JavaScript is disabled in your browser. Please enable JavaScript to view this website.
AB276141

Anti-MICA + MICB antibody [EPR24086-121] - BSA and Azide free

Be the first to review this product! Submit a review

|

(0 Publication)

Rabbit Recombinant Monoclonal MICA antibody. Carrier free. Suitable for IP, Flow Cyt, WB and reacts with Human samples.

View Alternative Names

PERB11.1, MICA, MHC class I polypeptide-related sequence A, MIC-A, PERB11.2, MICB, MHC class I polypeptide-related sequence B, MIC-B

7 Images
Flow Cytometry - Anti-MICA + MICB antibody [EPR24086-121] - BSA and Azide free (AB276141)
  • Flow Cyt

Unknown

Flow Cytometry - Anti-MICA + MICB antibody [EPR24086-121] - BSA and Azide free (AB276141)

This data was developed using ab259934, the same antibody clone in a different buffer formulation.

Flow cytometric analysis of THP-1 (Human monocytic leukemia monocyte, left)/ HeLa (human cervix adenocarcinoma epithelial cell, right) cells labelling MICA with ab259934 at 1/50 dilution (1ug) (Red) compared with a Rabbit monoclonal IgG (ab172730) isotype control (Black) and an unlabelled control (cells without incubation with primary antibody and secondary antibody) (Blue). Goat anti rabbit IgG (Alexa Fluor® 488, ab150077) at 1/2000 dilution was used as the secondary antibody.

Negative control : THP-1 (PMID : 28154561).

Gated on viable cells.

Immunoprecipitation - Anti-MICA + MICB antibody [EPR24086-121] - BSA and Azide free (AB276141)
  • IP

Unknown

Immunoprecipitation - Anti-MICA + MICB antibody [EPR24086-121] - BSA and Azide free (AB276141)

This data was developed using ab259934, the same antibody clone in a different buffer formulation.

MICA was immunoprecipitated from 0.35 mg HUVEC (human umbilical vein endothelial cell) whole cell lysate with ab259934 at 1/30 dilution (2ug in 0.35mg lysates). Western blot was performed on the immunoprecipitate using ab259934 at 1/1000 dilution. VeriBlot for IP Detection Reagent (HRP)(ab131366) was used at 1/5000 dilution.

Lane 1 : HUVEC (human umbilical vein endothelial cell) whole cell lysate 10 ug

Lane 2 : ab259934 IP in HUVEC whole cell lysate

Lane 3 : Rabbit monoclonal IgG (ab172730) instead of ab259934 in HUVEC whole cell lysate

Blocking and dilution buffer and concentration : 5% NFDM/TBST.

Exposure time : 3 seconds.

This blot was developed using a higher sensitivity ECL substrate.

All lanes:

Immunoprecipitation - Anti-MICA + MICB antibody [EPR24086-121] (<a href='/en-us/products/primary-antibodies/mica-micb-antibody-epr24086-121-ab259934'>ab259934</a>)

Observed band size: 60 kDa

false

Western blot - Anti-MICA + MICB antibody [EPR24086-121] - BSA and Azide free (AB276141)
  • WB

Lab

Western blot - Anti-MICA + MICB antibody [EPR24086-121] - BSA and Azide free (AB276141)

Blocking and diluting buffer : 5% NFDM/TBST. This data was developed using ab259934, the same antibody clone in a different buffer formulation.

All lanes:

Western blot - Anti-MICA + MICB antibody [EPR24086-121] (<a href='/en-us/products/primary-antibodies/mica-micb-antibody-epr24086-121-ab259934'>ab259934</a>) at 1/1000 dilution

Lane 1:

His-tagged human recombinant protein MHC class I polypeptide-related sequence A (24-297aa) at 0.05 µg

Lane 2:

His-tagged human recombinant protein MHC class I polypeptide-related sequence B (24-297aa) at 0.1 µg

Secondary

All lanes:

Western blot - Goat Anti-Rabbit IgG H&L (HRP) (<a href='/en-us/products/secondary-antibodies/goat-rabbit-igg-h-l-hrp-ab97051'>ab97051</a>) at 1/20000 dilution

Predicted band size: 43 kDa

Observed band size: 60 kDa

false

Western blot - Anti-MICA + MICB antibody [EPR24086-121] - BSA and Azide free (AB276141)
  • WB

Lab

Western blot - Anti-MICA + MICB antibody [EPR24086-121] - BSA and Azide free (AB276141)

This data was developed using ab259934, the same antibody clone in a different buffer formulation.

Blocking and diluting buffer and concentration : 5% NFDM/TBST.

Negative control : THP-1 (PMID : 28154561).

