JavaScript is disabled in your browser. Please enable JavaScript to view this website.
AB241513

Anti-MICA + MICB antibody [EPR22031] - BSA and Azide free

1

(1 Review)

|

(1 Publication)

Rabbit Recombinant Monoclonal MICB antibody. Carrier free. Suitable for WB, IHC-P and reacts with Recombinant fragment, Human samples. Cited in 1 publication.

View Alternative Names

PERB11.2, MICB, MHC class I polypeptide-related sequence B, MIC-B

2 Images
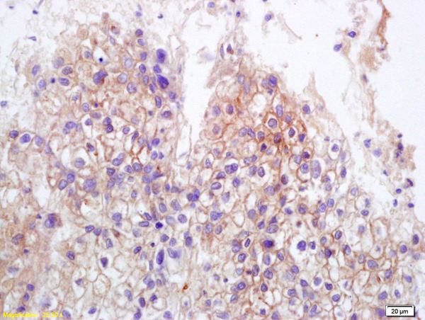
Immunohistochemistry (Formalin/PFA-fixed paraffin-embedded sections) - Anti-MICA + MICB antibody [EPR22031] - BSA and Azide free (AB241513)
  • IHC-P

Supplier Data

Immunohistochemistry (Formalin/PFA-fixed paraffin-embedded sections) - Anti-MICA + MICB antibody [EPR22031] - BSA and Azide free (AB241513)

Immunohistochemical analysis of paraffin-embedded human stomach tissue labeling MICA with ab224702 at 1/500 dilution, followed by a ready to use Goat Anti-Rabbit IgG H&L (HRP). Membranous staining on epithelium of human stomach. (PMID : 28334733) is observed. Counterstained with hematoxylin.
Secondary antibody only control : Used PBS instead of primary antibody, secondary antibody is a ready to use Goat Anti-Rabbit IgG H&L (HRP).
Perform heat mediated antigen retrieval using ab93684 (Tris/EDTA buffer, pH 9.0).

This data was developed using the same antibody clone in a different buffer formulation containing PBS, BSA, glycerol and sodium azide (ab224702).

Western blot - Anti-MICA + MICB antibody [EPR22031] - BSA and Azide free (AB241513)
  • WB

Lab

Western blot - Anti-MICA + MICB antibody [EPR22031] - BSA and Azide free (AB241513)

This data was developed using the same antibody clone in a different buffer formulation (abAB224702).

Western blot : Anti-MICA antibody [EPR22031] (ab224702) staining at 1/1000 dilution, shown in green; Mouse anti-CANX [CANX/1543] (ab238078) loading control staining at 1/20000 dilution, shown in magenta. In Western blot, ab224702 was shown to bind specifically to MICA. A band was observed at 43 kDa in wild-type A549 cell lysates with no signal observed at this size in MICA knockout cell line. To generate this image, wild-type and MICA knockout A549 cell lysates were analysed. First, samples were run on an SDS-PAGE gel then transferred onto a nitrocellulose membrane. Membranes were blocked in 3 % milk in TBS-0.1 % Tween® 20 (TBS-T) before incubation with primary antibodies overnight at 4 °C. Blots were washed four times in TBS-T, incubated with secondary antibodies for 1 h at room temperature, washed again four times then imaged. Secondary antibodies used were Goat anti-Rabbit IgG H&L 800CW and Goat anti-Mouse IgG H&L 680RD at 1/20000 dilution.

All lanes:

Western blot - Anti-MICA + MICB antibody [EPR22031] (<a href='/en-us/products/primary-antibodies/mica-micb-antibody-epr22031-ab224702'>ab224702</a>) at 1/1000 dilution

Lane 1:

Wild-type A549 cell lysate at 20 µg

Lane 2:

MICA knockout A549 cell lysate at 20 µg

Lane 3:

U-2 OS cell lysate at 20 µg

Lane 4:

Ramos cell lysate at 20 µg

Lane 5:

MICA protein <a href='/en-us/products/proteins-peptides/recombinant-human-mica-protein-active-ab182709'>ab182709</a> cell lysate at 0.2 µg

Secondary

All lanes:

Goat anti-Rabbit IgG H&L 800CW and Goat anti-Mouse IgG H&L 680RD at 1/20000 dilution

Observed band size: 43 kDa

false

Key facts

Host species

Rabbit

Clonality

Monoclonal

Clone number

EPR22031

Isotype

IgG

Carrier free

Yes

Reacts with

Human

Applications

IHC-P, WB

applications

Immunogen

The exact immunogen used to generate this antibody is proprietary information.

Reactivity data

{ "title": "Reactivity Data", "filters": { "stats": ["", "Species", "Dilution Info", "Notes"], "tabs": { "all-applications": {"fullname" : "All Applications", "shortname": "All Applications"}, "WB" : {"fullname" : "Western blot", "shortname":"WB"}, "IHCP" : {"fullname" : "Immunohistochemistry (Formalin/PFA-fixed paraffin-embedded sections)", "shortname":"IHC-P"} }, "product-promise": { "all": "all", "testedAndGuaranteed": "tested", "guaranteed": "expected", "predicted": "predicted", "notRecommended": "not-recommended" } }, "values": { "Human": { "WB-species-checked": "testedAndGuaranteed", "WB-species-dilution-info": "", "WB-species-notes": "<p></p>", "IHCP-species-checked": "testedAndGuaranteed", "IHCP-species-dilution-info": "", "IHCP-species-notes": "<p></p> Perform heat-mediated antigen retrieval with Tris/EDTA buffer pH 9.0 before commencing with IHC staining protocol." }, "Recombinant fragment": { "WB-species-checked": "testedAndGuaranteed", "WB-species-dilution-info": "", "WB-species-notes": "<p></p>", "IHCP-species-checked": "guaranteed", "IHCP-species-dilution-info": "", "IHCP-species-notes": "<p></p>" } } }

Product details

ab241513 is the carrier-free version of ab224702.

