JavaScript is disabled in your browser. Please enable JavaScript to view this website.
AB180779

Anti-MHC Class II antibody

3

(2 Reviews)

|

(37 Publications)

Rabbit Polyclonal HLA-DPB1 antibody. Suitable for WB, IHC-P and reacts with Human samples. Cited in 37 publications. Immunogen corresponding to Recombinant Fragment Protein within Human HLA-DPB1 aa 1-250.

View Alternative Names

HLA-DP1B, HLA-DPB1, MHC class II antigen DPB1

3 Images
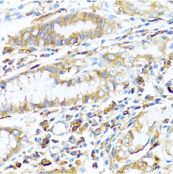
Immunohistochemistry (Formalin/PFA-fixed paraffin-embedded sections) - Anti-MHC Class II antibody (AB180779)
  • IHC-P

Supplier Data

Immunohistochemistry (Formalin/PFA-fixed paraffin-embedded sections) - Anti-MHC Class II antibody (AB180779)

Paraffin-embedded human stomach tissue stained for MHC Class II using ab180779 at 1/100 dilution in immunohistochemical analysis.

Immunohistochemistry (Formalin/PFA-fixed paraffin-embedded sections) - Anti-MHC Class II antibody (AB180779)
  • IHC-P

Supplier Data

Immunohistochemistry (Formalin/PFA-fixed paraffin-embedded sections) - Anti-MHC Class II antibody (AB180779)

Paraffin-embedded human lymph node tissue stained for MHC Class II using ab180779 at 1/100 dilution in immunohistochemical analysis.

Western blot - Anti-MHC Class II antibody (AB180779)
  • WB

Lab

Western blot - Anti-MHC Class II antibody (AB180779)

Blocking buffer : 3% nonfat dry milk in TBST.

All lanes:

Western blot - Anti-MHC Class II antibody (ab180779) at 1/1000 dilution

Lane 1:

U-937 Cell Lysate at 25 µg

Lane 2:

THP-1 cell lysate at 25 µg

Secondary

All lanes:

HRP Goat Anti-Rabbit IgG (H+L)

Predicted band size: 29 kDa

false

Key facts

Host species

Rabbit

Clonality

Polyclonal

Isotype

IgG

Carrier free

No

Reacts with

Human

Applications

IHC-P, WB

applications

Immunogen

Recombinant Fragment Protein within Human HLA-DPB1 aa 1-250. The exact immunogen used to generate this antibody is proprietary information.

P04440

Reactivity data

{ "title": "Reactivity Data", "filters": { "stats": ["", "Species", "Dilution Info", "Notes"], "tabs": { "all-applications": {"fullname" : "All Applications", "shortname": "All Applications"}, "WB" : {"fullname" : "Western blot", "shortname":"WB"}, "IHCP" : {"fullname" : "Immunohistochemistry (Formalin/PFA-fixed paraffin-embedded sections)", "shortname":"IHC-P"} }, "product-promise": { "all": "all", "testedAndGuaranteed": "tested", "guaranteed": "expected", "predicted": "predicted", "notRecommended": "not-recommended" } }, "values": { "Human": { "WB-species-checked": "testedAndGuaranteed", "WB-species-dilution-info": "1/500 - 1/2000", "WB-species-notes": "<p></p>", "IHCP-species-checked": "testedAndGuaranteed", "IHCP-species-dilution-info": "1/50 - 1/200", "IHCP-species-notes": "<p><a href='/en-us/products/primary-antibodies/rabbit-igg-polyclonal-isotype-control-chip-grade-ab171870'>ab171870</a> - Rabbit polyclonal IgG, is suitable for use as an isotype control with this antibody.</p>" } } }

Properties and storage information

Form
Liquid
Purification technique
Affinity purification Immunogen
Storage buffer
pH: 7.3 Preservative: 0.02% Sodium azide Constituents: PBS, 50% Glycerol (glycerin, glycerine)
Shipped at conditions
Blue Ice
Appropriate short-term storage duration
1-2 weeks
Appropriate short-term storage conditions
+4°C
Appropriate long-term storage conditions
-20°C
Aliquoting information
Upon delivery aliquot
Storage information
Avoid freeze / thaw cycle

Supplementary information

This supplementary information is collated from multiple sources and compiled automatically.

