JavaScript is disabled in your browser. Please enable JavaScript to view this website.
AB224550

Anti-MID1IP1 antibody

Be the first to review this product! Submit a review

|

(2 Publications)

Rabbit Polyclonal MID1IP1 antibody. Suitable for IHC-P and reacts with Human samples. Cited in 2 publications. Immunogen corresponding to Recombinant Fragment Protein within Human MID1IP1 aa 50-150.

View Alternative Names

MIG12, MID1IP1, Mid1-interacting protein 1, Gastrulation-specific G12-like protein, Mid1-interacting G12-like protein, Protein STRAIT11499, Spot 14-related protein, S14R, Spot 14-R

3 Images
Immunohistochemistry (Formalin/PFA-fixed paraffin-embedded sections) - Anti-MID1IP1 antibody (AB224550)
  • IHC-P

Unknown

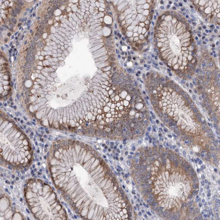
Immunohistochemistry (Formalin/PFA-fixed paraffin-embedded sections) - Anti-MID1IP1 antibody (AB224550)

Paraffin-embedded human stomach tissue stained for MID1IP1 using ab224550 at 1/50 dilution in immunohistochemical analysis.

Immunohistochemistry (Formalin/PFA-fixed paraffin-embedded sections) - Anti-MID1IP1 antibody (AB224550)
  • IHC-P

Unknown

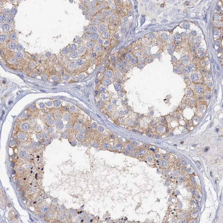
Immunohistochemistry (Formalin/PFA-fixed paraffin-embedded sections) - Anti-MID1IP1 antibody (AB224550)

Paraffin-embedded human testis tissue stained for MID1IP1 using ab224550 at 1/50 dilution in immunohistochemical analysis.

Immunohistochemistry (Formalin/PFA-fixed paraffin-embedded sections) - Anti-MID1IP1 antibody (AB224550)
  • IHC-P

Unknown

Immunohistochemistry (Formalin/PFA-fixed paraffin-embedded sections) - Anti-MID1IP1 antibody (AB224550)

Paraffin-embedded human skeletal muscle tissue stained for MID1IP1 using ab224550 at 1/50 dilution in immunohistochemical analysis.

Key facts

Host species

Rabbit

Clonality

Polyclonal

Isotype

IgG

Carrier free

No

Reacts with

Human

Applications

IHC-P

applications

Immunogen

Recombinant Fragment Protein within Human MID1IP1 aa 50-150. The exact immunogen used to generate this antibody is proprietary information.

Q9NPA3

Reactivity data

{ "title": "Reactivity Data", "filters": { "stats": ["", "Species", "Dilution Info", "Notes"], "tabs": { "all-applications": {"fullname" : "All Applications", "shortname": "All Applications"}, "IHCP" : {"fullname" : "Immunohistochemistry (Formalin/PFA-fixed paraffin-embedded sections)", "shortname":"IHC-P"} }, "product-promise": { "all": "all", "testedAndGuaranteed": "tested", "guaranteed": "expected", "predicted": "predicted", "notRecommended": "not-recommended" } }, "values": { "Human": { "IHCP-species-checked": "testedAndGuaranteed", "IHCP-species-dilution-info": "1/50 - 1/200", "IHCP-species-notes": "<p></p> Perform heat-mediated antigen retrieval with citrate buffer pH 6 before commencing with IHC staining protocol." } } }

Properties and storage information

Form
Liquid
Purification technique
Affinity purification Immunogen
Storage buffer
pH: 7.2 Preservative: 0.02% Sodium azide Constituents: PBS, 40% Glycerol (glycerin, glycerine)
Shipped at conditions
Blue Ice
Appropriate short-term storage duration
1-2 weeks
Appropriate short-term storage conditions
+4°C
Appropriate long-term storage conditions
-20°C
Aliquoting information
Upon delivery aliquot
Storage information
Avoid freeze / thaw cycle

Supplementary information

This supplementary information is collated from multiple sources and compiled automatically.

MID1IP1 also known as mid1-interacting protein 1 is an important protein involved mechanically in cell cycle regulation and ribosomal biogenesis. With a molecular mass of approximately 47 kDa it is expressed in various tissues displaying higher levels in the liver adipose tissue and skeletal muscle. The presence of MID1IP1 in multiple tissues indicates its significant role in cellular function across different biological systems.
Biological function summary

MID1IP1 plays an important role in regulating ribosomal RNA synthesis and therefore impacts protein synthesis and cellular growth. It forms a complex with MID1 another protein with well-documented functions in microtubule stabilization and regulation of glutamate dehydrogenase activity. The interaction between MID1IP1 and MID1 is essential for maintaining stability and functionality of the microtubule network which is important for correct spindle assembly during cell division.

Pathways

MID1IP1 integrates closely with mTOR signaling and the Wnt signaling pathway. These pathways are vital for cellular growth and differentiation. In the mTOR pathway MID1IP1 associates with proteins like Raptor and mLST8 aiding in the regulation of cellular growth conditions. Within the Wnt pathway though not directly an important player MID1IP1 influences the stabilization of β-catenin an important effector of Wnt signaling involved in gene transcription regulation.

MID1IP1 has significant implications in metabolic disorders and cancer. Abnormal expression or function of MID1IP1 is linked to insulin resistance in metabolic diseases and it is implicated in the progression of certain cancers through its role in cell growth pathways. Additionally MID1IP1's association with proteins like p53 emphasizes its potential role in tumor suppression considering p53's well-established function in preventing cancer development.

Product protocols

For this product, it's our understanding that no specific protocols are required. You can visit:

Target data

Plays a role in the regulation of lipogenesis in liver. Up-regulates ACACA enzyme activity. Required for efficient lipid biosynthesis, including triacylglycerol, diacylglycerol and phospholipid. Involved in stabilization of microtubules (By similarity).
See full target information MID1IP1

Publications (2)

Recent publications for all applications. Explore the full list and refine your search

eLife 12: PubMed38099650

2023

Distinct states of nucleolar stress induced by anticancer drugs.

Applications

Unspecified application

Species

Unspecified reactive species

Tamara A Potapova,Jay R Unruh,Juliana Conkright-Fincham,Charles A S Banks,Laurence Florens,David Alan Schneider,Jennifer L Gerton

Cells 9: PubMed32316188

2020

Colocalization of MID1IP1 and c-Myc is Critically Involved in Liver Cancer Growth via Regulation of Ribosomal Protein L5 and L11 and CNOT2.

Applications

Unspecified application

Species

Unspecified reactive species

Ji Hoon Jung,Hyo-Jung Lee,Ju-Ha Kim,Deok Yong Sim,Eunji Im,Sinae Kim,Suhwan Chang,Sung-Hoon Kim
View all publications

Product promise

We are committed to supporting your work with high-quality reagents, and we're here for you every step of the way. In the unlikely event that one of our products does not perform as expected, you're protected by our Product Promise.
For full details, please see our Terms & Conditions

Please note: All products are 'FOR RESEARCH USE ONLY. NOT FOR USE IN DIAGNOSTIC OR THERAPEUTIC PROCEDURES'.

For licensing inquiries, please contact partnerships@abcam.com