JavaScript is disabled in your browser. Please enable JavaScript to view this website.
AB238901

Anti-MICAL2 antibody

Be the first to review this product! Submit a review

|

(1 Publication)

Rabbit Polyclonal MICAL2 antibody. Suitable for IHC-P, ICC/IF and reacts with Human samples. Cited in 1 publication. Immunogen corresponding to Recombinant Fragment Protein within Human MICAL2 aa 1-500.

View Alternative Names

KIAA0750, MICAL2PV1, MICAL2PV2, MICALCL, MICAL2, [F-actin]-monooxygenase MICAL2, MICAL C-terminal-like protein, Molecule interacting with CasL protein 2, Mical-cL, MICAL-2

2 Images
Immunocytochemistry/ Immunofluorescence - Anti-MICAL2 antibody (AB238901)
  • ICC/IF

Supplier Data

Immunocytochemistry/ Immunofluorescence - Anti-MICAL2 antibody (AB238901)

HepG2 (Human liver hepatocellular carcinoma cell line) cells stained for MICAL2 (green) using ab238901 at 1/100 dilution in ICC/IF. Secondary antibody is an Alexa-Fluor® 488-conjugated Goat Anti-Rabbit IgG (H+L).

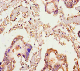
Immunohistochemistry (Formalin/PFA-fixed paraffin-embedded sections) - Anti-MICAL2 antibody (AB238901)
  • IHC-P

Supplier Data

Immunohistochemistry (Formalin/PFA-fixed paraffin-embedded sections) - Anti-MICAL2 antibody (AB238901)

Paraffin-embedded human pancreatic cancer tissue stained for MICAL2 using ab238901 at 1/100 dilution in immunohistochemical analysis.

Key facts

Host species

Rabbit

Clonality

Polyclonal

Isotype

IgG

Carrier free

No

Reacts with

Human

Applications

ICC/IF, IHC-P

applications

Immunogen

Recombinant Fragment Protein within Human MICAL2 aa 1-500. The exact immunogen used to generate this antibody is proprietary information.

O94851

Reactivity data

{ "title": "Reactivity Data", "filters": { "stats": ["", "Species", "Dilution Info", "Notes"], "tabs": { "all-applications": {"fullname" : "All Applications", "shortname": "All Applications"}, "IHCP" : {"fullname" : "Immunohistochemistry (Formalin/PFA-fixed paraffin-embedded sections)", "shortname":"IHC-P"}, "ICCIF" : {"fullname" : "Immunocytochemistry/ Immunofluorescence", "shortname":"ICC/IF"} }, "product-promise": { "all": "all", "testedAndGuaranteed": "tested", "guaranteed": "expected", "predicted": "predicted", "notRecommended": "not-recommended" } }, "values": { "Human": { "IHCP-species-checked": "testedAndGuaranteed", "IHCP-species-dilution-info": "1/20 - 1/200", "IHCP-species-notes": "<p></p>", "ICCIF-species-checked": "testedAndGuaranteed", "ICCIF-species-dilution-info": "1/50 - 1/200", "ICCIF-species-notes": "<p></p>" } } }

Properties and storage information

Form
Liquid
Purification technique
Affinity purification Protein G
Purification notes
Purity greater than 95%.
Storage buffer
pH: 7.4 Preservative: 0.03% Proclin 300 Constituents: PBS, 50% Glycerol (glycerin, glycerine)
Shipped at conditions
Blue Ice
Appropriate short-term storage duration
1-2 weeks
Appropriate short-term storage conditions
+4°C
Appropriate long-term storage conditions
-20°C
Aliquoting information
Upon delivery aliquot
Storage information
Avoid freeze / thaw cycle

Supplementary information

This supplementary information is collated from multiple sources and compiled automatically.

MICAL2 or Microtubule Associated Monooxygenase Calponin and LIM Domain Containing 2 is a multifunctional enzyme with a molecular weight of about 128 kDa. It plays a role in redox reactions and cytoskeletal dynamics by regulating actin filament depolymerization. This protein expresses predominantly in the nervous system and various cancerous tissues. MICAL2 has a unique and functional domain architecture which comprises flavoprotein monooxygenase calponin homology LIM domain and a C-terminal coiled-coil domain.
Biological function summary

MICAL2 influences cytoskeletal restructuring by acting on actin dynamics through its monooxygenase activity. It is not typically part of a stable multi-protein complex but interacts transiently with other proteins to carry out its functions. The protein contributes to cellular processes like axon guidance cellular motility and neuronal differentiation. It is vital in remodeling cell structure playing a significant role in signal transduction cascades that govern cell shape and movement.

Pathways

MICAL2 participates in the Semaphorin signaling pathway and is also involved in the signaling pathways related to cell adhesion and migration. Within these pathways it acts closely with proteins like Plexins which are receptor proteins influencing actin filament modulation. This partnership affects processes like axon steering and cellular response to environmental cues enhancing understanding of neuron navigation and tumor invasion.

MICAL2 shows significant relevance to cancer progression notably in melanoma and colorectal cancer. The elevated expression of MICAL2 correlates with enhanced metastatic behavior linking it to cancer proliferation and invasion. Additionally its interaction with other cancer-associated proteins such as those in the Plexin family helps explain its role in oncogenic processes. These associations highlight its potential as a biomarker or therapeutic target in oncological research.

Product protocols

For this product, it's our understanding that no specific protocols are required. You can visit:

Target data

Methionine monooxygenase that promotes depolymerization of F-actin by mediating oxidation of residues 'Met-44' and 'Met-47' on actin to form methionine-sulfoxide, resulting in actin filament disassembly and preventing repolymerization (PubMed : 24440334, PubMed : 29343822). Regulates the disassembly of branched actin networks also by oxidizing ARP3B-containing ARP2/3 complexes leading to ARP3B dissociation from the network (PubMed : 34106209). Acts as a key regulator of the SRF signaling pathway elicited by nerve growth factor and serum : mediates oxidation and subsequent depolymerization of nuclear actin, leading to increase MKL1/MRTF-A presence in the nucleus and promote SRF : MKL1/MRTF-A-dependent gene transcription. Does not activate SRF : MKL1/MRTF-A through RhoA (PubMed : 24440334).
See full target information MICAL2

Publications (1)

Recent publications for all applications. Explore the full list and refine your search

International journal of biological sciences 20:1045-1063 PubMed38322121

2024

The homeoprotein HOXB2 limits triple-negative breast carcinogenesis via extracellular matrix remodeling.

Applications

Unspecified application

Species

Unspecified reactive species

Ji Hoon Oh,Clara Yuri Kim,Da Som Jeong,Yu Cheon Kim,Myoung Hee Kim,Je-Yoel Cho
View all publications

Product promise

We are committed to supporting your work with high-quality reagents, and we're here for you every step of the way. In the unlikely event that one of our products does not perform as expected, you're protected by our Product Promise.
For full details, please see our Terms & Conditions

Please note: All products are 'FOR RESEARCH USE ONLY. NOT FOR USE IN DIAGNOSTIC OR THERAPEUTIC PROCEDURES'.

For licensing inquiries, please contact partnerships@abcam.com