JavaScript is disabled in your browser. Please enable JavaScript to view this website.
AB249550

Anti-MHC Class II beta antibody [EPR11227] - BSA and Azide free

Be the first to review this product! Submit a review

|

(0 Publication)

Rabbit Recombinant Monoclonal HLA-DPB1 antibody. Carrier free. Suitable for ICC/IF, WB, IHC-P and reacts with Human samples.

View Alternative Names

HLA-DP1B, HLA-DPB1, MHC class II antigen DPB1

5 Images
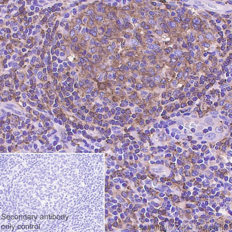
Immunohistochemistry (Formalin/PFA-fixed paraffin-embedded sections) - Anti-MHC Class II beta antibody [EPR11227] - BSA and Azide free (AB249550)
  • IHC-P

Lab

Immunohistochemistry (Formalin/PFA-fixed paraffin-embedded sections) - Anti-MHC Class II beta antibody [EPR11227] - BSA and Azide free (AB249550)

This data was developed using ab170867, the same antibody clone in a different buffer formulation.

Immunohistochemical analysis of Paraffin-embedded sections human tonsil tissue labelling MHC Class II beta with ab170867 at 1/2000 dilution, followed by a ready to use Rabbit specific IHC polymer detection kit HRP/DAB (ab209101). Counter stained with Haematoxylin.
Secondary antibody only control : Used PBS instead of primary antibody, secondary antibody is ready to use Rabbit specific IHC polymer detection kit HRP/DAB (ab209101).

Heat mediated antigen retrieval using Bond™ Epitope Retrieval Solution 2 (pH 9.0) for 20 minutes.

Positive staining on human tonsil.

The section was incubated with ab170867 for 30 mins at room temperature.

The immunostaining was performed on a Leica Biosystems BOND® RX instrument

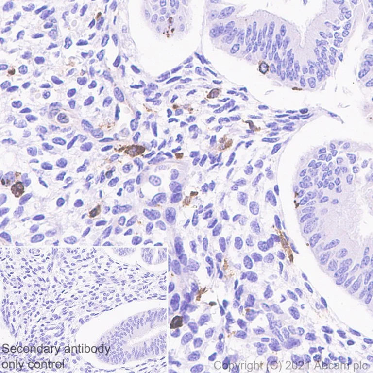
Immunohistochemistry (Formalin/PFA-fixed paraffin-embedded sections) - Anti-MHC Class II beta antibody [EPR11227] - BSA and Azide free (AB249550)
  • IHC-P

Lab

Immunohistochemistry (Formalin/PFA-fixed paraffin-embedded sections) - Anti-MHC Class II beta antibody [EPR11227] - BSA and Azide free (AB249550)

This data was developed using ab170867, the same antibody clone in a different buffer formulation.

Immunohistochemical analysis of Paraffin-embedded sections human endometrium tissue labelling MHC Class II beta with ab170867 at 1/2000 dilution, followed by a ready to use Rabbit specific IHC polymer detection kit HRP/DAB (ab209101). Counter stained with Haematoxylin.
Secondary antibody only control : Used PBS instead of primary antibody, secondary antibody is ready to use Rabbit specific IHC polymer detection kit HRP/DAB (ab209101).

Heat mediated antigen retrieval using Bond™ Epitope Retrieval Solution 2 (pH 9.0) for 20 minutes.

Positive staining on human endometrium.

The section was incubated with ab170867 for 30 mins at room temperature.

The immunostaining was performed on a Leica Biosystems BOND® RX instrument

Immunocytochemistry/ Immunofluorescence - Anti-MHC Class II beta antibody [EPR11227] - BSA and Azide free (AB249550)
  • ICC/IF

Lab

Immunocytochemistry/ Immunofluorescence - Anti-MHC Class II beta antibody [EPR11227] - BSA and Azide free (AB249550)

This data was developed using ab170867, the same antibody clone in a different buffer formulation.

Immunocytochemistry/ Immunofluorescence analysis of Raji (human Burkitt's lymphoma B lymphocyte) cells labeling MHC Class II beta using ab170867. The cells were fixed with 4% paraformaldehyde then permeabilized with 0.1% Triton X-100. The cells were then incubated with ab170867 at 1 : 50 dilution followed by a further incubation with ab150081 Goat Anti-Rabbit IgG H&L (Alexa Fluor® 488) preadsorbed at 1 : 1000 dilution (shown in green). Nuclear DNA was labelled in blue with DAPI. Cells were counterstained using ab195889 Anti-alpha Tubulin antibody [DM1A] - Microtubule Marker (Alexa Fluor® 594) at 1 : 200 dilution (shown in red). Secondary antibody only control : PBS instead of the primary antibody.