MICA is a glycoprotein and can be de-glycosylated by PNGase F. The molecular mass observed is consistent with the literature (PMID : 10359807, 9396860).

Exposure time : 3 minutes.

All lanes:

Western blot - Anti-MICA + MICB antibody [EPR24086-121] (<a href='/en-us/products/primary-antibodies/mica-micb-antibody-epr24086-121-ab259934'>ab259934</a>) at 1/1000 dilution

Lane 1:

HeLa (human cervix adenocarcinoma epithelial cell) whole cell lysate at 20 µg

Lane 2:

THP-1 (Human monocytic leukemia monocyte) whole cell lysate at 20 µg

Secondary

All lanes:

Goat Anti-Rabbit IgG, (H+L), Peroxidase conjugated (<a href='/en-us/products/secondary-antibodies/goat-rabbit-igg-h-l-hrp-ab97051'>ab97051</a>) at 1/20000 dilution

Observed band size: 60 kDa

false

Western blot - Anti-MICA + MICB antibody [EPR24086-121] - BSA and Azide free (AB276141)
  • WB

Lab

Western blot - Anti-MICA + MICB antibody [EPR24086-121] - BSA and Azide free (AB276141)

This data was developed using ab259934, the same antibody clone in a different buffer formulation.

Blocking and diluting buffer and concentration : 5% NFDM/TBST.

MICA is a glycoprotein and can be de-glycosylated by PNGase F. The molecular mass observed is consistent with the literature (PMID : 10359807, 9396860).

Exposure time : 3 minutes.

All lanes:

Western blot - Anti-MICA + MICB antibody [EPR24086-121] (<a href='/en-us/products/primary-antibodies/mica-micb-antibody-epr24086-121-ab259934'>ab259934</a>) at 1/1000 dilution

Lane 1:

HeLa (human epithelial cell line from cervix adenocarcinoma) whole cell lysate at 20 µg

Lane 2:

HeLa whole cell lysate treated with PNGase F at 20 µg

Lane 3:

HUVEC (human umbilical vein endothelial cell) whole cell lysate at 20 µg

Lane 4:

HUVEC whole cell lysate treated with PNGase F at 20 µg

Secondary

All lanes:

Goat Anti-Rabbit IgG, (H+L), Peroxidase conjugated (<a href='/en-us/products/secondary-antibodies/goat-rabbit-igg-h-l-hrp-ab97051'>ab97051</a>) at 1/20000 dilution

Observed band size: 32 kDa,50-60 kDa

false

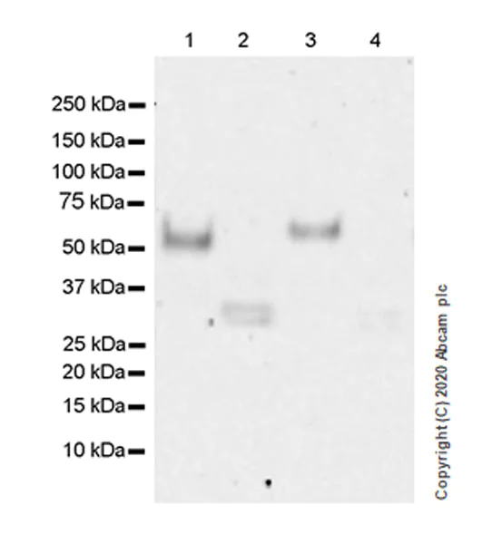
Western blot - Anti-MICA + MICB antibody [EPR24086-121] - BSA and Azide free (AB276141)
  • WB

Lab

Western blot - Anti-MICA + MICB antibody [EPR24086-121] - BSA and Azide free (AB276141)

This data was developed using ab259934, the same antibody clone in a different buffer formulation.

Blocking and diluting buffer and concentration : 5% NFDM/TBST.

MICA is a glycoprotein and can be de-glycosylated by PNGase F. The molecular mass observed is consistent with the literature (PMID : 10359807, 9396860).

Exposure time : 3 minutes.

All lanes:

Western blot - Anti-MICA + MICB antibody [EPR24086-121] (<a href='/en-us/products/primary-antibodies/mica-micb-antibody-epr24086-121-ab259934'>ab259934</a>) at 1/1000 dilution

Lane 1:

Human breast cancer tissue lysate at 20 µg

Lane 2:

Human colon cancer tissue lysate at 20 µg

Secondary

All lanes:

VeriBlot for IP secondary antibody(HRP)(<a href='/en-us/products/reagents/veriblot-for-ip-detection-reagent-hrp-ab131366'>ab131366</a>) at 1/1000 dilution

Observed band size: 50-60 kDa

false

Western blot - Anti-MICA + MICB antibody [EPR24086-121] - BSA and Azide free (AB276141)
  • WB

Lab

Western blot - Anti-MICA + MICB antibody [EPR24086-121] - BSA and Azide free (AB276141)

This data was developed using ab259934, the same antibody clone in a different buffer formulation.