MHC Class II also known as MHC II or human leukocyte antigen (HLA) class II is a protein complex with a molecular mass generally around 55 kDa. This protein is mainly expressed on the surface of antigen-presenting cells such as dendritic cells macrophages and B cells. It plays an important role in the immune system by presenting extracellular antigens to T helper cells. MHC II molecules are composed of two polypeptide chains alpha and beta which associate to form a heterodimer on the cell surface.
Biological function summary

MHC Class II molecules facilitate the immune system's recognition and response to pathogens by presenting processed antigenic peptides to CD4+ T lymphocytes. This activity involves their assembly within the endosomal-lysosomal system where they bind peptides derived from endocytosed proteins. MHC II is part of the major histocompatibility complex which includes other related molecules such as MHC Class I (HLA class I). The binding and presentation of peptides are central for the coordination of adaptive immune responses enhancing pathogen clearance and maintaining immunological memory.

Pathways

MHC Class II operates within the antigen processing and presentation pathway important for adaptive immunity. Its interaction with CD4+ T cells stimulates downstream signaling pathways leading to T cell activation and differentiation. Related proteins in the antigen presentation pathway include invariant chain (Ii) which guides MHC II to the endosome and HLA-DM which facilitates peptide loading. Together these proteins and pathways work to ensure effective immune surveillance and response.

Alterations in MHC Class II expression or function are associated with autoimmune diseases such as rheumatoid arthritis and type 1 diabetes. In these conditions improper antigen presentation may lead to an inappropriate immune response against self-proteins. The involvement of MHC II in disease is often linked to specific HLA alleles which vary among individuals and influence susceptibility to autoimmune disorders. Additionally the abnormal function of connected proteins like cytokines from activated T helper cells can exacerbate these immune conditions.

Product protocols

For this product, it's our understanding that no specific protocols are required. You can visit:

Target data

Binds peptides derived from antigens that access the endocytic route of antigen presenting cells (APC) and presents them on the cell surface for recognition by the CD4 T-cells. The peptide binding cleft accommodates peptides of 10-30 residues. The peptides presented by MHC class II molecules are generated mostly by degradation of proteins that access the endocytic route, where they are processed by lysosomal proteases and other hydrolases. Exogenous antigens that have been endocytosed by the APC are thus readily available for presentation via MHC II molecules, and for this reason this antigen presentation pathway is usually referred to as exogenous. As membrane proteins on their way to degradation in lysosomes as part of their normal turn-over are also contained in the endosomal/lysosomal compartments, exogenous antigens must compete with those derived from endogenous components. Autophagy is also a source of endogenous peptides, autophagosomes constitutively fuse with MHC class II loading compartments. In addition to APCs, other cells of the gastrointestinal tract, such as epithelial cells, express MHC class II molecules and CD74 and act as APCs, which is an unusual trait of the GI tract. To produce a MHC class II molecule that presents an antigen, three MHC class II molecules (heterodimers of an alpha and a beta chain) associate with a CD74 trimer in the ER to form a heterononamer. Soon after the entry of this complex into the endosomal/lysosomal system where antigen processing occurs, CD74 undergoes a sequential degradation by various proteases, including CTSS and CTSL, leaving a small fragment termed CLIP (class-II-associated invariant chain peptide). The removal of CLIP is facilitated by HLA-DM via direct binding to the alpha-beta-CLIP complex so that CLIP is released. HLA-DM stabilizes MHC class II molecules until primary high affinity antigenic peptides are bound. The MHC II molecule bound to a peptide is then transported to the cell membrane surface. In B-cells, the interaction between HLA-DM and MHC class II molecules is regulated by HLA-DO. Primary dendritic cells (DCs) also to express HLA-DO. Lysosomal microenvironment has been implicated in the regulation of antigen loading into MHC II molecules, increased acidification produces increased proteolysis and efficient peptide loading.
See full target information HLA-DPB1

Publications (37)

Recent publications for all applications. Explore the full list and refine your search

Cell reports. Medicine 6:102024 PubMed40107247

2025

Immune-featured stromal niches associate with response to neoadjuvant immunotherapy in oral squamous cell carcinoma.

Applications

Unspecified application

Species

Unspecified reactive species

Yu-Tong Liu,Hai-Ming Liu,Jian-Gang Ren,Wei Zhang,Xin-Xin Wang,Zi-Li Yu,Qiu-Yun Fu,Xue-Peng Xiong,Jun Jia,Bing Liu,Gang Chen

Scientific reports 14:17837 PubMed39090190

2024

Modulation of MHC expression by interferon-gamma and its influence on PBMC-mediated cytotoxicity in canine mast cell tumour cells.

