenyu Wu,Yuzi Tian,Karolina Okla,Peng Liao,Weichao Wang,Jiajia Zhou,Gaopeng Li,Heng Lin,Linda Vatan,Sara Grove,Shuang Wei,Yongqing Li,Weiping Zou

Frontiers in immunology 15:1302761 PubMed38390332

2024

Immune checkpoint ligands expressed on mature high endothelial venules predict poor prognosis of NSCLC: have a relationship with CD8 T lymphocytes infiltration.

Applications

Unspecified application

Species

Unspecified reactive species

Jing Luo,Xiuhuan Shi,Yumeng Liu,Jian Wang,Hao Wang,Xuena Yang,Qian Sun,Zhenzhen Hui,Feng Wei,Xiubao Ren,Hua Zhao

BMC infectious diseases 24:229 PubMed38378486

2024

Chlamydia trachomatis enhances HPV persistence through immune modulation.

Applications

Unspecified application

Species

Unspecified reactive species

Yingying Lu,Qi Wu,Li Wang,Lingting Ji

Investigative ophthalmology & visual science 64:12 PubMed37440263

2023

Human Lacrimal Gland Derived Mesenchymal Stem Cells - Isolation, Propagation, and Characterization.

Applications

Unspecified application

Species

Unspecified reactive species

Jilu Jaffet,Aparna Mohanty,Induvahi Veernala,Swati Singh,Mohammad Javed Ali,Sayan Basu,Geeta K Vemuganti,Vivek Singh
View all publications

Product promise

We are committed to supporting your work with high-quality reagents, and we're here for you every step of the way. In the unlikely event that one of our products does not perform as expected, you're protected by our Product Promise.
For full details, please see our Terms & Conditions

Please note: All products are 'FOR RESEARCH USE ONLY. NOT FOR USE IN DIAGNOSTIC OR THERAPEUTIC PROCEDURES'.

For licensing inquiries, please contact partnerships@abcam.com