JavaScript is disabled in your browser. Please enable JavaScript to view this website.
AB224702

Anti-MICA + MICB antibody [EPR22031]

Be the first to review this product! Submit a review

|

(5 Publications)

Anti-MICA + MICB antibody [EPR22031] (ab224702) is a rabbit monoclonal antibody detecting MICA + MICB in Western Blot, IHC-P. Suitable for Human,.

- KO validated for confirmed specificity
- Biophysical QC for unrivalled batch-batch consistency

View Alternative Names

PERB11.1, MICA, MHC class I polypeptide-related sequence A, MIC-A

6 Images
Immunohistochemistry (Formalin/PFA-fixed paraffin-embedded sections) - Anti-MICA + MICB antibody [EPR22031] (AB224702)
  • IHC-P

Supplier Data

Immunohistochemistry (Formalin/PFA-fixed paraffin-embedded sections) - Anti-MICA + MICB antibody [EPR22031] (AB224702)

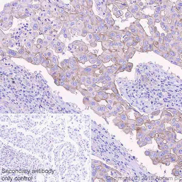
Immunohistochemical analysis of paraffin-embedded human lung cancer tissue labeling MICA with ab224702 at 1/500 dilution, followed by a ready to use Goat Anti-Rabbit IgG H&L (HRP). Membranous staining on human lung cancer (PMID : 28334733) is observed. Counterstained with hematoxylin.
Secondary antibody only control : Used PBS instead of primary antibody, secondary antibody is a ready to use Goat Anti-Rabbit IgG H&L (HRP).
Perform heat mediated antigen retrieval using ab93684 (Tris/EDTA buffer, pH 9.0).

Immunohistochemistry (Formalin/PFA-fixed paraffin-embedded sections) - Anti-MICA + MICB antibody [EPR22031] (AB224702)
  • IHC-P

Supplier Data

Immunohistochemistry (Formalin/PFA-fixed paraffin-embedded sections) - Anti-MICA + MICB antibody [EPR22031] (AB224702)

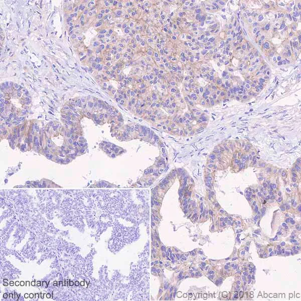
Immunohistochemical analysis of paraffin-embedded human ovary cancer tissue labeling MICA with ab224702 at 1/500 dilution, followed by a ready to use Goat Anti-Rabbit IgG H&L (HRP). Membranous staining on human ovary cancer (PMID : 28334733) is observed. Counterstained with hematoxylin.
Secondary antibody only control : Used PBS instead of primary antibody, secondary antibody is a ready to use Goat Anti-Rabbit IgG H&L (HRP).
Perform heat mediated antigen retrieval using ab93684 (Tris/EDTA buffer, pH 9.0).

Immunohistochemistry (Formalin/PFA-fixed paraffin-embedded sections) - Anti-MICA + MICB antibody [EPR22031] (AB224702)
  • IHC-P

Supplier Data

Immunohistochemistry (Formalin/PFA-fixed paraffin-embedded sections) - Anti-MICA + MICB antibody [EPR22031] (AB224702)

Immunohistochemical analysis of paraffin-embedded human stomach tissue labeling MICA with ab224702 at 1/500 dilution, followed by a ready to use Goat Anti-Rabbit IgG H&L (HRP). Membranous staining on epithelium of human stomach (PMID : 28334733) is observed. Counterstained with hematoxylin.
Secondary antibody only control : Used PBS instead of primary antibody, secondary antibody is a ready to use Goat Anti-Rabbit IgG H&L (HRP).
Perform heat mediated antigen retrieval using ab93684 (Tris/EDTA buffer, pH 9.0).

Western blot - Anti-MICA + MICB antibody [EPR22031] (AB224702)
  • WB

Supplier Data

Western blot - Anti-MICA + MICB antibody [EPR22031] (AB224702)

