JavaScript is disabled in your browser. Please enable JavaScript to view this website.
AB245766

Anti-Mib1/Mindbomb antibody [EPR2762(2)] - BSA and Azide free

Be the first to review this product! Submit a review

|

(1 Publication)

Rabbit Recombinant Monoclonal MIB1 antibody. Carrier free. Suitable for IHC-P, WB, ICC/IF and reacts with Human, Mouse samples. Cited in 1 publication.

View Alternative Names

DIP1, KIAA1323, ZZANK2, MIB1, E3 ubiquitin-protein ligase MIB1, DAPK-interacting protein 1, Mind bomb homolog 1, RING-type E3 ubiquitin transferase MIB1, Zinc finger ZZ type with ankyrin repeat domain protein 2, DIP-1

5 Images
Immunocytochemistry/ Immunofluorescence - Anti-Mib1/Mindbomb antibody [EPR2762(2)] - BSA and Azide free (AB245766)
  • ICC/IF

Unknown

Immunocytochemistry/ Immunofluorescence - Anti-Mib1/Mindbomb antibody [EPR2762(2)] - BSA and Azide free (AB245766)

ab124929 staining Mib1/Mindbomb in HeLa (human cervix adenocarcinoma) cells by ICC/IF (Immunocytochemistry/immunofluorescence). Cells were fixed with 4% Paraformaldehyde and permeabilized with 0.1% Triton X-100. Samples were incubated with primary antibody at a dilution of 1/100. A goat anti rabbit IgG (Alexa Fluor® 488) (ab150077) was used as the secondary antibody. ab7291 and ab150120 were used as counterstains for primary antibody ab124929 and secondary antibody ab150077 respectively and DAPI was used as a nuclear counterstain. **Negative control 1** : Rabbit primary antibody and anti-mouse secondary antibody (ab150120) **Negative control 2 : ** Mouse primary antibody (ab7291) and anti-rabbit secondary antibody (ab150077) This image was produced using purified antibody. This data was developed using the same antibody clone in a different buffer formulation containing PBS, BSA, glycerol and sodium azide (ab124929).

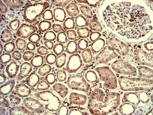
Immunohistochemistry (Formalin/PFA-fixed paraffin-embedded sections) - Anti-Mib1/Mindbomb antibody [EPR2762(2)] - BSA and Azide free (AB245766)
  • IHC-P

Unknown

Immunohistochemistry (Formalin/PFA-fixed paraffin-embedded sections) - Anti-Mib1/Mindbomb antibody [EPR2762(2)] - BSA and Azide free (AB245766)

ab124929, at 1/250 dilution, staining Mib1/Mindbomb in formalin-fixed, paraffin-embedded Human kidney tissue by immunohistochemistry.

This image was produced using unpurified antibody.

This data was developed using the same antibody clone in a different buffer formulation containing PBS, BSA, glycerol and sodium azide (ab124929).

Perform heat mediated antigen retrieval before commencing with IHC staining protocol.

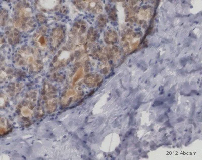
Immunohistochemistry (Formalin/PFA-fixed paraffin-embedded sections) - Anti-Mib1/Mindbomb antibody [EPR2762(2)] - BSA and Azide free (AB245766)
  • IHC-P

Unknown

Immunohistochemistry (Formalin/PFA-fixed paraffin-embedded sections) - Anti-Mib1/Mindbomb antibody [EPR2762(2)] - BSA and Azide free (AB245766)

Immunohistochemical analysis of Human breast cancer tissue, staining Mib1/Mindbomb with ab124929.

Tissue was fixed with paraformaldehyde and permeabilized with Tween buffer for 30 minutes at 20°C; antigen retrieval was by heat mediation in Tris/EDTA buffer (pH 9). Samples were incubated with primary antibody (1/5000 in diluent) for 30 minutes at 20°C. An undiluted HRP-conjugated goat anti-rabbit polyclonal IgG was used as the secondary antibody.

