JavaScript is disabled in your browser. Please enable JavaScript to view this website.
AB300485

Anti-MICB antibody [EPR26362-65]

Be the first to review this product! Submit a review

|

(0 Publication)

Rabbit Recombinant Monoclonal MICB antibody. Suitable for IP, Flow Cyt, WB, ICC/IF and reacts with Human, Recombinant full length protein - Human samples.

View Alternative Names

PERB11.2, MICB, MHC class I polypeptide-related sequence B, MIC-B

6 Images
Immunocytochemistry/ Immunofluorescence - Anti-MICB antibody [EPR26362-65] (AB300485)
  • ICC/IF

Supplier Data

Immunocytochemistry/ Immunofluorescence - Anti-MICB antibody [EPR26362-65] (AB300485)

Immunofluorescent analysis of 4% Paraformaldehyde-fixed, 0.1% TritonX-100 permeabilized K-562 (human chronic myelogenous leukemia lymphoblast) cells labelling MICB with ab300485 at 1/50 (9.62ug/mL) dilution, followed by ab150081 Goat Anti-Rabbit IgG H&L (Alexa Fluor® 488) preadsorbed antibody at 1/1000 2 ug/ml dilution (Green). Confocal image showing membranous staining in K-562 cell lineNegative control : Daudi (PMID : 19404979 ) is observed. ab195889 Anti-alpha Tubulin mouse monoclonal antibody - Microtubule Marker (Alexa Fluor® 594) was used to counterstain tubulin at 1/200 2.5ug/ml dilution (Red). The Nuclear counterstain was DAPI (Blue). Secondary antibody only control : Secondary antibody is ab150081 Goat Anti-Rabbit IgG H&L (Alexa Fluor® 488) preadsorbed at 1/1000 2 ug/ml dilution.

Flow Cytometry - Anti-MICB antibody [EPR26362-65] (AB300485)
  • Flow Cyt

Supplier Data

Flow Cytometry - Anti-MICB antibody [EPR26362-65] (AB300485)

Flow cytometric analysis of 293T (human embryonic kidney epithelial cell, Left) / Daudi (human Burkitt's lymphoma lymphoblast, Middle) / K562 (human chronic myelogenous leukemia lymphoblast, Right) cells labelling MICB with ab300485 at 1/500 dilution (0.1ug) (Red) compared with a Rabbit monoclonal IgG (ab172730) (Black) isotype control and an unlabelled control (cells without incubation with primary antibody and secondary antibody) (Blue). Goat Anti-Rabbit IgG (Alexa Fluor® 488, ab150081) at 1/2000 dilution was used as the secondary antibody. Gated on viable cells.Negative control : 293T, Daudi (PMID : 28154561).

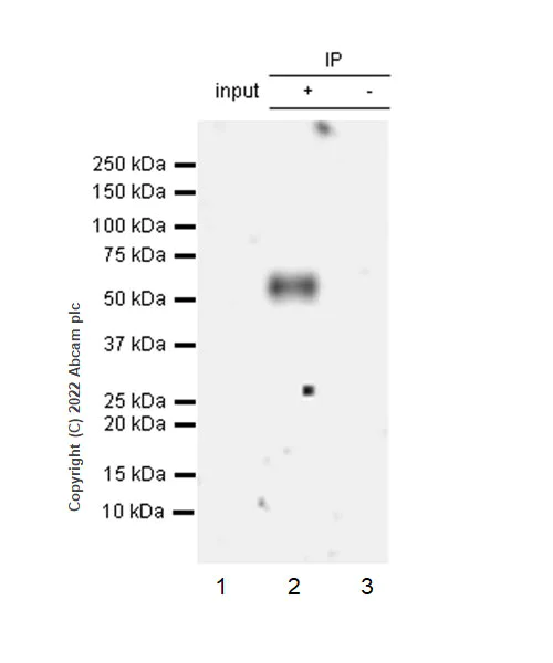
Immunoprecipitation - Anti-MICB antibody [EPR26362-65] (AB300485)
  • IP

Supplier Data

Immunoprecipitation - Anti-MICB antibody [EPR26362-65] (AB300485)