Blocking and diluting buffer and concentration : 5% NFDM/TBST.

Exposure time : 3 minutes.

All lanes:

Western blot - Anti-MICA + MICB antibody [EPR24086-121] (<a href='/en-us/products/primary-antibodies/mica-micb-antibody-epr24086-121-ab259934'>ab259934</a>) at 1/1000 dilution

Lane 1:

His-tagged human recombinant protein MHC class I polypeptide-related sequence A, 10 ng

Lane 2:

His-tagged human recombinant protein MHC class I polypeptide-related sequence B, 10 ng

Secondary

All lanes:

Goat Anti-Rabbit IgG, (H+L), Peroxidase conjugated (<a href='/en-us/products/secondary-antibodies/goat-rabbit-igg-h-l-hrp-ab97051'>ab97051</a>) at 1/20000 dilution

Observed band size: 50 kDa

false

  • Unconjugated

    Anti-MICA + MICB antibody [EPR24086-121]

  • 665 Alexa Fluor® 647

    Alexa Fluor® 647 Anti-MICA + MICB antibody [EPR24086-121]

  • 660 APC

    APC Anti-MICA + MICB antibody [EPR24086-121]

  • 578 PE

    PE Anti-MICA + MICB antibody [EPR24086-121]

Key facts

Host species

Rabbit

Clonality

Monoclonal

Clone number

EPR24086-121

Isotype

IgG

Carrier free

Yes

Reacts with

Human

Applications

Flow Cyt, WB, IP

applications

Immunogen

The exact immunogen used to generate this antibody is proprietary information.

Reactivity data

{ "title": "Reactivity Data", "filters": { "stats": ["", "Species", "Dilution Info", "Notes"], "tabs": { "all-applications": {"fullname" : "All Applications", "shortname": "All Applications"}, "ICCIF" : {"fullname" : "Immunocytochemistry/ Immunofluorescence", "shortname":"ICC/IF"}, "IP" : {"fullname" : "Immunoprecipitation", "shortname":"IP"}, "FlowCyt" : {"fullname" : "Flow Cytometry", "shortname":"Flow Cyt"}, "WB" : {"fullname" : "Western blot", "shortname":"WB"}, "IHCP" : {"fullname" : "Immunohistochemistry (Formalin/PFA-fixed paraffin-embedded sections)", "shortname":"IHC-P"} }, "product-promise": { "all": "all", "testedAndGuaranteed": "tested", "guaranteed": "expected", "predicted": "predicted", "notRecommended": "not-recommended" } }, "values": { "Human": { "ICCIF-species-checked": "notRecommended", "ICCIF-species-dilution-info": "", "ICCIF-species-notes": "<p></p>", "IP-species-checked": "testedAndGuaranteed", "IP-species-dilution-info": "", "IP-species-notes": "<p></p>", "FlowCyt-species-checked": "testedAndGuaranteed", "FlowCyt-species-dilution-info": "", "FlowCyt-species-notes": "<p></p>", "WB-species-checked": "testedAndGuaranteed", "WB-species-dilution-info": "", "WB-species-notes": "<p></p>", "IHCP-species-checked": "notRecommended", "IHCP-species-dilution-info": "", "IHCP-species-notes": "<p></p>" }, "Mouse": { "ICCIF-species-checked": "notRecommended", "ICCIF-species-dilution-info": "", "ICCIF-species-notes": "<p></p>", "IP-species-checked": "notRecommended", "IP-species-dilution-info": "", "IP-species-notes": "<p></p>", "FlowCyt-species-checked": "notRecommended", "FlowCyt-species-dilution-info": "", "FlowCyt-species-notes": "<p></p>", "WB-species-checked": "notRecommended", "WB-species-dilution-info": "", "WB-species-notes": "<p></p>", "IHCP-species-checked": "notRecommended", "IHCP-species-dilution-info": "", "IHCP-species-notes": "<p></p>" }, "Rat": { "ICCIF-species-checked": "notRecommended", "ICCIF-species-dilution-info": "", "ICCIF-species-notes": "", "IP-species-checked": "notRecommended", "IP-species-dilution-info": "", "IP-species-notes": "", "FlowCyt-species-checked": "notRecommended", "FlowCyt-species-dilution-info": "", "FlowCyt-species-notes": "", "WB-species-checked": "notRecommended", "WB-species-dilution-info": "", "WB-species-notes": "<p></p>", "IHCP-species-checked": "notRecommended", "IHCP-species-dilution-info": "", "IHCP-species-notes": "<p></p>" } } }

Product details

ab276141 is the carrier-free version of ab259934.