This data was developed using the same antibody clone in a different buffer formulation containing PBS#44; BSA#44; glycerol and sodium azide (ab124929)

Immunohistochemistry (Formalin/PFA-fixed paraffin-embedded sections) - Anti-Mib1/Mindbomb antibody [EPR2762(2)] - BSA and Azide free (AB245766)
  • IHC-P

AbReview32727****

Immunohistochemistry (Formalin/PFA-fixed paraffin-embedded sections) - Anti-Mib1/Mindbomb antibody [EPR2762(2)] - BSA and Azide free (AB245766)

Immunohistochemical analysis of Human breast cancer tissue, staining Mib1/Mindbomb with ab124929.

Tissue was fixed with paraformaldehyde and permeabilized with Tween buffer for 30 minutes at 20°C; antigen retrieval was by heat mediation in Tris/EDTA buffer (pH 9). Samples were incubated with primary antibody (1/5000 in diluent) for 30 minutes at 20°C. An undiluted HRP-conjugated goat anti-rabbit polyclonal IgG was used as the secondary antibody.

This data was developed using the same antibody clone in a different buffer formulation containing PBS, BSA, glycerol and sodium azide (ab124929).

This image is courtesy of an Abreview submitted by Mr Rudolf Jung

OI-RD Scanning - Anti-Mib1/Mindbomb antibody [EPR2762(2)] - BSA and Azide free (AB245766)
  • OI-RD Scanning

Unknown

OI-RD Scanning - Anti-Mib1/Mindbomb antibody [EPR2762(2)] - BSA and Azide free (AB245766)

We have systematically measured KD (the equilibrium dissociation constant between the antibody and its antigen), of more than 840 recombinant antibodies to assess not only their individual KD values but also to see the average affinity of antibody. Based on the comparison with published literature values for mouse monoclonal antibodies, Recombinant antibodies appear to be on average 1-2 order of magnitude higher affinity.

Key facts

Host species

Rabbit

Clonality

Monoclonal

Clone number

EPR2762(2)

Isotype

IgG

Carrier free

Yes

Reacts with

Mouse, Human

Applications

WB, ICC/IF, IHC-P

applications

Immunogen

The exact immunogen used to generate this antibody is proprietary information.

Reactivity data

{ "title": "Reactivity Data", "filters": { "stats": ["", "Species", "Dilution Info", "Notes"], "tabs": { "all-applications": {"fullname" : "All Applications", "shortname": "All Applications"}, "IHCP" : {"fullname" : "Immunohistochemistry (Formalin/PFA-fixed paraffin-embedded sections)", "shortname":"IHC-P"}, "IP" : {"fullname" : "Immunoprecipitation", "shortname":"IP"}, "WB" : {"fullname" : "Western blot", "shortname":"WB"}, "ICCIF" : {"fullname" : "Immunocytochemistry/ Immunofluorescence", "shortname":"ICC/IF"} }, "product-promise": { "all": "all", "testedAndGuaranteed": "tested", "guaranteed": "expected", "predicted": "predicted", "notRecommended": "not-recommended" } }, "values": { "Human": { "IHCP-species-checked": "testedAndGuaranteed", "IHCP-species-dilution-info": "", "IHCP-species-notes": "<p>Heat up to 98 degrees C, below boiling, and then let cool for 10-20 min.</p>", "IP-species-checked": "notRecommended", "IP-species-dilution-info": "", "IP-species-notes": "<p></p>", "WB-species-checked": "guaranteed", "WB-species-dilution-info": "", "WB-species-notes": "<p></p>", "ICCIF-species-checked": "testedAndGuaranteed", "ICCIF-species-dilution-info": "", "ICCIF-species-notes": "<p></p>" }, "Mouse": { "IHCP-species-checked": "notRecommended", "IHCP-species-dilution-info": "", "IHCP-species-notes": "", "IP-species-checked": "notRecommended", "IP-species-dilution-info": "", "IP-species-notes": "<p></p>", "WB-species-checked": "guaranteed", "WB-species-dilution-info": "", "WB-species-notes": "<p></p>", "ICCIF-species-checked": "notRecommended", "ICCIF-species-dilution-info": "", "ICCIF-species-notes": "" }, "Rat": { "IHCP-species-checked": "notRecommended", "IHCP-species-dilution-info": "", "IHCP-species-notes": "<p>Heat up to 98 degrees C, below boiling, and then let cool for 10-20 min.</p>", "IP-species-checked": "notRecommended", "IP-species-dilution-info": "", "IP-species-notes": "<p></p>", "WB-species-checked": "notRecommended", "WB-species-dilution-info": "", "WB-species-notes": "<p></p>", "ICCIF-species-checked": "notRecommended", "ICCIF-species-dilution-info": "", "ICCIF-species-notes": "<p></p>" } } }