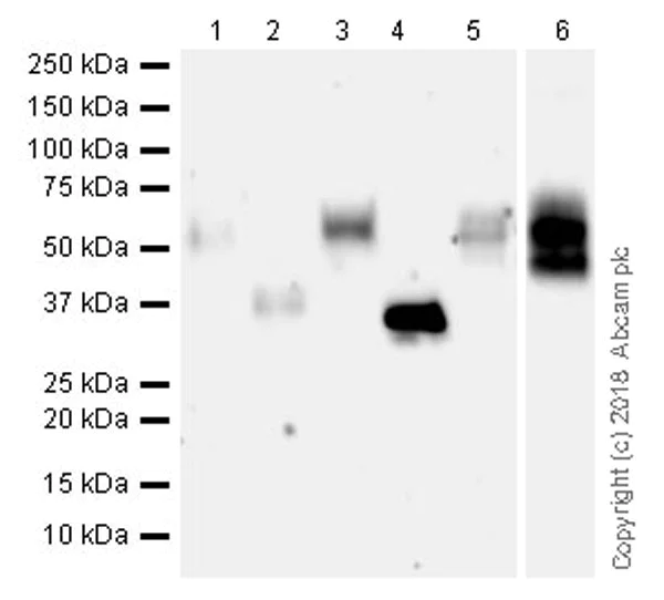
Bands between 50-60kDa represent the glycosylated form. After PNGase F treatment, the de-glycosylated form appears around 40kDa.

The molecular weight observed is consistent with what has been described in the literature (PMID : 10359807; PMID : 9396860).

Blocking and dilution buffer : 5% NFDM/TBST.

All lanes:

Western blot - Anti-MICA + MICB antibody [EPR22031] (ab224702) at 1/1000 dilution

Lane 1:

K562 (human chronic myelogenous leukemia cell line from bone marrow), whole cell lysate at 20 µg

Lane 2:

K562 whole cell lysate treated with PNGase F at 20 µg

Lane 3:

HeLa (human epithelial cell line from cervix adenocarcinoma), whole cell lysate at 20 µg

Lane 4:

HeLa whole cell lysate treated with PNGase F at 20 µg

Lane 5:

HUVEC (human umbilical vein endothelial cell line), whole cell lysate at 20 µg

Lane 6:

U266B1 (human multiple myeloma B lymphocyte cell line), whole cell lysate at 20 µg

Secondary

All lanes:

Western blot - Goat Anti-Rabbit IgG H&L (HRP) (<a href='/en-us/products/secondary-antibodies/goat-rabbit-igg-h-l-hrp-ab97051'>ab97051</a>) at 1/50000 dilution

Predicted band size: 43 kDa

Observed band size: 40 kDa,50-60 kDa

false

Exposure time: 3min

Western blot - Anti-MICA + MICB antibody [EPR22031] (AB224702)
  • WB

Lab

Western blot - Anti-MICA + MICB antibody [EPR22031] (AB224702)

Western blot : Anti-MICA antibody [EPR22031] (ab224702) staining at 1/1000 dilution, shown in green; Mouse anti-CANX [CANX/1543] (ab238078) loading control staining at 1/20000 dilution, shown in magenta. In Western blot, ab224702 was shown to bind specifically to MICA. A band was observed at 43 kDa in wild-type A549 cell lysates with no signal observed at this size in MICA knockout cell line. To generate this image, wild-type and MICA knockout A549 cell lysates were analysed. First, samples were run on an SDS-PAGE gel then transferred onto a nitrocellulose membrane. Membranes were blocked in 3 % milk in TBS-0.1 % Tween® 20 (TBS-T) before incubation with primary antibodies overnight at 4 °C. Blots were washed four times in TBS-T, incubated with secondary antibodies for 1 h at room temperature, washed again four times then imaged. Secondary antibodies used were Goat anti-Rabbit IgG H&L 800CW and Goat anti-Mouse IgG H&L 680RD at 1/20000 dilution.

All lanes:

Western blot - Anti-MICA + MICB antibody [EPR22031] (ab224702) at 1/1000 dilution

Lane 1:

Wild-type A549 cell lysate at 20 µg

Lane 2:

MICA knockout A549 cell lysate at 20 µg

Lane 3:

U-2 OS cell lysate at 20 µg

Lane 4:

Ramos cell lysate at 20 µg

Lane 5:

MICA protein <a href='/en-us/products/proteins-peptides/recombinant-human-mica-protein-active-ab182709'>ab182709</a> cell lysate at 0.2 µg

Secondary

All lanes:

Goat anti-Rabbit IgG H&L 800CW and Goat anti-Mouse IgG H&L 680RD at 1/20000 dilution

Observed band size: 43 kDa

false

Western blot - Anti-MICA + MICB antibody [EPR22031] (AB224702)
  • WB

Supplier Data

Western blot - Anti-MICA + MICB antibody [EPR22031] (AB224702)

Blocking and dilution buffer : 5% NFDM/TBST.