Confocal image showing membranous and cytoplasmic staining in Raji cell line

Western blot - Anti-MHC Class II beta antibody [EPR11227] - BSA and Azide free (AB249550)
  • WB

Lab

Western blot - Anti-MHC Class II beta antibody [EPR11227] - BSA and Azide free (AB249550)

This data was developed using ab170867, the same antibody clone in a different buffer formulation. Blocking and diluting buffer and concentration : 5% NFDM/TBST. The molecular weights observed are consistent with what have been described in the literatures representing MHC Class II beta monomer (25-35kDa) and dimer (50-65kDa) (PMID : 15322189, 17174123)

All lanes:

Western blot - Anti-MHC Class II beta antibody [EPR11227] (<a href='/en-us/products/primary-antibodies/mhc-class-ii-beta-antibody-epr11227-ab170867'>ab170867</a>) at 1/10000 dilution

Lane 1:

Human tonsil lysate boiled at 15 µg

Lane 2:

Human tonsil lysate unboiled at 15 µg

Secondary

All lanes:

Goat Anti-Rabbit IgG (HRP) with minimal cross-reactivity with human IgG at 1/2000 dilution

Predicted band size: 29 kDa

false

Exposure time: 40s

Western blot - Anti-MHC Class II beta antibody [EPR11227] - BSA and Azide free (AB249550)
  • WB

Lab

Western blot - Anti-MHC Class II beta antibody [EPR11227] - BSA and Azide free (AB249550)

This data was developed using ab170867, the same antibody clone in a different buffer formulation. Blocking and diluting buffer and concentration : 5% NFDM/TBST. ab181602 was used as GAPDH loading control. The molecular weights observed are consistent with what have been described in the literatures representing MHC Class II beta monomer (25-35kDa) and dimer (50-65kDa) (PMID : 15322189, 17174123)

All lanes:

Western blot - Anti-MHC Class II beta antibody [EPR11227] (<a href='/en-us/products/primary-antibodies/mhc-class-ii-beta-antibody-epr11227-ab170867'>ab170867</a>) at 1/2000 dilution

Lane 1:

Raji (Human Burkitt's lymphoma B lymphocyte) whole cell lysate boiled at 15 µg

Lane 2:

Raji (Human Burkitt's lymphoma B lymphocyte) whole cell lysate unboiled at 15 µg

Secondary

All lanes:

Goat Anti-Rabbit IgG (HRP) with minimal cross-reactivity with human IgG at 1/2000 dilution

Predicted band size: 29 kDa

false

Exposure time: 3s

Key facts

Host species

Rabbit

Clonality

Monoclonal

Clone number

EPR11227

Isotype

IgG

Carrier free

Yes

Reacts with

Human

Applications

ICC/IF, WB, IHC-P

applications

Immunogen

The exact immunogen used to generate this antibody is proprietary information.

Reactivity data

{ "title": "Reactivity Data", "filters": { "stats": ["", "Species", "Dilution Info", "Notes"], "tabs": { "all-applications": {"fullname" : "All Applications", "shortname": "All Applications"}, "ICCIF" : {"fullname" : "Immunocytochemistry/ Immunofluorescence", "shortname":"ICC/IF"}, "WB" : {"fullname" : "Western blot", "shortname":"WB"}, "IHCP" : {"fullname" : "Immunohistochemistry (Formalin/PFA-fixed paraffin-embedded sections)", "shortname":"IHC-P"}, "FlowCyt" : {"fullname" : "Flow Cytometry", "shortname":"Flow Cyt"}, "IP" : {"fullname" : "Immunoprecipitation", "shortname":"IP"} }, "product-promise": { "all": "all", "testedAndGuaranteed": "tested", "guaranteed": "expected", "predicted": "predicted", "notRecommended": "not-recommended" } }, "values": { "Human": { "ICCIF-species-checked": "testedAndGuaranteed", "ICCIF-species-dilution-info": "", "ICCIF-species-notes": "<p></p>", "WB-species-checked": "testedAndGuaranteed", "WB-species-dilution-info": "", "WB-species-notes": "<p></p>", "IHCP-species-checked": "testedAndGuaranteed", "IHCP-species-dilution-info": "", "IHCP-species-notes": "<p></p>", "FlowCyt-species-checked": "notRecommended", "FlowCyt-species-dilution-info": "", "FlowCyt-species-notes": "<p></p>", "IP-species-checked": "notRecommended", "IP-species-dilution-info": "", "IP-species-notes": "<p></p>" } } }

Product details

ab249550 is the carrier-free version of ab170867.

Patented technology
Our RabMAb® technology is a patented hybridoma-based technology for making rabbit monoclonal antibodies. For details on our patents, please refer to RabMAb® patents.

What are the advantages of a recombinant monoclonal antibody?
This product is a recombinant monoclonal antibody, which offers several advantages including:

  • - High batch-to-batch consistency and reproducibility
  • - Improved sensitivity and specificity
  • - Long-term security of supply
  • - Animal-free batch production

For more information, read more on recombinant antibodies.

Conjugation ready
Our carrier-free antibodies are typically supplied in a PBS-only formulation, purified and free of BSA, sodium azide and glycerol. This conjugation-ready format is designed for use with fluorochromes, metal isotopes, oligonucleotides, and enzymes, which makes them ideal for antibody labelling, functional and cell-based assays, flow-based assays (e.g. mass cytometry) and Multiplex Imaging applications.