Product details

ab245766 is the carrier-free version of ab124929.

Patented technology
Our RabMAb® technology is a patented hybridoma-based technology for making rabbit monoclonal antibodies. For details on our patents, please refer to RabMAb® patents.

What are the advantages of a recombinant monoclonal antibody?
This product is a recombinant monoclonal antibody, which offers several advantages including:

  • - High batch-to-batch consistency and reproducibility
  • - Improved sensitivity and specificity
  • - Long-term security of supply
  • - Animal-free batch production

For more information, read more on recombinant antibodies.

Conjugation ready
Our carrier-free antibodies are typically supplied in a PBS-only formulation, purified and free of BSA, sodium azide and glycerol. This conjugation-ready format is designed for use with fluorochromes, metal isotopes, oligonucleotides, and enzymes, which makes them ideal for antibody labelling, functional and cell-based assays, flow-based assays (e.g. mass cytometry) and Multiplex Imaging applications.

Use our conjugation kits for antibody conjugates that are ready-to-use in as little as 20 minutes with 1 minute hands-on-time and 100% antibody recovery: available for fluorescent dyes, HRP, biotin and gold.

Compatibility
This product is compatible with the Maxpar® Antibody Labeling Kit from Fluidigm, without the need for antibody preparation. Maxpar® is a trademark of Fluidigm Canada Inc.

Properties and storage information

Form
Liquid
Purification technique
Affinity purification Protein A
Storage buffer
pH: 7.2 - 7.4 Constituents: PBS
Shipped at conditions
Blue Ice
Appropriate short-term storage conditions
+4°C
Appropriate long-term storage conditions
+4°C
Storage information
Do Not Freeze

Product protocols

For this product, it's our understanding that no specific protocols are required. You can visit:

Target data

E3 ubiquitin-protein ligase that mediates ubiquitination of Delta receptors, which act as ligands of Notch proteins. Positively regulates the Delta-mediated Notch signaling by ubiquitinating the intracellular domain of Delta, leading to endocytosis of Delta receptors. Probably mediates ubiquitination and subsequent proteasomal degradation of DAPK1, thereby antagonizing anti-apoptotic effects of DAPK1 to promote TNF-induced apoptosis (By similarity). Involved in ubiquitination of centriolar satellite CEP131, CEP290 and PCM1 proteins and hence inhibits primary cilium formation in proliferating cells. Mediates 'Lys-63'-linked polyubiquitination of TBK1, which probably participates in kinase activation.. (Microbial infection) During adenovirus infection, mediates ubiquitination of Core-capsid bridging protein. This allows viral genome delivery into nucleus for infection.
See full target information MIB1

Publications (1)

Recent publications for all applications. Explore the full list and refine your search

Nature photonics 15:361-366 PubMed33953795

2021

MINSTED fluorescence localization and nanoscopy.

Applications

Unspecified application

Species

Unspecified reactive species

Michael Weber,Marcel Leutenegger,Stefan Stoldt,Stefan Jakobs,Tiberiu S Mihaila,Alexey N Butkevich,Stefan W Hell
View all publications

Product promise

We are committed to supporting your work with high-quality reagents, and we're here for you every step of the way. In the unlikely event that one of our products does not perform as expected, you're protected by our Product Promise.
For full details, please see our Terms & Conditions

Please note: All products are 'FOR RESEARCH USE ONLY. NOT FOR USE IN DIAGNOSTIC OR THERAPEUTIC PROCEDURES'.

For licensing inquiries, please contact partnerships@abcam.com