JavaScript is disabled in your browser. Please enable JavaScript to view this website.
AB222098

Anti-MICA + MICB antibody [EPR22071-91]

Be the first to review this product! Submit a review

|

(1 Publication)

Rabbit Recombinant Monoclonal MICA antibody. Suitable for IP, WB and reacts with Human, Recombinant fragment samples. Cited in 1 publication.

View Alternative Names

PERB11.1, MICA, MHC class I polypeptide-related sequence A, MIC-A

4 Images
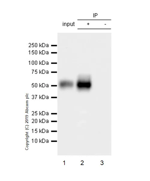
Immunoprecipitation - Anti-MICA + MICB antibody [EPR22071-91] (AB222098)
  • IP

Unknown

Immunoprecipitation - Anti-MICA + MICB antibody [EPR22071-91] (AB222098)

MICA + MICB were immunoprecipitated from 0.35 mg of K562 (human chronic myelogenous leukemia cell line from bone marrow) whole cell lysate with ab222098 at 1/30 dilution. Western blot was performed from the immunoprecipitate using ab222098 at 1/500 dilution. VeriBlot for IP Detection Reagent (HRP) (ab131366), was used as secondary antibody at 1/1000 dilution.

Lane 1 : K562 whole cell lysate 10 μg (Input).
Lane 2 : ab222098 IP in K562 whole cell lysate.
Lane 3 : Rabbit monoclonal IgG (ab172730) instead of ab222098 in K562 whole cell lysate.

Blocking and dilution buffer and concentration : 5% NFDM/TBST.
Exposure time : 10 seconds.

All lanes:

Immunoprecipitation - Anti-MICA + MICB antibody [EPR22071-91] (ab222098)

Observed band size: 50-60 kDa

false

Western blot - Anti-MICA + MICB antibody [EPR22071-91] (AB222098)
  • WB

Unknown

Western blot - Anti-MICA + MICB antibody [EPR22071-91] (AB222098)

Blocking and dilution buffer : 5% NFDM/TBST .

Bands between 50-60kDa represent the glycosylated form.
The molecular weight observed is consistent with what has been described in the literature (PMID : 10359807; 19147769; 21631944).

All lanes:

Western blot - Anti-MICA + MICB antibody [EPR22071-91] (ab222098) at 1/1000 dilution

Lane 1:

U266B1 (human multiple myeloma b lymphocyte) whole cell lysate at 20 µg

Lane 2:

HUVEC (human umbilical vein endothelial cell line) whole cell lysate at 20 µg

Secondary

All lanes:

Western blot - Goat Anti-Rabbit IgG H&L (HRP) (<a href='/en-us/products/secondary-antibodies/goat-rabbit-igg-h-l-hrp-ab97051'>ab97051</a>) at 1/20000 dilution

Observed band size: 50-60 kDa

false

Exposure time: 103s

Western blot - Anti-MICA + MICB antibody [EPR22071-91] (AB222098)
  • WB

Unknown

Western blot - Anti-MICA + MICB antibody [EPR22071-91] (AB222098)

Blocking and dilution buffer : 5% NFDM/TBST.

Bands between 50-60kDa represent the glycosylated form. After PNGase F treatment, the de-glycosylated form appears around 40kDa.

The molecular weight observed is consistent with what has been described in the literature (PMID : 10359807; 19147769; 21631944, 19568411).

Lanes 1 - 4:

Western blot - Anti-MICA + MICB antibody [EPR22071-91] (ab222098) at 1/1000 dilution

Lanes 1 - 4:

Western blot - Anti-MICA + MICB antibody [EPR22071-91] - BSA and Azide free (<a href='/en-us/products/primary-antibodies/mica-micb-antibody-epr22071-91-bsa-and-azide-free-ab254196'>ab254196</a>)

Lane 1:

K562 (human chronic myelogenous leukemia cell line from bone marrow) whole cell lysate at 20 µg

Lane 2:

K562 whole cell lysate treated with PNGase F at 20 µg

Lane 3:

HeLa (human epithelial cell line from cervix adenocarcinoma) whole cell lysate at 20 µg

Lane 4:

HeLa whole cell lysate treated with PNGase F at 20 µg

Secondary

All lanes:

Western blot - Goat Anti-Rabbit IgG H&L (HRP) (<a href='/en-us/products/secondary-antibodies/goat-rabbit-igg-h-l-hrp-ab97051'>ab97051</a>) at 1/20000 dilution

false

Exposure time: 136s

Western blot - Anti-MICA + MICB antibody [EPR22071-91] (AB222098)
  • WB

Unknown

Western blot - Anti-MICA + MICB antibody [EPR22071-91] (AB222098)

Blocking and dilution buffer : 5% NFDM/TBST.