Use our conjugation kits for antibody conjugates that are ready-to-use in as little as 20 minutes with 1 minute hands-on-time and 100% antibody recovery: available for fluorescent dyes, HRP, biotin and gold.

Compatibility
This product is compatible with the Maxpar® Antibody Labeling Kit from Fluidigm, without the need for antibody preparation. Maxpar® is a trademark of Fluidigm Canada Inc.

Properties and storage information

Form
Liquid
Purification technique
Affinity purification Protein A
Storage buffer
pH: 7.2 - 7.4 Constituents: PBS
Shipped at conditions
Blue Ice
Appropriate short-term storage conditions
+4°C
Appropriate long-term storage conditions
+4°C
Storage information
Do Not Freeze

Supplementary information

This supplementary information is collated from multiple sources and compiled automatically.

The MHC Class II beta also known as HLA-DRB in humans is a protein essential for the immune system's functionality. It forms a part of the MHC class II protein complex with a typical mass around 28 kDa. Predominantly expressed on antigen-presenting cells such as dendritic cells B cells and macrophages it plays an important role in presenting extracellular antigens to CD4+ T helper cells. By doing so MHC Class II beta enables the adaptive immune response important for identifying and eliminating pathogens.
Biological function summary

MHC Class II beta facilitates the immune system's recognition of foreign particles. As part of the MHC class II complex it binds peptides derived from extracellular proteins processed in the endocytic pathway. This binding allows the presentation of peptide-MHC class II complexes on the cell surface which is recognized by CD4+ T cells thereby triggering T cell activation and proliferation. This mechanism is key for immune surveillance and for initiating the immune response against pathogens.

Pathways

The MHC Class II beta protein plays a significant role in the antigen processing and presentation pathways alongside proteins such as invariant chain (Ii) and HLA-DM. It is involved in the intracellular process where antigens are loaded onto MHC Class II molecules in the late endosome/lysosome. Additionally it is a part of the adaptive immune response pathway working in conjunction with other MHC proteins and immunoglobulins to mediate tolerance and immunity.

Defects or dysregulation in MHC Class II beta have been connected to autoimmune diseases such as rheumatoid arthritis and type 1 diabetes. Aberrant expression or function of MHC Class II molecules disturbs immune tolerance leading to self-antigen presentation and the breakdown of self-tolerance triggering autoimmune responses. The MHC Class II region is also associated with HLA-DRB alleles which have been implicated in increased susceptibility to these autoimmune conditions.

Product protocols

For this product, it's our understanding that no specific protocols are required. You can visit:

Target data

Binds peptides derived from antigens that access the endocytic route of antigen presenting cells (APC) and presents them on the cell surface for recognition by the CD4 T-cells. The peptide binding cleft accommodates peptides of 10-30 residues. The peptides presented by MHC class II molecules are generated mostly by degradation of proteins that access the endocytic route, where they are processed by lysosomal proteases and other hydrolases. Exogenous antigens that have been endocytosed by the APC are thus readily available for presentation via MHC II molecules, and for this reason this antigen presentation pathway is usually referred to as exogenous. As membrane proteins on their way to degradation in lysosomes as part of their normal turn-over are also contained in the endosomal/lysosomal compartments, exogenous antigens must compete with those derived from endogenous components. Autophagy is also a source of endogenous peptides, autophagosomes constitutively fuse with MHC class II loading compartments. In addition to APCs, other cells of the gastrointestinal tract, such as epithelial cells, express MHC class II molecules and CD74 and act as APCs, which is an unusual trait of the GI tract. To produce a MHC class II molecule that presents an antigen, three MHC class II molecules (heterodimers of an alpha and a beta chain) associate with a CD74 trimer in the ER to form a heterononamer. Soon after the entry of this complex into the endosomal/lysosomal system where antigen processing occurs, CD74 undergoes a sequential degradation by various proteases, including CTSS and CTSL, leaving a small fragment termed CLIP (class-II-associated invariant chain peptide). The removal of CLIP is facilitated by HLA-DM via direct binding to the alpha-beta-CLIP complex so that CLIP is released. HLA-DM stabilizes MHC class II molecules until primary high affinity antigenic peptides are bound. The MHC II molecule bound to a peptide is then transported to the cell membrane surface. In B-cells, the interaction between HLA-DM and MHC class II molecules is regulated by HLA-DO. Primary dendritic cells (DCs) also to express HLA-DO. Lysosomal microenvironment has been implicated in the regulation of antigen loading into MHC II molecules, increased acidification produces increased proteolysis and efficient peptide loading.
See full target information HLA-DPB1

Product promise

We are committed to supporting your work with high-quality reagents, and we're here for you every step of the way. In the unlikely event that one of our products does not perform as expected, you're protected by our Product Promise.
For full details, please see our Terms & Conditions

Please note: All products are 'FOR RESEARCH USE ONLY. NOT FOR USE IN DIAGNOSTIC OR THERAPEUTIC PROCEDURES'.

For licensing inquiries, please contact partnerships@abcam.com