Applications

Unspecified application

Species

Unspecified reactive species

Sudchaya Bhanpattanakul,Theerawat Tharasanit,Supranee Buranapraditkun,Achariya Sailasuta,Takayuki Nakagawa,Theerayuth Kaewamatawong

Journal of materials chemistry. B 12:7334-7347 PubMed38973614

2024

Dapansutrile OLT1177 suppresses foreign body response inflammation while preserving vascularisation of implanted materials.

Applications

Unspecified application

Species

Unspecified reactive species

Alex H P Chan,Xueying S Xu,Ian L Chin,Angus J Grant,Kieran Lau,Yunfei Hu,Praveesuda L Michael,Yuen Ting Lam,Steven G Wise,Richard P Tan

Biomedicines 12: PubMed38672273

2024

Artificial Extracellular Vesicles Generated from T Cells Using Different Induction Techniques.

Applications

Unspecified application

Species

Unspecified reactive species

Ekaterina A Zmievskaya,Sabir A Mukhametshin,Irina A Ganeeva,Elvina M Gilyazova,Elvira T Siraeva,Marianna P Kutyreva,Artur A Khannanov,Youyong Yuan,Emil R Bulatov

Cell reports 43:113942 PubMed38489266

2024

PAD4 controls tumor immunity via restraining the MHC class II machinery in macrophages.

Applications

Unspecified application

Species

Unspecified reactive species

Michael R Pitter,Ilona Kryczek,Hongjuan Zhang,Nisha Nagarsheth,Houjun Xia,Zhenyu Wu,Yuzi Tian,Karolina Okla,Peng Liao,Weichao Wang,Jiajia Zhou,Gaopeng Li,Heng Lin,Linda Vatan,Sara Grove,Shuang Wei,Yongqing Li,Weiping Zou

Journal of translational medicine 21:654 PubMed37740183

2023

The application of HER2 and CD47 CAR-macrophage in ovarian cancer.

Applications

Unspecified application

Species

Unspecified reactive species

Yizhao Chen,Xiangling Zhu,Hanze Liu,Cunzhi Wang,Yu Chen,Huihui Wang,Yilong Fang,Xuming Wu,Yuting Xu,Chunhua Li,Xinyue Lv,Jinghua Huang,Xintong Han,Ruilin Li,Wenming Hong,Zhiying Yu,Wei Wei,Jiajie Tu

PloS one 18:e0290342 PubMed37590291

2023

Highly reproducible rat arterial injury model of neointimal hyperplasia.

Applications

Unspecified application

Species

Unspecified reactive species

Richard P Tan,Jui Chien Hung,Alex H P Chan,Angus J Grant,Matthew J Moore,Yuen Ting Lam,Praveesuda Michael,Steven G Wise

Signal transduction and targeted therapy 8:236 PubMed37332010

2023

Soluble CD4 effectively prevents excessive TLR activation of resident macrophages in the onset of sepsis.

Applications

Unspecified application

Species

Unspecified reactive species

Sheng-Yuan Zhang,Qiu-Ping Xu,Li-Na Shi,Shih-Wen Li,Wei-Hong Wang,Qing-Qing Wang,Liao-Xun Lu,Hui Xiao,Jun-Hong Wang,Feng-Ying Li,Yin-Ming Liang,Si-Tang Gong,Hao-Ran Peng,Zheng Zhang,Hong Tang

Cell death & disease 14:344 PubMed37253771

2023

Long non-coding RNA KCND1 protects hearts from hypertrophy by targeting YBX1.

Applications

Unspecified application

Species

Unspecified reactive species

Rui Yang,Liangliang Li,Yumeng Hou,Yingnan Li,Jing Zhang,Na Yang,Yuhan Zhang,Weihang Ji,Tong Yu,Lifang Lv,Haihai Liang,Xuelian Li,Tianyu Li,Hongli Shan

Open medicine (Warsaw, Poland) 18:20230681 PubMed37197359

2023

Long noncoding RNA alleviates angiotensin II-induced cardiac hypertrophy phenotypes by mediating the miR-765/Wnt family member 7B pathway.

Applications

Unspecified application

Species

Unspecified reactive species

Manli Yuan,Huaping Jia,Bei Zhao,Can Zhang,Xiaowen Zuo
View all publications

Product promise

We are committed to supporting your work with high-quality reagents, and we're here for you every step of the way. In the unlikely event that one of our products does not perform as expected, you're protected by our Product Promise.
For full details, please see our Terms & Conditions

Please note: All products are 'FOR RESEARCH USE ONLY. NOT FOR USE IN DIAGNOSTIC OR THERAPEUTIC PROCEDURES'.

For licensing inquiries, please contact partnerships@abcam.com