JavaScript is disabled in your browser. Please enable JavaScript to view this website.
AB314057

Anti-MIF antibody [BLR141J] - BSA free

Be the first to review this product! Submit a review

|

(0 Publication)

Rabbit Recombinant Monoclonal MIF antibody. Suitable for Flow Cyt, ICC, IHC-P, WB and reacts with Human samples. Immunogen corresponding to Recombinant Fragment Protein within Human MIF aa 1 to C-terminus.

View Alternative Names

GLIF, MMIF, MIF, Macrophage migration inhibitory factor, Glycosylation-inhibiting factor, L-dopachrome isomerase, L-dopachrome tautomerase, Phenylpyruvate tautomerase, GIF

5 Images
Flow Cytometry - Anti-MIF antibody [BLR141J] - BSA free (AB314057)
  • Flow Cyt

Supplier Data

Flow Cytometry - Anti-MIF antibody [BLR141J] - BSA free (AB314057)

Detection of human MIF (shaded) in Jurkat cells by flow cytometry. Antibody : Rabbit anti-MIF recombinant monoclonal antibody [BLR141J] or isotype control (unshaded). Secondary : DyLight® 488-conjugated goat anti-rabbit IgG.

Immunohistochemistry (Formalin/PFA-fixed paraffin-embedded sections) - Anti-MIF antibody [BLR141J] - BSA free (AB314057)
  • IHC-P

Supplier Data

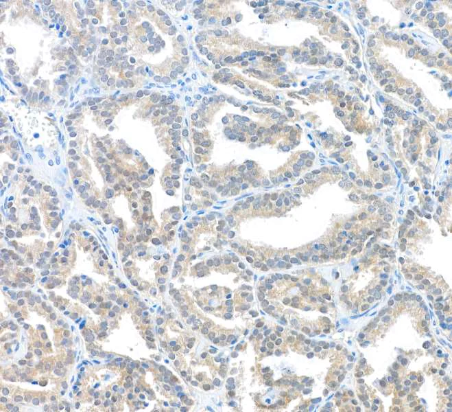
Immunohistochemistry (Formalin/PFA-fixed paraffin-embedded sections) - Anti-MIF antibody [BLR141J] - BSA free (AB314057)

Detection of human MIF in FFPE prostate carcinoma by immunohistochemistry Antibody : Rabbit anti-MIF recombinant monoclonal antibody [BLR141H] (A700-141 lot 1). Secondary : HRP-conjugated goat anti-rabbit IgG Substrate : DAB.

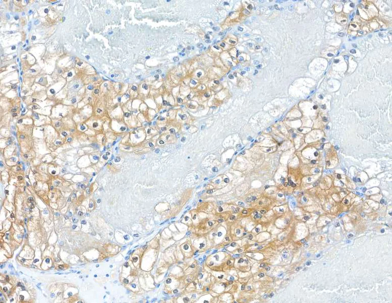
Immunohistochemistry (Formalin/PFA-fixed paraffin-embedded sections) - Anti-MIF antibody [BLR141J] - BSA free (AB314057)
  • IHC-P

Supplier Data

Immunohistochemistry (Formalin/PFA-fixed paraffin-embedded sections) - Anti-MIF antibody [BLR141J] - BSA free (AB314057)

Detection of human MIF in FFPE renal cell carcinoma by immunohistochemistry Antibody : Rabbit anti-MIF recombinant monoclonal antibody [BLR141H] (A700-141 lot 1). Secondary : HRP-conjugated goat anti-rabbit IgG Substrate : DAB.

Immunocytochemistry - Anti-MIF antibody [BLR141J] - BSA free (AB314057)
  • ICC

Supplier Data

Immunocytochemistry - Anti-MIF antibody [BLR141J] - BSA free (AB314057)

Detection of human MIF in FFPE HEK293T cells by immunocytochemistry Antibody : Rabbit anti-MIF recombinant monoclonal antibody [BLR141H] (A700-141 lot 1). Secondary : HRP-conjugated goat anti-rabbit IgG . Substrate : DAB.

Western blot - Anti-MIF antibody [BLR141J] - BSA free (AB314057)
  • WB

Supplier Data

Western blot - Anti-MIF antibody [BLR141J] - BSA free (AB314057)

Samples : Whole cell lysate (25 µg) from HEK293T, HeLa, Jurkat, Hep-G2, and MCF-7 cells prepared using NETN lysis buffer. Antibody : Rabbit anti-MIF recombinant monoclonal antibody [BLR141J] used at 1 : 1000. Secondary : H RP-conjugated goat anti-rabbit IgG. Chemiluminescence with an exposure time of 10 seconds. Lower Panel : Rabbit anti-COPB2 antibody (A304-523A).

All lanes:

Western blot - Anti-MIF antibody [BLR141J] - BSA free (ab314057) at 1/1000 dilution

Lane 1:

HEK293T Whole cell lysate at 25 µg

Lane 2:

HeLa Whole cell lysate at 25 µg

Lane 3:

Jurkat Whole cell lysate at 25 µg

Lane 4:

Hep-G2 Whole cell lysate at 25 µg

Lane 5:

MCF-7 Whole cell lysate at 25 µg

Secondary

All lanes:

HRP-conjugated goat anti-rabbit IgG

false

Key facts

Host species

Rabbit

Clonality

Monoclonal

Clone number

BLR141J

Isotype

IgG

Carrier free

No

Reacts with

Human

Applications

IHC-P, ICC, WB, Flow Cyt

applications

Immunogen

Recombinant Fragment Protein within Human MIF aa 1 to C-terminus. The exact immunogen used to generate this antibody is proprietary information.