The higher mass of MICB than that of MICA was due to glycosylation in the mammalian expression system.

All lanes:

Western blot - Anti-MICA + MICB antibody [EPR22071-91] (ab222098) at 1/1000 dilution

Lane 1:

His-tagged MICA recombinant protein was expressed in E. coli (aa24-307) at 0.01 µg

Lane 2:

His-tagged MICB recombinant protein was expressed in HEK-293 (aa24-297 at 0.01 µg

Secondary

All lanes:

Western blot - Goat Anti-Rabbit IgG H&L (HRP) (<a href='/en-us/products/secondary-antibodies/goat-rabbit-igg-h-l-hrp-ab97051'>ab97051</a>) at 1/100000 dilution

false

  • Carrier free

    Anti-MICA + MICB antibody [EPR22071-91] - BSA and Azide free

Key facts

Host species

Rabbit

Clonality

Monoclonal

Clone number

EPR22071-91

Isotype

IgG

Carrier free

No

Reacts with

Human

Applications

WB, IP

applications

Immunogen

The exact immunogen used to generate this antibody is proprietary information.

Reactivity data

{ "title": "Reactivity Data", "filters": { "stats": ["", "Species", "Dilution Info", "Notes"], "tabs": { "all-applications": {"fullname" : "All Applications", "shortname": "All Applications"}, "IHCP" : {"fullname" : "Immunohistochemistry (Formalin/PFA-fixed paraffin-embedded sections)", "shortname":"IHC-P"}, "ICCIF" : {"fullname" : "Immunocytochemistry/ Immunofluorescence", "shortname":"ICC/IF"}, "FlowCyt" : {"fullname" : "Flow Cytometry", "shortname":"Flow Cyt"}, "IP" : {"fullname" : "Immunoprecipitation", "shortname":"IP"}, "WB" : {"fullname" : "Western blot", "shortname":"WB"} }, "product-promise": { "all": "all", "testedAndGuaranteed": "tested", "guaranteed": "expected", "predicted": "predicted", "notRecommended": "not-recommended" } }, "values": { "Human": { "IHCP-species-checked": "notRecommended", "IHCP-species-dilution-info": "", "IHCP-species-notes": "<p></p>", "ICCIF-species-checked": "notRecommended", "ICCIF-species-dilution-info": "", "ICCIF-species-notes": "<p></p>", "FlowCyt-species-checked": "notRecommended", "FlowCyt-species-dilution-info": "", "FlowCyt-species-notes": "<p></p>", "IP-species-checked": "testedAndGuaranteed", "IP-species-dilution-info": "1/30", "IP-species-notes": "<p></p>", "WB-species-checked": "testedAndGuaranteed", "WB-species-dilution-info": "1/1000", "WB-species-notes": "<p></p>" }, "Recombinant fragment": { "IHCP-species-checked": "notRecommended", "IHCP-species-dilution-info": "", "IHCP-species-notes": "", "ICCIF-species-checked": "notRecommended", "ICCIF-species-dilution-info": "", "ICCIF-species-notes": "", "FlowCyt-species-checked": "notRecommended", "FlowCyt-species-dilution-info": "", "FlowCyt-species-notes": "", "IP-species-checked": "notRecommended", "IP-species-dilution-info": "", "IP-species-notes": "", "WB-species-checked": "testedAndGuaranteed", "WB-species-dilution-info": "1/1000", "WB-species-notes": "<p></p>" } } }

Product details

Patented technology
Our RabMAb® technology is a patented hybridoma-based technology for making rabbit monoclonal antibodies. For details on our patents, please refer to RabMAb® patents.

What are the advantages of a recombinant monoclonal antibody?
This product is a recombinant monoclonal antibody, which offers several advantages including:

  • - High batch-to-batch consistency and reproducibility
  • - Improved sensitivity and specificity
  • - Long-term security of supply
  • - Animal-free batch production

For more information, read more on recombinant antibodies.