MICB was immunoprecipitated from 0.35 mg K562 (human chronic myelogenous leukemia lymphoblast), whole cell lysate 10 ug with ab300485 at 1/30 dilution (2ug in 0.35mg lysates). Western blot was performed on the immunoprecipitate using ab300485 at 1/1000 dilution. VeriBlot for IP secondary antibody (HRP)(ab131366) was used at 1/5000 dilution. Lane 1 : K562 (human chronic myelogenous leukemia lymphoblast), whole cell lysate 10 ug Lane 2 : ab300485 IP in K562 whole cell lysate Lane 3 : Rabbit monoclonal IgG (ab172730) instead of ab300485 in K562 whole cell lysate. Blocking and dilution buffer and concentration : 5% NFDM/TBST. Exposure time : 180 seconds

Lane 1:

Immunoprecipitation - Anti-MICB antibody [EPR26362-65] (ab300485) at 1/30 dilution

Lane 2:

Immunoprecipitation - Anti-MICB antibody [EPR26362-65] (ab300485) at 1/1000 dilution

All lanes:

K562 whole cell lysate at 10 µg

Secondary

All lanes:

Immunoprecipitation - VeriBlot for IP Detection Reagent (HRP) (<a href='/en-us/products/reagents/veriblot-for-ip-detection-reagent-hrp-ab131366'>ab131366</a>) at 1/5000 dilution

false

Exposure time: 180s

Western blot - Anti-MICB antibody [EPR26362-65] (AB300485)
  • WB

Supplier Data

Western blot - Anti-MICB antibody [EPR26362-65] (AB300485)

Blocking and diluting buffer and concentration : 5% NFDM/TBST.

This antibody does not cross-react with human MICA.

All lanes:

Western blot - Anti-MICB antibody [EPR26362-65] (ab300485) at 1/1000 dilution

Lane 1:

Purified his-tagged human MICB recombinant protein at 10 ng

Lane 2:

Purified his-tagged human MICA recombinant protein at 10 EU/ng

Secondary

All lanes:

Western blot - Goat Anti-Rabbit IgG H&L (HRP) (<a href='/en-us/products/secondary-antibodies/goat-rabbit-igg-h-l-hrp-ab97051'>ab97051</a>) at 1/20000 dilution

Predicted band size: 43 kDa

Observed band size: 37-50 kDa

false

Exposure time: 7.75s

Western blot - Anti-MICB antibody [EPR26362-65] (AB300485)
  • WB

Supplier Data

Western blot - Anti-MICB antibody [EPR26362-65] (AB300485)

Blocking and diluting buffer and concentration : 5% NFDM/TBST

MICB is a glycoprotein of approximately 61 kDa and detected as two 37-42 kDa bands after treated with Protein Deglycosylation MIX II.

The bands beneath the target band (37 kDa) are reported as deglycosylated cleaved soluble MICB.

Molecular weight observed is consistent with described in the literature (PMID : 19147769).

This blot was developed using a high sensitivity ECL substrate. The high-sensitivity ECL substrate used allows for the detection of proteins in the mid-femtogram range.

All lanes:

Western blot - Anti-MICB antibody [EPR26362-65] (ab300485) at 1/1000 dilution

Lane 1:

Untreated K562 (human chronic myelogenous leukemia lymphoblast), whole cell lysate at 15 µg

Lane 2:

K562 whole cell lysate treated with Protein Deglycosylation Mix II at 15 µg

Secondary

All lanes:

Western blot - Goat Anti-Rabbit IgG H&L (HRP) (<a href='/en-us/products/secondary-antibodies/goat-rabbit-igg-h-l-hrp-ab97051'>ab97051</a>) at 1/20000 dilution

Predicted band size: 43 kDa

Observed band size: 37-61 kDa

true

Exposure time: 103s

Western blot - Anti-MICB antibody [EPR26362-65] (AB300485)
  • WB

Supplier Data

Western blot - Anti-MICB antibody [EPR26362-65] (AB300485)

Blocking and diluting buffer and concentration : 5% NFDM/TBST

The expression profile/molecular weight observed is consistent with what has been described in the literature (PMID : 10359807).

Negative control : Daudi, 293T (PMID : 28154561).

This blot was developed using a high sensitivity ECL substrate. The high-sensitivity ECL substrate used allows for the detection of proteins in the mid-femtogram range.