All lanes:

Western blot - Anti-MICA + MICB antibody [EPR22031] (ab224702) at 1/5000 dilution

Lane 1:

His-tagged MICB recombinant protein expressed in E.coli system (aa23-383 with 310-330 replaced by GGGS), 10 ng

Lane 2:

His-tagged MICA recombinant protein expressed in E.coli system (aa24-383 with 308-328 replaced by GGGGS) 10 ng

Secondary

All lanes:

Western blot - Goat Anti-Rabbit IgG H&L (HRP) (<a href='/en-us/products/secondary-antibodies/goat-rabbit-igg-h-l-hrp-ab97051'>ab97051</a>) at 1/100000 dilution

Predicted band size: 43 kDa

false

Exposure time: 15s

  • Carrier free

    Anti-MICA + MICB antibody [EPR22031] - BSA and Azide free

Key facts

Host species

Rabbit

Clonality

Monoclonal

Clone number

EPR22031

Isotype

IgG

Carrier free

No

Reacts with

Human

Applications

WB, IHC-P

applications

Immunogen

The exact immunogen used to generate this antibody is proprietary information.

Reactivity data

{ "title": "Reactivity Data", "filters": { "stats": ["", "Species", "Dilution Info", "Notes"], "tabs": { "all-applications": {"fullname" : "All Applications", "shortname": "All Applications"}, "WB" : {"fullname" : "Western blot", "shortname":"WB"}, "IHCP" : {"fullname" : "Immunohistochemistry (Formalin/PFA-fixed paraffin-embedded sections)", "shortname":"IHC-P"} }, "product-promise": { "all": "all", "testedAndGuaranteed": "tested", "guaranteed": "expected", "predicted": "predicted", "notRecommended": "not-recommended" } }, "values": { "Human": { "WB-species-checked": "testedAndGuaranteed", "WB-species-dilution-info": "1/1000 - 1/5000", "WB-species-notes": "<p></p>", "IHCP-species-checked": "testedAndGuaranteed", "IHCP-species-dilution-info": "1/500", "IHCP-species-notes": "<p></p> Perform heat-mediated antigen retrieval with Tris/EDTA buffer pH 9.0 before commencing with IHC staining protocol." } } }

Product details

What is this antibody validated in?
Anti-MICA + MICB antibody [EPR22031] (ab224702) is a rabbit recombinant monoclonal antibody and is validated for use in Western Blot (WB), Immunohistochemistry (IHC-P) in Human, samples.

What is the molecular weight of MICA + MICB?
Anti-MICA + MICB [EPR22031] (ab224702) specifically detects a band for MICA + MICB (UniProt: Q29983) at a molecular weight of 42kDa.

Trial sizes available!
Test your antibody or perform pre-screening before committing to a larger quantity. Sold in 10µl. Discover our selection of trial-size antibodies.

Specificity confirmed
The specificity of Anti-MICA + MICB antibody [EPR22031] (ab224702) has been confirmed by Western blot testing in MICA Knockout A549 cells.

Patented technology
Our RabMAb® technology is a patented hybridoma-based technology for making rabbit monoclonal antibodies. For details on our patents, please refer to RabMAb® patents.

What are the advantages of a recombinant monoclonal antibody?
This product is a recombinant monoclonal antibody, which offers several advantages including:

  • - High batch-to-batch consistency and reproducibility
  • - Improved sensitivity and specificity
  • - Long-term security of supply
  • - Animal-free batch production

For more information, read more on recombinant antibodies.

Properties and storage information

Form
Liquid
Purification technique
Affinity purification Protein A
Storage buffer
pH: 7.2 - 7.4 Preservative: 0.01% Sodium azide Constituents: PBS, 40% Glycerol (glycerin, glycerine), 0.05% BSA
Shipped at conditions
Blue Ice
Appropriate short-term storage duration
1-2 weeks
Appropriate short-term storage conditions
+4°C
Appropriate long-term storage conditions
-20°C
Aliquoting information
Upon delivery aliquot
Storage information
Avoid freeze / thaw cycle

Supplementary information

This supplementary information is collated from multiple sources and compiled automatically.

MICA and MICB also known as MIC-A and MIC-B are stress-induced proteins with significant roles in immune responses. These proteins are widely known for their presence on the surface of many human cell types most notably epithelial and endothelial cells. MICA is a glycoprotein with a molecular mass of approximately 70 kDa while MICB has a similar structure and mass. They are both part of the MHC class I-like molecules and function as ligands to the NKG2D receptor on natural killer (NK) cells and certain T cells a critical interaction for immune surveillance.
Biological function summary

MICA and MICB act in the activation of the immune system by modulating NK cells and CD8+ T cell activities. These proteins do not form part of a complex but operate independently to signal the presence of infected or transformed cells to the immune system. They often appear on the cell surface under stress such as during viral infections or cancerous transformations activating immune cells to target and destroy these abnormal cells.