P14174

Reactivity data

{ "title": "Reactivity Data", "filters": { "stats": ["", "Species", "Dilution Info", "Notes"], "tabs": { "all-applications": {"fullname" : "All Applications", "shortname": "All Applications"}, "FlowCyt" : {"fullname" : "Flow Cytometry", "shortname":"Flow Cyt"}, "ICC" : {"fullname" : "Immunocytochemistry", "shortname":"ICC"}, "IHCP" : {"fullname" : "Immunohistochemistry (Formalin/PFA-fixed paraffin-embedded sections)", "shortname":"IHC-P"}, "WB" : {"fullname" : "Western blot", "shortname":"WB"} }, "product-promise": { "all": "all", "testedAndGuaranteed": "tested", "guaranteed": "expected", "predicted": "predicted", "notRecommended": "not-recommended" } }, "values": { "Human": { "FlowCyt-species-checked": "testedAndGuaranteed", "FlowCyt-species-dilution-info": "", "FlowCyt-species-notes": "<p></p>", "ICC-species-checked": "testedAndGuaranteed", "ICC-species-dilution-info": "", "ICC-species-notes": "<p></p>", "IHCP-species-checked": "testedAndGuaranteed", "IHCP-species-dilution-info": "", "IHCP-species-notes": "<p></p>", "WB-species-checked": "testedAndGuaranteed", "WB-species-dilution-info": "", "WB-species-notes": "<p></p>" } } }

Product details

REACH authorisation
Abcam has not and does not intend to apply for the REACH Authorisation of customers' uses of products that contain European Authorisation list (Annex XIV) substances.
It is the responsibility of our customers to check the necessity of application of REACH Authorisation, and any other relevant authorisations, for their intended uses.

Properties and storage information

Form
Liquid
Storage buffer
pH: 7.8 - 8.6 Preservative: 0.09% Sodium azide Constituents: 98% Borate buffered saline
Shipped at conditions
Blue Ice
Appropriate short-term storage duration
Up to 12 months
Appropriate short-term storage conditions
+4°C
Appropriate long-term storage conditions
+4°C

Supplementary information

This supplementary information is collated from multiple sources and compiled automatically.

Macrophage migration inhibitory factor (MIF) also known as glycosylation-inhibiting factor is a protein with a molecular mass of approximately 12.5 kDa. It plays a mechanistic role as a cytokine that regulates immune responses specifically influencing macrophage behavior. MIF expresses in various cell types including immune and epithelial cells. It gets secreted by activated lymphocytes and macrophages pointing to its involvement in the inflammatory process.
Biological function summary

MIF acts as an upstream regulator of innate immunity and exerts broad influence on cytokine release. MIF elevates pro-inflammatory cytokines like TNF-alpha and IL-1beta promoting an immune response. It does not typically form part of a complex but interacts with cell surface receptors like CD74 triggering intracellular signaling pathways. These interactions illustrate MIF as a regulator of immune cell recruitment and activation.

Pathways

MIF participates in the glucocorticoid receptor regulatory pathway and MAP kinase pathway. It shows interaction with JNK and ERK1/2 proteins which further map into important cellular reactions like stress response and cell proliferation. By integrating into these pathways MIF influences cell survival proliferation and inflammatory cascades emphasizing its role in immune regulation.

MIF links to inflammatory diseases such as rheumatoid arthritis and sepsis. It influences disease progression by interacting with proteins like TNF-alpha and IL-6 contributing to inflammatory damage. Elevated MIF levels often correlate with disease severity in rheumatoid arthritis acting as a potential target for therapy. Furthermore sepsis demonstrates a similar pattern where MIF modulation can impact patient outcomes underlining its relevance in clinical investigations.

Product protocols

For this product, it's our understanding that no specific protocols are required. You can visit:

Target data

Pro-inflammatory cytokine involved in the innate immune response to bacterial pathogens (PubMed : 15908412, PubMed : 17443469, PubMed : 23776208). The expression of MIF at sites of inflammation suggests a role as mediator in regulating the function of macrophages in host defense (PubMed : 15908412, PubMed : 17443469, PubMed : 23776208). Counteracts the anti-inflammatory activity of glucocorticoids (PubMed : 15908412, PubMed : 17443469, PubMed : 23776208). Has phenylpyruvate tautomerase and dopachrome tautomerase activity (in vitro), but the physiological substrate is not known (PubMed : 11439086, PubMed : 17526494). It is not clear whether the tautomerase activity has any physiological relevance, and whether it is important for cytokine activity (PubMed : 11439086, PubMed : 17526494).
See full target information MIF

Product promise

We are committed to supporting your work with high-quality reagents, and we're here for you every step of the way. In the unlikely event that one of our products does not perform as expected, you're protected by our Product Promise.
For full details, please see our Terms & Conditions

Please note: All products are 'FOR RESEARCH USE ONLY. NOT FOR USE IN DIAGNOSTIC OR THERAPEUTIC PROCEDURES'.

For licensing inquiries, please contact partnerships@abcam.com