All lanes:

Western blot - Anti-MICB antibody [EPR26362-65] (ab300485) at 1/1000 dilution

Lane 1:

K-562 (human chronic myelogenous leukemia lymphoblast) whole cell lysate at 40 µg

Lane 2:

U266B1 (human multiple myeloma B lymphocyte) whole cell lysate at 40 µg

Lane 3:

Daudi (human Burkitt's lymphoma lymphoblast) whole cell lysate at 40 µg

Lane 4:

293T (human embryonic kidney epithelial cell) whole cell lysate at 40 µg

Secondary

All lanes:

Western blot - Goat Anti-Rabbit IgG H&L (HRP) (<a href='/en-us/products/secondary-antibodies/goat-rabbit-igg-h-l-hrp-ab97051'>ab97051</a>)

Predicted band size: 43 kDa

Observed band size: 37-61 kDa

true

Exposure time: 48s

  • 519 Alexa Fluor® 488

    Alexa Fluor® 488 Rabbit monoclonal [EPR26362-65] to MICB

  • 578 PE

    PE Anti-MICB antibody [EPR26362-65]

  • Carrier free

    Anti-MICB antibody [EPR26362-65] - BSA and Azide free

Key facts

Host species

Rabbit

Clonality

Monoclonal

Clone number

EPR26362-65

Isotype

IgG

Carrier free

No

Reacts with

Human

Applications

WB, Flow Cyt, ICC/IF, IP

applications

Immunogen

The exact immunogen used to generate this antibody is proprietary information.

Reactivity data

{ "title": "Reactivity Data", "filters": { "stats": ["", "Species", "Dilution Info", "Notes"], "tabs": { "all-applications": {"fullname" : "All Applications", "shortname": "All Applications"}, "IP" : {"fullname" : "Immunoprecipitation", "shortname":"IP"}, "FlowCyt" : {"fullname" : "Flow Cytometry", "shortname":"Flow Cyt"}, "WB" : {"fullname" : "Western blot", "shortname":"WB"}, "IHCP" : {"fullname" : "Immunohistochemistry (Formalin/PFA-fixed paraffin-embedded sections)", "shortname":"IHC-P"}, "ICCIF" : {"fullname" : "Immunocytochemistry/ Immunofluorescence", "shortname":"ICC/IF"} }, "product-promise": { "all": "all", "testedAndGuaranteed": "tested", "guaranteed": "expected", "predicted": "predicted", "notRecommended": "not-recommended" } }, "values": { "Human": { "IP-species-checked": "testedAndGuaranteed", "IP-species-dilution-info": "1/30", "IP-species-notes": "<p></p>", "FlowCyt-species-checked": "testedAndGuaranteed", "FlowCyt-species-dilution-info": "1/500", "FlowCyt-species-notes": "<p></p>", "WB-species-checked": "testedAndGuaranteed", "WB-species-dilution-info": "1/1000", "WB-species-notes": "<p></p>", "IHCP-species-checked": "notRecommended", "IHCP-species-dilution-info": "", "IHCP-species-notes": "<p></p>", "ICCIF-species-checked": "testedAndGuaranteed", "ICCIF-species-dilution-info": "1/50", "ICCIF-species-notes": "<p></p>" }, "Mouse": { "IP-species-checked": "notRecommended", "IP-species-dilution-info": "", "IP-species-notes": "", "FlowCyt-species-checked": "notRecommended", "FlowCyt-species-dilution-info": "", "FlowCyt-species-notes": "", "WB-species-checked": "notRecommended", "WB-species-dilution-info": "1/1000", "WB-species-notes": "<p></p>", "IHCP-species-checked": "notRecommended", "IHCP-species-dilution-info": "", "IHCP-species-notes": "<p></p>", "ICCIF-species-checked": "notRecommended", "ICCIF-species-dilution-info": "", "ICCIF-species-notes": "" }, "Rat": { "IP-species-checked": "notRecommended", "IP-species-dilution-info": "", "IP-species-notes": "", "FlowCyt-species-checked": "notRecommended", "FlowCyt-species-dilution-info": "", "FlowCyt-species-notes": "", "WB-species-checked": "notRecommended", "WB-species-dilution-info": "1/1000", "WB-species-notes": "<p></p>", "IHCP-species-checked": "notRecommended", "IHCP-species-dilution-info": "", "IHCP-species-notes": "<p></p>", "ICCIF-species-checked": "notRecommended", "ICCIF-species-dilution-info": "", "ICCIF-species-notes": "" }, "Recombinant full length protein - Human": { "IP-species-checked": "notRecommended", "IP-species-dilution-info": "", "IP-species-notes": "", "FlowCyt-species-checked": "notRecommended", "FlowCyt-species-dilution-info": "", "FlowCyt-species-notes": "", "WB-species-checked": "testedAndGuaranteed", "WB-species-dilution-info": "1/1000", "WB-species-notes": "<p></p>", "IHCP-species-checked": "notRecommended", "IHCP-species-dilution-info": "", "IHCP-species-notes": "", "ICCIF-species-checked": "notRecommended", "ICCIF-species-dilution-info": "", "ICCIF-species-notes": "" } } }