Patented technology
Our RabMAb® technology is a patented hybridoma-based technology for making rabbit monoclonal antibodies. For details on our patents, please refer to RabMAb® patents.

What are the advantages of a recombinant monoclonal antibody?
This product is a recombinant monoclonal antibody, which offers several advantages including:

  • - High batch-to-batch consistency and reproducibility
  • - Improved sensitivity and specificity
  • - Long-term security of supply
  • - Animal-free batch production

For more information, read more on recombinant antibodies.

Conjugation ready
Our carrier-free antibodies are typically supplied in a PBS-only formulation, purified and free of BSA, sodium azide and glycerol. This conjugation-ready format is designed for use with fluorochromes, metal isotopes, oligonucleotides, and enzymes, which makes them ideal for antibody labelling, functional and cell-based assays, flow-based assays (e.g. mass cytometry) and Multiplex Imaging applications.

Use our conjugation kits for antibody conjugates that are ready-to-use in as little as 20 minutes with 1 minute hands-on-time and 100% antibody recovery: available for fluorescent dyes, HRP, biotin and gold.

Compatibility
This product is compatible with the Maxpar® Antibody Labeling Kit from Fluidigm, without the need for antibody preparation. Maxpar® is a trademark of Fluidigm Canada Inc.

Properties and storage information

Form
Liquid
Purification technique
Affinity purification Protein A
Storage buffer
Constituents: PBS
Shipped at conditions
Blue Ice
Appropriate short-term storage conditions
+4°C
Appropriate long-term storage conditions
+4°C

Supplementary information

This supplementary information is collated from multiple sources and compiled automatically.

MICA and MICB also referred to as Mhc class I polypeptide-related sequence A and B are stress-induced proteins and are known to have a molecular weight of approximately 62 kDa and 70 kDa respectively. They are expressed on the surface of many cell types especially epithelial cells fibroblasts and upon certain cancers. These proteins are encoded within the MHC class I region yet unlike classic MHC class I molecules they do not associate with beta-2-microglobulin and they do not present antigens to T cells. Instead MICA and MICB can activate immune responses by engaging the NKG2D receptor on natural killer (NK) cells CD8+ T cells and gamma-delta T cells.
Biological function summary

MICA and MICB contribute to the immune surveillance system by marking stressed or transformed cells for destruction. These proteins are not part of a complex but are known ligands for the NKG2D receptor. Their interaction with NKG2D triggers the cytotoxic activity of NK cells and CD8+ T cells enhancing the destruction of cancerous or infected cells. Especially interesting is their role in tumor immunology where they serve as a danger signal to the immune system pointing NK cells toward tumor cells that would otherwise evade detection.

Pathways

The role of MICA and MICB centers around the immune response and cell stress pathways. One important pathway is the stress-induced signal transduction which upregulates these proteins in response to cellular stress such as heat shock. They fit into the immune surveillance pathway interacting with proteins like the NKG2D receptor and other signaling molecules that modulate immune cell activation. The pathway emphasizes the removal of damaged or abnormal cells and this interaction orchestrates timely immune responses.

MICA and MICB have associations with certain cancers like liver and colorectal cancers where they become over-expressed and shed from tumor cells to escape immune detection. Additionally their presence links to autoimmune diseases such as rheumatoid arthritis where the immune system attacks the body's own cells unjustly. The shedding of MICA/MICB from tumor cells involves enzymes like metalloproteinases affecting the engagement of NKG2D and complicating the immune response to cancerous cells.

Product protocols

For this product, it's our understanding that no specific protocols are required. You can visit:

Target data

Widely expressed membrane-bound protein which acts as a ligand to stimulate an activating receptor KLRK1/NKG2D, expressed on the surface of essentially all human natural killer (NK), gammadelta T and CD8 alphabeta T-cells (PubMed : 11491531, PubMed : 11777960). Up-regulated in stressed conditions, such as viral and bacterial infections or DNA damage response, serves as signal of cellular stress, and engagement of KLRK1/NKG2D by MICA triggers NK-cells resulting in a range of immune effector functions, such as cytotoxicity and cytokine production (PubMed : 10426993).
See full target information MICA

Additional targets

MICB

Product promise

We are committed to supporting your work with high-quality reagents, and we're here for you every step of the way. In the unlikely event that one of our products does not perform as expected, you're protected by our Product Promise.
For full details, please see our Terms & Conditions

Please note: All products are 'FOR RESEARCH USE ONLY. NOT FOR USE IN DIAGNOSTIC OR THERAPEUTIC PROCEDURES'.

For licensing inquiries, please contact partnerships@abcam.com