Patented technology
Our RabMAb® technology is a patented hybridoma-based technology for making rabbit monoclonal antibodies. For details on our patents, please refer to RabMAb® patents.

What are the advantages of a recombinant monoclonal antibody?
This product is a recombinant monoclonal antibody, which offers several advantages including:

  • - High batch-to-batch consistency and reproducibility
  • - Improved sensitivity and specificity
  • - Long-term security of supply
  • - Animal-free batch production

For more information, read more on recombinant antibodies.

Conjugation ready
Our carrier-free antibodies are typically supplied in a PBS-only formulation, purified and free of BSA, sodium azide and glycerol. This conjugation-ready format is designed for use with fluorochromes, metal isotopes, oligonucleotides, and enzymes, which makes them ideal for antibody labelling, functional and cell-based assays, flow-based assays (e.g. mass cytometry) and Multiplex Imaging applications.

Use our conjugation kits for antibody conjugates that are ready-to-use in as little as 20 minutes with 1 minute hands-on-time and 100% antibody recovery: available for fluorescent dyes, HRP, biotin and gold.

Compatibility
This product is compatible with the Maxpar® Antibody Labeling Kit from Fluidigm, without the need for antibody preparation. Maxpar® is a trademark of Fluidigm Canada Inc.

Properties and storage information

Form
Liquid
Purification technique
Affinity purification Protein A
Storage buffer
pH: 7.2 - 7.4 Constituents: PBS
Shipped at conditions
Blue Ice
Appropriate short-term storage conditions
+4°C
Appropriate long-term storage conditions
+4°C
Storage information
Do Not Freeze

Supplementary information

This supplementary information is collated from multiple sources and compiled automatically.

MICA and MICB also known as MIC-A and MIC-B are stress-induced proteins with significant roles in immune responses. These proteins are widely known for their presence on the surface of many human cell types most notably epithelial and endothelial cells. MICA is a glycoprotein with a molecular mass of approximately 70 kDa while MICB has a similar structure and mass. They are both part of the MHC class I-like molecules and function as ligands to the NKG2D receptor on natural killer (NK) cells and certain T cells a critical interaction for immune surveillance.
Biological function summary

MICA and MICB act in the activation of the immune system by modulating NK cells and CD8+ T cell activities. These proteins do not form part of a complex but operate independently to signal the presence of infected or transformed cells to the immune system. They often appear on the cell surface under stress such as during viral infections or cancerous transformations activating immune cells to target and destroy these abnormal cells.

Pathways

The MICA/MICB interaction with NKG2D is integral to the immune checkpoint pathway. This pathway plays a significant role in regulating the immune system’s response to aberrant cells. Additionally MICA and MICB activity is linked to the regulation of the cytokine IFN-γ promoting the recruitment and activation of immune effector cells. The roles of these proteins in these pathways underline their importance in maintaining immune homeostasis and responding to pathological challenges.

MICA and MICB have notable associations with cancer and autoimmune diseases. Aberrant expression of these proteins on tumor cells facilitates their recognition and elimination by immune cells linking MICA and MICB directly to tumor immunosurveillance. In autoimmune disorders improper regulation of MICA/MICB expression can lead to undesirable immune cell activation contributing to conditions like rheumatoid arthritis. The proteins connect with others like NKG2D in both cancer immunity and autoimmune diseases highlighting their dual role in health and disease.

Product protocols

For this product, it's our understanding that no specific protocols are required. You can visit:

Target data

Widely expressed membrane-bound protein which acts as a ligand to stimulate an activating receptor KLRK1/NKG2D, expressed on the surface of essentially all human natural killer (NK), gammadelta T and CD8+ alphabeta T-cells (PubMed : 11491531, PubMed : 11777960). Up-regulated in stressed conditions, such as viral and bacterial infections or DNA damage response, serves as signal of cellular stress, and engagement of KLRK1/NKG2D by MICA triggers NK-cells resulting in a range of immune effector functions, such as cytotoxicity and cytokine production.
See full target information MICB

Additional targets

MICA

Publications (1)

Recent publications for all applications. Explore the full list and refine your search

Histology and histopathology 40:733-743 PubMed39380528

2024

Mechanism of KMT2D-mediated epigenetic modification in IL-1β-induced nucleus pulposus cell degeneration.

Applications

Unspecified application

Species

Unspecified reactive species

Hongjiang Liu,Haiquan Liu,Zuyu Meng,Wensheng Zhang
View all publications

Product promise

We are committed to supporting your work with high-quality reagents, and we're here for you every step of the way. In the unlikely event that one of our products does not perform as expected, you're protected by our Product Promise.
For full details, please see our Terms & Conditions

Please note: All products are 'FOR RESEARCH USE ONLY. NOT FOR USE IN DIAGNOSTIC OR THERAPEUTIC PROCEDURES'.

For licensing inquiries, please contact partnerships@abcam.com