Product details

Patented technology
Our RabMAb® technology is a patented hybridoma-based technology for making rabbit monoclonal antibodies. For details on our patents, please refer to RabMAb® patents.

What are the advantages of a recombinant monoclonal antibody?
This product is a recombinant monoclonal antibody, which offers several advantages including:

  • - High batch-to-batch consistency and reproducibility
  • - Improved sensitivity and specificity
  • - Long-term security of supply
  • - Animal-free batch production

For more information, read more on recombinant antibodies.

Properties and storage information

Form
Liquid
Purification technique
Affinity purification Protein A
Storage buffer
pH: 7.2 - 7.4 Preservative: 0.01% Sodium azide Constituents: PBS, 40% Glycerol (glycerin, glycerine), 0.05% BSA
Shipped at conditions
Blue Ice
Appropriate short-term storage duration
1-2 weeks
Appropriate short-term storage conditions
+4°C
Appropriate long-term storage conditions
-20°C
Aliquoting information
Upon delivery aliquot
Storage information
Avoid freeze / thaw cycle

Supplementary information

This supplementary information is collated from multiple sources and compiled automatically.

MICB also known as MHC class I polypeptide-related sequence B is a protein with a molecular weight of around 42 kDa. It anchors on cell surfaces and is widely expressed in epithelial cells fibroblasts and monocytes. MICB surfaces on stressed cells but remains minimal in normal conditions indicating its involvement in cell stress response. It is an activating ligand for NKG2D receptor on natural killer (NK) cells and certain T cells playing a major role in immune surveillance.
Biological function summary

MICB contributes to immune system functioning by presenting stress-induced antigens to immune cells. It does not belong to a complex but engages in interactions critical for activating cytotoxic responses. By binding to the NKG2D receptor it helps activate NK cells and certain T cell subsets which results in the elimination of damaged or transformed cells. This immune activation is important for the surveillance against cancer and infected cells maintaining tissue homeostasis.

Pathways

MICB plays a role in the stress-induced NKG2D signaling pathway and is involved in the immune response pathway. It cooperates with proteins such as NKG2D and MICA another ligand of the NKG2D receptor to initiate immune cell-mediated cytotoxicity. These pathways activate NK cells and CD8+ T cells important for removing stressed or altered cells thereby influencing the body's defense mechanisms.

MICB has connections to cancer and autoimmune disorders. Aberrant expression of MICB appears in tumors affecting tumor immune evasion and associates with autoimmune diseases influencing immune tolerance. Dysregulation of MICB activity can affect interactions with proteins like NKG2D altering immune responses and contributing to disease progression. Therefore understanding MICB's role is critical for developing therapeutic interventions targeting immune-related diseases.

Product protocols

For this product, it's our understanding that no specific protocols are required. You can visit:

Target data

Widely expressed membrane-bound protein which acts as a ligand to stimulate an activating receptor KLRK1/NKG2D, expressed on the surface of essentially all human natural killer (NK), gammadelta T and CD8+ alphabeta T-cells (PubMed : 11491531, PubMed : 11777960). Up-regulated in stressed conditions, such as viral and bacterial infections or DNA damage response, serves as signal of cellular stress, and engagement of KLRK1/NKG2D by MICA triggers NK-cells resulting in a range of immune effector functions, such as cytotoxicity and cytokine production.
See full target information MICB

Product promise

We are committed to supporting your work with high-quality reagents, and we're here for you every step of the way. In the unlikely event that one of our products does not perform as expected, you're protected by our Product Promise.
For full details, please see our Terms & Conditions

Please note: All products are 'FOR RESEARCH USE ONLY. NOT FOR USE IN DIAGNOSTIC OR THERAPEUTIC PROCEDURES'.

For licensing inquiries, please contact partnerships@abcam.com