Pathways

The MICA/MICB interaction with NKG2D is integral to the immune checkpoint pathway. This pathway plays a significant role in regulating the immune system's response to aberrant cells. Additionally MICA and MICB activity is linked to the regulation of the cytokine IFN-γ promoting the recruitment and activation of immune effector cells. The roles of these proteins in these pathways underline their importance in maintaining immune homeostasis and responding to pathological challenges.

MICA and MICB have notable associations with cancer and autoimmune diseases. Aberrant expression of these proteins on tumor cells facilitates their recognition and elimination by immune cells linking MICA and MICB directly to tumor immunosurveillance. In autoimmune disorders improper regulation of MICA/MICB expression can lead to undesirable immune cell activation contributing to conditions like rheumatoid arthritis. The proteins connect with others like NKG2D in both cancer immunity and autoimmune diseases highlighting their dual role in health and disease.

Product protocols

For this product, it's our understanding that no specific protocols are required. You can visit:

Target data

Widely expressed membrane-bound protein which acts as a ligand to stimulate an activating receptor KLRK1/NKG2D, expressed on the surface of essentially all human natural killer (NK), gammadelta T and CD8 alphabeta T-cells (PubMed : 11491531, PubMed : 11777960). Up-regulated in stressed conditions, such as viral and bacterial infections or DNA damage response, serves as signal of cellular stress, and engagement of KLRK1/NKG2D by MICA triggers NK-cells resulting in a range of immune effector functions, such as cytotoxicity and cytokine production (PubMed : 10426993).
See full target information MICA

Additional targets

MICB

Publications (5)

Recent publications for all applications. Explore the full list and refine your search

Cellular oncology (Dordrecht, Netherlands) : PubMed41051595

2025

TAK-981 potentiates doxorubicin immunocide in triple-negative breast cancer by IFN I-dependent NK cell stimulation.

Applications

Unspecified application

Species

Unspecified reactive species

Jia Liu,Yiming Wang,Xiaoxia Wei,Suyan Liu,Congting Hu,Pingping Peng,Wenhua Wu,Jiaqin Cai,Hong Sun

Acta pharmaceutica Sinica. B 13:967-981 PubMed36970197

2023

Concurrent silencing of TBCE and drug delivery to overcome platinum-based resistance in liver cancer.

Applications

Unspecified application

Species

Unspecified reactive species

Senlin Li,Siyu Chen,Zhihui Dong,Xingdong Song,Xiuling Li,Ziqi Huang,Huiru Li,Linzhuo Huang,Ganyuan Zhuang,Ran Lan,Mingyan Guo,Wende Li,Phei Er Saw,Lei Zhang

Cancer medicine 12:6337-6347 PubMed36210637

2022

A signature based on NKG2D ligands to predict the recurrence of hepatocellular carcinoma after radical resection.

Applications

Unspecified application

Species

Unspecified reactive species

Dongbo Chen,Jie Gao,Liying Ren,Pu Chen,Yao Yang,Shaoping She,Yong Xie,Weijia Liao,Hongsong Chen

Journal of ethnopharmacology 275:114175 PubMed33933571

2021

Jinfukang inhibits lung cancer metastasis by upregulating CX3CL1 to recruit NK cells to kill CTCs.

Applications

Unspecified application

Species

Unspecified reactive species

Zu-Jun Que,Jia-Liang Yao,Zhi-Yi Zhou,Pan Yu,Bin Luo,He-Gen Li,Jia-Xiang Liu,Hong-Xi Xu,Jian-Hui Tian

Yonsei medical journal 62:288-297 PubMed33779082

2021

Clinical Impact of Natural Killer Group 2D Receptor Expression and That of Its Ligand in Ovarian Carcinomas: A Retrospective Study.

Applications

Unspecified application

Species

Unspecified reactive species

Gee Hoon Lee,Hee Jung An,Tae Hoen Kim,Gwangil Kim,Kyung Soon Park,Hyun Park,Tae Ho Lee,Ah Young Kwon
View all publications

Product promise

We are committed to supporting your work with high-quality reagents, and we're here for you every step of the way. In the unlikely event that one of our products does not perform as expected, you're protected by our Product Promise.
For full details, please see our Terms & Conditions

Please note: All products are 'FOR RESEARCH USE ONLY. NOT FOR USE IN DIAGNOSTIC OR THERAPEUTIC PROCEDURES'.

For licensing inquiries, please contact partnerships@abcam.com