Properties and storage information

Form
Liquid
Purification technique
Affinity purification Protein A
Storage buffer
pH: 7.2 - 7.4 Preservative: 0.01% Sodium azide Constituents: PBS, 40% Glycerol (glycerin, glycerine), 0.05% BSA
Shipped at conditions
Blue Ice
Appropriate short-term storage duration
1-2 weeks
Appropriate short-term storage conditions
+4°C
Appropriate long-term storage conditions
-20°C
Aliquoting information
Upon delivery aliquot
Storage information
Avoid freeze / thaw cycle

Supplementary information

This supplementary information is collated from multiple sources and compiled automatically.

MICA and MICB also referred to as Mhc class I polypeptide-related sequence A and B are stress-induced proteins and are known to have a molecular weight of approximately 62 kDa and 70 kDa respectively. They are expressed on the surface of many cell types especially epithelial cells fibroblasts and upon certain cancers. These proteins are encoded within the MHC class I region yet unlike classic MHC class I molecules they do not associate with beta-2-microglobulin and they do not present antigens to T cells. Instead MICA and MICB can activate immune responses by engaging the NKG2D receptor on natural killer (NK) cells CD8+ T cells and gamma-delta T cells.
Biological function summary

MICA and MICB contribute to the immune surveillance system by marking stressed or transformed cells for destruction. These proteins are not part of a complex but are known ligands for the NKG2D receptor. Their interaction with NKG2D triggers the cytotoxic activity of NK cells and CD8+ T cells enhancing the destruction of cancerous or infected cells. Especially interesting is their role in tumor immunology where they serve as a danger signal to the immune system pointing NK cells toward tumor cells that would otherwise evade detection.

Pathways

The role of MICA and MICB centers around the immune response and cell stress pathways. One important pathway is the stress-induced signal transduction which upregulates these proteins in response to cellular stress such as heat shock. They fit into the immune surveillance pathway interacting with proteins like the NKG2D receptor and other signaling molecules that modulate immune cell activation. The pathway emphasizes the removal of damaged or abnormal cells and this interaction orchestrates timely immune responses.

MICA and MICB have associations with certain cancers like liver and colorectal cancers where they become over-expressed and shed from tumor cells to escape immune detection. Additionally their presence links to autoimmune diseases such as rheumatoid arthritis where the immune system attacks the body's own cells unjustly. The shedding of MICA/MICB from tumor cells involves enzymes like metalloproteinases affecting the engagement of NKG2D and complicating the immune response to cancerous cells.

Product protocols

For this product, it's our understanding that no specific protocols are required. You can visit:

Target data

Widely expressed membrane-bound protein which acts as a ligand to stimulate an activating receptor KLRK1/NKG2D, expressed on the surface of essentially all human natural killer (NK), gammadelta T and CD8 alphabeta T-cells (PubMed : 11491531, PubMed : 11777960). Up-regulated in stressed conditions, such as viral and bacterial infections or DNA damage response, serves as signal of cellular stress, and engagement of KLRK1/NKG2D by MICA triggers NK-cells resulting in a range of immune effector functions, such as cytotoxicity and cytokine production (PubMed : 10426993).
See full target information MICA

Additional targets

MICB

Publications (1)

Recent publications for all applications. Explore the full list and refine your search

JCI insight 6: PubMed34784299

2021

CPVL promotes glioma progression via STAT1 pathway inhibition through interactions with the BTK/p300 axis.

Applications

Unspecified application

Species

Unspecified reactive species

Hui Yang,Xiaocen Liu,Xiaolong Zhu,Xueqin Li,Lan Jiang,Min Zhong,Mengying Zhang,Tianbing Chen,Mingzhe Ma,Xiuming Liang,Kun Lv
View all publications

Product promise

We are committed to supporting your work with high-quality reagents, and we're here for you every step of the way. In the unlikely event that one of our products does not perform as expected, you're protected by our Product Promise.
For full details, please see our Terms & Conditions

Please note: All products are 'FOR RESEARCH USE ONLY. NOT FOR USE IN DIAGNOSTIC OR THERAPEUTIC PROCEDURES'.

For licensing inquiries, please contact partnerships@abcam.com